Tempo medio di risposta:

Esperienze

Sono il Dott. Fiorenza, Medico Odontoiatra, Specialista in Ortodonzia e Gantologia, con una grande passione per questa Specialità, dedicato a fornire cure di alta qualità per aiutare i miei pazienti ad ottenere e mantenere un sorriso sano e smagliante.
Il mio interesse per la professione odontoiatrica, ed in particolare per la Specialità di Ortognatodonzia, nasce dalla convinzione che il sorriso sia fondamentale per il benessere generale di una persona.
Dopo aver conseguito la laurea in Odontoiatria con il massimo dei voti, ho frequentato la Scuola di Specializzazione in Ortognatodonzia di Torino per ampliare le mie conoscenze e competenze ed in seguito ho conseguito il Master in Medicina Estetica per migliorare anche l'aspetto e la salute delle labbra e di tutto il viso.
Cerco di essere sempre aggiornato sulle ultime tecniche che possano migliorare l'esperienza dei pazienti e garantire i migliori risultati. A questo scopo sono sempre aggiornato sulle più recenti tecniche avanzate per garantire trattamenti efficaci e personalizzati assicurando così i migliori risultati possibili ai miei pazienti.
Cerco sempre di avere un rapporto con i pazienti che si basi sull'empatia e la comunicazione aperta essendo consapevole che molti di essi possano provare ansia quando si debbano sottoporre a trattamenti odontoiatrici o di medicina estetica.
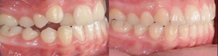
Mi occupo di pazienti di tutte le età, dai bambini agli adulti, essendo consapevole che quanto più è precoce l'intervento ortodontico, tanto migliori saranno i risultati in termini di crescita ossea e dentale; sarò felice di accogliervi in studio per aiutarvi a raggiungere, e mantenere, un ottimo risultato in termini di salute, funzione ed estetica.
Altro Su di me

Aree di competenza principali:

  • Ortodonzia
  • Odontoiatria pediatrica
  • Gnatologia
  • Igiene dentale
  • Medicina estetica
  • Medicina antiaging
  • Odontoiatria
  • Odontoiatria estetica
  • Stomatologia
Mostra dettagli

Presso questo indirizzo visito

Adulti (Solo in alcuni indirizzi)
Bambini (Solo in alcuni indirizzi)

Tipologia di visite

Consulenza online

Highlights

Prestazioni e prezzi

  • Ortodonzia funzionale

    1.300 € - 2.600 €

  • Igiene dentale

    Da 70 €

  • Trattamento ortodontico con apparecchi fissi


  • Trattamento ortodontico con apparecchi mobili

    Da 2.600 €

  • Trattamento ortodontico con apparecchi ortopedico funzionali

    2.300 €

Indirizzi (16)

Vedi mappa si apre in una nuova scheda
Studio Odontoiatrico Dott. Fiorenza

Piazza Amedeo Peyron 9, Torino 10143

Disponibilità

Pagamento online

Accettato

Telefono

347 714...

Pazienti accettati

  • Pazienti senza assicurazione sanitaria
Vedi mappa si apre in una nuova scheda
Vedi mappa si apre in una nuova scheda
Studio Medico Frejus & Dental Lux

Via Fréjus, 13 A, Torino 10139

Disponibilità

Telefono

351 658...

Pazienti accettati

  • Pazienti senza assicurazione sanitaria
Vedi mappa si apre in una nuova scheda
Vedi mappa si apre in una nuova scheda
Studio Odontoiatrico Giacosa

Via Antonelli 6, Pianezza 10044

Disponibilità

Pagamento online

Accettato

Telefono

347 714...

Pazienti accettati

  • Pazienti senza assicurazione sanitaria
Vedi mappa si apre in una nuova scheda
Vedi mappa si apre in una nuova scheda
Studio Dentistico Dott.ssa Franca Ellena

Via Sant' Eusebio 36, Biella 13900

Disponibilità

Pagamento online

Accettato

Telefono

015 849...

Pazienti accettati

  • Pazienti senza assicurazione sanitaria
Vedi mappa si apre in una nuova scheda
Vedi mappa si apre in una nuova scheda
MB

Via Sandro Pertini 52, Castellammare del Golfo 91014

Disponibilità

Pagamento online

Accettato

Telefono

0924 5...

