Tempo medio di risposta:

Esperienze

Sono un Medico Odontoiatra laureato e abilitato nel 2019 presso Sapienza Università di Roma e ho frequentato il reparto universitario di Implantoprotesi del Dipartimento di Scienze Odontostomatologiche e Maxillo Facciali del Policlinico Umberto I di Roma.
Dopo la laurea, oltre a lavorare all'interno dello studio di famiglia, ho collaborato per qualche anno presso altri studi di professionisti privati.
Nel 2021 ho conseguito il master di II livello in Odontoiatria Digitale presso l'Università Cattolica del Sacro Cuore di Roma.
Oggi mi dedico esclusivamente all'attività privata nella nuova sede di "Odontoiatria D'Amico".
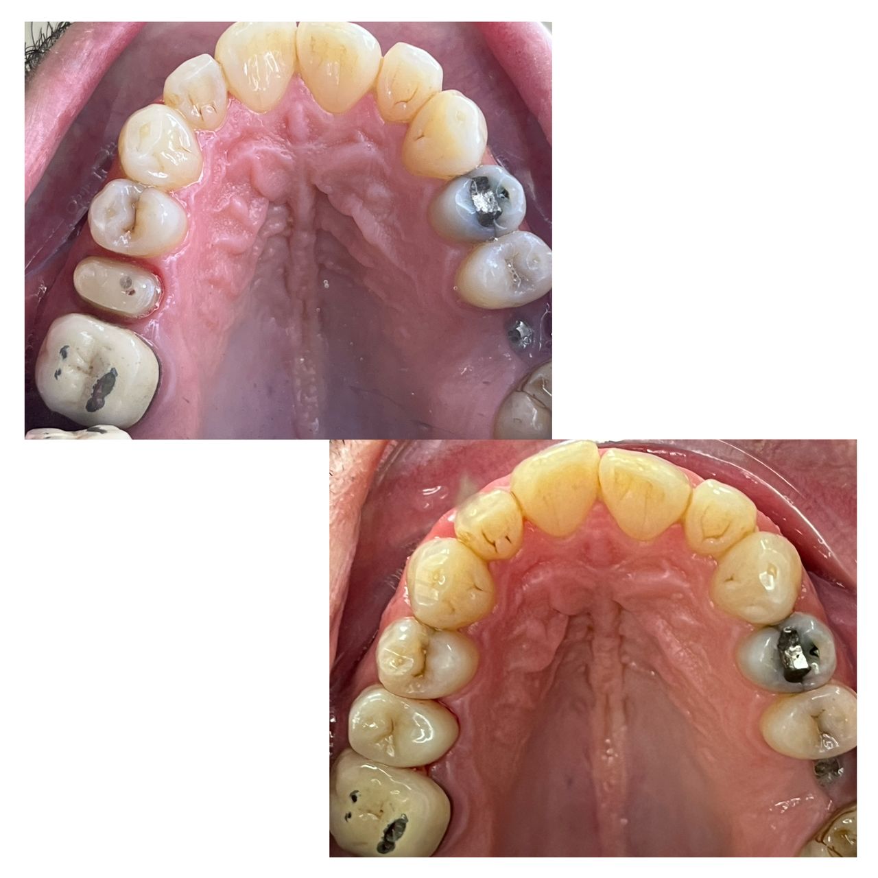
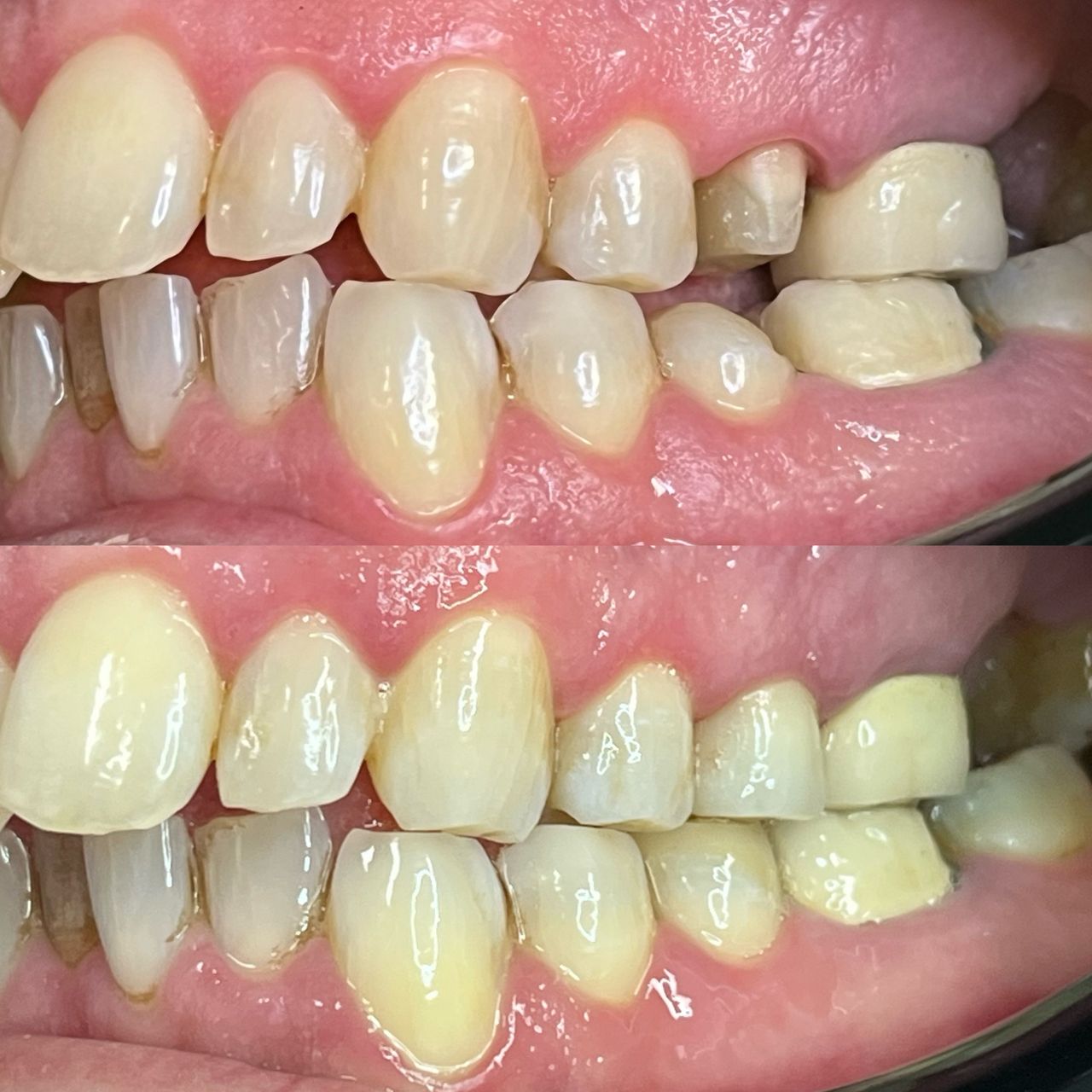
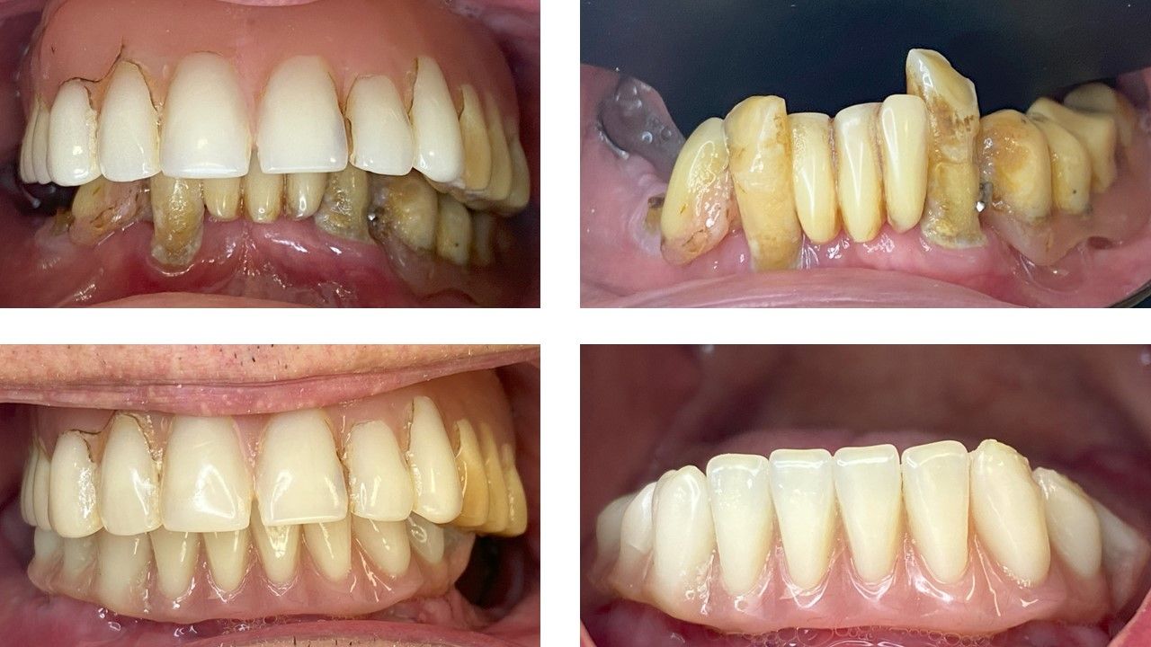
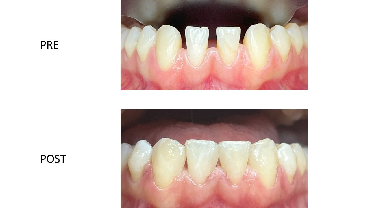
Nella mia pratica quotidiana mi dedico principalmente alla branca chirurgica (estrazioni e impianti) e protesica. Partecipo frequentemente a corsi di aggiornamento e congressi su questi argomenti.

