Tempo medio di risposta:

Esperienze

Sono la Dottoressa Roberta Grassi, chirurgo medico odontoiatra ho conseguito la laurea all’Università vita salute San Raffaele ho conseguito un master in medicina estetica , dottorato in ricerca in scienze biomediche presso l’Università di Sassari e specializzata in chirurgia orale università torvergata. Mi occupo di ortodonzia medicina estetica faccette dentali e tanto altro :)

Altro Su di me

Aree di competenza principali:

  • Endodonzia
  • Implantologia dentale
  • Igiene dentale
  • Chirurgia maxillo facciale
  • Chirurgia odontostomatologica
  • Gnatologia
  • Chirurgia orale
  • Odontoiatria estetica
  • Odontoiatria pediatrica
  • Odontoiatria
  • Ortodonzia
  • Implantologia
Mostra dettagli

Presso questo indirizzo visito

Adulti
Bambini

Tipologia di visite

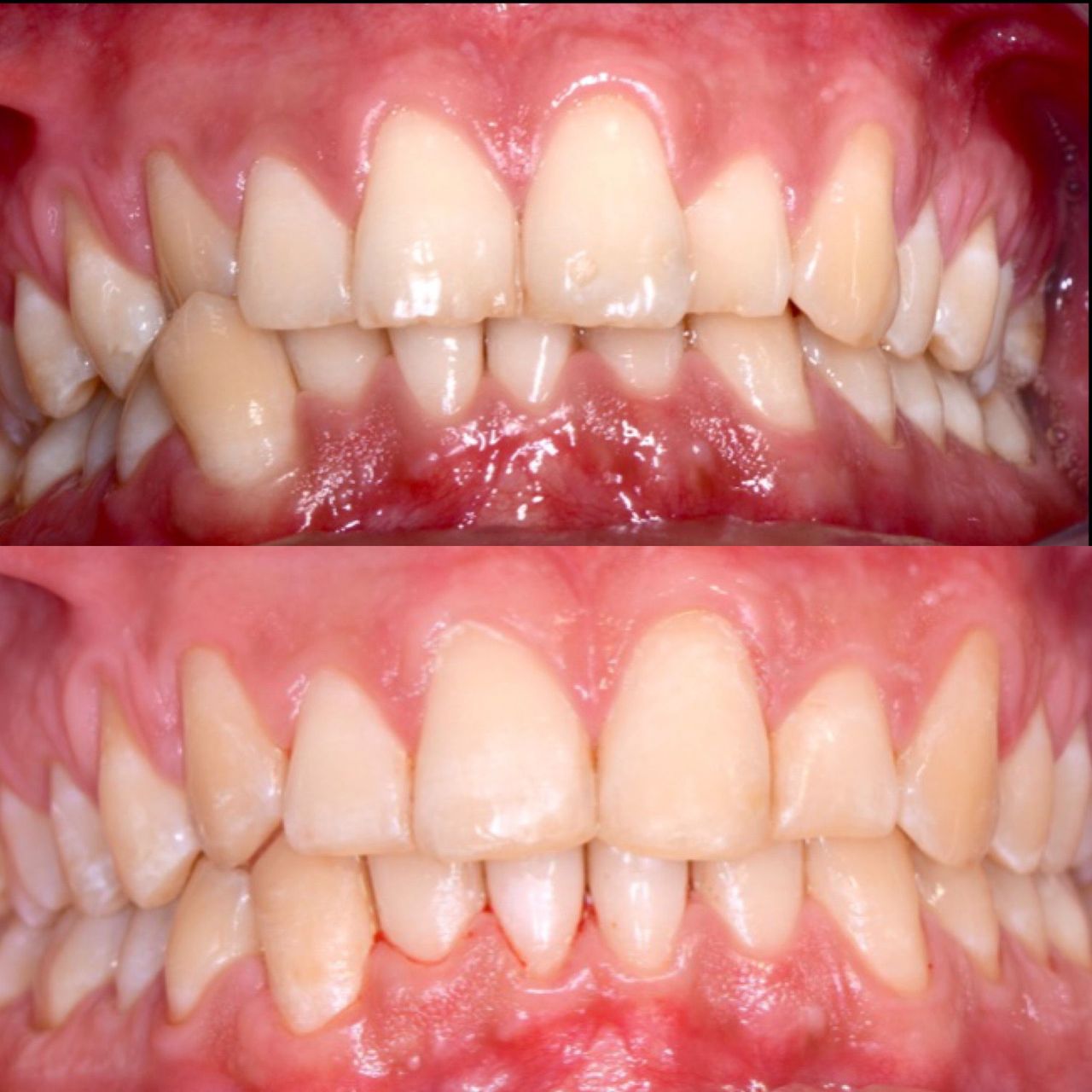
Foto e video

Prestazioni e prezzi

  • Prima visita dentistica


  • Ortopantomografia


  • Trattamento filler


  • Trattamenti di odontoiatria conservativa


  • Seduta di igiene orale


Indirizzo

Vedi mappa si apre in una nuova scheda
Sorriso

Via Celentano 16, Bari 70121

Disponibilità

Telefono

080 999...
Vedi mappa si apre in una nuova scheda

Convenzioni assicurative non attive

Questo dottore accetta solo pazienti privati. Verrà richiesto un pagamento da parte tua per la prestazione o puoi ricercare un altro dottore che abbia una convenzione con la tua assicurazione

