Tempo medio di risposta:

Esperienze

Sono un Medico Chirurgo Specialista in Ortopedia e Traumatologia. Mi occupo di tutte le principali patologie dell’apparato locomotore e sono specializzato nel trattamento chirurgico e conservativo delle patologie delle grandi articolazioni: anca, ginocchio e spalla.

Ho completato la mia formazione clinica e chirurgica presso il Policlinico Universitario Campus Bio-Medico di Roma, sotto la guida del mio mentore, il Prof. Rocco Papalia. Nel corso degli anni ho inoltre maturato numerose esperienze formative e di confronto al fianco di chirurghi di fama internazionale. Questo percorso mi ha permesso di consolidare un approccio professionale orientato all’eccellenza, alla presa in carico del paziente a 360 gradi e all’applicazione delle migliori evidenze scientifiche disponibili.

Svolgo la mia attività clinica e chirurgica presso l’Istituto Clinico Casalpalocco di Roma, struttura convenzionata con il Servizio Sanitario Nazionale, che mi consente di offrire ai pazienti che necessitano di un intervento chirurgico un percorso sicuro, ben organizzato e senza interminabili attese, dalla prima visita all’intervento e per tutto il follow-up post-operatorio. Inoltre, opero presso la Casa di Cura Villa Stuart – FIFA Medical Centre of Excellence nell’equipe specializzata del Prof. Francesco Franceschi.

Nella pratica quotidiana l’ascolto attento del paziente è il mio punto di partenza che mi permette di inquadrare al meglio ogni situazione clinica e di cucire su misura il trattamento. Ritengo fondamentale spiegare con chiarezza la condizione clinica e gli obiettivi terapeutici, perché un paziente informato affronta con maggiore efficacia il percorso di recupero.

