Tempo medio di risposta:

Esperienze

Laureato con lode in Odontoiatria e Protesi Dentaria nel 1989, presso l'Università di Roma “ La Sapienza”.
Tra gli anni 1990 e 2014 ho frequentato vari corsi:
• Endodonzia con il Prof. Malagnino.
• Odontoiatria estetica con il Prof. Francois Roulet.
• Anestesia con tecnica della ipnosi con il Prof. Benemeglio.
• Implantologia con il Prof. Banzi.
• Odontoiatria infantile con il Prof. Olivi.
• Parodontologia con il Prof.Sabattini .
• Disfunzioni masticatorie e le sindromi algico-miofasciali con il Prof. Capurso.
• Sinergie comportamentali in ambito psicologico con il Prof. Pelliccia.
• OdontoApneia con il Prof. Viscuso.
Partecipo regolarmente a corsi e congressi nazionali ed internazionali.
Dal 2016 sono iscritto alla Accademia romana di chirurgia orale ed implantologia SIRIO.
Esercito la libera professione come odontoiatra, chirurgo orale ed implantologo.
Altro Su di me

Aree di competenza principali:

  • Endodonzia
  • Ortodonzia
  • Odontoiatria
  • Igiene dentale
  • Protesi dentaria
  • Implantologia
Mostra dettagli

