Esperto in ortodonzia con allineatori trasparenti
Eccellenza Invisalign
Estetica del viso
Tempo medio di risposta:

Esperienze

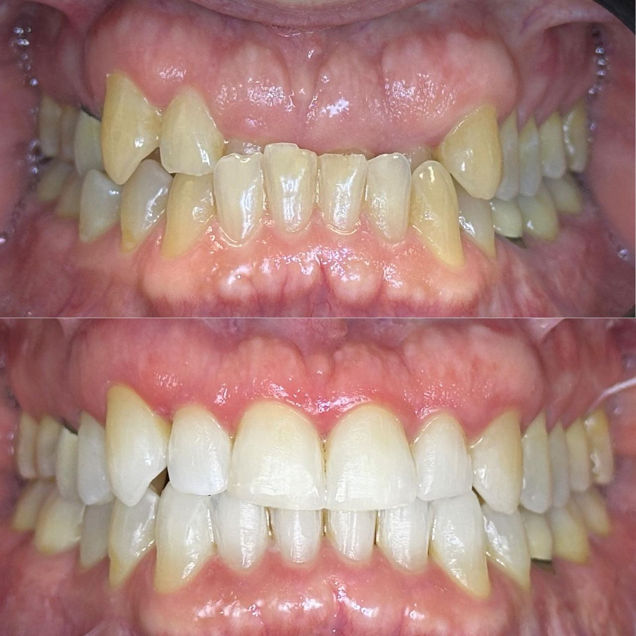
Sono il Dr. Andrea Cerritelli, specializzato in ortodonzia invisibile con Invisalign e tra i 300 migliori al mondo nel 2025.

In Italia sono uno dei pochi con il titolo di Blue Diamond Apex Provider, avendo trattato con successo oltre 2000 casi Invisalign.

Mi occupo di bambini, intercettando e correggendo precocemente problemi di crescita, respirazione e allineamento dentale con il mio metodo Smile Revolution.

Con gli adulti unisco Invisalign a trattamenti estetici come botox e filler, per migliorare non solo il sorriso ma l’armonia del viso nel suo insieme.

Il mio obiettivo? Farti sentire a tuo agio davanti allo specchio, con un sorriso naturale e un volto più armonioso.

SCRIVIMI SU INSTAGRAM PER PARLARE CON ME E VEDERE I MIEI PRIMA E DOPO!

Altro Su di me

Aree di competenza principali:

  • Ortodonzia
  • Odontoiatria pediatrica
  • Odontoiatria estetica
  • Gnatologia

Indirizzi (17)

Vedi mappa si apre in una nuova scheda
Studio de Carlo

Via Parma 2, Lanciano 66034

Disponibilità

Telefono

340 124...

Pazienti accettati

  • Pazienti senza assicurazione sanitaria
Vedi mappa si apre in una nuova scheda
Vedi mappa si apre in una nuova scheda
Dental P

Via del Pescatore 1, Ostra 60010

Disponibilità

Telefono

331 330...

Pazienti accettati

  • Pazienti senza assicurazione sanitaria
Vedi mappa si apre in una nuova scheda
Vedi mappa si apre in una nuova scheda
Studio Dentistico Marando

Via Negroli 49, Milano 20133

Disponibilità

Telefono

02 738...

Pazienti accettati

  • Pazienti senza assicurazione sanitaria
Vedi mappa si apre in una nuova scheda
Vedi mappa si apre in una nuova scheda
Sorriso Moderno

Via Castelli Fiorenza, 36, Rho 20017

Disponibilità

Telefono

02 2622...

Pazienti accettati

  • Pazienti senza assicurazione sanitaria
Vedi mappa si apre in una nuova scheda
Vedi mappa si apre in una nuova scheda
Studio Dentistico Dott. Bertolini Fabio

Via Giosuè Carducci 7, Nova Milanese 20054

Disponibilità

Telefono

0362 3...

Pazienti accettati

  • Pazienti senza assicurazione sanitaria
Vedi mappa si apre in una nuova scheda
Vedi mappa si apre in una nuova scheda
Studio Odontoiatrico Associato Dr. Soldo & Dr. Perego

Via Giuseppe Mazzini 12, Costa Masnaga 23845

Disponibilità

Telefono

031 8...

