Tempo medio di risposta:

Esperienze

Il Dr. Luigi Pigno è odontoiatra e fondatore dello Studio Dentistico Pigno – Odontoiatria Specialistica di Torre del Greco (NA).

Specializzato in estetica dentale, chirurgia avanzata e riabilitazione orale complessa, ha conseguito la laurea in Odontoiatria e Protesi Dentaria presso l’Università di Roma “Tor Vergata” con votazione 110 e lode, il Master in Chirurgia Implantoprotesica presso l’Università Vita-Salute San Raffaele di Milano e la specializzazione in Chirurgia, Parodontologia e Riabilitazione in Implantologia Orale presso l’Universidad Católica San Antonio de Murcia.

Ha inoltre conseguito un Master di II livello in Medicina Estetica presso l’Università Internazionale Unicamllus di Roma, che gli consente di integrare armoniosamente estetica del sorriso e del volto nei suoi piani di trattamento.

Attraverso un approccio personalizzato, tecnologie digitali d’avanguardia e una costante documentazione fotografica e video dei casi clinici, il Dr. Pigno realizza riabilitazioni estetiche e funzionali di alto livello, migliorando non solo il sorriso ma la qualità di vita dei suoi pazienti.

Altro Su di me

Aree di competenza principali:

  • Implantologia dentale
  • Gnatologia
  • Odontoiatria pediatrica
  • Chirurgia odontostomatologica
  • Medicina estetica
  • Odontoiatria estetica
  • Stomatologia
  • Implantologia
  • Protesi dentaria
  • Gnatologia
  • Chirurgia orale
  • Chirurgia ambulatoriale
  • Odontoiatria estetica
  • Chirurgia odontostomatologica
  • Ortodonzia
Mostra dettagli

