Tempo medio di risposta:

Esperienze

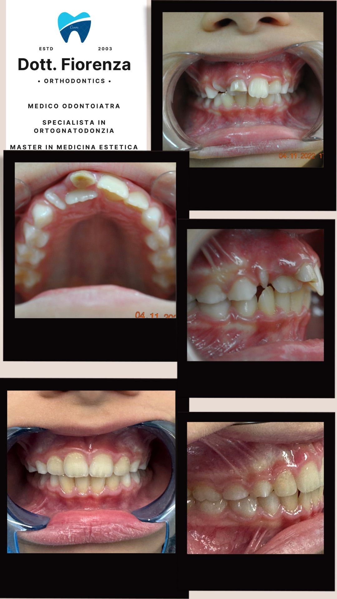
Sono il Dott. Fiorenza, Medico Odontoiatra, Specialista in Ortodonzia e Gantologia, con una grande passione per questa Specialità, dedicato a fornire cure di alta qualità per aiutare i miei pazienti ad ottenere e mantenere un sorriso sano e smagliante.
Il mio interesse per la professione odontoiatrica, ed in particolare per la Specialità di Ortognatodonzia, nasce dalla convinzione che il sorriso sia fondamentale per il benessere generale di una persona.
Dopo aver conseguito la laurea in Odontoiatria con il massimo dei voti, ho frequentato la Scuola di Specializzazione in Ortognatodonzia di Torino per ampliare le mie conoscenze e competenze ed in seguito ho conseguito il Master in Medicina Estetica per migliorare anche l'aspetto e la salute delle labbra e di tutto il viso.
