Tempo medio di risposta:

Esperienze

Sono il Dott. Alessandro Donzelli, medico odontoiatra con formazione avanzata in Chirurgia Orale e Medicina Estetica del Volto.

Mi occupo della diagnosi, prevenzione e trattamento delle principali patologie del cavo orale, con un approccio moderno, minimamente invasivo e orientato al risultato funzionale ed estetico.

Prestazioni e Trattamenti Odontoiatrici

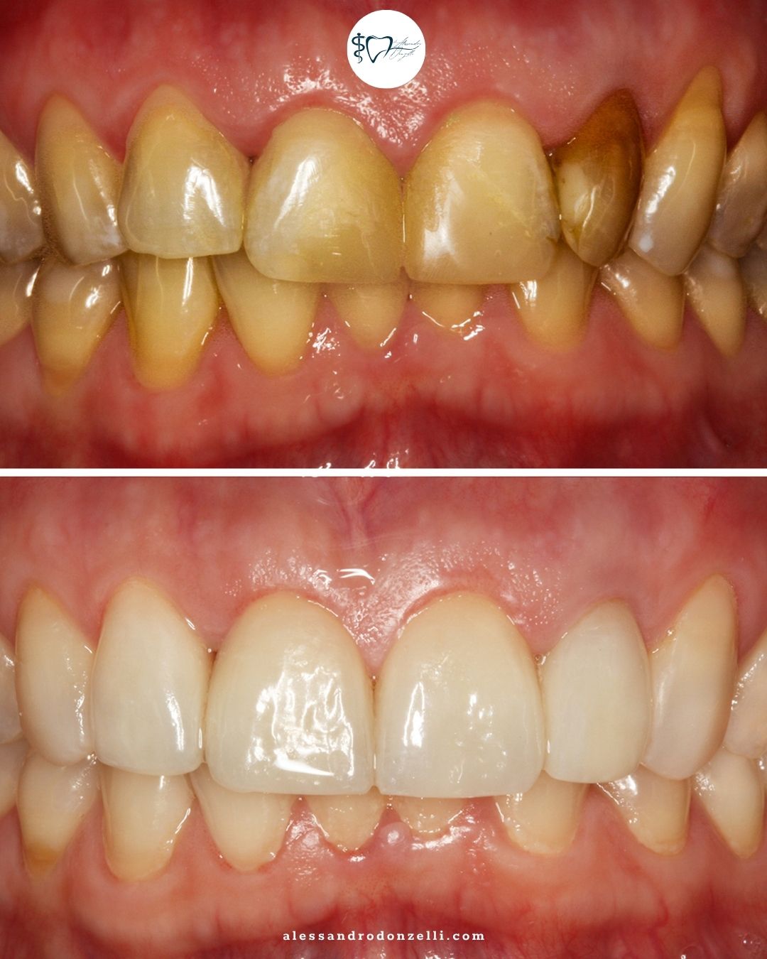
  • Igiene orale professionale e ablazione del tartaro (pulizia dentale)

  • Sbiancamento Dentale Professionale (laser e tecniche avanzate di whitening)

  • Implantologia Dentale e riabilitazioni protesiche

  • Chirurgia orale (denti del giudizio complessi, lesioni cistiche, ecc.)

  • Conservativa dentale (cura di carie dentali)

  • Trattamento di gengivite e parodontite

  • Riabilitazione estetica e funzionale del sorriso

Medicina estetica del viso

  • Filler con acido ialuronico

  • Botulino (botox) per rughe d’espressione

  • Ringiovanimento del viso non chirurgico

  • Armonizzazione del terzo inferiore del volto e del sorriso

Collaboro con ambulatori privati e strutture convenzionate con il SSN, garantendo percorsi diagnostici e terapeutici completi. Il mio lavoro si basa su evidenze scientifiche, aggiornamento continuo e personalizzazione del trattamento, con particolare attenzione alla salute globale del paziente.

Restituire salute, funzionalità ed estetica al sorriso attraverso trattamenti odontoiatrici moderni migliorando al tempo stesso armonia e benessere del volto.

Altro Su di me

Aree di competenza principali:

  • Implantologia dentale
  • Ortodonzia
  • Chirurgia odontostomatologica
  • Odontoiatria estetica
  • Medicina estetica
  • Chirurgia orale
  • Odontoiatria
  • Endodonzia
  • Igiene dentale
Mostra dettagli

Presso questo indirizzo visito

Adulti (Solo in alcuni indirizzi)
Bambini (Solo in alcuni indirizzi)

Tipologia di visite

Consulenza online

Foto e video

Comunicazioni importanti

Dott. Alessandro Donzelli

Vomero, Piazza delle Medaglie d'Oro 27, Napoli 80128

L’agenda “Vomero-Napoli” corrisponde allo studio professionale sito in Piazza Medaglie d’Oro n. 27.

06/01/2026

Prestazioni e prezzi

  • Prima visita dentistica


  • Levigatura delle radici


  • Prima Visita


  • Otturazione in composito

    Da 80 €

  • Otturazione estetica

    Da 150 €

Indirizzi (5)

Alessandro Donzelli
Studio Privato - Odontoiatria e Medicina Estetica

Vomero, Piazza delle Medaglie d'Oro 27, Napoli 80128

Vedi mappa si apre in una nuova scheda

Disponibilità

Modalità di pagamento (visite private)

  • Bonifico istantaneo
  • Carta di credito
  • Carta di debito
  • Carta prepagata

Telefono

081 1928...
Alessandro Donzelli
Studio Privato

Corso Roma, 189, Gallipoli 73014

Vedi mappa si apre in una nuova scheda

Disponibilità

Modalità di pagamento (visite private)

  • Bonifico istantaneo
  • Carta di credito
  • Carta di debito
  • Carta prepagata

Telefono

081 1928...
Alessandro Donzelli
Studio Privato

Traversa Monte Faito, 29, Napoli 80144

Vedi mappa si apre in una nuova scheda

Disponibilità

Pagamento online accettato

Risparmia tempo prima della visita.

