Tempo medio di risposta:

Esperienze

Specializzati in Parodontologia, Implantologia e Ortodonzia per adulti e bambini e Medicina Estetica. Lo Studio Dentistico Bernini è una struttura con un team di professionisti sempre in aggiornamento. L’obiettivo è di riuscire ad operare in un regime di correttezza e impegno professionale, cercando di venire sempre incontro alle esigenze del paziente. 
Per questo i pazienti sono al centro del nostro lavoro. Spieghiamo con chiarezza il tipo di cure di cui possono aver bisogno e quando lavoriamo mettiamo il più possibile il paziente in una condizione di tranquillità e fiducia. Tutte le cure sono basate sull’utilizzo di tecnologie all’avanguardia, un approccio mini-invasivo e conservativo nel rispetto del paziente. Il vero obiettivo è non spendere due volte. Dott.ssa Martina Delle Cave & Dott.ssa Caterina Costanzo

Altro Su di me

Aree di competenza principali:

  • Odontoiatria pediatrica
  • Igiene dentale

Tipologia di visite

Foto e video

Logo
Dott.ssa Martina Delle Cave

Piazza Lorenzo Bernini 11, Torino 10138

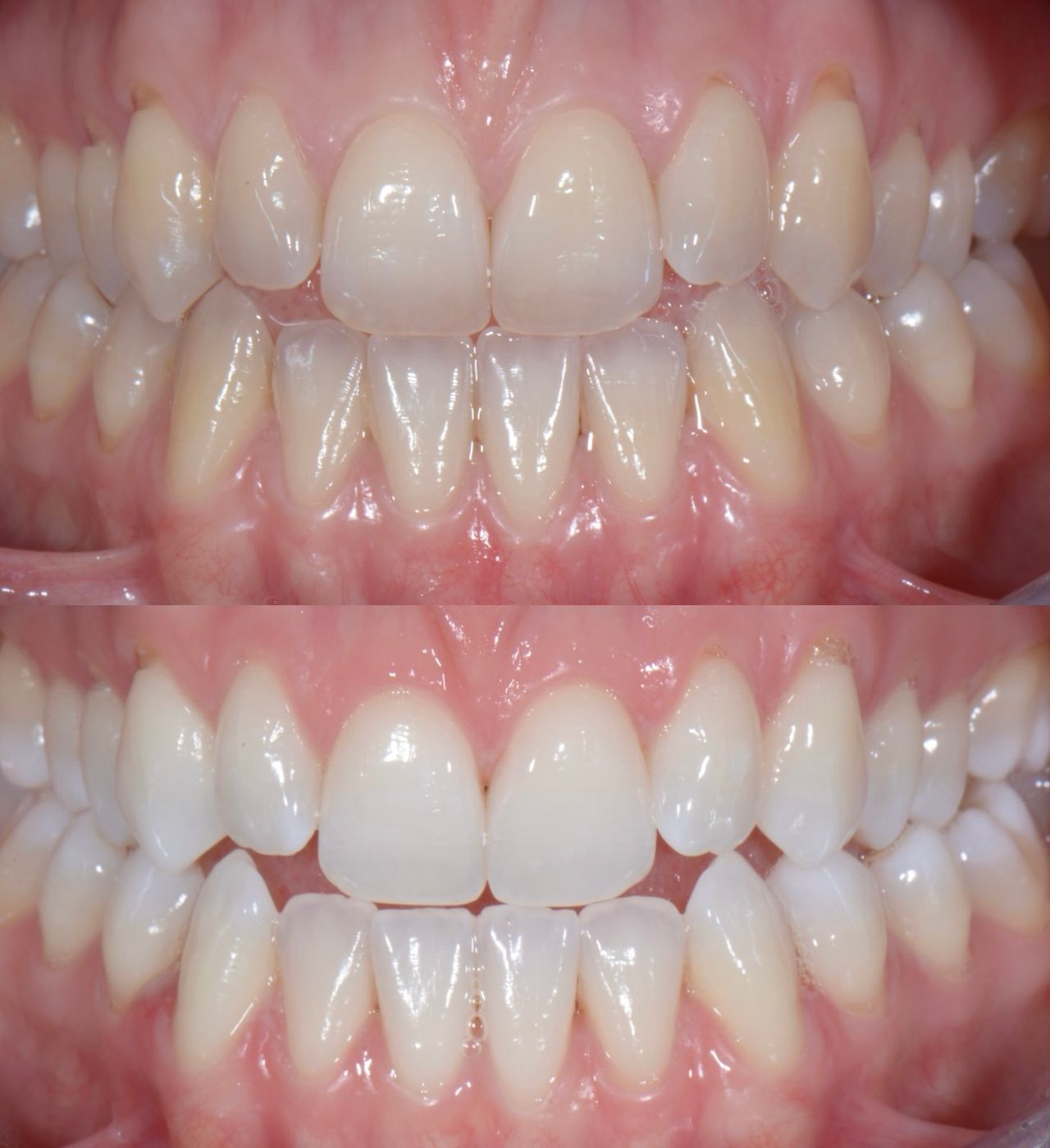
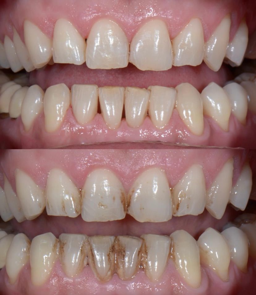
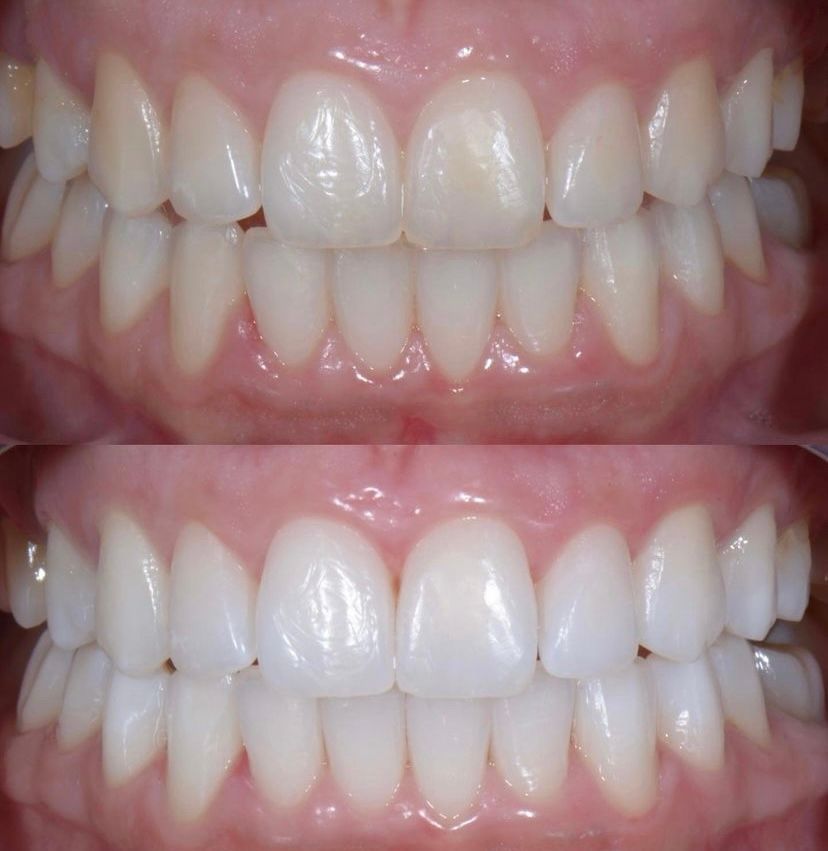
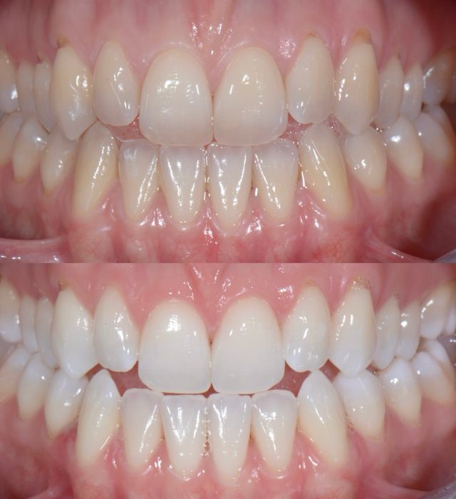
Bianco naturale, sorriso perfetto. Scopri il nostro trattamento sbiancante.