Cerco di essere sempre aggiornato sulle ultime tecniche che possano migliorare l'esperienza dei pazienti e garantire i migliori risultati. A questo scopo sono sempre aggiornato sulle più recenti tecniche avanzate per garantire trattamenti efficaci e personalizzati assicurando così i migliori risultati possibili ai miei pazienti.
Cerco sempre di avere un rapporto con i pazienti che si basi sull'empatia e la comunicazione aperta essendo consapevole che molti di essi possano provare ansia quando si debbano sottoporre a trattamenti odontoiatrici o di medicina estetica.
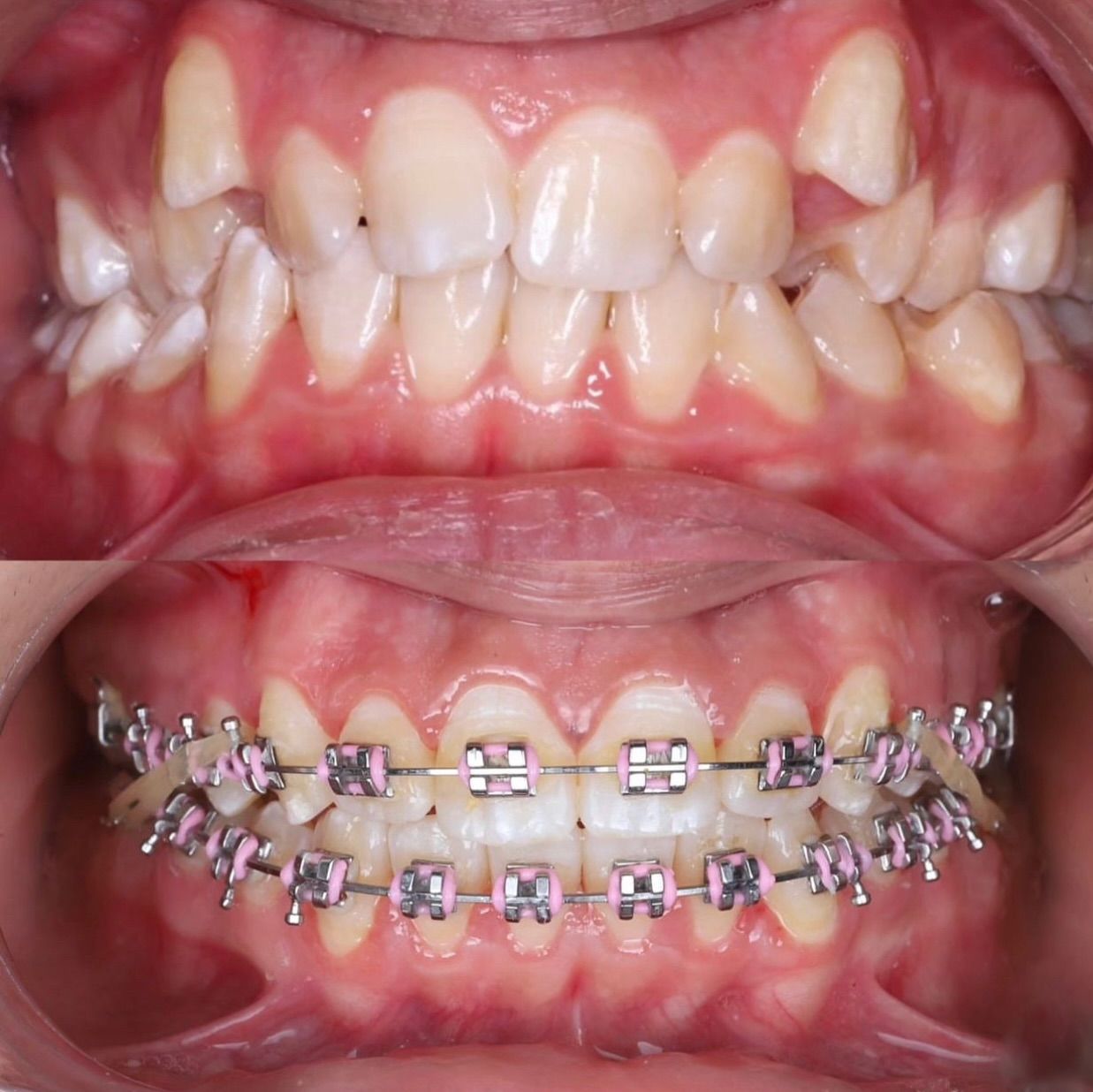
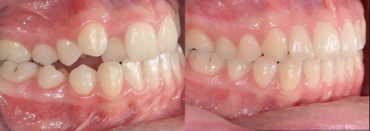
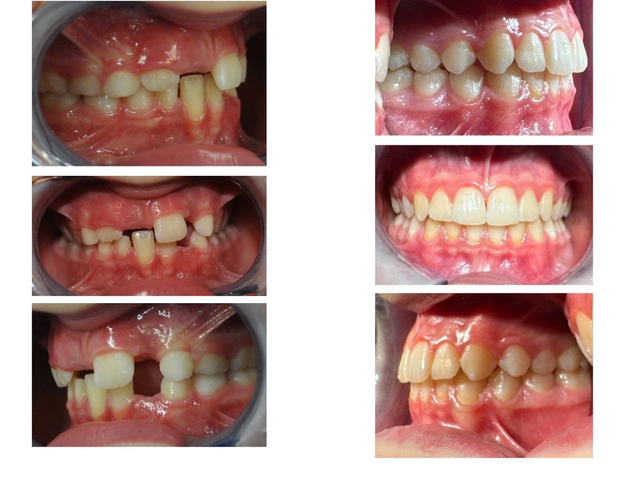
Mi occupo di pazienti di tutte le età, dai bambini agli adulti, essendo consapevole che quanto più è precoce l'intervento ortodontico, tanto migliori saranno i risultati in termini di crescita ossea e dentale; sarò felice di accogliervi in studio per aiutarvi a raggiungere, e mantenere, un ottimo risultato in termini di salute, funzione ed estetica.
Altro Su di me

