Tempo medio di risposta:

Esperienze

Ciao, sono Chiara e mi occupo di odontoiatria estetica e medicina estetica anti-aging.

La creazione di nuovi sorrisi e l’armonizzazione del volto dei miei pazienti è per me un processo attento, preciso e artistico, volto a valorizzare la bellezza naturale di ogni persona.

La mia formazione e la mia esperienza nel campo dell’estetica sono sempre al servizio del paziente. Dedico grande attenzione alla spiegazione dei trattamenti, condividendo con trasparenza ogni fase del percorso e trasmettendo la mia passione per questo lavoro. Allo stesso tempo considero fondamentale l’ascolto empatico, per comprendere davvero le esigenze e i desideri di chi si affida a me.

Accompagno ogni paziente verso il miglior risultato possibile, con il massimo rispetto dei tessuti e della biologia. Il mio approccio si basa infatti su un principio chiaro: “minimamente invasivo, altamente estetico.”

Nel mio studio anche l’atmosfera è importante: la musica è una presenza costante e contribuisce a creare un ambiente dinamico, positivo e accogliente.

Altro Su di me

Aree di competenza principali:

  • Endodonzia
  • Ortodonzia
  • Odontoiatria estetica
  • Protesi dentaria
  • Implantologia
  • Medicina estetica
Mostra dettagli

Presso questo indirizzo visito

Adulti
Bambini (Solo in alcuni indirizzi)