28/02/2026

Prestazioni e prezzi

  • Ablazione + sbiancamento

    150 €

  • Detartrasi

    85 €

  • Igiene dentale

    85 €

  • Levigatura delle radici

    Da 150 €

  • Pulizia dentale

    85 €

Indirizzo

Vedi mappa si apre in una nuova scheda
Studio Dentistico Bernini

Piazza Lorenzo Bernini 11, Torino 10138

Disponibilità

Telefono

351 669...
Vedi mappa si apre in una nuova scheda

Assicurazioni accettate

Le assicurazioni sono accettate ma la copertura varia a seconda della località e del servizio, puoi verificarlo durante la fase di prenotazione!

  • Unisalute
  • Blue Assistance
  • InSalute Servizi

150 recensioni

Tutte le recensioni contano e non possono essere rimosse o modificate dai dottori a proprio piacimento. Scopri come funziona il processo di moderazione delle recensioni. Per saperne di più sulle opinioni
  • M

    Mi sono affidata allo studio dentistico Bernini sotto consiglio di mia nipote, non potevo fare scelta migliore, la dottoressa Carla mi ha seguita fin da subito con una professionalità e un'empatia che hanno fatto la differenza, non mi sono mai trovata così bene durante una seduta di igiene dentale, consiglio a tutti di affidarsi a questo studio

     • Studio Dentistico Bernini igiene dentale  • 

  • Y

    Come sempre lo staff dello studio Dentistico Bernini non mi delude, appena arrivi trovi quest'ottima accoglienza e cura nei dettagli,sono super competenti e molto empatici,grazie di cuore!

     • Studio Dentistico Bernini igiene dentale  • 

    Studio Dentistico Bernini

    Grazie mille gentilissima come sempre
    Un abbraccio, ti aspettiamo
    Dott.ssa Martina Delle Cave
    Studio Dentistico Bernini


  • E

    Staff molto gentile, professionale e disponibile.
    Appena entri ti senti subito a tuo agio, lo studio è decisamente pulito e moderno.
    La dottoressa Delle Cave (igienista) è molto preparata, delicata e risponde ad ogni richiesta con attenzione e chiarezza.
    Consigliatissimo!

     • Studio Dentistico Bernini igiene dentale  • 

    Studio Dentistico Bernini

    Siamo molto contenti della tua recensione
    Grazie mille
    Un abbraccio, ti aspettiamo
    Dott.ssa Martina Delle Cave
    Studio Dentistico Bernini


  • E

    Bravissimo medico, molto umano e paziente. Consiglio vivamente questo studio

     • Studio Dentistico Bernini ablazione del tartaro  • 

    Studio Dentistico Bernini

    Siamo molto contenti della tua recensione
    Grazie mille
    Un abbraccio, ti aspettiamo
    Studio Dentistico Bernini


  • M

    La Dottoressa e’ stata Professionale e gentile ,

     • Studio Dentistico Bernini detartrasi  • 

    Studio Dentistico Bernini

    grazie mille ! le tue parole sono importanti


  • A

    Dottoressa molto competente e gentile, ha lavorato con estrema cura durante la seduta.

     • Studio Dentistico Bernini ablazione del tartaro  • 

    Studio Dentistico Bernini

    Grazie mille! A presto !
    Studio Dentistico Bernini


  • A

    Molto professionale e bravissima e molto attenta ,

     • Studio Dentistico Bernini ablazione + sbiancamento  • 

    Studio Dentistico Bernini

    Grazie mille! A presto !
    Studio Dentistico Bernini


  • Mi sono trovata bene: la dottoressa ha eseguito il trattamento con grande cura e professionalità.