Aree di competenza principali:

  • Ortodonzia
  • Odontoiatria pediatrica
  • Gnatologia
  • Igiene dentale
  • Medicina estetica
  • Medicina antiaging
  • Odontoiatria
  • Odontoiatria estetica
  • Stomatologia
Mostra dettagli

Presso questo indirizzo visito

Adulti (Solo in alcuni indirizzi)
Bambini (Solo in alcuni indirizzi)

Tipologia di visite

Consulenza online

Highlights

Prestazioni e prezzi

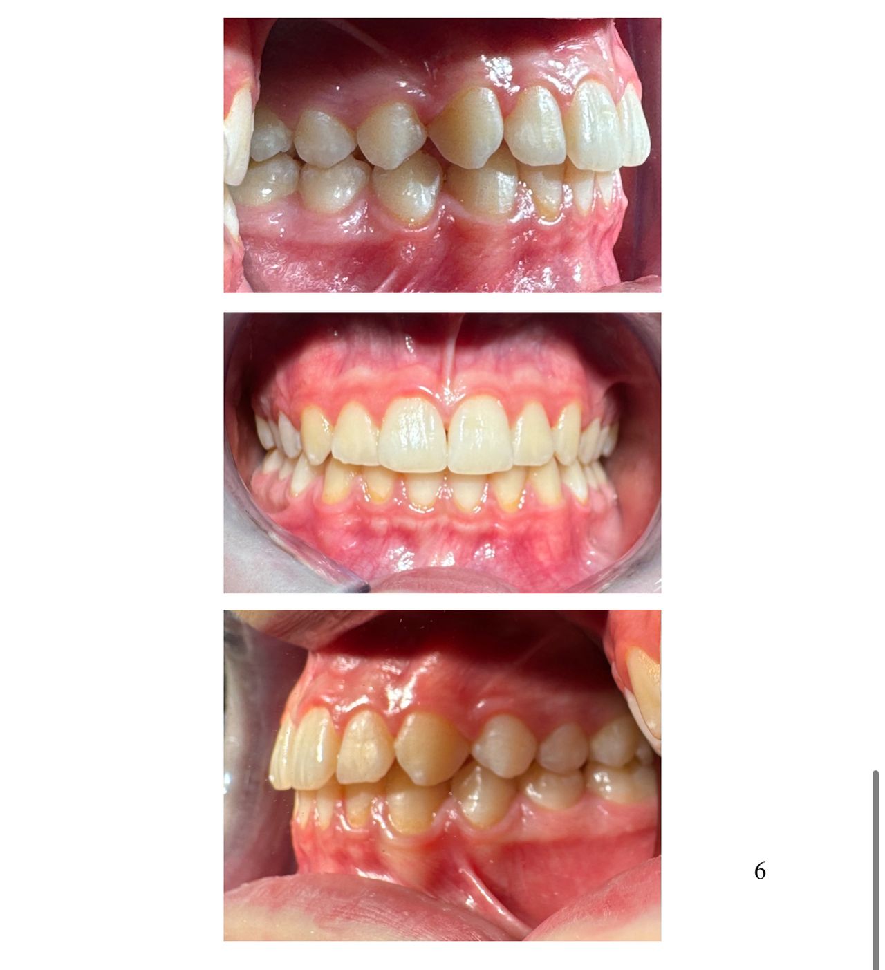
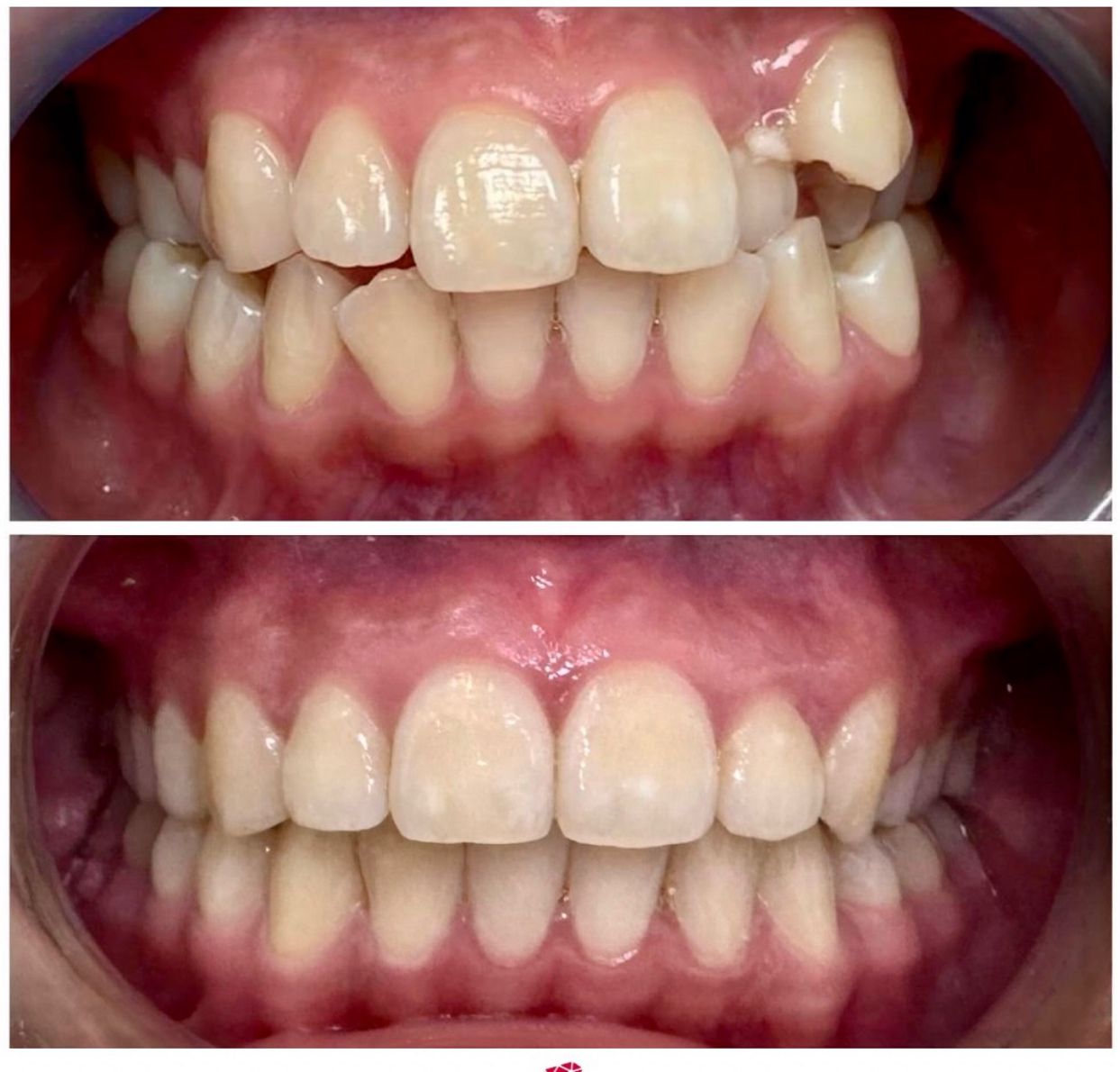
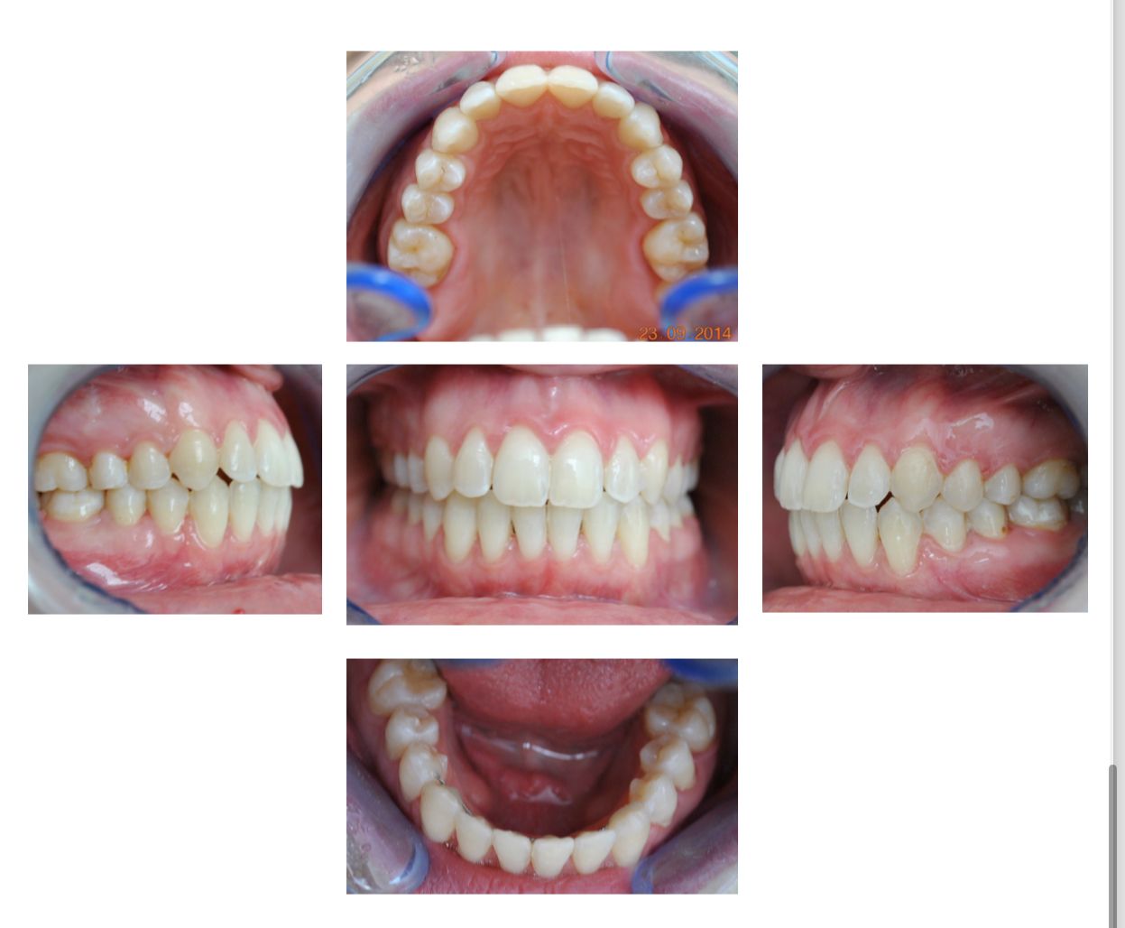
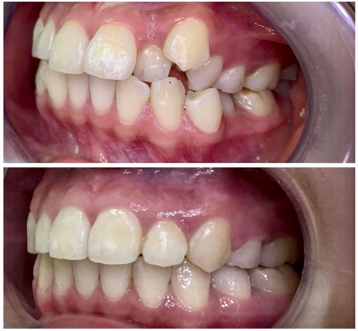
  • Ortodonzia funzionale