Presso questo indirizzo visito

Adulti
Bambini

Tipologia di visite

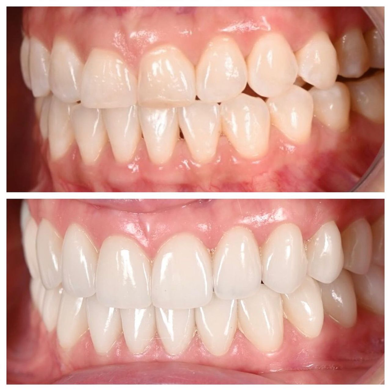
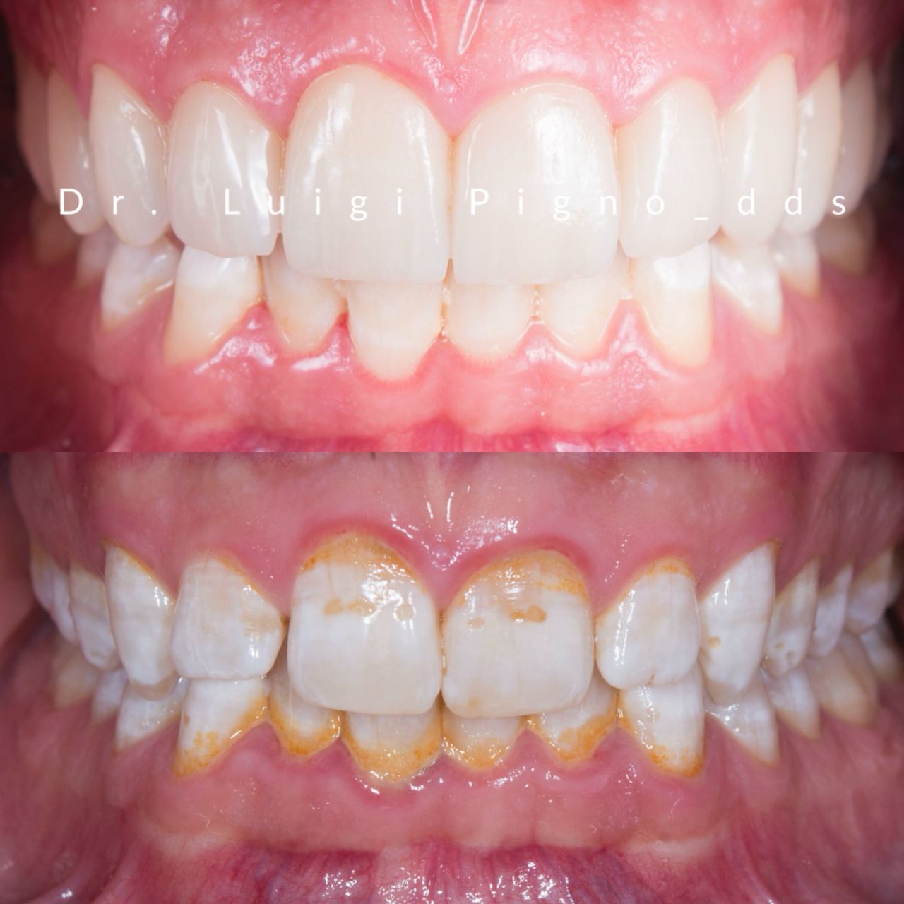
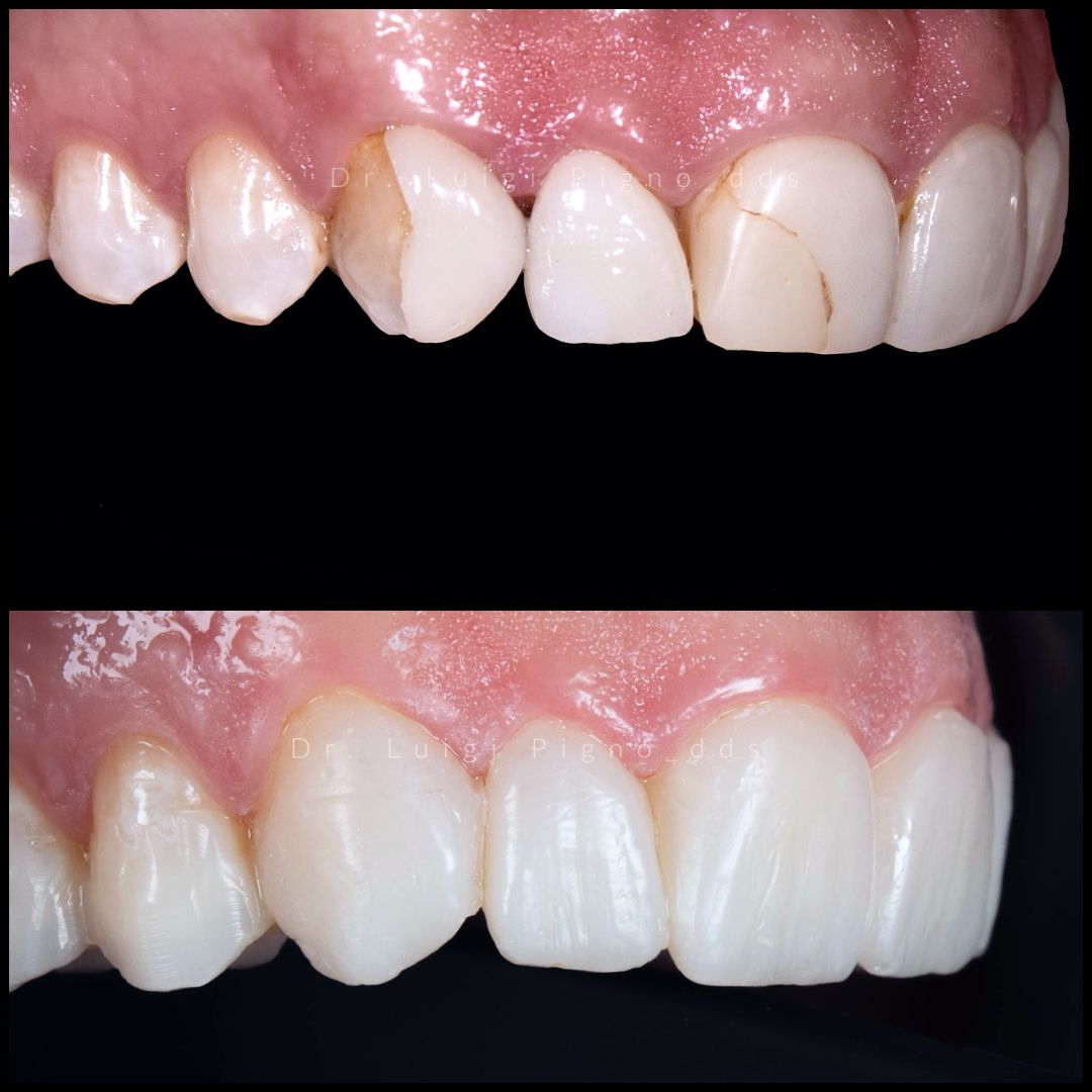
Foto e video