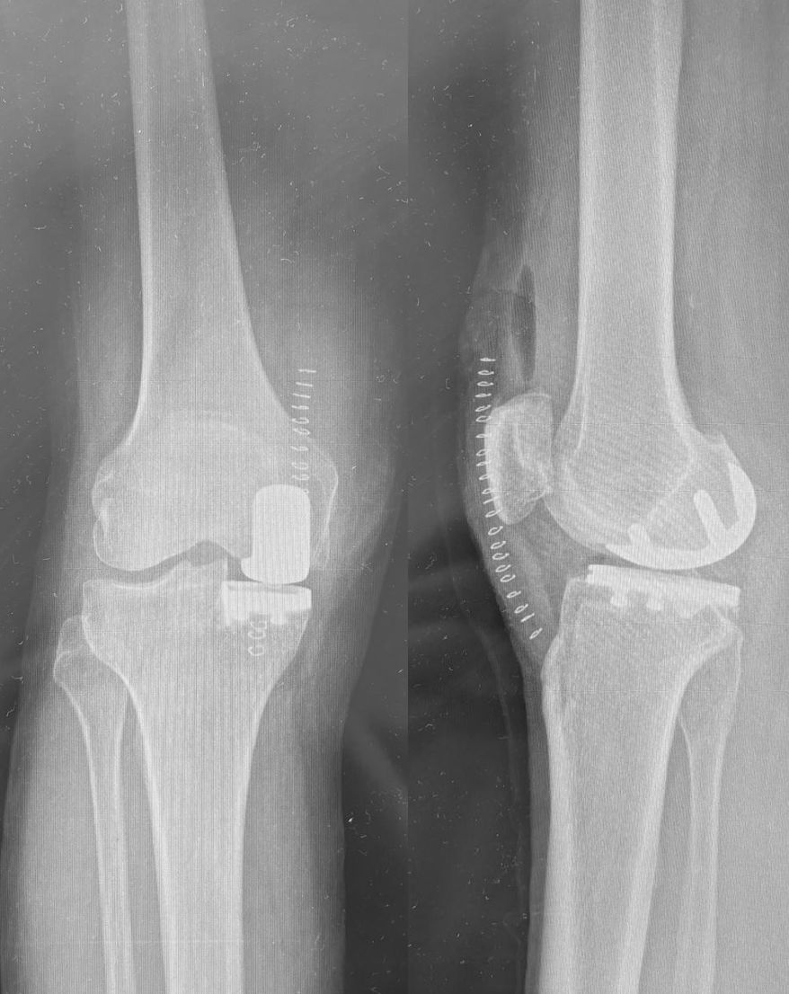
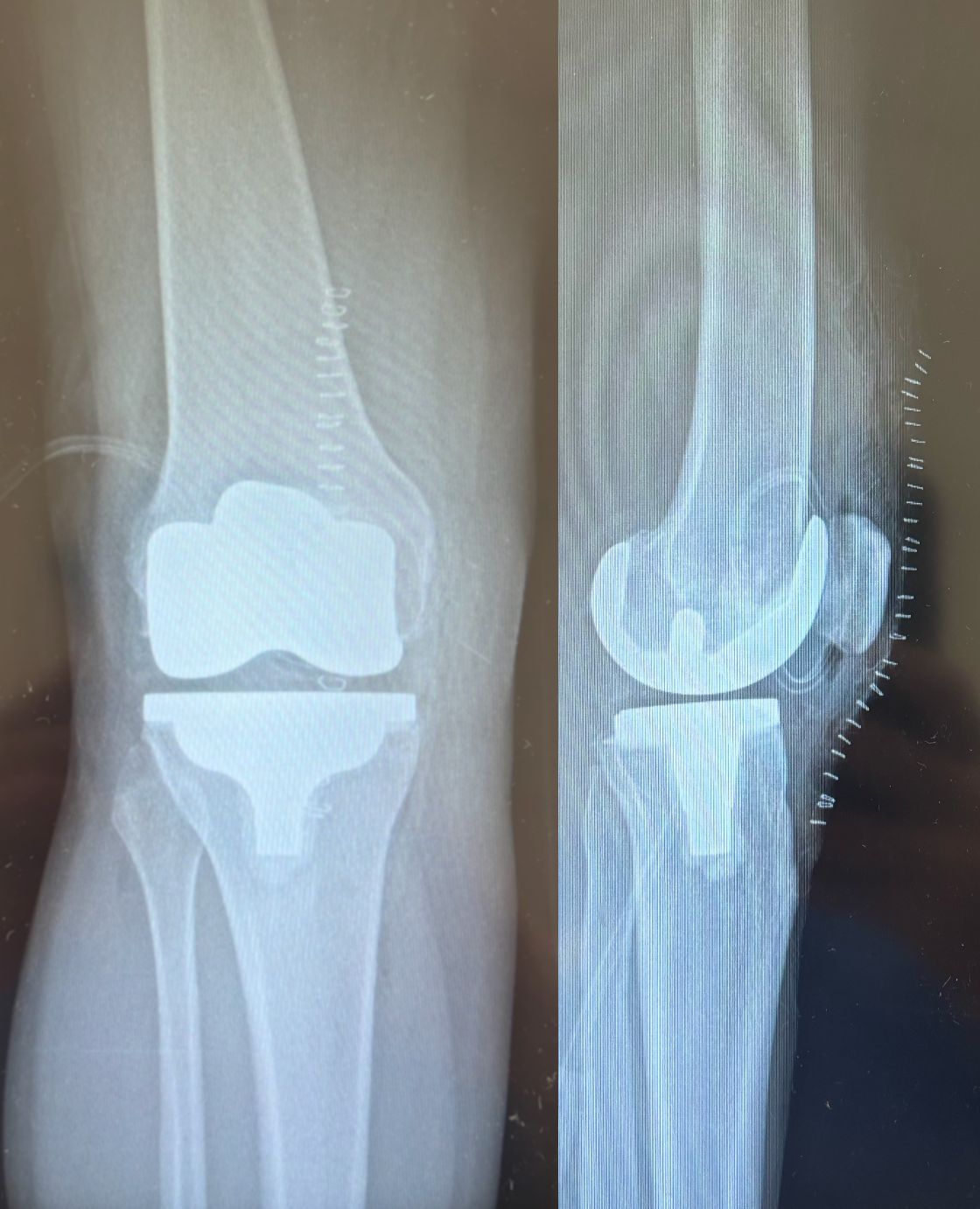
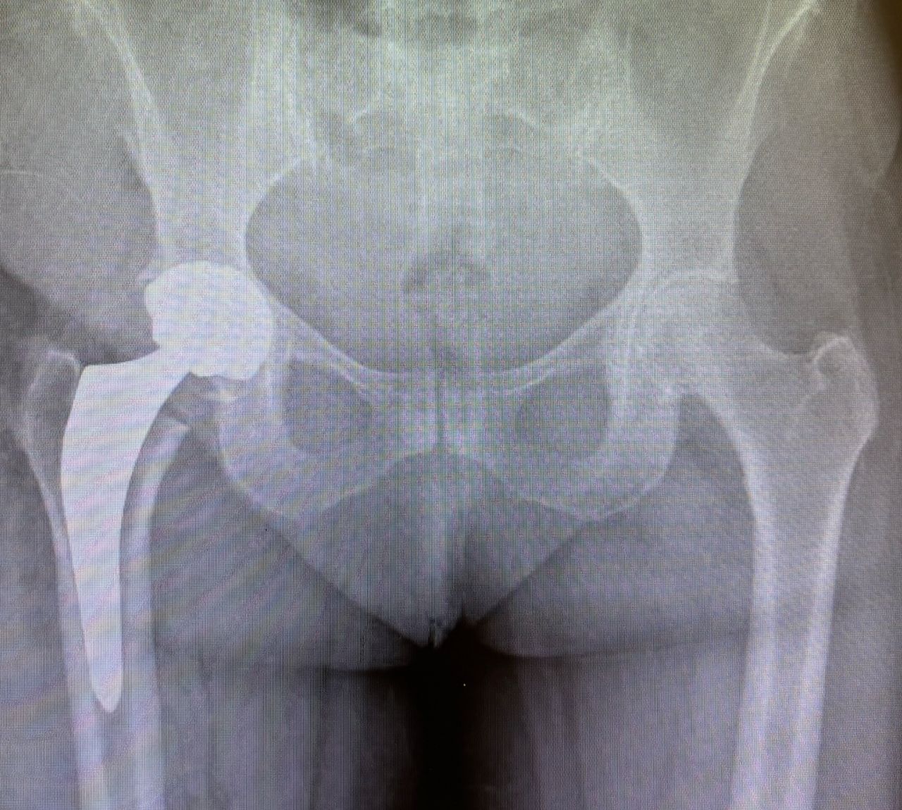
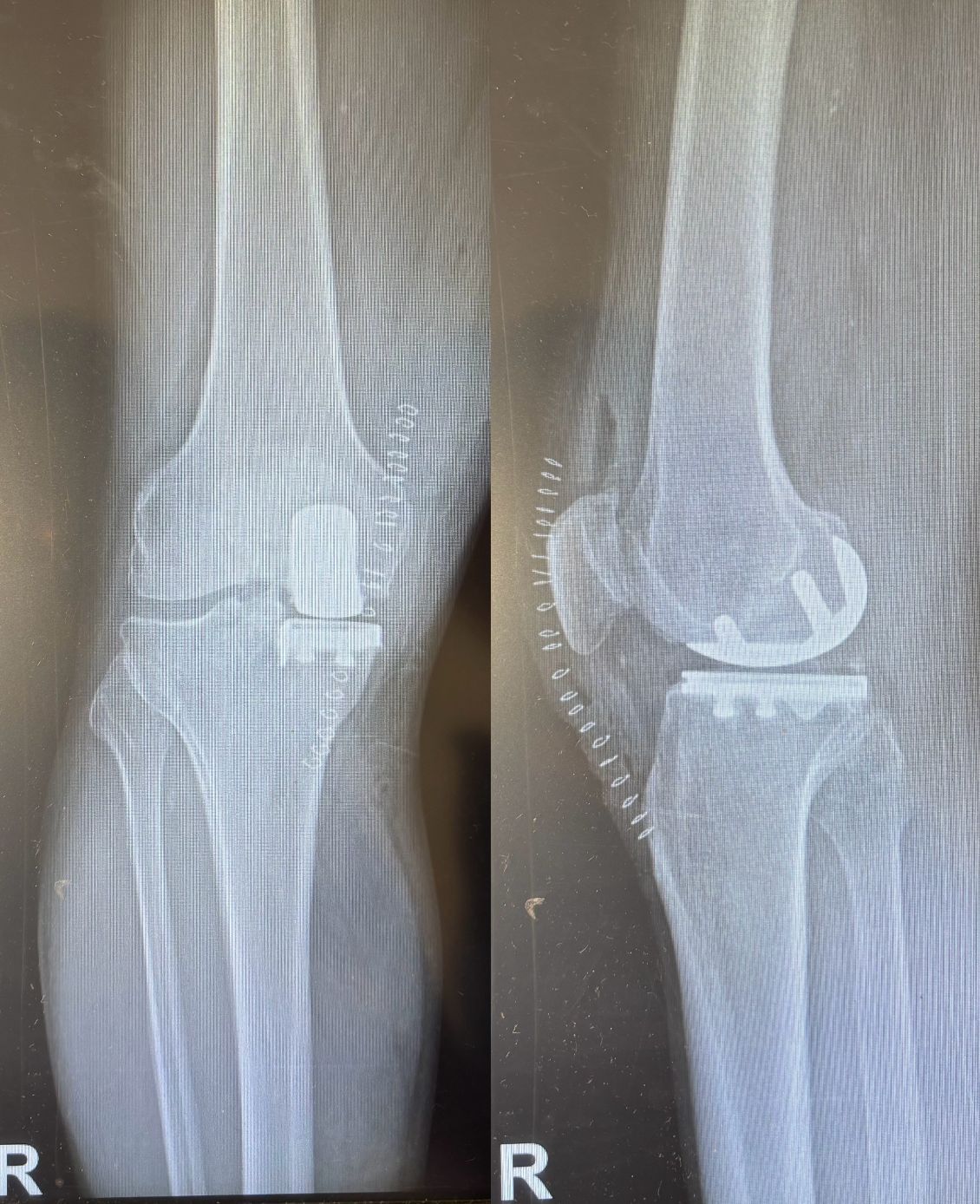
Ho maturato una solida esperienza nella chirurgia protesica mini-invasiva di anca e ginocchio. Eseguo interventi di protesi di anca mediante accesso anteriore “bikini” e accesso posterolaterale, interventi di protesi di ginocchio sia monocompartimentale che totale. Tratto la traumatologia sportiva di ginocchio e spalla mediante l’utilizzo di tecniche artroscopiche mini-invasive.