    1.300 € - 2.600 €

  • Igiene dentale

    Da 70 €

  • Trattamento ortodontico con apparecchi fissi

    4.600 €

  • Trattamento ortodontico con apparecchi mobili

    2.600 €

  • Peeling

    120 € - 150 €

Indirizzi (16)

Vedi mappa si apre in una nuova scheda
Studio Odontoiatrico Dott. Fiorenza

Piazza Amedeo Peyron 9, Torino 10143

Disponibilità

Pagamento online

Accettato

Telefono

347 714...

Pazienti accettati

  • Pazienti senza assicurazione sanitaria
Vedi mappa si apre in una nuova scheda
Vedi mappa si apre in una nuova scheda
Studio Odontoiatrico Giacosa

Via Antonelli 6, Pianezza 10044

Disponibilità

Pagamento online

Accettato

Telefono

347 714...

Pazienti accettati

  • Pazienti senza assicurazione sanitaria
Vedi mappa si apre in una nuova scheda
Vedi mappa si apre in una nuova scheda
Studio Zucca

Via alla Fonte, Villarbasse 10090

Disponibilità

Pagamento online

Accettato

Telefono

347 323...

Pazienti accettati

  • Pazienti senza assicurazione sanitaria
Vedi mappa si apre in una nuova scheda
Vedi mappa si apre in una nuova scheda
Studio Chiandussi

Disponibilità

Pagamento online

Accettato

Telefono

011 319...

Pazienti accettati

  • Pazienti senza assicurazione sanitaria
Vedi mappa si apre in una nuova scheda
Vedi mappa si apre in una nuova scheda
Studio Dentistico Dott.ssa Franca Ellena

Via Sant' Eusebio 36, Biella 13900

Disponibilità

Pagamento online

Accettato

Telefono

015 849...

Pazienti accettati

  • Pazienti senza assicurazione sanitaria
Vedi mappa si apre in una nuova scheda
Vedi mappa si apre in una nuova scheda
MB

Via Sandro Pertini 52, Castellammare del Golfo 91014

Disponibilità

Pagamento online

Accettato

Telefono

0924 5...

Pazienti accettati

  • Pazienti senza assicurazione sanitaria
Vedi mappa si apre in una nuova scheda
Vedi mappa si apre in una nuova scheda
Studio Cancila

Via Giuseppe Sciuti 120, Palermo 90100

Disponibilità

Pagamento online

Accettato

Telefono

347 714...

Pazienti accettati

  • Pazienti senza assicurazione sanitaria
Vedi mappa si apre in una nuova scheda
Vedi mappa si apre in una nuova scheda
Studio Medico Frejus & Dental Lux

Via Fréjus, 13 A, Torino 10139

Disponibilità

Telefono

351 658...