Modalità di pagamento (visite private)

  • Pagamento online accettato
  • Bonifico istantaneo
  • Carta di credito
  • Carta di debito

Telefono

081 1928...
Alessandro Donzelli
Studio Privato

Via Diocleziano 205, Napoli 80124

Vedi mappa si apre in una nuova scheda

Disponibilità

Modalità di pagamento (visite private)

  • Bonifico istantaneo
  • Carta di credito
  • Carta di debito
  • Carta prepagata

Telefono

081 1928...
Alessandro Donzelli

Consulenza online

Disponibilità

Questo dottore non offre prenotazioni online a questo indirizzo

Telefono

081 1928...

Convenzioni assicurative non attive

Questo dottore accetta solo pazienti privati. Verrà richiesto un pagamento da parte tua per la prestazione o puoi ricercare un altro dottore che abbia una convenzione con la tua assicurazione

163 recensioni

Più menzionato dai pazienti

  • Attenzione durante la visita
  • Spiegazioni dettagliate
  • Efficacia del trattamento
Tutte le recensioni contano e non possono essere rimosse o modificate dai dottori a proprio piacimento. Scopri come funziona il processo di moderazione delle recensioni. Per saperne di più sulle opinioni
  • D

    Ho avuto un'ottima esperienza col Dr. Donzelli. Un medico molto competente che sa ascoltare il paziente trasmettendo grande empatia e positività.

     • Studio Privato - Odontoiatria e Medicina Estetica ablazione del tartaro  • 

  • D

    Medico preparato assistente alla poltrona fantastica

    • Attenzione durante la visita
     • Studio Privato - Odontoiatria e Medicina Estetica otturazione in composito  • 

  • R

    Delicatezza nel trattare denti e gengiva spiegazioni esaustive

     • Studio Privato - Odontoiatria e Medicina Estetica trattamenti di paradontologia  • 

  • V

    Ottimo rapporto qualità prezzo, appuntamenti senza coda in attesa.

    • Spiegazioni dettagliate
     • Altro Altro  • 

  • M

    Era un anno che rimandavo per paura e per i costi, ma dopo aver parlato con il dottore mi sono decisa. Mi ha tranquillizzata subito e il prezzo era onesto rispetto ad altri preventivi che avevo in mano. Messo i due impianti e tutto perfetto... finalmente posso tornare a sorridere senza pensieri! Grazie di cuore dottore.

     • Altro Altro  • 

  • V

    serieta competenza profesionalita puntualita e gentilezza e attenzione

     • Studio Privato - Odontoiatria e Medicina Estetica corona dentale  • 

  • L

    Il dottore ha lavorato molto bene: prima ha visitato i denti con attenzione poi durante l'estrazione non ho sentito dolore.

     • Studio Privato - Odontoiatria e Medicina Estetica estrazione dente del giudizio  • 

  • D

    Sono paziente da anni. Mi trovo benissimo, il dottore è professionale e con esperienza

     • Studio Privato - Odontoiatria e Medicina Estetica sbiancamento dentale  • 

  • C

    Gentilissimi tutti avevo un urgenza mi ha risolto il problema sotto Pasqua mi sembrava quasi impossibile trovare uno studio dentistico aperto visto che nn sono sua paziente

    • Attenzione durante la visita
     • Studio Privato - Odontoiatria e Medicina Estetica devitalizzazione  • 

  • A

    Molto professionale, gentile e molto disponibile. Trattamento rapido e per nulla doloroso.

     • Studio Privato - Odontoiatria e Medicina Estetica otturazione  • 

Si è verificato un errore, riprova

Risposte ai pazienti

ha risposto a 4 domande da parte di pazienti di MioDottore

Buon pomeriggio Gentili dottori.
Mentre mi lavavo i denti con lo spazzolino elettrico ho premuto un po’ più del dovuto toccando uno degli incisivi non solo con le setole ma anche con la base della testina dello spazzolino che in quel momento stava rilasciando vibrazioni. Dopo i primi secondi di fastidio, nulla più. Potrei aver provocato un danno al nervo così facendo? Grazie

Buon pomeriggio, probabilmente ha semplicemente irritato un po’ la gengiva o il dente, motivo per cui ha avvertito un fastidio momentaneo. Se il dolore non è persistito non c’è nulla di cui preoccuparsi. In caso dovessero comparire sensibilità o fastidi nei prossimi giorni, sarà utile una visita di controllo, ma da come descrive la situazione non ci sono rischi

Dott. Alessandro Donzelli

Salve, sono due anni che non uso il bite dentale. Siccome vorrei utilizzarlo di nuovo,.come potrei disinfettarlo prima dell'utilizzo?

Salve, se il bite è rimasto fermo per due anni va sicuramente igienizzato prima dell’utilizzo. Può lavarlo accuratamente con spazzolino morbido ed una soluzione specifica per protesi o bite (si trovano facilmente in farmacia), non dentifricio perché può essere abrasivo. In ogni caso, dopo due anni sarebbe consigliabile una visita di controllo: il bite potrebbe non adattarsi più perfettamente e, se necessario, valutarne la sostituzione

Dott. Alessandro Donzelli
Vedi tutte le risposte

Tutti i contenuti pubblicati su MioDottore.it, specialmente domande e risposte, sono di carattere informativo e in nessun caso devono essere considerati un sostituto di una visita specialistica.