Logo
Dr. Luigi Pigno

Via Poggio Sant'Antonio, 56L, Piano strada, Torre del Greco 80059

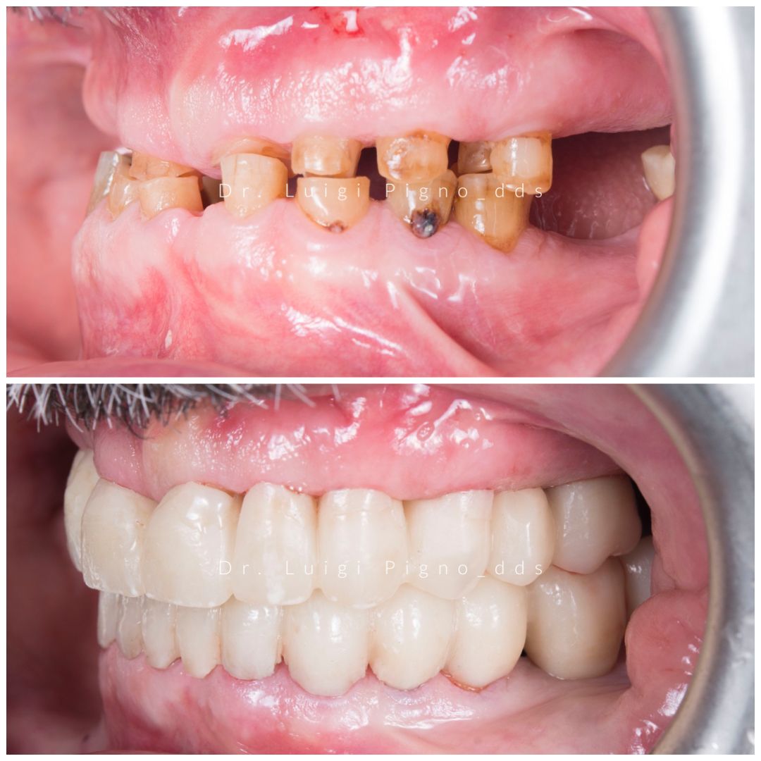
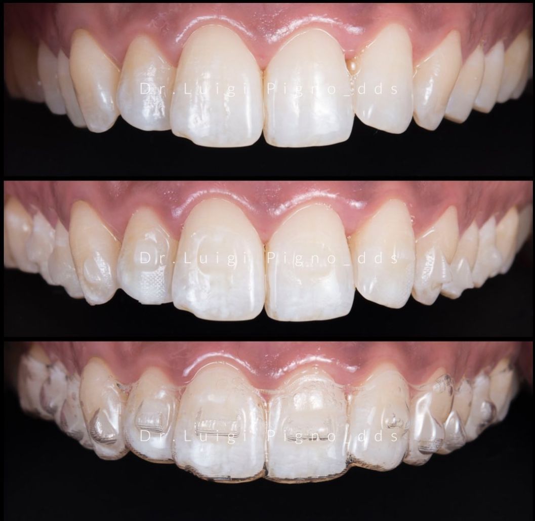
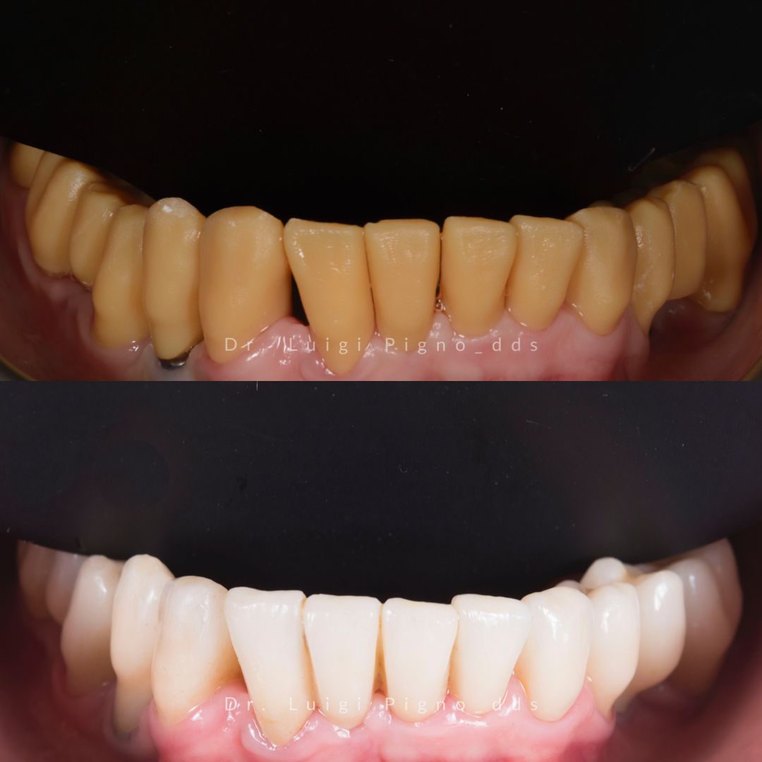