Pazienti accettati

  • Pazienti senza assicurazione sanitaria
Vedi mappa si apre in una nuova scheda
Vedi mappa si apre in una nuova scheda
Spazio Odontoiatrico

Via Trieste 21, Ancona 60124

Disponibilità

Telefono

071 358...

Pazienti accettati

  • Pazienti senza assicurazione sanitaria
Vedi mappa si apre in una nuova scheda
Vedi mappa si apre in una nuova scheda
Studio dentistico Dr. Collamati Fabrizio

Via Giacomo Brodolini 13, Recanati 62019

Disponibilità

Telefono

071 757...

Pazienti accettati

  • Pazienti senza assicurazione sanitaria
Vedi mappa si apre in una nuova scheda
Vedi mappa si apre in una nuova scheda
Centro Odontoiatrico Dentalife

Via Malpighi 22, Corato 70033

Disponibilità

Telefono

329 968...

Pazienti accettati

  • Pazienti senza assicurazione sanitaria
Vedi mappa si apre in una nuova scheda
Vedi mappa si apre in una nuova scheda
Studio Dentistico Dott.ssa Asaro Lucia

Via Aurelia 316, Loano 17025

Disponibilità

Telefono

019 6...

Pazienti accettati

  • Pazienti senza assicurazione sanitaria
Vedi mappa si apre in una nuova scheda
Vedi mappa si apre in una nuova scheda
Centro Odontoiatrico Santa Apollonia

Via Eduardo de Filippo 2, Cerignola 71042

Disponibilità

Telefono

0885 4...

Pazienti accettati

  • Pazienti senza assicurazione sanitaria
Vedi mappa si apre in una nuova scheda
Vedi mappa si apre in una nuova scheda
Cliniche Plus

Corso Vittorio Emanuele II 123, Torino 10128

Disponibilità

Telefono

011 562...

Pazienti accettati

  • Pazienti senza assicurazione sanitaria
Vedi mappa si apre in una nuova scheda
Vedi mappa si apre in una nuova scheda
Studio Dentistico Dr. Luciano Alpa

Via Colonnello Aprosio 195, Vallecrosia 18019

Disponibilità

Telefono

0184 2...

Pazienti accettati

  • Pazienti senza assicurazione sanitaria
Vedi mappa si apre in una nuova scheda
Vedi mappa si apre in una nuova scheda
Studio Dentistico Fornaro

Via Granello 5 int 6, Genova 16121

Disponibilità

Telefono

347 234...

Pazienti accettati

  • Pazienti senza assicurazione sanitaria
Vedi mappa si apre in una nuova scheda
Vedi mappa si apre in una nuova scheda
Studio Dentistico Chiarini

Via Napoli 2, Roseto degli Abruzzi 64026

Disponibilità

Telefono

340 124...

Pazienti accettati

  • Pazienti senza assicurazione sanitaria
Vedi mappa si apre in una nuova scheda
Vedi mappa si apre in una nuova scheda
Studio Dentistico De Carlo

Via Nicola Fabrizi 215, Pescara 65122

Disponibilità

Telefono

340 124...

Pazienti accettati

  • Pazienti senza assicurazione sanitaria
Vedi mappa si apre in una nuova scheda
Vedi mappa si apre in una nuova scheda
CDS - Casa della Salute

Corso Agostino Ricci 203 / r, Savona 17100

Disponibilità

Questo dottore non offre prenotazioni online a questo indirizzo

Telefono

019 938...

