Tempo medio di risposta:

Esperienze

Dottoressa Laura Milanese, neurochirurgo, psicoterapeuta in formazione

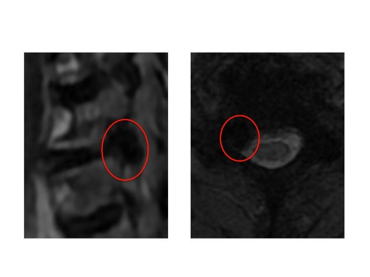
Nelle foto si può vedere un intervento di asportazione di ernia cervicale che ha causato nella paziente una perdita di forza della mano fortemente debilitante. L'intervento è stato eseguito presso il centro chirurgico toscano in convenzione con il sistema sanitario nazionale. La paziente sta gradualmente migliorando anche grazie alla fisioterapia. La scelta di un intervento chirurgico equivale ad intraprendere di un percorso che inizia dalla prima visita ambulatoriale e che prosegue con i successivi follow up. Lungo questo percorso il chirurgo e il paziente camminano insieme affrontando le stancanti salite e le successive discese per raggiungere gli obiettivi fissati nel primo incontro.

La mia formazione consta inoltre di una seconda specializzazione tutt'ora in corso in Psicoterapia. La tecnica psicoterapica che applico è quella dell'Analisi Immaginativa che utilizza l'immaginario del soggetto per permettere allo stesso di entrare in contatto con i suoi pensieri e le sue esperienze più inconsce. Il fine ultimo della terapia, sia individuale che di coppia, è quello di offrire sostegno, ascolto e promuovere il benessere psichico del soggetto. In particolare la mia esperienza verte sul paziente con dolore acuto, subacuto e cronico per sostenere ed aiutare, affrontare ed inquadrare psicologicamente una patologia che può essere critica e debilitante per il paziente.
Offro la possibilità di intraprendere online una serie di incontri (12 sedute) di Training Autogeno. Il Training Autogeno è una psicoterapia fisica che porta al progressivo realizzarsi di uno stato di calma e rilassamento. L'unione della pratica clinica in campo neurochirurgico mi permette di proporre questa tecnica anche ai pazienti con dolore neuropatico o cronico o altresì ai pazienti che devono incorrere in un intervento chirurgico e che hanno bisogno di un supporto psicologico.
Altro Su di me

Aree di competenza principali:

  • Neurochirurgia

Tipologia di visite

Foto e video

Prestazioni e prezzi

  • Visita neurochirurgica

    Da 0 €

  • Visita di controllo

    Da 135 €

  • Psicoterapia


  • Visita neurochirurgica di controllo

    Da 80 €

  • Consulenza online


Indirizzi (7)

Vedi mappa si apre in una nuova scheda
Medicenter Group

Via Tiburtina 431, Roma 00157

Disponibilità

Telefono

06 9...
Vedi mappa si apre in una nuova scheda
Vedi mappa si apre in una nuova scheda
Affidea Tiburtina

Via Tiburtina 431, Roma 00157

Disponibilità

Questo dottore non offre prenotazioni online a questo indirizzo

Telefono

390 690...
Vedi mappa si apre in una nuova scheda
Vedi mappa si apre in una nuova scheda
Clinica Sanatrix

Via di trasone, 61, Roma 00199

Disponibilità

Questo dottore non offre prenotazioni online a questo indirizzo

Vedi mappa si apre in una nuova scheda
Vedi mappa si apre in una nuova scheda
olympia medical center

Via Carlo Donat-Cattin 125, Arezzo

Disponibilità

Questo dottore non offre prenotazioni online a questo indirizzo

Vedi mappa si apre in una nuova scheda
Vedi mappa si apre in una nuova scheda
Fisiomonti

Disponibilità

Questo dottore non offre prenotazioni online a questo indirizzo

Vedi mappa si apre in una nuova scheda

Disponibilità

Questo dottore non offre prenotazioni online a questo indirizzo

Vedi mappa si apre in una nuova scheda
Axis Medica

Disponibilità

Questo dottore non offre prenotazioni online a questo indirizzo

Vedi mappa si apre in una nuova scheda

Assicurazioni accettate

Le assicurazioni sono accettate ma la copertura varia a seconda della località e del servizio, puoi verificarlo durante la fase di prenotazione!

19 recensioni

Più menzionato dai pazienti

  • Spiegazioni dettagliate
  • Attenzione durante la visita
  • Efficacia del trattamento
Tutte le recensioni contano e non possono essere rimosse o modificate dai dottori a proprio piacimento. Scopri come funziona il processo di moderazione delle recensioni. Per saperne di più sulle opinioni
  • P

    Dottoressa attenta ed empatica. Mi ha fatto sentire a mio agio

    • Attenzione durante la visita
    • Spiegazioni dettagliate
    • Puntualità
     • Medicenter Group visita neurochirurgica  • 

  • M

    Dott.ssa professionale molto attenta alle informazioni del paziente, ha guardato con cura gli esami portati e ha dato una spiegazione dettagliata facilmente comprensibile anche ad una profana come me. Molto dispinibile ed empatica. Consigliatissima!