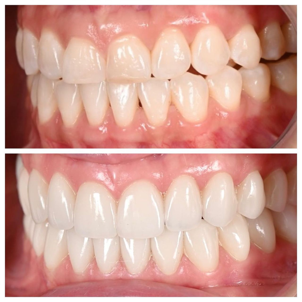
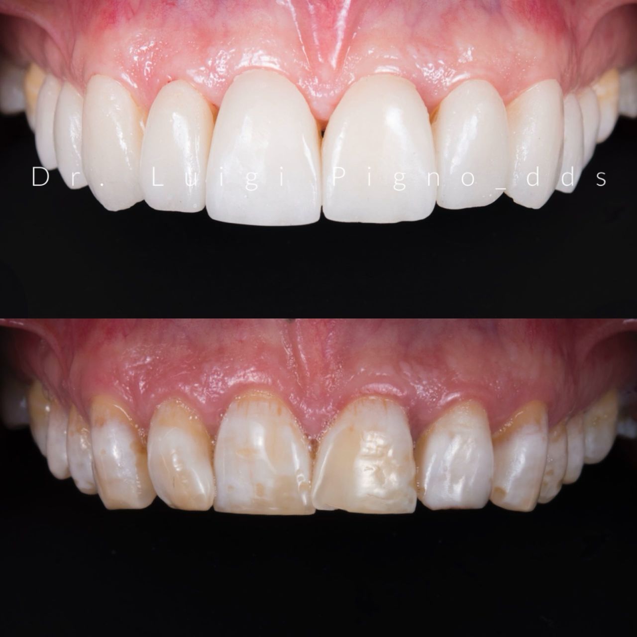
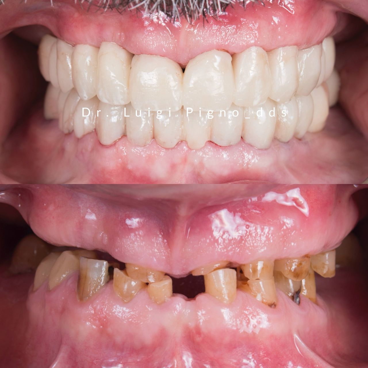
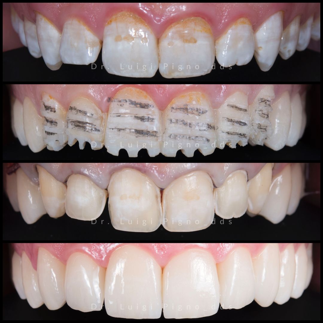
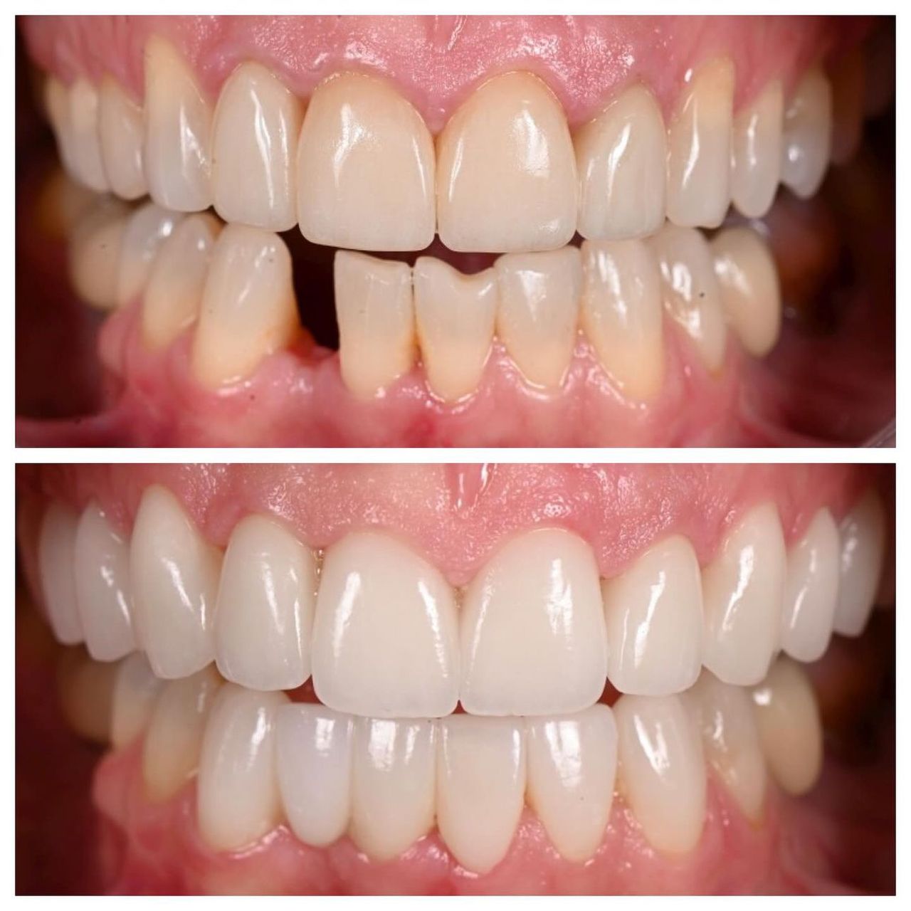
Un nuovo sorriso, una nuova vita.