Pazienti accettati

  • Pazienti senza assicurazione sanitaria
Vedi mappa si apre in una nuova scheda
Vedi mappa si apre in una nuova scheda
Studio Sandrono

Piazza Germano Germanetti 13, Borgofranco d'Ivrea 10013

Disponibilità

Pagamento online

Accettato

Telefono

340 572...

Pazienti accettati

  • Pazienti senza assicurazione sanitaria
Vedi mappa si apre in una nuova scheda
Vedi mappa si apre in una nuova scheda
Studio Arena

Via Giovanni Pascoli 3, Chivasso 10034

Disponibilità

Pagamento online

Accettato

Telefono

334 113...

Pazienti accettati

  • Pazienti senza assicurazione sanitaria
Vedi mappa si apre in una nuova scheda
Vedi mappa si apre in una nuova scheda
D Medical

Viale Cappuccini 2, Chieri 10023

Disponibilità

Pagamento online

Accettato

Telefono

011 429...

Pazienti accettati

  • Pazienti senza assicurazione sanitaria
Vedi mappa si apre in una nuova scheda
Vedi mappa si apre in una nuova scheda
Dental Madonie

Via Monte San Salvatore, Castellana Sicula 90020

Disponibilità

Pagamento online

Accettato

Telefono

340 332...

Pazienti accettati

  • Pazienti senza assicurazione sanitaria
Vedi mappa si apre in una nuova scheda

Disponibilità

Questo dottore non offre prenotazioni online a questo indirizzo

Pagamento online

Accettato

Telefono

347 714...

Pazienti accettati

  • Pazienti senza assicurazione sanitaria
Vedi mappa si apre in una nuova scheda
Studio Cavour

Via Camillo Benso Conte di Cavour, San Sebastiano da Po 10020

Disponibilità

Questo dottore non offre prenotazioni online a questo indirizzo

Pagamento online

Accettato

Telefono

011 919...

Pazienti accettati

  • Pazienti senza assicurazione sanitaria
Vedi mappa si apre in una nuova scheda
Vedi mappa si apre in una nuova scheda
Centro Odontoiatrico Malinverni

Via Silvio Pellico 4, Vercelli 13100

Disponibilità

Questo dottore non offre prenotazioni online a questo indirizzo

Pagamento online

Accettato

Telefono

0161 2...

Pazienti accettati

  • Pazienti senza assicurazione sanitaria
Vedi mappa si apre in una nuova scheda
Vedi mappa si apre in una nuova scheda
Studio Odontoiatrico Del Malvò

Corso Vittorio Emanuele II 202, Torino 10138

Disponibilità

Questo dottore non offre prenotazioni online a questo indirizzo

Pagamento online

Accettato

Pazienti accettati

  • Pazienti senza assicurazione sanitaria
Vedi mappa si apre in una nuova scheda

25 recensioni

Tutte le recensioni contano e non possono essere rimosse o modificate dai dottori a proprio piacimento. Scopri come funziona il processo di moderazione delle recensioni. Per saperne di più sulle opinioni
  • O

    Competente e puntuale. Professionista adeguato e ben organizzato

     • Studio Odontoiatrico Dott. Fiorenza prima visita ortodontica  • 

    Dott. Giacinto Daniele Fiorenza

    La ringrazio molto, Oscar, per la sua recensione e per le sue parole.
    Mi fa piacere che abbia apprezzato la puntualità e l’organizzazione dello studio.
    Lavoriamo ogni giorno per offrire ai nostri pazienti cure attente e di qualità.
    Un cordiale saluto.


  • P

    Mio figlio ed io ci troviamo molto bene dal dottore. È sempre disponibile e sorridente. Ha spiegato bene il problema che ha sia a me ma soprattutto a mio figlio in modo chiaro così che lui seguisse tutte le cose che gli ha detto in modo che la terapia funzionasse. Per noi è una esperienza più che positiva.

     • Studio Arena visita ortodontica  • 

    Dott. Giacinto Daniele Fiorenza

    Gentile Patrizia,
    la ringrazio molto per le sue parole. Sapere che lei e suo figlio vi sentite a vostro agio nel nostro studio è per me molto importante. Cerco sempre di spiegare ogni situazione in modo chiaro ai genitori ma soprattutto ai ragazzi, perché la collaborazione del paziente è fondamentale per ottenere il miglior risultato possibile.