    • Attenzione durante la visita
    • Spiegazioni dettagliate
    • Efficacia del trattamento
    • Ottimo studio
    • Puntualità
     • Medicenter Group visita neurochirurgica  • 

  • D

    Mi sono operata alla cervicale nella clinica sanatrix di Roma e assistita dalla dottoressa che si è subito presentata gentile, disponibile e dotata di grande professionalità.
    Molto semplice nella spiegazione sia del post operazione che nell'assunzione delle varie terapie da seguire a casa, un umanità che ormai è raro trovare.
    La ringrazio molto per tutte le attenzioni ricevute.

    • Attenzione durante la visita
    • Spiegazioni dettagliate
    • Efficacia del trattamento
     • Clinica Sanatrix Altro  • 

  • F

    Il 10/07/23 ho fatto un intervento alla cervicale presso la casa di cura Sanatrix, sono stato seguito dalla dottoressa Laura Milanese sia prima che dopo l'intervento... E posso solo dire che è una dottoressa disponibile, professionale, molto attenta al paziente con notevole capacità di dare spiegazioni e consigli riguardo ai problemi esposti. Grazie Dottoressa!

    • Attenzione durante la visita
    • Spiegazioni dettagliate
    • Efficacia del trattamento
     • Clinica Sanatrix Altro  • 

  • G

    Ottimo Medico,molto professionale e cosa oggi sempre più rara in empatia con il paziente ,chiarissima nelle spiegazioni sia prima dell'intervento che in fase di dimissione.Le auguro ogni successo.

    • Attenzione durante la visita
    • Spiegazioni dettagliate
     • Clinica Sanatrix Altro  • 

  • R

    Persona e medico attento. Scrupolosa e precisa nel fornire spiegazioni e indicazioni terapeutiche. Disponibile durante il ricovero e successivamente alle dimissioni, in sintonia con il paziente. Attenta anche ad osservare ogni particolare del paziente. Grazie

    • Attenzione durante la visita
    • Spiegazioni dettagliate
    • Efficacia del trattamento
     • Clinica Sanatrix Altro  • 

  • G

    Sono stata seguita della Dott.ssa Milanese per il mio intervento di erniectomia e microdiscectomia.
    L’assistenza ricevuta è stata eccellente sotto ogni aspetto, professionale ed umano.
    Preparatissima ma capace di spiegare anche me (profana), sicura ma accogliente ed empatica, disponibile sempre a qualsiasi domanda e richiesta.
    Ho avuto la fortuna di arrivare a 43 anni senza aver mai affrontato interventi, ero molto spaventata oltre che in preda a dolori sinceramente non sopportabili, affrontare questa esperienza con professionisti così rende l’impresa più semplice, meno dolorosa e si riesce a darne una connotazione positiva.
    Assolutamente da consigliare.

    • Attenzione durante la visita
    • Spiegazioni dettagliate
    • Efficacia del trattamento
    • Ottimo studio
    • Puntualità
     • Clinica Sanatrix Altro  • 

  • E

    La dottoressa Milanese è estremamente competente e preparata, dimostrando una particolare attenzione nel farmi sentire a mio agio. Durante le sedute, dimostra un grande ascolto e offre spunti interessanti su cui lavorare. Nello specifico, ho seguito un ciclo di sedute di Training Autogeno con l'obiettivo di imparare a gestire i miei stati d'ansia. Consiglio assolutamente questa esperienza.

    • Attenzione durante la visita
    • Spiegazioni dettagliate
    • Efficacia del trattamento
    • Ottimo studio
    • Puntualità
     • Altro Altro  • 

  • A

    Operata il 22 maggio ,la dottoressa è stata esplicativa ,precisa e soprattutto molto solare , che in alcune situazioni è molto.Chiara nel decorso post operatorio ,se avessi potuto dare più stelle le avrei date.

    • Attenzione durante la visita
    • Spiegazioni dettagliate
     • Clinica Sanatrix Altro  • 

  • M

    Un sentito ringraziamento al neurochirurgo Laura Milanese, che fa parte dell’equipe NSA che ha eseguito il mio intervento di esportazione ernia discale lombare L5-S1 con artrodesi posteriore il 23 gennaio 2023. L’intervento è andato alla perfezione. La dottoressa mi ha seguito durante e dopo la degenza fornendo a me e mia moglie tutte le spiegazioni e indicazioni per una guarigione rapida e completa. E’ sempre stata disponibile quando ne avevo bisogno, anche dopo il rientro a casa. Di solito è difficile trovare insieme una tale umanità e professionalità.

    • Attenzione durante la visita
    • Spiegazioni dettagliate
    • Efficacia del trattamento
     • Clinica Sanatrix visita neurochirurgica  • 

Si è verificato un errore, riprova