Presso questo indirizzo visito

Adulti
Bambini

Tipologia di visite

Foto e video

Logo
Dr. Luca Strazioso

Viale Somalia 28, Roma 00199

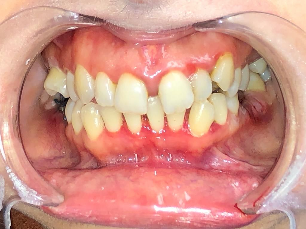
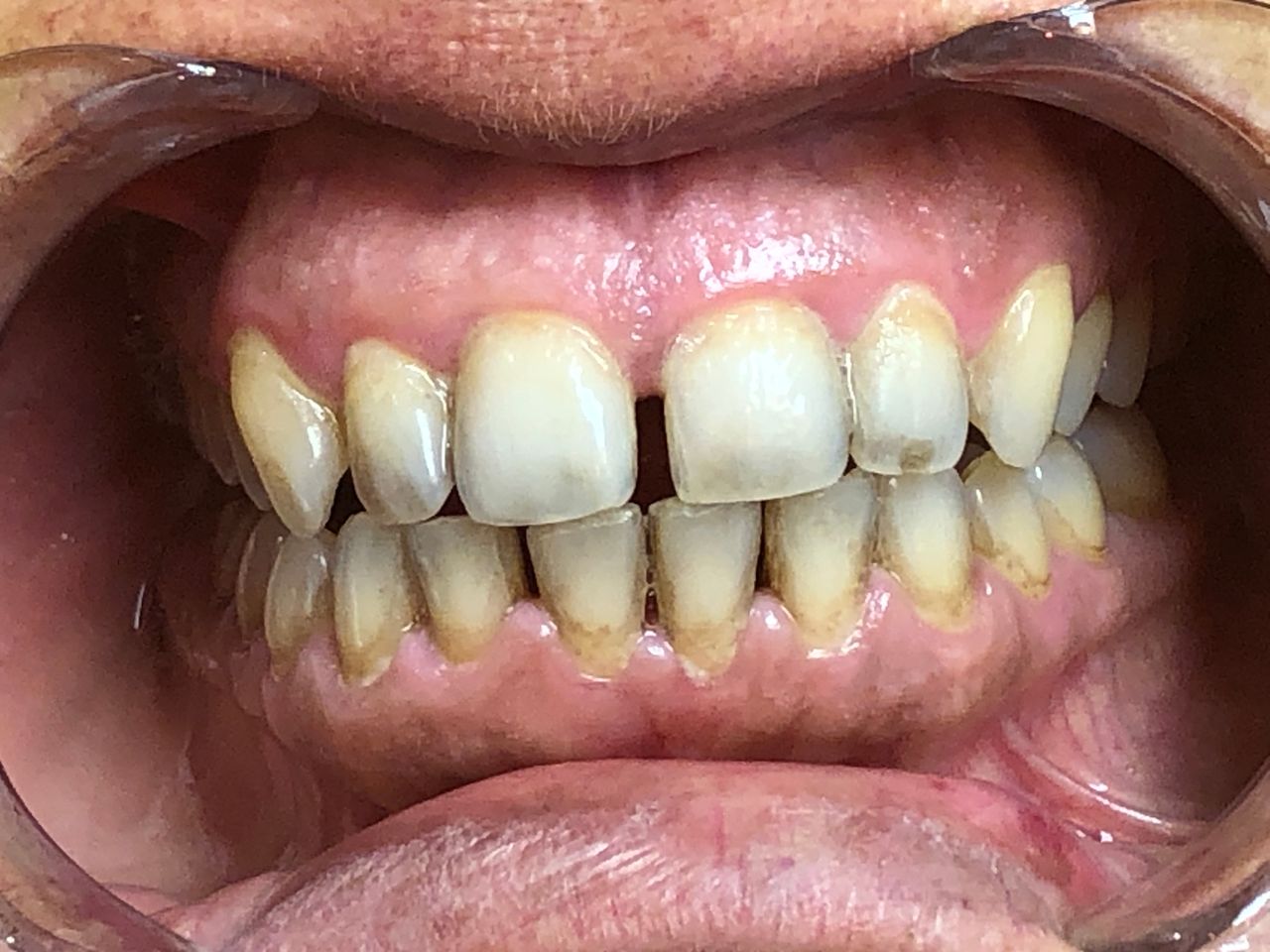
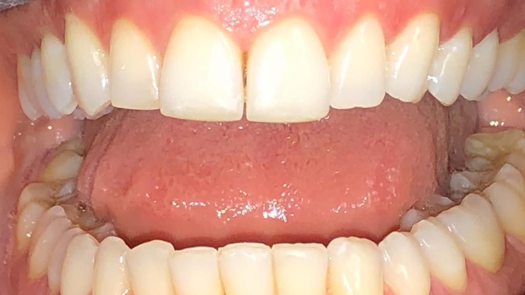
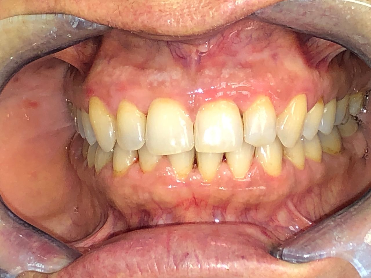
OZONO TERAPIA
Noto per le sue proprietà antimicrobiche e disinfettanti, l’ozono ha trovato di recente interessanti applicazioni in campo medico ed odontoiatrico. Grazie al suo potere ossidante è in grado di danneggiare la membrana e la parete cellulare dei microrganismi in modo più rapido rispetto ad altri disinfettanti che devono prima penetrare la membrana cellulare per poter poi agire. Esso esplica velocemente la sua attività antimicrobica, evita pertanto lo sviluppo del processo infiammatorio favorendo quindi la guarigione a livello cellulare.
FUNZIONAMENTO
OZONE DTA è un’apparecchiatura in grado di produrre ozono puro in un’area focalizzata con una concentrazione da 10 fino ad oltre 100 μg/ml. L’ozono creato si trasforma poi rapidamente in ossigeno, disperdendosi nell’aria. In pochi secondi OZONE DTA elimina i batteri dal sito trattato senza alcun disagio o dolore per il paziente; favorisce la guarigione della ferita nel post-operatorio e la riduzione dell’edema in tempi estremamente rapidi, permettendo così al paziente di tornare velocemente alle sue attività quotidiane. OZONE DTA è un apparecchio studiato appositamente per l’ozonoterapia in campo medico in aree limitate; la concentrazione di ozono ed i tempi di applicazione sono stati predeterminati per rendere il trattamento medico efficace in totale sicurezza per il paziente. Facile da usare, sicuro, rapido, viene fornito con una serie di sonde di varie forme adatte a tutte le applicazioni in campo odontoiatrico.
CAMPI DI APPLICAZIONE:
Disinfezione delle tasche parodontali, disinfezione di cavità, dei canali radicolari, trattamento dei processi infiammatori, disinfezione e guarigione delle ferite nel post operatorio e post estrattivo, riduzione dell’edema, trattamento di afte orali, lesioni da herpes, candidosi orale, ecc.