    Grazie ancora per la fiducia e per aver condiviso la vostra esperienza.


  • F

    Ottimo professionista ed è riduttivo. Cure su tutti e due i miei figli eccezionali. Lo consiglio vivamente.

     • Studio Medico Frejus & Dental Lux visita ortodontica di controllo  • 

    Dott. Giacinto Daniele Fiorenza

    La ringrazio molto per le sue parole e per la fiducia che ha riposto in me per la cura dei suoi figli. Sapere che vi siete trovati bene è la soddisfazione più grande del mio lavoro. Un caro saluto e a presto!


  • M

    Consulenza buona ed esaustiva. Ottima anche la puntualità.

     • Altro Altro  • 

    Dott. Giacinto Daniele Fiorenza

    La ringrazio molto per la sua recensione e per le parole di apprezzamento.
    Sono lieto che abbia trovato la consulenza chiara ed esauriente. La puntualità e l’attenzione ai pazienti sono per me aspetti fondamentali del lavoro quotidiano.
    A presto!


  • M

    Preparato,umano,puntuale,cordiale,ottimi consigli,

     • Studio Odontoiatrico Dott. Fiorenza  • 

    Dott. Giacinto Daniele Fiorenza

    La ringrazio molto per le sue parole.
    Sono lieto che abbia apprezzato la visita e i consigli ricevuti. Cerco sempre di unire competenza, attenzione e puntualità per offrire il miglior percorso possibile ai miei pazienti.

    Un cordiale saluto.


  • G

    Ottimo Professionista da sempre il punto di riferimento della nostra famiglia

     • Studio Odontoiatrico Dott. Fiorenza  • 

    Dott. Giacinto Daniele Fiorenza

    Grazie di cuore, Graziela, per le sue parole.
    Sapere di essere da tempo un punto di riferimento per la vostra famiglia è per me motivo di grande soddisfazione e responsabilità.
    Un caro saluto!


  • E

    Il dottor Fiorenza riesce sempre a mettere a proprio agio il paziente, dare spiegazioni esaustive e consigliare terapie efficaci. Assolutamente affidabile!

     • Studio Odontoiatrico Dott. Fiorenza Altro  • 

    Dott. Giacinto Daniele Fiorenza

    La ringrazio molto, Emanuela, per le sue parole così gentili.
    Per me è fondamentale che ogni paziente si senta ascoltato, compreso e pienamente informato sulle terapie proposte. Sapere di averle trasmesso fiducia e serenità nel percorso di cura è la soddisfazione più grande.
    Grazie ancora per la sua recensione.


  • V

    Conosco già il dott. Fiorenza perché sono cliente da quasi un anno.
    Puntuale, professionale e gentile.
    Ottimo il risultato che sto ottenendo.

     • Studio Odontoiatrico Dott. Fiorenza  • 

    Dott. Giacinto Daniele Fiorenza

    Grazie Valeria per le tue parole e per la fiducia che mi dimostri da tempo.
    Sono molto felice che tu sia soddisfatta del percorso e dei risultati che stai ottenendo.
    A presto!
    Dott. Fiorenza


  • P

    Ottimo studio, quando la passione e la professionalità si incontrano, ringrazio ancora tutta l’equipe dello studio Cavour e soprattutto al dott. Fiorenza per il suo trattamento.

     • Studio Odontoiatrico Dott. Fiorenza  • 

    Dott. Giacinto Daniele Fiorenza

    La ringraziamo molto per le sue parole, Paul.
    Siamo felici che abbia percepito la passione e la professionalità che cerchiamo di mettere ogni giorno nel nostro lavoro.

    Un ringraziamento da parte mia e di tutto il team dello Studio Cavour.
    Dott. Fiorenza


  • M

    Sono andata dal Dott. Fiorenza perché volevo fare Botox e biorivitalizzazione. Non l’avevo mai fatto e volevo mantenere un effetto naturale. Mi sono trovata benissimo! Il Dott. Fiorenza ha capito le mie esigenze ed è stato delicatissimo, non ho sofferto! Tornerò sicuramente tra 6 mesi!

     • Studio Odontoiatrico Dott. Fiorenza botox  • 

    Dott. Giacinto Daniele Fiorenza

    La ringrazio molto, Marta, per aver condiviso la sua esperienza.