33 recensioni

Più menzionato dai pazienti

  • Attenzione durante la visita
  • Efficacia del trattamento
  • Spiegazioni dettagliate
Tutte le recensioni contano e non possono essere rimosse o modificate dai dottori a proprio piacimento. Scopri come funziona il processo di moderazione delle recensioni. Per saperne di più sulle opinioni
  • F

    Professionista precisa ed empatica, in grado di offrire la miglior soluzione per il paziente

    • Ottimo studio
     • Sorriso corone e ponti fissi  • 

    Dott.ssa Roberta Grassi

    Grazie mille :)


  • C

    La Dott.ssa Grassi mi è stata consigliata per la sua competenza e professionalità, qualità che ho ritrovato pienamente, assieme a tanta disponibilità. Assolutamente soddisfatto del mio percorso con lei, consiglio fortemente.

    • Attenzione durante la visita
    • Spiegazioni dettagliate
    • Efficacia del trattamento
    • Ottimo studio
    • Puntualità
     • Sorriso ortodonzia fissa e mobile  • 

    Dott.ssa Roberta Grassi

    Grazie mille ti aspettiamo presto :)


  • R

    La dott.ssa è molto preparata, consiglio a tutti vivamente!

    • Attenzione durante la visita
    • Spiegazioni dettagliate
    • Efficacia del trattamento
    • Ottimo studio
    • Puntualità
     • Sorriso estrazione dente del giudizio  • 

    Dott.ssa Roberta Grassi

    Grazie mille ti aspettiamo presto :)


  • A

    Dottoressa molto attenta e preparata. Empatica con il paziente, delicata nell’esecuzione del trattamento. Contenta del risultato

    • Attenzione durante la visita
    • Spiegazioni dettagliate
    • Efficacia del trattamento
    • Puntualità
     • Sorriso sbiancamento dentale  • 

    Dott.ssa Roberta Grassi

    Grazie mille :)


  • G

    Tutto perfetto, studio con macchinari moderni, personale accogliente e dottoressa bravissima e coscienziosa. Non lascia nulla al caso. Ci tornerò

    • Attenzione durante la visita
    • Spiegazioni dettagliate
    • Efficacia del trattamento
     • Sorriso devitalizzazione  • 

    Dott.ssa Roberta Grassi

    Grazie mille :)


  • N

    Ho avuto il piacere di essere seguito dalla dottoressa Roberta, super preparata e molto professionale inoltre l equipe mi ha accolto con molto garbo

    • Attenzione durante la visita
    • Spiegazioni dettagliate
    • Efficacia del trattamento
    • Ottimo studio
    • Puntualità
     • Sorriso visita ortodontica  • 

    Dott.ssa Roberta Grassi

    Grazie mille :)


  • E

    Mi sono rivolto alla Dott.ssa Grassi per una pulizia dentale e sono rimasto molto soddisfatto sia del risultato sia del prezzo del trattamento. La visita è iniziata all’orario esatto in cui avevo prenotato e, nonostante la rapidità dell’intervento non è stato tralasciato nessun dettaglio dimostrando una cura più che adeguata verso le esigenze del paziente e passione in quello che fa. Consiglio di rivolgersi a Lei per tutti quelli che vogliono prendersi cura della propria salute orale.

    • Attenzione durante la visita
    • Efficacia del trattamento
    • Puntualità
     • Sorriso seduta di igiene orale  • 

    Dott.ssa Roberta Grassi

    Grazie mille :) ti aspettiamo presto in studio


  • M

    Mi sono trovata molto bene, grande professionalità e affidabilità con opzioni di trattamento all’avanguardia.
    Sono molto soddisfatta, raccomando vivamente!

    • Attenzione durante la visita
    • Spiegazioni dettagliate
    • Efficacia del trattamento
    • Ottimo studio
    • Puntualità
     • Sorriso prima visita dentistica  • 

    Dott.ssa Roberta Grassi

    Grazie mille ti aspettiamo presto in studio :)


  • K

    La dott.ssa Grassi oltre a essere simpatica,bella è molto competente nel suo lavoro e determinata. E sopratutto ti mette a tuo agio.

    • Efficacia del trattamento
     • Sorriso estrazione dentaria  • 

    Dott.ssa Roberta Grassi

    Grazie mille :)


  • B

    La Dott.ssa Roberta Grassi è una professionista accogliente, competente e molto attenta al paziente. Ho effettuato il trattamento PRX-T33 e mi sono sentita seguita in ogni passaggio: spiegazioni chiare, dettagliate, disponibilità e grande delicatezza. Un approccio serio ma allo stesso tempo umano, che mette davvero a proprio agio. Consigliatissima.

    • Attenzione durante la visita
    • Spiegazioni dettagliate
    • Efficacia del trattamento
    • Ottimo studio
    • Puntualità
     • Sorriso Altro  • 

    Dott.ssa Roberta Grassi

    Grazie mille ti aspettiamo presto per le prossime sedute :)


Si è verificato un errore, riprova