Tipologia di visite

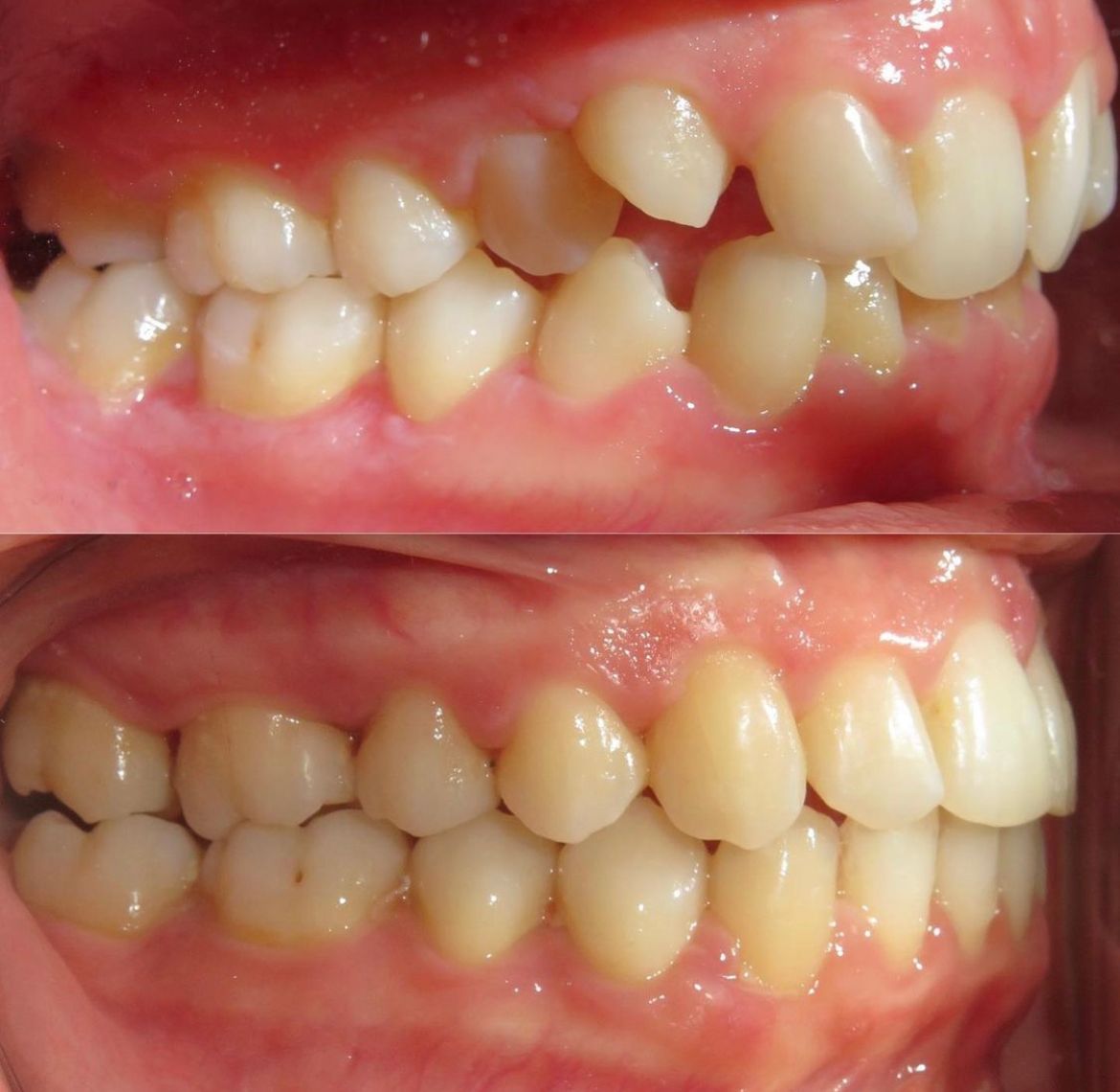
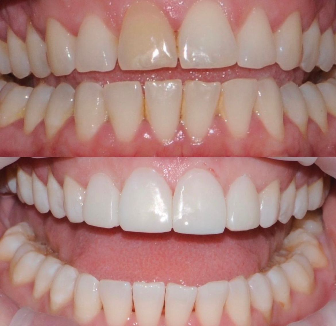
