Tempo medio di risposta:

Esperienze

Il dottor Marco Mozzati è specializzato in implantologia e chirurgia orale, implantologia a carico immediato e nel posizionamento di impianti zigomatici a carico immediato.

Laureato in Medicina e Chirurgia nel 1986 e specializzato in Odontostomatologia presso l’Università di Torino nel 1990.

Dirigente Medico di I° livello dal 1998 al 2012 presso il Servizio Autonomo di Riabilitazione Orale e Protesi Maxillo-facciale ed Impianti Dentali dell’Ospedale San Giovanni Battista di Torino. Dal 2002 al 2012 è stato consulente odontoiatrico presso l’ospedale CTO, Reparto di chirurgia Plastica e Traumatologia Maxillo-facciale Prof. Magliacani.

Da gennaio 2005 al 2012 Dirigente Medico Responsabile della S.S.C.V.D. Chirurgia Stomatologica Dipartimento di Odontostomatologia diretto dal Prof. Stefano Carossa, presso l’Azienda Ospedaliera S.Giovanni Battista di Torino.

Professore a contratto dal 2004 al 2012 con l’insegnamento di Chirurgia Orale per il Corso di Laurea in Odontoiatria e Protesi Dentaria. Dal 2005 al 2012 ha presieduto la cattedra dell’insegnamento di Chirurgia Orale per il Corso di Laurea in Igiene Dentale dell’Università degli Studi di Torino.

Socio Fondatore della Piezosurgery Academy. Socio attivo SICOI. Socio fondatore e presidente in carica della ANTHEC (Academy of Non Transfusional Hemo-Components). Autore di numerosi articoli scientifici riguardanti la chirurgia orale e l’Implantologia. Coautore dei libri “Advances in Prosthodontics” e “Riabilitazione Protesica”.
Altro Su di me

Aree di competenza principali:

  • Chirurgia ossea
  • Chirurgia maxillo facciale
  • Chirurgia orale
  • Implantologia

Tipologia di visite

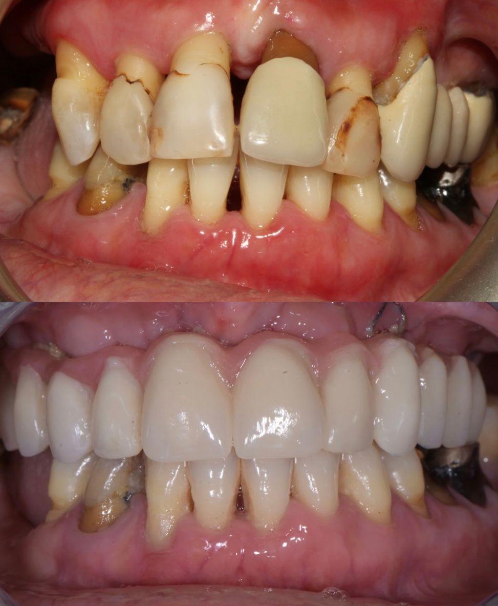
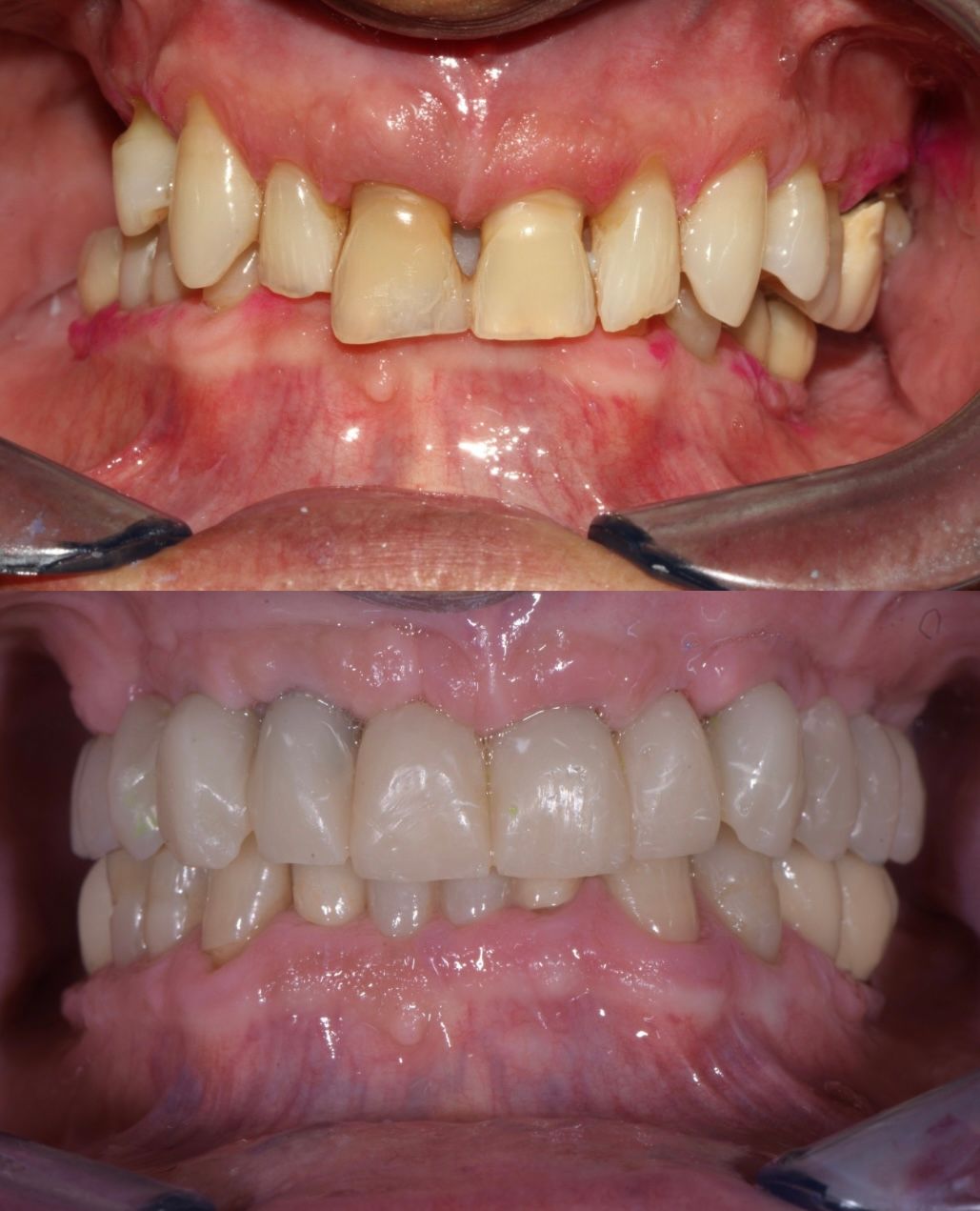
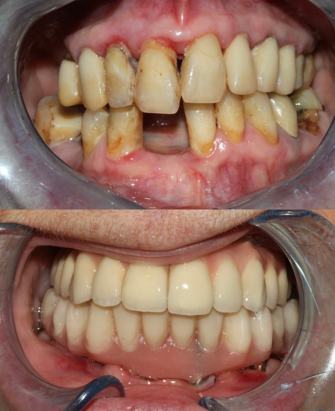
Foto e video