Eseguo inoltre terapie infiltrative rigenerative avanzate, tra cui trattamenti con PRP (plasma ricco di piastrine) e con tessuto adiposo microframmentato (ricco di cellule staminali mesenchimali) nell’ambito delle patologie artrosiche e delle tendinopatie croniche, con protocolli mirati alla riduzione del dolore e al recupero funzionale.

Altro Su di me

Aree di competenza principali:

  • Chirurgia del ginocchio
  • Chirurgia dell'anca
  • Chirurgia della spalla
  • Ortopedia e traumatologia del sistema motorio

Presso questo indirizzo visito

Adulti (Solo in alcuni indirizzi)
Bambini (Solo in alcuni indirizzi)

Tipologia di visite

Foto e video

Prestazioni e prezzi

  • Prima visita ortopedica

    50 €

  • Visita ortopedica

    120 €

  • Visita ortopedica di controllo

    80 €

  • Artrocentesi

    100 €

  • Controllo post-intervento

    80 €

Indirizzi (5)

Vedi mappa si apre in una nuova scheda
Visite domiciliari

Piazza Pio XI, 1, Roma 00165

Disponibilità

Telefono

320 882...
Vedi mappa si apre in una nuova scheda
Vedi mappa si apre in una nuova scheda
GMV Roma - Istituto clinico Casalpalocco

Viale Alessandro Magno, 382/388, Roma 00124

Disponibilità

Telefono

06 5017...
Vedi mappa si apre in una nuova scheda
Vedi mappa si apre in una nuova scheda
Poliambulatorio Med-Ex

Via Vittorio Veneto, 108, IV piano, interno 7, Roma 00187

Disponibilità

Telefono

06 481...
Vedi mappa si apre in una nuova scheda
Vedi mappa si apre in una nuova scheda
Home Medicine

Via del Torraccio di Torrenova, 91q, Roma 00133

Disponibilità

Telefono

06 6928...
Vedi mappa si apre in una nuova scheda
Vedi mappa si apre in una nuova scheda
Casa di Cura Villa Stuart

Via Trionfale 5952, IV piano - ambulatorio equipe Prof.Franceschi, Roma 00135

Disponibilità

Questo dottore non offre prenotazioni online a questo indirizzo

Vedi mappa si apre in una nuova scheda

Assicurazioni accettate

Le assicurazioni sono accettate ma la copertura varia a seconda della località e del servizio, puoi verificarlo durante la fase di prenotazione!

  • Generali

9 recensioni

Tutte le recensioni contano e non possono essere rimosse o modificate dai dottori a proprio piacimento. Scopri come funziona il processo di moderazione delle recensioni. Per saperne di più sulle opinioni
  • L

    Ortopedico esperto e che sa ascoltare, è stato di grande aiuto.