Pazienti accettati

  • Pazienti senza assicurazione sanitaria
Vedi mappa si apre in una nuova scheda
Vedi mappa si apre in una nuova scheda
Studio Cancila

Via Giuseppe Sciuti 120, Palermo 90100

Disponibilità

Pagamento online

Accettato

Telefono

347 714...

Pazienti accettati

  • Pazienti senza assicurazione sanitaria
Vedi mappa si apre in una nuova scheda
Vedi mappa si apre in una nuova scheda
Dental Madonie

Via Monte San Salvatore, Castellana Sicula 90020

Disponibilità

Pagamento online

Accettato

Telefono

340 332...

Pazienti accettati

  • Pazienti senza assicurazione sanitaria
Vedi mappa si apre in una nuova scheda

Disponibilità

Questo dottore non offre prenotazioni online a questo indirizzo

Pagamento online

Accettato

Telefono

347 714...

Pazienti accettati

  • Pazienti senza assicurazione sanitaria
Vedi mappa si apre in una nuova scheda
Studio Cavour

Via Camillo Benso Conte di Cavour, San Sebastiano da Po 10020

Disponibilità

Questo dottore non offre prenotazioni online a questo indirizzo

Pagamento online

Accettato

Telefono

011 919...

Pazienti accettati

  • Pazienti senza assicurazione sanitaria
Vedi mappa si apre in una nuova scheda
Vedi mappa si apre in una nuova scheda
Studio Chiandussi

Disponibilità

Questo dottore non offre prenotazioni online a questo indirizzo

Pagamento online

Accettato

Telefono

011 319...

Pazienti accettati

  • Pazienti senza assicurazione sanitaria
Vedi mappa si apre in una nuova scheda
Vedi mappa si apre in una nuova scheda
Centro Odontoiatrico Malinverni

Via Silvio Pellico 4, Vercelli 13100

Disponibilità

Questo dottore non offre prenotazioni online a questo indirizzo

Pagamento online

Accettato

Telefono

0161 2...

Pazienti accettati

  • Pazienti senza assicurazione sanitaria
Vedi mappa si apre in una nuova scheda
Vedi mappa si apre in una nuova scheda
Studio Sandrono

Piazza Germano Germanetti 13, Borgofranco d'Ivrea 10013

Disponibilità

Questo dottore non offre prenotazioni online a questo indirizzo

Pagamento online

Accettato

Telefono

340 572...

Pazienti accettati

  • Pazienti senza assicurazione sanitaria
Vedi mappa si apre in una nuova scheda
Vedi mappa si apre in una nuova scheda
Studio Zucca

Via alla Fonte, Villarbasse 10090

Disponibilità

Questo dottore non offre prenotazioni online a questo indirizzo

Pagamento online

Accettato

Telefono

347 323...

Pazienti accettati

  • Pazienti senza assicurazione sanitaria
Vedi mappa si apre in una nuova scheda
Vedi mappa si apre in una nuova scheda
Studio Arena

Via Giovanni Pascoli 3, Chivasso 10034

Disponibilità

Questo dottore non offre prenotazioni online a questo indirizzo

Pagamento online

Accettato

Telefono

334 113...

Pazienti accettati

  • Pazienti senza assicurazione sanitaria
Vedi mappa si apre in una nuova scheda
Vedi mappa si apre in una nuova scheda
D Medical

Viale Cappuccini 2, Chieri 10023

Disponibilità

Questo dottore non offre prenotazioni online a questo indirizzo

Pagamento online

Accettato

Telefono

011 429...

Pazienti accettati

  • Pazienti senza assicurazione sanitaria
Vedi mappa si apre in una nuova scheda
Vedi mappa si apre in una nuova scheda
Studio Odontoiatrico Del Malvò

Corso Vittorio Emanuele II 202, Torino 10138

Disponibilità

Questo dottore non offre prenotazioni online a questo indirizzo

Pagamento online

Accettato

Pazienti accettati

  • Pazienti senza assicurazione sanitaria
Vedi mappa si apre in una nuova scheda

23 recensioni

Tutte le recensioni contano e non possono essere rimosse o modificate dai dottori a proprio piacimento. Scopri come funziona il processo di moderazione delle recensioni. Per saperne di più sulle opinioni
  • F

    Ottimo professionista ed è riduttivo. Cure su tutti e due i miei figli eccezionali. Lo consiglio vivamente.

     • Studio Medico Frejus & Dental Lux visita ortodontica di controllo  • 

  • M

    Consulenza buona ed esaustiva. Ottima anche la puntualità.