    Per chi si avvicina per la prima volta a trattamenti come Botox e biorivitalizzazione è fondamentale procedere con attenzione, ascolto e un approccio orientato alla naturalezza del risultato. Sono felice che si sia sentita a suo agio e soddisfatta del percorso.

    Rimango sempre a disposizione per qualsiasi necessità o controllo nel tempo.
    Un caro saluto.

    Dott. Giacinto Daniele Fiorenza


Si è verificato un errore, riprova

Risposte ai pazienti

ha risposto a 51 domande da parte di pazienti di MioDottore

Domande su Gengivite

Salve!
Dopo un anno dall’estrazione di un molare del giudizio superiore lato dx, ho ancora la gengiva gonfia che ogni tanto fa male.
È normale che sia rimasta così la gengiva?
Grazie

Dopo l’estrazione di un dente del giudizio la gengiva può rimanere un po’ sensibile o ispessita per qualche tempo, ma a distanza di un anno non è considerato normale che sia ancora gonfia e dolorante a periodi. Questo può dipendere da una piccola infiammazione cronica della gengiva nella zona dell’estrazione, da una tasca gengivale vicino al secondo molare dove si accumulano batteri, oppure più raramente dalla presenza di un piccolo frammento radicolare o osseo rimasto dopo l’intervento. Nei molari superiori a volte può essere coinvolto anche il seno mascellare, perché le radici sono molto vicine a questa cavità. In ogni caso è consigliabile far controllare la zona da un dentista con una semplice radiografia, così da verificare l’osso e la gengiva ed escludere residui o infezioni; spesso il problema si risolve con una pulizia accurata della zona o con un piccolo trattamento locale. Se il gonfiore aumenta, compare pus, cattivo sapore o dolore forte, è meglio farlo controllare quanto prima.

Dott. Giacinto Daniele Fiorenza

Buonasera dottori. Fatto RINOFILLER, mi ha migrato verso il labbro superiore interno un po’ di filler, toccandolo spesso, perché fastidioso al chiudere le labbra. Sento la pallina dentro e si è gonfiato un “palloncino” bianco che toccandolo si sente spostare dentro..e massaggiandolo quotidianamente per qualche giorno si è ridotto drasticamente..stupidamente ho provato a bucarlo con un ago sterile..ma non è uscito nulla…leggendo su internet mi da cose veramente pesanti..tipo sifilide ecc ecc.. si risolverà? Grazie.

Buonasera. Da quello che descrive non sembra affatto qualcosa come la sifilide. Le manifestazioni della sifilide sono completamente diverse e non si presentano come una pallina mobile all’interno del labbro. È molto più probabile che si tratti di una piccola quantità di filler che si è leggermente spostata oppure di un piccolo nodulo di acido ialuronico. Dopo un rinofiller può capitare raramente che una minima quantità di prodotto segua i piani dei tessuti verso il filtro o il labbro superiore, soprattutto se la zona viene toccata o massaggiata spesso. Il fatto che massaggiandolo si sia ridotto è un segno abbastanza rassicurante.

Il “palloncino” bianco all’interno del labbro potrebbe anche essere una piccola mucocèle, cioè una cisti benigna di una ghiandola salivare che può comparire dopo piccoli traumi o manipolazioni. Il fatto che pungendolo non sia uscito nulla è normale e non significa che ci sia qualcosa di grave.

La cosa più importante adesso è non continuare a toccarlo, massaggiarlo o provare a bucarlo, perché queste manovre possono solo irritare i tessuti e mantenere il gonfiore. Nella maggior parte dei casi situazioni del genere tendono a ridursi spontaneamente nel giro di qualche tempo. Se invece dovesse rimanere o darle fastidio, il medico che ha eseguito il filler può valutarlo facilmente e, se si trattasse davvero di filler spostato, può risolvere in modo molto semplice.

In base a quello che racconta la situazione appare verosimilmente benigna e gestibile, ma se il gonfiore dovesse aumentare, diventare doloroso o arrossarsi, è sempre meglio farlo vedere direttamente al medico che ha effettuato il trattamento.

Dott. Giacinto Daniele Fiorenza
Vedi tutte le risposte

Tutti i contenuti pubblicati su MioDottore.it, specialmente domande e risposte, sono di carattere informativo e in nessun caso devono essere considerati un sostituto di una visita specialistica.