12/02/2022

Prestazioni e prezzi

  • Prima visita odontoiatrica

    Da 0 €

  • Visita odontoiatrica di controllo

    Prestazione gratuita

  • Bite

    Da 400 €

  • Capsula dentale

    Da 300 €

  • Estrazione dentaria

    Da 50 €

Indirizzo

Vedi mappa si apre in una nuova scheda
Studio Dentistico LUCA STRAZIOSO

Viale Somalia 28, Roma 00199

Disponibilità

Telefono

06 9762...

Pazienti accettati

  • Pazienti senza assicurazione sanitaria
Vedi mappa si apre in una nuova scheda

159 recensioni

Tutte le recensioni contano e non possono essere rimosse o modificate dai dottori a proprio piacimento. Scopri come funziona il processo di moderazione delle recensioni. Per saperne di più sulle opinioni
  • M

    Il Dottor Luca Strazioso ha qualità rare; mi ha ascoltata attentamente sin dal primo appuntamento, con la sua pazienza, competenza e professionalità durante ogni seduta ha ricostruito il mio sorriso, mi ha ridato la sicurezza che ormai avevo perduto. Posso affermare di essere rinata grazie alle sue mani, alla sua intelligenza e sensibilità. Inoltre, la Signora Antonella, assistente alla poltrona, è assolutamente insostituibile e generosa. Infinitamente grata ad entrambi.

     • Studio Dentistico LUCA STRAZIOSO implantologia  • 

  • M

    Puntuale , spiegazioni super accurate, cortesia e soprattutto professionalità. Un dentista che si occupa di tutto a 360 gradi e che anche nel prezzo non riserva sorprese. Lo consiglio sinceramente.

     • Studio Dentistico LUCA STRAZIOSO terapia parodontale  • 

  • L

    Ho fatto due impianti contemporaneamente. Ero molto tesa ma il dottore mi ha messa a mio agio rassicurandomi. L’intervento è riuscito benissimo e non ho avuto nessun dolore subito dopo. Consigliatissimo!!

     • Studio Dentistico LUCA STRAZIOSO implantologia  • 

  • B

    Professionale, molto gentile nel spiegarti in modo dettagliato e preciso

     • Studio Dentistico LUCA STRAZIOSO estrazione dentaria  • 

  • S

    Puntuale. Professionale. Eccellente nella spiegazione al paziente

     • Studio Dentistico LUCA STRAZIOSO prima visita odontoiatrica  • 

    Dr. Luca Strazioso

    Grazie. Ritengo che sia molto importante comunicare al paziente , nella maniera piu' chiara possibile , le cure migliori da fare, senza dimenticare mai, in ogni momento della giornata , a prescindere dallo stato d'animo dell'operatore , il " rapporto umano ".


  • R

    Dottore molto preparato professionalmente, cortese e puntuale.
    Lo consiglio vivamente

     • Studio Dentistico LUCA STRAZIOSO Altro  • 

    Dr. Luca Strazioso

    Grazie molto .
    Torni a trovarci.


  • S

    Dottore molto bravo e professionale, mi ha trattato una carie e fatto una cura canalare con precisione e senza alcun dolore. Lo consiglio vivamente!