     • Casa di Cura Villa Stuart visita ortopedica  • 

  • S

    Il dottor Del Monaco é stato professionale, educato è competente nonostante la giovane età. Sono andato per avere un altro parere dopo che mi é stato detto di operarmi al ginocchio in artroscopia, invece il dottor Del Monaco ha adottato un metodo meno invasivo che ha risolto lo stesso il problema al ginocchio.

     • Visite domiciliari visita ortopedica  • 

  • C

    Mi sono rivolta al dottore Del Monaco dopo aver effettuato una risonanza magnetica alla cervicale per delle vertigini.
    Ho trovato un professionista estremamente disponibile e attento: con grande calma, precisione e chiarezza mi ha spiegato nel dettaglio la diagnosi, rendendo tutto facilmente comprensibile anche per chi non ha competenze mediche.
    Ho apprezzato molto anche la cura con cui mi ha illustrato i prossimi passi da seguire, fornendomi indicazioni chiare e utili su come procedere.
    Una visita davvero accurata, svolta con professionalità e attenzione al paziente. Consigliatissimo.

     • Casa di Cura Villa Stuart visita ortopedica  • 

    Dott. Alessandro Del Monaco

    Grazie per le belle parole!


  • C

    Mi sono rivolta al Dottore Del Monaco per un problema al polso.
    La mia esperienza è stata decisamente positiva! Oltre a professionalità e competenza, ho riscontrato anche una grande passione per il suo lavoro.
    Grazie al suo aiuto ho risolto una volta per tutte il dolore che mi tormentava da mesi e ho anche potuto riprendere ad allenarmi con regolarità.
    Consigliatissimo.

     • Poliambulatorio Med-Ex visita ortopedica  • 

    Dott. Alessandro Del Monaco

    Grazie!!!


  • A

    Nonostante la problematica alla mia gamba si discosti dalle dinamiche più comuni, il dottor Del Monaco ha mostrato grandissima competenza e professionalità. Un’analisi attenta e mirata che denota un’ampia conoscenza dell’argomento. Consiglio vivamente !

     • Poliambulatorio Med-Ex visita ortopedica  • 

    Dott. Alessandro Del Monaco

    La ringrazio per le sue parole


  • C

    Mi sono rivolta al dott. Del Monaco perché da diverso tempo accusavo dolore e limitata mobilità alla spalla e all'anca. Ho trovato un professionista estremamente competente e preparato, che mi ha visitata e indicato in modo chiaro e sicuro non solo gli esami diagnostici da effettuare ma anche la terapia da seguire, assicurandomi un supporto continuativo anche "a distanza".
    Sarebbe tuttavia riduttivo parlare solo della competenza e della professionalità del dottore. Le sue doti, infatti, vanno oltre le abilità tecniche, perché prima di tutto è una persona empatica e disponibile, capace di ascoltare e rassicurare prima ancora di curare una patologia.

     • Poliambulatorio Med-Ex visita ortopedica  • 

    Dott. Alessandro Del Monaco

    La ringrazio per le sue parole!


  • A

    Professionista molto competente, giovane empatico e oltremodo disponibile.
    Lo consiglio vivamente a chi cerca uno specialista ricco di qualità ed umanità.

     • Visite domiciliari visita ortopedica  • 

    Dott. Alessandro Del Monaco

    Grazie mille


  • M

    E' un medico empatico e paziente che ascolta, analizza i dati, spiega e motiva la soluzione medica proposta. Accurato nella visita e attento nella individuazione del problema sulla base di quanto riferitogli o nella valutazione degli esami eventualmente prescritti. Capace, imfine, di rassicurare il paziente in merito al prosieguo dell'iter medico.

     • Poliambulatorio Med-Ex visita ortopedica  • 

    Dott. Alessandro Del Monaco

    Grazie, gentilissima!


  • P

    Ho avuto la fortuna di incontrare il dottor Del Monaco per un problema al ginocchio. Ha saputo tranquillizzarmi spiegandomi chiaramente la situazione è mostrandomi l'iter che avrei dovuto seguire. Ad oggi posso dire di aver trovato un professionista serio e scrupoloso attento alla cura del paziente. Consigliatissimo!

     • Poliambulatorio Med-Ex visita ortopedica  • 

    Dott. Alessandro Del Monaco

    Grazie per le belle parole!