Ogni sorriso racconta una storia.
La storia di questa paziente è quella di una donna che, per anni, ha nascosto il proprio sorriso, limitandosi nei rapporti sociali e nella vita quotidiana.

Attraverso una riabilitazione estetica e funzionale completa, abbiamo restituito armonia, equilibrio e naturalezza al suo viso ma soprattutto fiducia, libertà e autostima.

La trasformazione non è solo estetica:
- la funzione masticatoria è stata ripristinata,
- la postura e il profilo facciale sono migliorati,
- e la paziente oggi affronta la vita con una nuova energia.

Perché un sorriso non è mai solo un dettaglio estetico.
È il modo in cui ci presentiamo al mondo,
è il riflesso di come ci sentiamo dentro.

E quando torna a splendere, cambia tutto.

Studio Dentistico Pigno – Odontoiatria Specialistica
Riabilitazioni estetiche e funzionali personalizzate

26/10/2025

Prestazioni e prezzi

  • Visita ortodontica

    Prestazione gratuita

  • Chirurgia orale


  • Devitalizzazione

    Da 150 €

  • Endodonzia

    180 €

  • Estrazione di denti e radici

    Da 100 €

Indirizzo

Vedi mappa si apre in una nuova scheda
Studio Dentistico Pigno - Dr. Luigi Pigno

Via Poggio Sant'Antonio, 56L, Piano strada, Torre del Greco 80059

Disponibilità

Telefono

081 1929...