Prestazioni e prezzi

  • Prima visita dentistica

    Prestazione gratuita

  • Estrazione dente incluso

    Da 400 €

  • Sbiancamento dentale

    350 €

  • Rigenerazione ossea

    Da 800 €

  • Ricostruzione dentaria

    Da 150 €

Indirizzo

Vedi mappa si apre in una nuova scheda
SIOM SRL

64, Corso Dante Alighieri, Torino 10126

Disponibilità

Telefono

011 6...

Pazienti accettati

  • Pazienti senza assicurazione sanitaria
Vedi mappa si apre in una nuova scheda

41 recensioni

Tutte le recensioni contano e non possono essere rimosse o modificate dai dottori a proprio piacimento. Scopri come funziona il processo di moderazione delle recensioni. Per saperne di più sulle opinioni
  • O

    Personale gentile e competente Dott. Mozzati per quanto io abbia il terrore del dentista con lui mi trovo benissimo è anche molto rassicurante

     • SIOM SRL consulto per impianto dentale  • 

  • B

    Competenza, professionalità, puntualità sono le sensazioni che ho provato. Il dottor. Mozzati è stato presente e confortante sia durante la proposta di lavoro,sia durante il lavoro.

     • SIOM SRL chirurgia orale  • 

    SIOM SRL

    Grazie mille


  • S

    Il Dottore ha ascoltato attentamente ed è stato poi molto esaustivo nella risposta e nel trovarmi la soluzione. Era la prima volta che mi recavo nel suo studio è quello che ho notato è stata la sua massima professionalità.

     • SIOM SRL prima visita dentistica  • 

    SIOM SRL

    Grazie mille


  • P

    Ottimo professionista,mi ha rassicurato per le cure da fare

     • SIOM SRL prima visita dentistica  • 

    SIOM SRL

    Grazie mille


  • P

    Non dico che mi piace andare dal dentista, ma da Mozzati ci siamo vicini

     • SIOM SRL estrazione dentaria  • 

  • E

    Ottima consulenza, spiegazioni dettagliate e servizio dello studio ineccepibile. Grazie!

     • SIOM SRL visita dentistica  • 

    SIOM SRL

    Grazie


  • A

    Sono un medico e ho conosciuto,in qualità di paziente, il dottor Mozzati da oltre 20 anni, dapprima per me, poi per i miei famigliari, quindi lo ho consigliato a vari colleghi ed amici. Non ho mai rilasciato recensioni di questo tipo ma lo faccio in tutta sincerità in questo caso perchè so o convinto sia un professionista di altissimo livello, il che fa la differenza in caso di problematiche quali impianti o estrazioni difficili. Mi sento quindi in tutta onestà e coscienza di raccomandarlo a chiunque per serietà e competenza professionale.

     • SIOM SRL visita di chirurgia maxillo facciale  • 

    SIOM SRL

    Grazie


  • L

    Ottimo professionista e competente nel suo lavoro. Persona piacevole

     • SIOM SRL chirurgia orale  • 

    SIOM SRL

    Grazie mille


  • R

    Mi sono trovato bene alla mia prima visita di controllo. Struttura ben organizzata, puntualità e spiegazioni dettagliate!

     • SIOM SRL prima visita dentistica  • 

    SIOM SRL

    Grazie mille


  • N

    Dottori bravissimi lo consiglio pulizia denti perfetta protesi che non si sente in bocca

     • SIOM SRL chirurgia orale  • 

    SIOM SRL

    Grazie


Si è verificato un errore, riprova