Lo studio Odontoiatria D'Amico ha un'esperienza trentennale in ambito odontoiatrico.
Investiamo molte risorse nella formazione dei professionisti e del personale sanitario, e nella efficienza dello studio al fine di accontentare al meglio le esigenze del paziente.
La struttura dispone infatti di apparecchiature di ultima generazione tra cui scanner intraorale (impronta ottica) e radiografici digitali 2D e 3D (tac), telecamere intraorali, sistemi di ingrandimento ottico e poltrone con tecnologia 4.1.
Il nostro staff è composto da 15 persone tra colleghi (2 specializzati in ortodonzia e 2 in conservativa ed endodonzia), igieniste, assistenti e segreteria, tutti sintonizzati e legati dalla stessa filosofia di efficienza e successo. La struttura dispone di una accogliente sala di attesa e di 5 sale operative.
Entrando nel nostro studio verrete visitati da me ( Dr Andrea D'Amico). Vi informerò su quale sarà il vostro migliore piano di cure e da quale/i specialista/i essere seguito.
Altro Su di me

Aree di competenza principali:

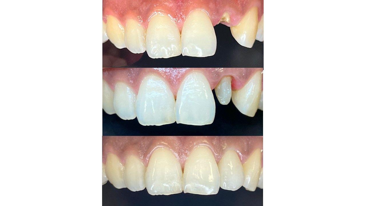
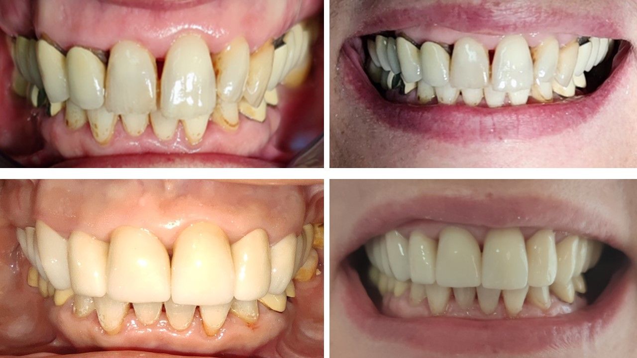
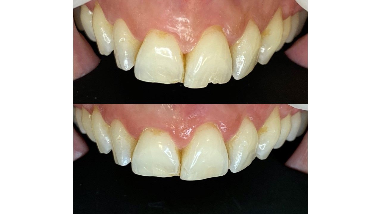
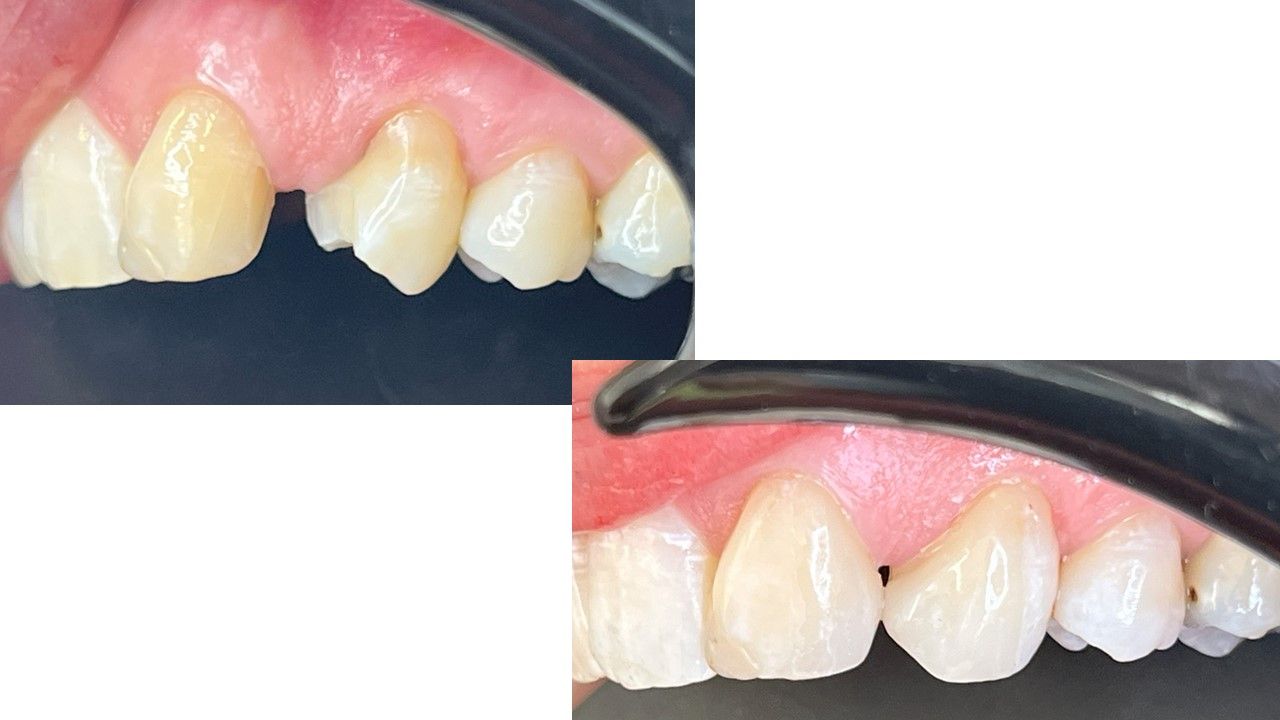
  • Implantologia dentale
  • Chirurgia odontostomatologica
  • Odontoiatria
  • Igiene dentale
  • Pedodontista
  • Implantologia
Mostra dettagli

