Tempo medio di risposta:

Esperienze

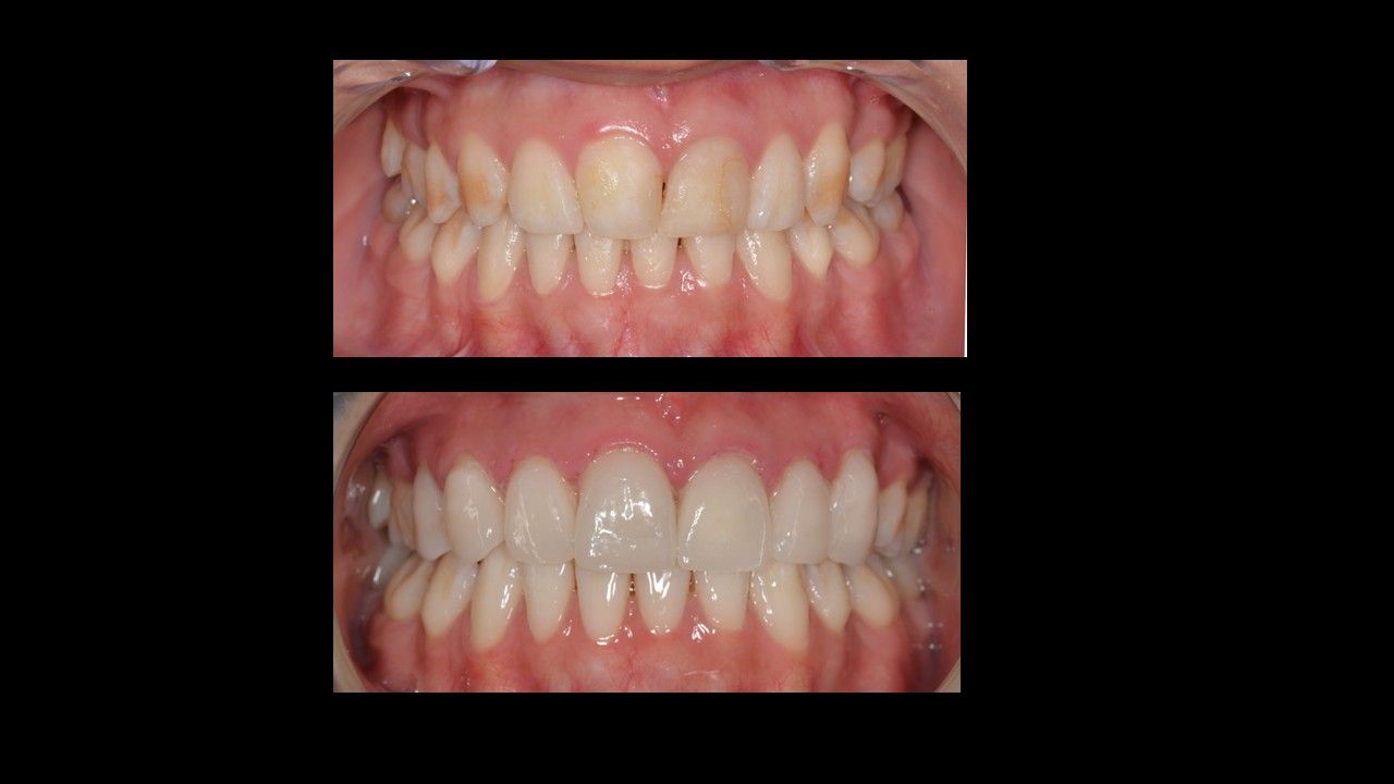
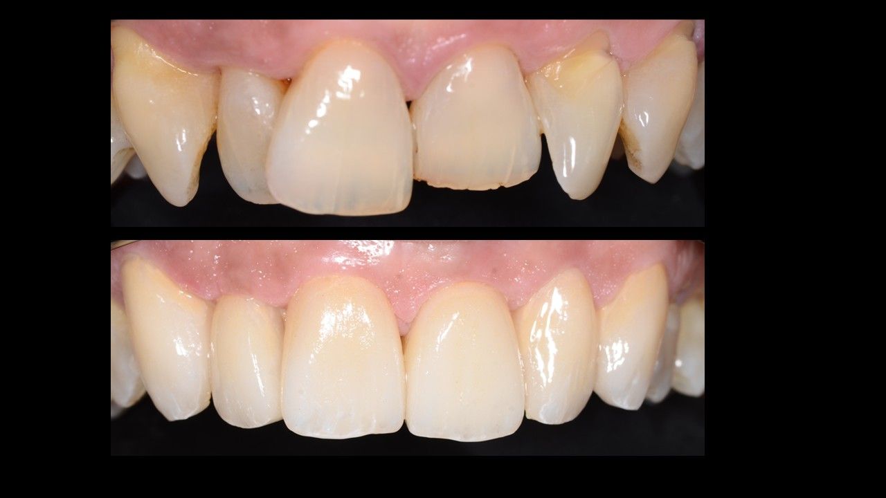
Mi chiamo Simone Benedetti e sono un odontoiatra laureato a Roma. Svolgo la mia attività come dentista generalista con particolare attenzione all’estetica dentale e alla restaurativa adesiva, occupandomi di trattamenti come faccette, intarsi e restauri adesivi, sempre con un approccio conservativo e personalizzato.

Mi dedico inoltre all’endodonzia, alla protesi , alla chirurgia orale e all’implantologia, curando ogni fase del trattamento con precisione e attenzione ai dettagli, con l’obiettivo di offrire soluzioni funzionali, durature ed esteticamente armoniose.