Si è verificato un errore, riprova

Risposte ai pazienti

ha risposto a 4 domande da parte di pazienti di MioDottore

Buonasera,
vorrei un parere sulla mia situazione alla spalla destra operata.

Il 25/06/2025 ho subito un intervento chirurgico in artroscopia per rottura della cuffia dei rotatori spalla destra.
Dalla relazione operatoria risulta:
• rottura inserzionale del sovraspinato
• lesione complessa del capo lungo del bicipite con sublussazione mediale
• tenotomia del capo lungo del bicipite
• bursectomia
• denervazione acromiale
• reinserzione della cuffia all’osso con ancora a doppio filo

Ho seguito fisioterapia e riabilitazione come indicato dopo l’intervento.
Tuttavia, a distanza di quasi un anno dall’operazione, ho ancora dolore alla spalla, soprattutto di notte e durante alcuni movimenti (alzare il braccio, movimenti dietro la schiena, sforzi e lavoro). La forza non è ancora tornata normale e a volte sento dolore anche nei movimenti quotidiani.

Vorrei sapere se è normale avere ancora dolore dopo quasi un anno dall’intervento oppure se potrebbe esserci qualche problema come aderenze, infiammazione, tendine non guarito bene o altre complicazioni post operatorie.

Buongiorno, dopo un intervento di riparazione della cuffia dei rotatori possono talvolta comparire problematiche post-operatorie come fenomeni infiammatori, ad esempio una capsulite, oppure in alcuni casi può verificarsi una recidiva della lesione (una nuova lesione della cuffia) , in altri possono formarsi delle piccole calcificazioni.
Per dirimere tra queste cause è fondamentale una visita ortopedica con esame clinico accurato della spalla e sulla base di quanto emerge si può procedere direttamente con una terapia oppure può rendersi necessario approfondire mediante una risonanza magnetica.

Resto a disposizione

Dott. Alessandro Del Monaco

Dott. Alessandro Del Monaco

Buongiorno,
avrei piacere a ricevere un opinione sul seguente referto, dopo alcuni mesi i dolori alla spalla si sono risolti spontaneamente. Grazie.
RM SPALLA SX
Anamnesi: spalla dolorosa.
Non in visione precedenti né referti di visite specialistiche.
Esame eseguito con risonanza ad alto campo 1,5 con immagini assiali sagittali e coronali T1 e T2-pesate
Rapporti articolari conservati.
Note artrosiche acromion-claveari.
Leggermente ridotto in ampiezza lo spazio acromion-omerale.
Il tendine sopraspinoso presenta alterazioni degenerative croniche con accenno a microrottura in sede
inserzionale cui corrispondono alterazioni del trochite riferibili a microlesioni da trazione tendinea con note
edematose e cisti geodiche subcondrali.
Ventre muscolare sopraspinoso lievemente ipotrofico.
Iniziali note degenerative croniche del tendine sottospinoso, cui corrispondono irregolarità corticali del
trochite riferibili a microlesioni da trazione tendinea, con ventre muscolare normotrofico.
Conservato il piccolo rotondo.
Non borsite subacromion-deltoidea.
Rapporti gleno-omerali mantenuti. Labbri glenoidei riconoscibili. Non versamento articolare.
Nella norma i capi lungo e breve del bicipite.
Iniziali note degenerative croniche all'inserzione del tendine sottoscapolare con ventre muscolare
normotrofico.

Buongiorno, dal quadro che si evince dal referto della risonanza magnetica si potrebbe ipotizzare una tendinopatia cronica della cuffia dei rotatori senza una franca rottura. In questi casi è tipica una sintomatologia altalenante con periodi di acutizzazione del dolore. Se in questa fase non è presente dolore le consiglio vivamente di iniziare un percorso di rinforzo muscolare della cuffia dei rotatori per mantenere un buon trofismo dei muscoli (quindi una buona massa muscolare) al fine di far lavorare bene la spalla e di ridurre il rischio di rottura dei tendini. Qualora dovessero riacutizzarsi i sintomi le consiglio di eseguire una visita ortopedica per una valutazione funzionale della spalla e dei tendini.

Cordialmente

Dott. Alessandro Del Monaco

Dott. Alessandro Del Monaco
Vedi tutte le risposte

Tutti i contenuti pubblicati su MioDottore.it, specialmente domande e risposte, sono di carattere informativo e in nessun caso devono essere considerati un sostituto di una visita specialistica.