Presso questo indirizzo visito

Adulti
Bambini

Tipologia di visite

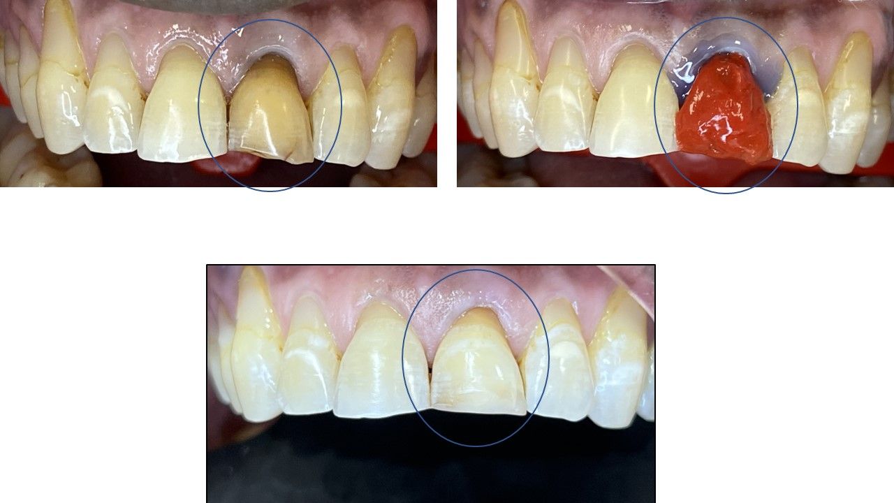
Foto e video

Logo
Dr. Andrea D'Amico

Viale Ettore Franceschini 53, Roma 00155

PRIMA VISITA E ORTOPANORAMICA GRATUITA.

22/03/2023

Prestazioni e prezzi

  • Urgenza odontoiatrica

    Da 30 €

  • Estrazione di denti e radici

    Da 0 €

  • Visita di controllo

    Prestazione gratuita

  • Visita odontoiatrica

    Prestazione gratuita

  • Devitalizzazione

    Da 0 €

Indirizzo

Vedi mappa si apre in una nuova scheda
Odontoiatria D'Amico

Viale Ettore Franceschini 53, Roma 00155

Disponibilità

Telefono

06 9763...

