Esperienze

Dal 2010 esercita la libera professione odontoiatrica, limitata alla sola ortodonzia, utilizzando tecniche di ortodonzia fissa, funzionale, linguale ed Invisalign e conseguito le certificazioni per le suddette metodiche. Collabora con studi situati nel Lazio, Campania e Lombardia. Collabora con la cattedra di Ortognatodonzia, presso l’università G. D’annunzio di Chieti-Pescara, occupandosi di clinica, didattica e ricerca. Ha frequentato numerosi altri corsi di aggiornamento e partecipato in numerosi poster scientifici.

Dal 2011 è iscritto all’Ordine dei Medici e degli Odontoiatri di Latina, è socio dell’Associazione Nazionale Dentisti Italiani (ANDI) e socio della Società italiana di Ortodonzia (SIDO) 2013 è socio fondatore Odontoalumni Università di Chieti.

Altro Su di me

Aree di competenza principali:

  • Ortodonzia

Tipologia di visite

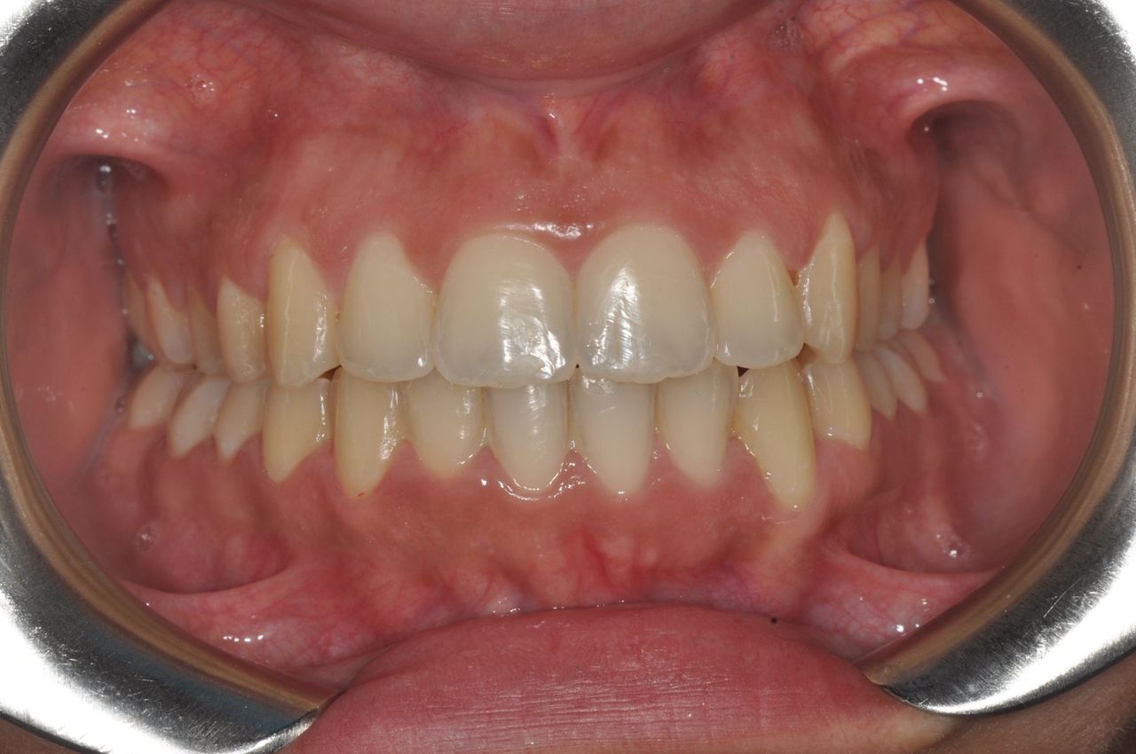
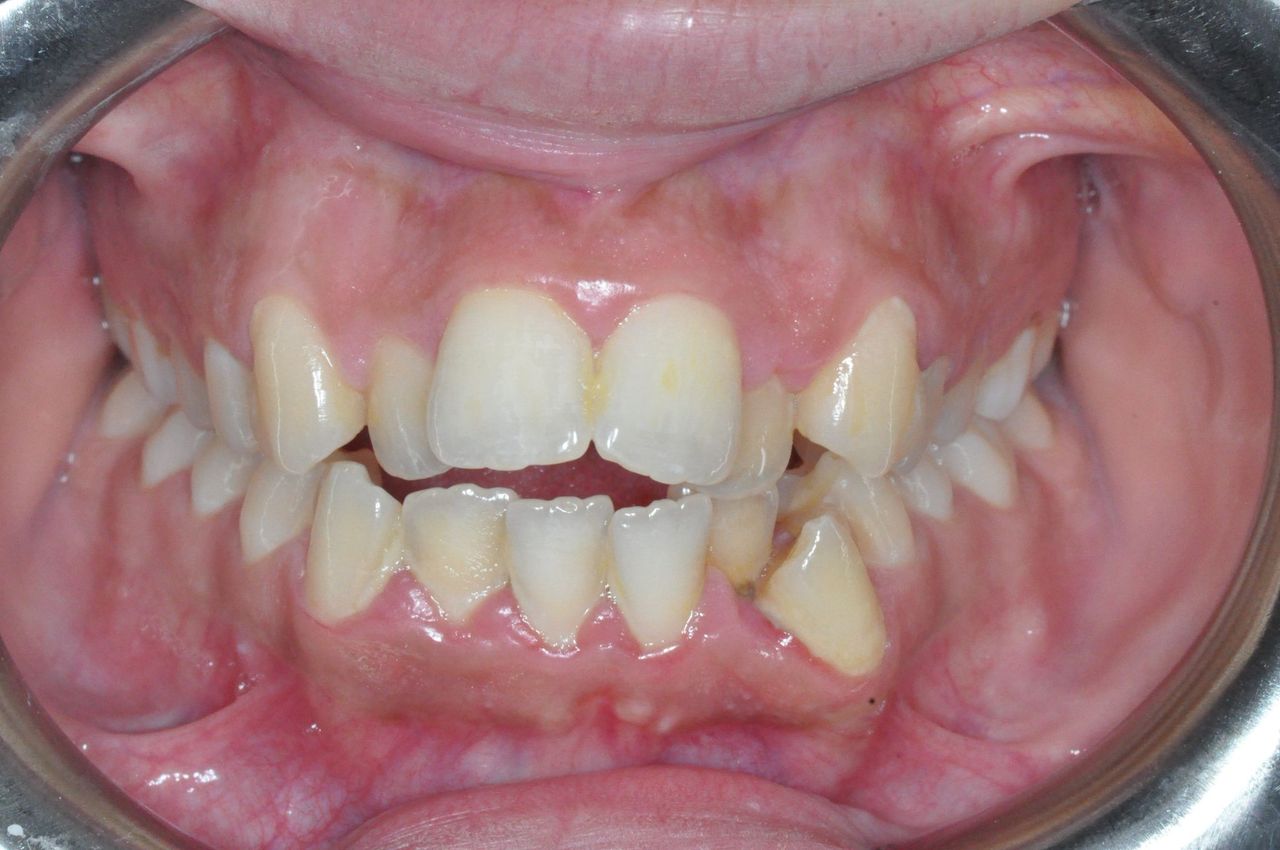
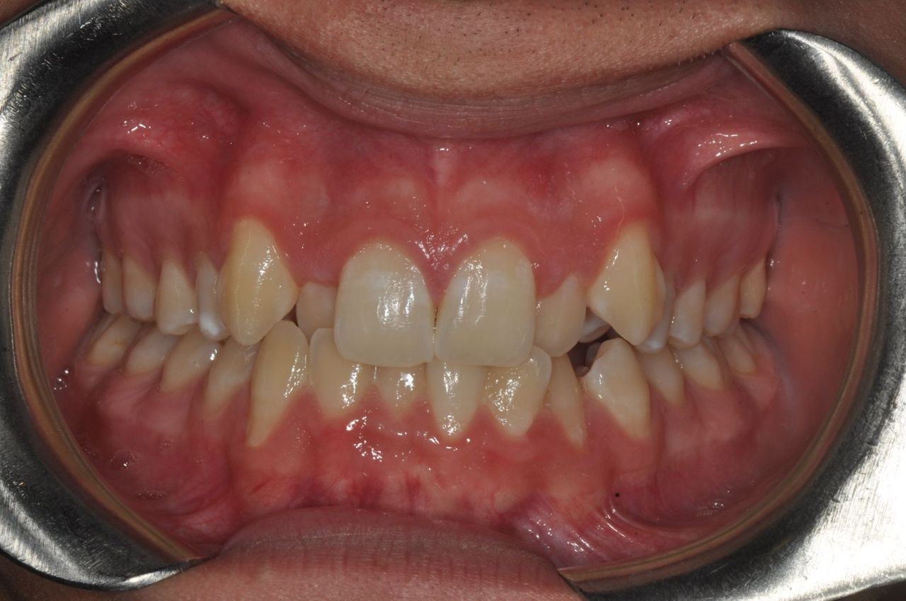
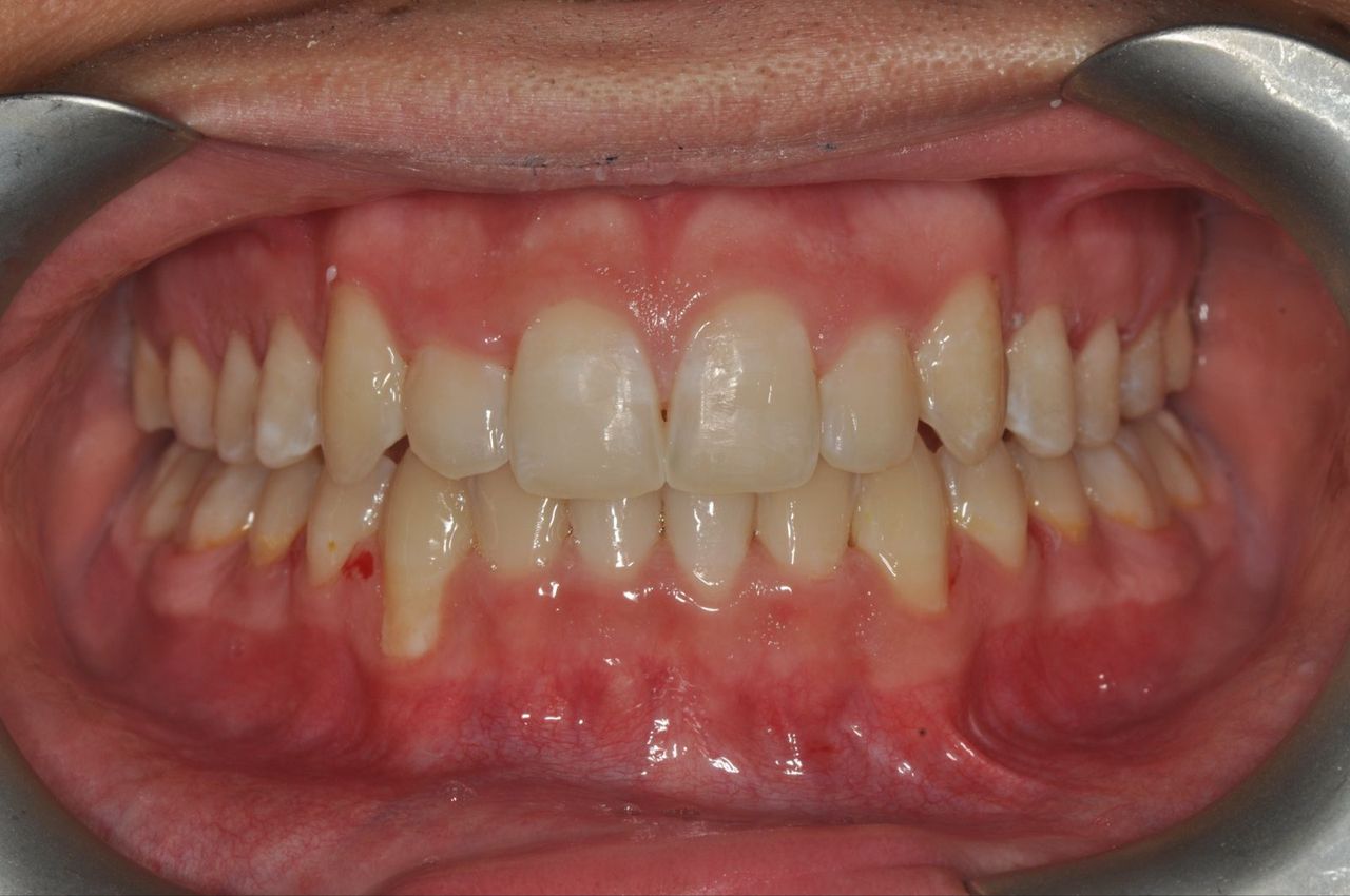
Foto e video

Prestazioni e prezzi

  • Visita dentistica


Indirizzo

Vedi mappa si apre in una nuova scheda
Odontoesthetic Studio di Dr.ssa Marjan Ghassemian

Via Nino Taranto, 43, Roma 00125

Disponibilità

Questo dottore non offre prenotazioni online a questo indirizzo

Pagamento online

Accettato

Telefono

06 9193...
Vedi mappa si apre in una nuova scheda

2 recensioni

Tutte le recensioni contano e non possono essere rimosse o modificate dai dottori a proprio piacimento. Scopri come funziona il processo di moderazione delle recensioni. Per saperne di più sulle opinioni
  • F

    Il Dott.Alicandro è sinonimo di grande professionalità

     • Odontoesthetic Studio Altro  • 

  • S

    Il Dr. Alicandro è molto attento e preparato. Lo consiglio!

     • Odontoesthetic Studio visita dentistica  • 

Si è verificato un errore, riprova