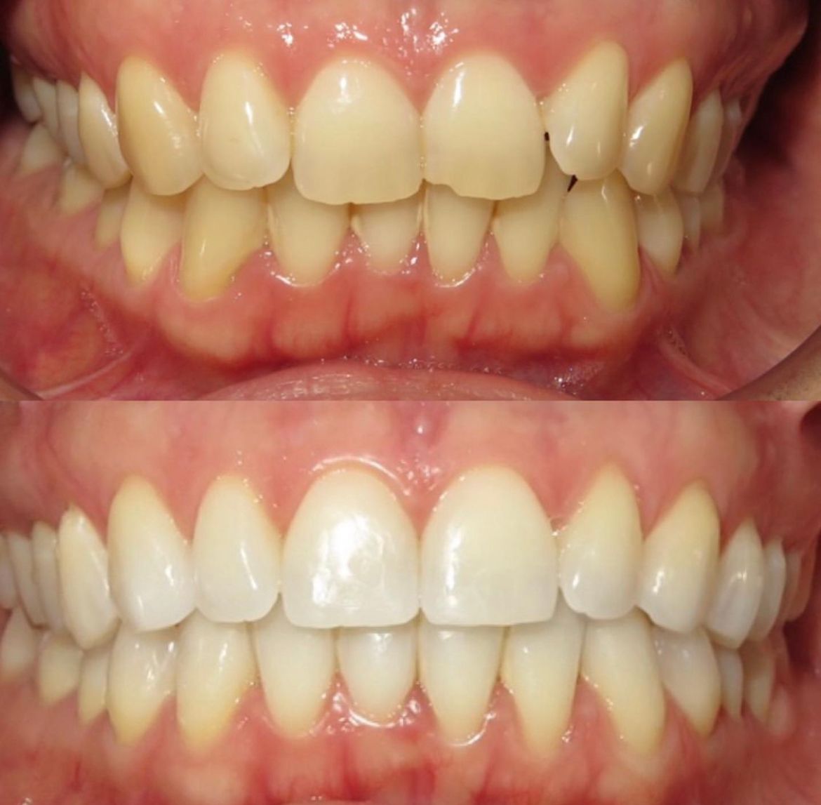
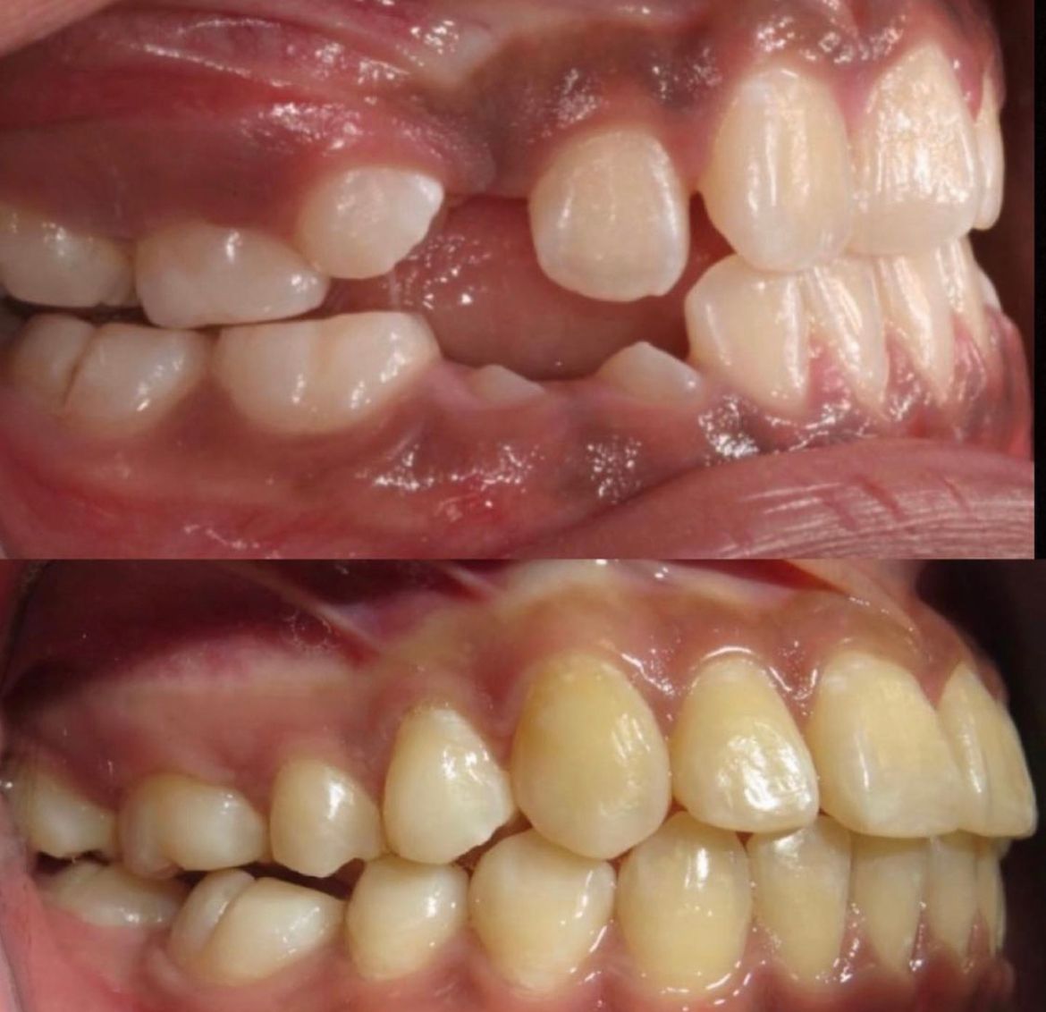
Foto e video