     • Studio Dentistico Bernini ablazione + sbiancamento  • 

    Studio Dentistico Bernini

    Grazie mille! A presto !
    Studio Dentistico Bernini


  • D

    Dottoressa preparata e gentilissima. Disponibile per ogni domanda e attenta alle esigenze di chi ha di fronte, ottima esperienza :)

     • Studio Dentistico Bernini detartrasi  • 

    Studio Dentistico Bernini

    Grazie mille! A presto !
    Studio Dentistico Bernini


  • A

    Studio dentistico eccellente! Staff professionale, gentile e disponibile. La dottoressa Delle Cave spiega tutto con chiarezza ed è molto professionale. Studio consigliatissimo a chi cerca competenza, attenzione al paziente e un ambiente sereno

     • Studio Dentistico Bernini levigatura delle radici  • 

    Studio Dentistico Bernini

    Grazie mille! A presto !
    Studio Dentistico Bernini


Si è verificato un errore, riprova

Risposte ai pazienti

ha risposto a 9 domande da parte di pazienti di MioDottore

Buonasera sono circa 2 settimane che presento una lingua bianca con sapore amaro in bocca, premetto che soffro di reflusso gastroefageo ed ernia iatale , sapreste consigliarmi il da fare con questa lingua bianca? In attesa di riscontro ringrazio

Ciao ! ho fatto un master di patologia orale quindi ne ho viste diverse. Prima di tutto bisogno fare una buona seduta di igiene orale per eliminare eventuali batteri e infine guardiamo insieme cosa posso consigliarti per eliminare il problema

Dott.ssa Martina Delle Cave

Mi sono rivolto ad un istituto per un problema di alitosi, ho seguito la prima terapia (metronidazolo, claritomicina e lansoprazolo + l’utilizzo di pulisci lingua con dentifricio parodontax alla sera e acqua ossigenata al mattino, collutorio ultradex e spray nasale), ma ha funzionato solo per due mesi. La successiva terapia, più aggressiva (ovvero utilizzando solo il metronidazolo per più tempo) si è rivelata inefficiente. Nel frattempo venivo seguito anche dal dentista che mi risolse alcune carie che avevo. In seguito ad un controllo il medico ha notato la fuoriuscita di pus dalle tonsille, così mi rivolgo ad un otorinolaringoiatra per esaminarle. Mi rivolgo a tre otorini differenti, mi dicono tutti che non sono infiammate e che sono nella norma. Due di questi mi dicono che potrebbe essere un problema di reflusso, che a quanto pare avevo veramente. Mi vengono consigliate delle bustine di sciroppo che prendo per 2 mesi e una crema per curare una possibile candidosi che utilizzo per 3 settimane, ma senza miglioramenti se non lievi i primi giorni. Il reflusso ora si manifesta pochissime volte, ma non ho ancora risolto il problema principale e la lingua la ho comunque bianca sul fondo. Mi rivolgo di nuovo ad un dentista e dice che ho i denti apposto, tanto da non dover fare neanche l’igiene. Provo di mia iniziativa ad usare un colluttorio con colrexidina al 0.20%, noto un notevole miglioramento per quanto riguarda la disgeusia, ma noto che quando parlo con le altre persone tutte si coprono il naso. Oggi ho notato che usando il filo interdentale spugnoso e “che dà sapore di menta” invece di quello normale ho un miglioramento. Non so più cos’altro fare, vi chiedo un immenso aiuto!

Buongiorno, sicuramente ha bisogno di una visita per inquadrare il tutto, però questo problema di alitosi se è derivante dalla bocca potrebbe essere associato ad un problema gengivale/ Parodontale che deve essere trattato da un'igienista.

Dott.ssa Martina Delle Cave
Vedi tutte le risposte

Tutti i contenuti pubblicati su MioDottore.it, specialmente domande e risposte, sono di carattere informativo e in nessun caso devono essere considerati un sostituto di una visita specialistica.