Pazienti accettati

  • Pazienti senza assicurazione sanitaria
  • Pazienti con assicurazione sanitaria

Assicurazioni

Vedi mappa si apre in una nuova scheda

68 recensioni

Tutte le recensioni contano e non possono essere rimosse o modificate dai dottori a proprio piacimento. Scopri come funziona il processo di moderazione delle recensioni. Per saperne di più sulle opinioni
  • P

    Trasmette, con la sua professionalità, molta calma.

     • Odontoiatria D'Amico estrazione di denti e radici  • 

  • G

    Puntualità e professionalità.cortesia e attenzione al paziente

     • Odontoiatria D'Amico devitalizzazione  • 

  • S

    Il Dottore è stato molto gentile, professionale. Non ho sentito dolore, forse anche perché il Dottore mi parlava e mi ha distratto, ha descritto in modo chiaro il mio problema. Anche il Personale in accoglienza e la Dottoressa che ha fatto l'ortopanoramica sono state molto cortesi e chiare. Sono rimasta molto soddisfatta.

     • Odontoiatria D'Amico estrazione di denti e radici  • 

  • N

    Ottimo lavoro! Intervento importante condotto con estrema precisione e delicatezza!

     • Odontoiatria D'Amico impianto osteointegrato  • 

  • Y

    Il dottore Andrea è davvero bravo. Nel mio caso è sembrato quasi che sapesse esattamente cosa cercassi e come fare per accontentarmi. Illustra sempre tutre le possibili opzioni senza indirizzare per forza alla soluzione meno economica. Lo consiglio sempre a tutti senza esitare.

     • Odontoiatria D'Amico impianto osteointegrato  • 

  • D

    Prima visita molto soddisfacente svolta con professionalità

     • Odontoiatria D'Amico visita odontoiatrica  • 

  • S

    oggi ho effettuato un innesto osseo e posizionamento di due impianti, il dottore è stato bravissimo sia nell’effettuare l’anestesia sia durante tutta la durata dell’intervento. In questo studio ci si sente a proprio agio e l’attenzione per il paziente è massima da parte di tutto il personale. Sono veramente molto soddisfatta.

     • Odontoiatria D'Amico impianto osteointegrato  • 

  • C

    Sono già tre volte che vado in questo studio e devo dire che non lo lascerei per nessuna ragione. Sono stata seguita dal dottor Andrea D'Amico e lo trovo sempre molto preciso, attento sicuro ma in grado di trasmettere molta serenità, lo consiglio a qualsiasi persona abbia bisogno di cure odontoiatriche.

     • Odontoiatria D'Amico otturazione  • 

  • D

    Preparato, affidabile con ottimo staf. È riuscito a fare un impianto dopo che 8 dentisti erano stati negativi.

     • Odontoiatria D'Amico impianto osteointegrato  • 

  • R

    Altissima Professionalità con tutto lo staff, tutti gentili in particolare il mio dottore Andrea D’Amico Complimenti

     • Odontoiatria D'Amico Visita di controllo  • 

Si è verificato un errore, riprova

Risposte ai pazienti

ha risposto a 58 domande da parte di pazienti di MioDottore

Salve ho tolto una settimana fa 3 capsule con perni e radici mettendo dei punti dopo 2 giorni dolore allucinante orecchio occhio nonostante preso antibiotico ora sto prendendo cortisone e tachidol e normale tutto questo? Grazie in anticipo

Salve, le consiglio di contattare il medico di fiducia per riferire l'accaduto. Saprà sicuramente meglio di noi la causa del suo stato di infiammazione. Buona guarigione!

Dr. Andrea D'Amico

Salve, ho notato che da un pò di mesi dopo aver avuto la mononucleosi in seguito ho avuto problemi al riguardo la mandibola che scricchiola e un linfonodo reattivo ingrossato sotto la mandibola che dopo attività sportiva sento un fastidio e l'arteria temporale lievemente ingrossata, andando dal mio medico mi ha detto di aver un problema temporo mandibolare e quindi questo potrebbe essere collegato, chiedo a voi giusto per avere una secondo consulto.

Salve, non ci sono relazioni in letteratura tra mononucleosi e malattia temporo-mandibolare. Serve una visita dal suo odontoiatra di fiducia per andare ad indagare più a fondo e scoprire quali possano essere le cause dei suoi problemi.

Dr. Andrea D'Amico
Vedi tutte le risposte

Tutti i contenuti pubblicati su MioDottore.it, specialmente domande e risposte, sono di carattere informativo e in nessun caso devono essere considerati un sostituto di una visita specialistica.