Prestazioni e prezzi

  • Prima visita dentistica

    Da 80 €

  • Tossina botulinica

    Da 380 €

  • Prima visita ortodontica

    80 €

  • Prima visita di medicina estetica

    Prestazione gratuita

  • Sbiancamento dentale

    Da 400 €

Indirizzi (4)

Vedi mappa si apre in una nuova scheda
Studio Dentistico Chiara Derla

Via Oslavia 40, Roma 00195

Disponibilità

Telefono

06 9763...
Vedi mappa si apre in una nuova scheda
Vedi mappa si apre in una nuova scheda
dott.ssa Derla Chiara

Via XXV Aprile, 10/7a, Genova 16123

Disponibilità

Telefono

06 9763...
Vedi mappa si apre in una nuova scheda
Vedi mappa si apre in una nuova scheda
Dott.ssa Chiara Derla

Via Argentina 36, Genova 16156

Disponibilità

Telefono

06 9763...
Vedi mappa si apre in una nuova scheda
Vedi mappa si apre in una nuova scheda
Studio dentistico Derla

Via Oslavia 40, Roma 00195

Disponibilità

Telefono

06 9763...
Vedi mappa si apre in una nuova scheda

Assicurazioni non accettate

Questo dottore accetta solo pazienti privati. Verrà richiesto un pagamento da parte tua per la prestazione o puoi ricercare un altro dottore che accetti la tua assicurazione

175 recensioni

Tutte le recensioni contano e non possono essere rimosse o modificate dai dottori a proprio piacimento. Scopri come funziona il processo di moderazione delle recensioni. Per saperne di più sulle opinioni
  • M

    La doctora es muy gentil y profesional, te explica detalladamente

     • Studio Dentistico Chiara Derla prima visita  • 

  • R

    Dottoressa molto attenta e precisa nella spiegazione del lavoro da svolgere. Ho anche apprezzato la sua onestà nel riconoscere un dettaglio di un lavoro fatto da un altro dentista molti anni fa, in modo molto positivo.
    Empatica, oltre che una bellezza notevole.

     • Studio Dentistico Chiara Derla prima visita dentistica  • 

  • C

    Ottima impressione spiegazione super dettagliata per la mia problematica. Grazie di cuore

     • Studio Dentistico Chiara Derla prima visita dentistica  • 

  • S

    Competenza, professionalità e disponibilità immensa.

     • Studio Dentistico Chiara Derla trattamento carie  • 

  • U

    La dottoressa Derla è veramente un’eccellenza. Mi ha risolto molti problemi non facile in maniera egregia. Una bravissima professionista aggiornata gentile disponibile sorridente con cui è facile relazionarsi.

     • Studio Dentistico Chiara Derla cura canalare  • 

  • M

    Professionalità e cortesia, molto chiara nelle spiegazioni, disponibile e precisa.

     • Dott.ssa Chiara Derla prima visita dentistica  • 

  • V

    La Dottoressa Derla è bravissima. Ho eseguito diversi trattamenti estetici raggiungendo i risultati richiesti. Ogni volta mi ha trasmesso fiducia e professionalità, garantendomi il risultato naturale che desideravo!

     • Studio Dentistico Chiara Derla aumento volume labbra  • 

    Dott.ssa Chiara Derla

    Cara Valentina,
    grazie di cuore per le tue splendide parole!


  • N

    la dottoressa è sempre gentile e molto competente, ricca di spiegazioni e rassicurante. accogliente ed attenta. Mi piace molto che ascolti le mie esigenze senza fare pressioni.

     • Studio Dentistico Chiara Derla infiltrazione acido ialuronico  • 

    Dott.ssa Chiara Derla

    La ringrazio di cuore per le sue parole e per aver condiviso la sua esperienza.
    Per me è fondamentale che ogni paziente si senta ascoltato, accolto e libero di scegliere: credo profondamente che fornire spiegazioni chiare e complete sia importante, ma altrettanto lo sia lasciare a ciascuno il tempo e lo spazio per intraprendere un percorso solo quando si sente davvero pronto.


  • Y

    La dottoressa é gentilissima e professionale consigliatissima

     • Studio Dentistico Chiara Derla iniezione di tossina botulinica  • 

    Dott.ssa Chiara Derla

    Grazie mille Ylenia è stato un piacere aiutare sia te che tua mamma.
    A presto


  • G

    La mia esperienza con la Dottotessa Derla è stata molto positiva. Molto attenta alle esigenze del paziente e al suo stato d'animo, tiene conto anche che la cura non vada a scapito dell'estetica. È prodiga di spiegazioni, rassicurazioni e preziosi consigli. Massima disponibilità, gentilezza e pazienza anche da parte di tutto il suo staff. Sono molto soddisfatta del suo operato e tornerò presto da lei per completare lavori in sospeso. La consiglio senz'altro.

     • Studio Dentistico Chiara Derla trattamento carie  • 

    Dott.ssa Chiara Derla

    Grazie mille Gianna per le sue parole.


Si è verificato un errore, riprova