Pazienti accettati

  • Pazienti senza assicurazione sanitaria
Vedi mappa si apre in una nuova scheda

Prestazioni e prezzi

  • Prima visita dentistica

    Prestazione gratuita

  • Visita ortodontica

    Prestazione gratuita

  • Prima Visita

    Prestazione gratuita

  • Ortodonzia pediatrica

    Prestazione gratuita

  • Ortodonzia mobile

    Prestazione gratuita

33 recensioni

Tutte le recensioni contano e non possono essere rimosse o modificate dai dottori a proprio piacimento. Scopri come funziona il processo di moderazione delle recensioni. Per saperne di più sulle opinioni
  • R

    Molto molto dettagliato, preciso e semplice nella spiegazione, ci ha messo 5 minuti a convincermi, ho subito capito che è una persona in gamba e competente nel suo ambito lavorativo

     • Studio Dentistico Dott. Bertolini Fabio invisalign®  • 

  • R

    Grande professionalità e serietà molto preparato e un ottimo lavoro svolto

     • Studio Odontoiatrico Associato Dr. Soldo & Dr. Perego apparecchio dentale mobile  • 

  • M

    Professionalità, disponibilità, attenzione e cortesia. Si viene accolti sempre con cordialità e simpatia.
    Top

     • Studio Dentistico Dott.ssa Asaro Lucia trattamento ortodontico INVISALIGN®  • 

  • C

    Ho portato mia figlia che aveva diversi problemi, in poco tempo e soprattutto con un metodo assolutamente non traumatico rispetto agli apparecchi tradizionali, l’ha trasformata e ora ha una bocca perfetta!! Assolutamente consigliato sia per il metodo che l’approccio.

     • Sorriso Moderno invisalign®  • 

  • L

    ... Almeno è simpatico
    Rispetto ad altri
    Lo consiglio vivamente

     • Studio Dentistico Dott. Bertolini Fabio prima visita odontoiatrica  • 

  • L

    Ottimo risultato,ci siamo trovati benissimo,dottore professionale,super disponibile e simpatico,ottimo studio,lo consiglio.

     • Studio Dentistico Dott.ssa Asaro Lucia trattamento ortodontico INVISALIGN®  • 

  • F

    Lavoro fantastico, finalmente il mio sorriso non é più timido! Grazie mille dr. Cerritelli

     • Altro Altro  • 

    Dott. Andrea Cerritelli

    Grazie di cuore, Francesca!
    Che bello sapere che ora il suo sorriso non è più timido — è proprio questo lo spirito del metodo Smile Revolution: aiutare ogni persona a sentirsi sicura e libera di sorridere.

    Sono felice di aver contribuito a questo cambiamento e la ringrazio per la fiducia.
    Le sue parole sono davvero preziose e mi danno la carica per continuare a fare sempre meglio!


  • S

    Dottore molto professionale, simpatico ed empatico. Vorrei rincontrarlo altre 100 volte. Ha svolto su di me un lavoro eccellente svolgendo tutto quello da lui promesso. Io personalmente sono stata seguita presso lo studio di Rho, dove oltre a lui ho avuto il piacere di conoscere la sua assistente altrettanto professionale quanto lui.
    Lo consiglio vivamente.

     • Sorriso Moderno invisalign®  • 

    Dott. Andrea Cerritelli

    Grazie di cuore per le sue splendide parole!
    Mi fa davvero piacere sapere che la sua esperienza presso lo studio di Rho sia stata così positiva e che abbia percepito la cura e l’attenzione che mettiamo in ogni trattamento.
    Sapere di aver mantenuto le promesse e di averla accompagnata con serenità lungo il percorso del metodo Smile Revolution è una grande soddisfazione per me.

    Un ringraziamento speciale anche da parte della mia assistente — siamo felici che si sia sentita accolta e seguita in ogni fase.
    Recensioni come la sua ci ricordano ogni giorno quanto valga la pena impegnarsi per far sorridere chi si affida a noi.


  • S

    Dottore top super super disponibile e attento alle esigenze del paziente!

     • Cliniche Plus trattamento ortodontico INVISALIGN®  • 

    Dott. Andrea Cerritelli

    Grazie di cuore, Sabrina!
    Mi fa davvero piacere leggere le sue parole. Cerco sempre di essere il più attento possibile alle esigenze di ogni paziente, perché credo che un sorriso perfetto nasca prima di tutto dall’ascolto e dalla fiducia reciproca.