     • Studio Dentistico LUCA STRAZIOSO terapia canalare  • 

    Dr. Luca Strazioso

    Mi fa piacere vedere che i pazienti apprezzano la passione che metto in questo lavoro.
    Grazie.
    Torni a trovarci.


  • S

    Dentista molto professionale e gentile, mi sono trovato benissimo. Studio accogliente e cura eccellente, lo consiglio!

     • Studio Dentistico LUCA STRAZIOSO igiene dentale  • 

    Dr. Luca Strazioso

    Grazie molto.
    Torni pure per un controllo.


  • S

    É sempre disponibile e un grande professionista, molto accurato

     • Studio Dentistico LUCA STRAZIOSO igiene dentale  • 

    Dr. Luca Strazioso

    Grazie molto.
    Quando vuole torni pure per un controllo.


  • M

    Ottimo professionista, spiegazioni chiare e trattamento efficace
    Avevo un forte dolore a un dente e mi sono rivolto al Dottor Strazioso: fin dal primo momento ho apprezzato la sua professionalità e la cura con cui ha analizzato il problema. Mi ha spiegato tutto in modo dettagliato e comprensibile, illustrandomi le opzioni di trattamento senza fretta.

    Grazie alla sua competenza, il dolore è stato risolto in modo efficace, e mi sono sentito in mani sicure durante tutta la procedura. L'ambiente dello studio è pulito e accogliente, e lo staff è molto cortese.

    Tornerò sicuramente e consiglierò il Dottor Strazioso a chiunque cerchi un dentista preparato, attento e paziente.

     • Studio Dentistico LUCA STRAZIOSO Altro  • 

    Dr. Luca Strazioso

    Grazie.
    Ritengo che sia molto importante comunicare al paziente , nella maniera piu' chiara possibile , le cure migliori da fare, senza dimenticare mai, in ogni momento della giornata , a prescindere dallo stato d'animo dell'operatore , il " rapporto umano ".


Si è verificato un errore, riprova

Risposte ai pazienti

ha risposto a 112 domande da parte di pazienti di MioDottore

Salve, ieri mi è venuto un ascesso dentario ho il viso gonfio, il dentista mi ha detto di prendere zitromax 500 e sinfkex 500 per il dolore. Ho iniziato oggi la cura, ma non vedo miglioramenti ho sempre dolore e il gonfiore è normale? Dopo quanto ho I miglioramenti? Grazie a
chi risponde

Buongiorno.
Premesso che solo l’antibiotico non può sostituire l’intervento immediato di un dentista che deve quanto meno drenare in qualche modo il pus dell’ascesso lo Zitromax 500 mi sembra un po’ leggero. Meglio l’Augmentin 1 grammo per i primi 2 giorni ogni 8 ore , poi ogni 12 ore per altri 5 giorni.

Dr. Luca Strazioso

Ho 27 anni ed il dentista ho detto che ho lo smalto fragile proprio per questo soffro sempre di carie e mi si sono spezzati già 3 denti devitalizzati.. è possibile fare qualcosa? E soprattutto possibile che mi tocca andare sempre a quest’età? Non è che la colpa sia del dentista che non fa bene i lavori?

Buongiorno.
Premetto che non é colpa del dentista se un dente devitalizzato si frattura.
Il dente devitalizzato perde la componente organica e quindi si comporta come un pilastro di cemento armato quando si sfilano le armature di metallo, diventa più fragile.
Il dente devitalizzato deve essere incapsulato.
Detto questo comunque si puó fare qualcosa per rinforzare i denti che hanno una predisposizione alla carie.
Con diverse applicazioni di fluoro.
Oppure in caso di denti ipoplasici con applicazioni di particolari resine.

Dr. Luca Strazioso
Vedi tutte le risposte

Tutti i contenuti pubblicati su MioDottore.it, specialmente domande e risposte, sono di carattere informativo e in nessun caso devono essere considerati un sostituto di una visita specialistica.