     • Altro Altro  • 

  • M

    Preparato,umano,puntuale,cordiale,ottimi consigli,

     • Studio Odontoiatrico Dott. Fiorenza  • 

  • G

    Ottimo Professionista da sempre il punto di riferimento della nostra famiglia

     • Studio Odontoiatrico Dott. Fiorenza  • 

  • E

    Il dottor Fiorenza riesce sempre a mettere a proprio agio il paziente, dare spiegazioni esaustive e consigliare terapie efficaci. Assolutamente affidabile!

     • Studio Odontoiatrico Dott. Fiorenza Altro  • 

  • V

    Conosco già il dott. Fiorenza perché sono cliente da quasi un anno.
    Puntuale, professionale e gentile.
    Ottimo il risultato che sto ottenendo.

     • Studio Odontoiatrico Dott. Fiorenza  • 

  • P

    Ottimo studio, quando la passione e la professionalità si incontrano, ringrazio ancora tutta l’equipe dello studio Cavour e soprattutto al dott. Fiorenza per il suo trattamento.

     • Studio Odontoiatrico Dott. Fiorenza  • 

  • M

    Sono andata dal Dott. Fiorenza perché volevo fare Botox e biorivitalizzazione. Non l’avevo mai fatto e volevo mantenere un effetto naturale. Mi sono trovata benissimo! Il Dott. Fiorenza ha capito le mie esigenze ed è stato delicatissimo, non ho sofferto! Tornerò sicuramente tra 6 mesi!

     • Studio Odontoiatrico Dott. Fiorenza botox  • 

  • D

    Top Daniele è un grandissimo professionista. Lo raccomando altamente

     • Studio Cancila ortodonzia  • 

  • N

    Mia figlia mi ha fatto conoscere il dott.Fiorenza e mi sono trovata benissimo. Gentilezza e professionalità un connubio perfetto per un grande professionista. Consigliato.

     • Dental Madonie visita ortodontica  • 

Si è verificato un errore, riprova

Risposte ai pazienti

ha risposto a 41 domande da parte di pazienti di MioDottore

Domande su Malattia parodontale

Come faccio a capire se la pulizia delle sacche è stata eseguita bene?

Per capire se la pulizia delle tasche parodontali è stata eseguita bene si valutano alcuni segnali clinici alla rivalutazione (di solito dopo 4–6 settimane):
riduzione o scomparsa del sanguinamento gengivale
gengive meno gonfie e più compatte
diminuzione della profondità delle tasche al sondaggio
eventuale riduzione dell’alitosi

Una sensibilità dentale temporanea dopo la terapia può essere normale perché la radice è stata pulita dal tartaro.

La conferma reale si ottiene comunque con una nuova visita parodontale con sondaggio delle tasche e, nei casi più avanzati, con radiografie di controllo.

Dott. Giacinto Daniele Fiorenza

Domande su Carie dentaria

Buongiorno, mia figlia di 3 anni da qualche settimana ha uno sgretolamento dei due incisivi superiori. I denti sono più marroni cappuccino rispetto agli altri , come macchiati .
Da cosa può dipendere e cosa fare ?

Mia figlia è affetta da una malattia genetica rara (mucolipidosi di tipo 2) che le dà una forma particolare del palato e ipertrofia gengivale. Ad ogni modo ad oggi mangia normalmente.

Grazie
Luca

Buongiorno Luca,

lo sgretolamento degli incisivi superiori con colore marroncino nei bambini piccoli può dipendere principalmente da due cause: carie precoce dell’infanzia oppure difetti dello smalto (smalto più fragile o poco mineralizzato).

Nel caso di tua figlia, considerando la Mucolipidosi di tipo II, è possibile che lo smalto sia strutturalmente più debole; questo può rendere i denti più scuri e più facili a consumarsi o rompersi. Su uno smalto fragile può poi comparire anche la carie.

Ti consiglierei una valutazione in studio, perché spesso si può intervenire precocemente con trattamenti protettivi (fluoro, sigillature o piccole ricostruzioni) per evitare che i denti si deteriorino ulteriormente.

Nel frattempo è utile lavare i denti 2 volte al giorno con dentifricio al fluoro ed evitare bevande zuccherate o latte durante la notte.

Dott. Giacinto Daniele Fiorenza
Vedi tutte le risposte

Tutti i contenuti pubblicati su MioDottore.it, specialmente domande e risposte, sono di carattere informativo e in nessun caso devono essere considerati un sostituto di una visita specialistica.