    Sapere che il mio metodo Smile Revolution sia stato apprezzato mi dà grande soddisfazione.
    Le sue parole sono uno stimolo prezioso a continuare così — e sapere che l’esperienza è stata positiva è per me il miglior riconoscimento.


  • C

    Il Dottor Cerritelli segue la nostra bambina 11 anni con trattamento ortodontico INVISALING. Super professionale e molto preparato!!!

     • Cliniche Plus trattamento ortodontico INVISALIGN®  • 

    Dott. Andrea Cerritelli

    Grazie di cuore, Cristian!
    Sono davvero felice che la vostra bambina si trovi bene con il percorso del metodo Smile Revolution. Alla sua età è importante vivere l’esperienza in modo sereno, e sapere che vi sentite seguiti con attenzione e professionalità mi dà grande soddisfazione.

    Vedere crescere il suo sorriso, passo dopo passo, è una delle parti più belle del mio lavoro.
    Le vostre parole mi riempiono di gratitudine — sapere che l’esperienza è stata positiva è il miglior riconoscimento che potessi ricevere.


Si è verificato un errore, riprova

Risposte ai pazienti

ha risposto a 21 domande da parte di pazienti di MioDottore

Salve, ho appena estratto i premolari inferiori, ho già la mascella piccola, e ho paura che questo possa rovinare la mia faccia.sono stati estratti solo quelli inferiori perché solo sotto ho due denti storti, e per raddrizzare avevo bisogno di spazio.Con l’apparecchio e l’estrazione dei premolari inferiori si sistemerà o peggiorerà? Mi é stato detto che é impossibile che cambi la forma della mandibola essendo già formata.

Ciao!
Capisco l’ansia: è una domanda molto comune.

In un adulto, l’estrazione dei premolari inferiori serve a creare spazio per allineare i denti e migliorare l’occlusione. Non cambia la forma della mandibola: l’osso è già formato e stabile, quindi non “rientra” né si riduce. Gli eventuali cambiamenti che puoi notare riguardano solo la posizione dei denti e il sostegno delle labbra, di solito minimi e temporanei durante la terapia.

Quando è pianificato bene, l’obiettivo è spostare i denti (non le ossa) per ottenere:

denti dritti e un morso equilibrato,

funzione corretta e stabilità nel tempo,

estetica del profilo invariata.

Nel mio studio uso scanner 3D e simulazioni digitali per prevedere gli effetti e condividere il percorso con te.

Un saluto,
Dott. Andrea Cerritelli — Smile Revolution

Dott. Andrea Cerritelli

Buongiorno. Vorrei un informazione.
Ho un diastema, non stretto, neanche larghissimo, ma si vede molto, si aggiunge purtroppo l'incisivo un po' storto verso sinistra, non molto anche qui poco, ma di lato si nota. Avendo ormai 29 anni, volevo evitare di mettere l'apparecchio, sia per scomodità sia per avere un risultato visibile in poco tempo . Volevo chiedere se in questa situazione è possibile mettere delle faccette, o se la situazione è troppo complicata e serve per forza l'apparecchio. Inoltre, volevo anche chiedervi se anche in composito sì può fare. Grazie.

Buongiorno,
le faccette sono una buona soluzione solo quando il problema non è solo di posizione, ma anche di forma, colore o proporzioni dei denti — cioè quando, anche a denti perfettamente dritti, il sorriso non ti soddisferebbe pienamente.

Nel tuo caso, se il diastema e l’inclinazione dell’incisivo sono le principali preoccupazioni, con un apparecchio invisibile puoi ottenere un risultato perfetto in poco tempo, senza che nessuno se ne accorga e mantenendo i tuoi denti completamente intatti, senza limature o interventi invasivi.

Ovviamente il caso va valutato da persona a persona, ti conisiglio una visita professionale in studio per valutare la cselta terapeutica più adatta a te

Dott. Andrea Cerritelli — Estetica del Sorriso

Dott. Andrea Cerritelli
Vedi tutte le risposte

Tutti i contenuti pubblicati su MioDottore.it, specialmente domande e risposte, sono di carattere informativo e in nessun caso devono essere considerati un sostituto di una visita specialistica.