Ritengo fondamentale il rapporto di fiducia con il paziente: per questo pongo grande attenzione alla comunicazione, spiegando in modo chiaro ogni passaggio delle cure. Sono particolarmente sensibile alle esigenze dei pazienti che hanno paura del dentista, ai quali mi avvicino con empatia, ascolto e rispetto dei tempi individuali, per rendere l’esperienza il più possibile serena.

Il mio obiettivo è offrire un’odontoiatria moderna, efficace e umana, in cui la qualità delle cure vada di pari passo con il benessere e la tranquillità del paziente

Altro Su di me

Aree di competenza principali:

  • Endodonzia
  • Implantologia dentale
  • Odontoiatria estetica
  • Protesi dentaria

Presso questo indirizzo visito

Adulti (Solo in alcuni indirizzi)
Bambini (Solo in alcuni indirizzi)

Tipologia di visite

Foto e video

Prestazioni e prezzi

  • Prima visita dentistica

    Da 0 €

  • Visita odontoiatrica di controllo

    Prestazione gratuita

  • Chirurgia del cavo orale

    Da 90 €

  • Endodonzia

    Da 110 €

  • Esame obiettivo

    Da 440 €

Indirizzi (2)

GRUPPO ODONTOIATRICO TUSCOLANO
GRUPPO ODONTOIATRICO TUSCOLANO

Via Caio Manilio, 11, Via Caio Manilio 9-11, Roma 00174

Vedi mappa si apre in una nuova scheda

Disponibilità

Modalità di pagamento (visite private)

  • Assegno
  • Bonifico istantaneo
  • Carta di credito
  • Carta di debito

Telefono

06 4368...
338 467...
Simone Benedetti
studio
Vedi mappa si apre in una nuova scheda

Disponibilità

Questo dottore non offre prenotazioni online a questo indirizzo

Convenzioni assicurative non attive

Questo dottore accetta solo pazienti privati. Verrà richiesto un pagamento da parte tua per la prestazione o puoi ricercare un altro dottore che abbia una convenzione con la tua assicurazione

22 recensioni

Più menzionato dai pazienti

  • Attenzione durante la visita
  • Spiegazioni dettagliate
  • Efficacia del trattamento
Tutte le recensioni contano e non possono essere rimosse o modificate dai dottori a proprio piacimento. Scopri come funziona il processo di moderazione delle recensioni. Per saperne di più sulle opinioni
  • E

    Esperienza molto positiva. Oggi mi è stata curata una carie con una tecnica moderna e accurata. Il dentista ha utilizzato la diga dentale, che permette di lavorare in un ambiente asciutto e protetto, trasmettendo grande professionalità e attenzione ai dettagli. Mi sono sentita a mio agio durante tutto il trattamento. Ringrazio il dottore e il suo staff per la competenza e la gentilezza.

     • GRUPPO ODONTOIATRICO TUSCOLANO chirurgia ambulatoriale  • 

  • S

    Sono cliente dello studio praticamente dalla loro apertura ed ho fatto anche degli interventi complessi. Ho trovato competenza, attenzione, disponibilità, pulizia e gentilezza. Molto consigliato

     • GRUPPO ODONTOIATRICO TUSCOLANO otturazione in composito  • 

  • L

    Mi sono fidato e ho fatto bene, competenza e professionalità, sono molto contento dei risultati fin ora.

     • GRUPPO ODONTOIATRICO TUSCOLANO intarsio  • 

  • M

    L’igienista è stata bravissima e il dottore mi ha spiegato alla perfezione che tipo di problematiche ho ai denti e come curarli in modo preciso e dettagliato.

     • GRUPPO ODONTOIATRICO TUSCOLANO ortodonzia  • 

  • F

    Il dottore è estremamente preciso e meticoloso, sempre attento a ogni dettaglio. Mi ha spiegato con chiarezza ogni passaggio del trattamento, facendomi sentire tranquilla e in buone mani. Consigliatissimo.

     • GRUPPO ODONTOIATRICO TUSCOLANO intarsio  • 

  • S

    Ottima esperienza per un'otturazione. Ero un po' nervoso, ma il dentista mi ha messo subito a mio agio spiegandomi ogni passaggio. Trattamento indolore e risultato estetico perfetto, non si vede nemmeno dove è stato fatto l'intervento

     • GRUPPO ODONTOIATRICO TUSCOLANO otturazione in composito  • 

  • R

    Ottima professionalità da parte di tutto lo staff
    Personale attento e competente

     • GRUPPO ODONTOIATRICO TUSCOLANO ortodonzia  • 

  • C

    Il dottor Simone è una persona attenta e professionale pronto a risolvere problemi che altri dentisti hanno sottovalutato finalmente ho trovato un dentista serio..

     • GRUPPO ODONTOIATRICO TUSCOLANO Altro  • 

  • G

    Grande professionalità. Molto comprensivo ed attento al piano delle cure del mio caso. E’ stato molto professionale spiegandomi ogni passaggio delle cure e degli impianti dentali.
    Gli impianti già eseguiti "ZERO DOLORE" durante e dopo gli interventi.

     • GRUPPO ODONTOIATRICO TUSCOLANO implantologia  • 

  • D

    Persona eccellente, trattamento perfetto, paziente .

     • GRUPPO ODONTOIATRICO TUSCOLANO implantologia  • 

Si è verificato un errore, riprova