Pazienti accettati

  • Pazienti senza assicurazione sanitaria
  • Pazienti con assicurazione sanitaria

Assicurazioni

Vedi mappa si apre in una nuova scheda

84 recensioni

Tutte le recensioni contano e non possono essere rimosse o modificate dai dottori a proprio piacimento. Scopri come funziona il processo di moderazione delle recensioni. Per saperne di più sulle opinioni
  • G

    Fantastico, quasi una SPA, ho dovuto solo ricordare di tenere la bocca aperta.

     • Studio Dentistico Pigno - Dr. Luigi Pigno chirurgia orale  • 

    Dr. Luigi Pigno

    Grazie Signor Giacinto per il tuo gentile feedback. Un saluto


  • C

    Ho iniziato la terapia ortodontica presso lo Studio Dentistico Pigno per realizzare il sogno di avere un sorriso allineato e armonioso. Il dott. Luigi Pigno, dentista specializzato in ortodonzia a Torre del Greco , mi ha spiegato con chiarezza ogni fase del trattamento con l’apparecchio ai denti, facendomi sentire subito tranquilla e seguita. Studio moderno, professionale e super organizzato. Consiglio lo Studio Dentistico Pigno a chi cerca un dentista per l’apparecchio ai denti a Torre del Greco per migliorare davvero il proprio sorriso. sono davvero felice

     • Studio Dentistico Pigno - Dr. Luigi Pigno visita ortodontica  • 

    Dr. Luigi Pigno

    Cara paziente, la ringraziamo per le sue splendide parole. Ci rende felice il suo commento, ci sprona a fare sempre di più. Studio Dentistico Pigno.


  • E

    Dottore estremamente professionale, preparato e gentile. Delucidazioni in ogni momento della prestazione. Grande attenzione rivolta ai pazienti dal dottore e da tutti i collaboratori/colleghi. Non ultimo puntualità degli appuntamenti.

     • Studio Dentistico Pigno - Dr. Luigi Pigno visita parodontale  • 

    Dr. Luigi Pigno

    Grazie Sig. Enrico per la sua gentile recensione. Un caro saluto.


  • I

    Professionalità, umanità e gentilezza.Grande doc ed il suo staff.

     • Studio Dentistico Pigno - Dr. Luigi Pigno chirurgia orale  • 

    Dr. Luigi Pigno

    Grazie Ilaria per il tuo gentile feedback.
    Un saluto


  • K

    Con il dott. Luigi Pigno mi sono trovata benissimo , una persona molta precisa e spiega tutto nei minimi dettagli. Inoltre , anche l’ambiente è molto accogliente e pulito. Lo consiglio !!

     • Studio Dentistico Pigno - Dr. Luigi Pigno igiene orale  • 

    Dr. Luigi Pigno

    Cara Paziente siamo felici di averla aiutata.
    vi ringraziamo per le belle parole.
    A presto.
    Studio Dentistico Pigno


  • L

    Mi sono trovata benissimo massima professionalità e puntualità e le sue spiegazioni sono esaustive.

     • Studio Dentistico Pigno - Dr. Luigi Pigno chirurgia orale  • 

    Dr. Luigi Pigno

    Cara Paziente siamo felici di averla aiutata.
    vi ringraziamo per le belle parole.
    A presto.
    Studio Dentistico Pigno


  • Studio pulitissimo, personale eccellente specialmente il dottore molto cordiale

     • Studio Dentistico Pigno - Dr. Luigi Pigno visita ortodontica  • 

    Dr. Luigi Pigno

    Cara/o paziente, la ringraziamo per le sue splendide parole. Ci rende felice il suo commento, ci sprona a fare sempre di più. Studio Dentistico Pigno.


  • L

    ​Il Dott. Luigi è un professionista eccezionale,attento, scrupoloso e soprattutto molto chiaro nello spiegare ogni fase del trattamento. Fin dal primo momento, l'accoglienza è stata calorosa e tutto lo staff si è dimostrato estremamente gentile e premuroso.

     • Studio Dentistico Pigno - Dr. Luigi Pigno devitalizzazione  • 

    Dr. Luigi Pigno

    grazie, i vostri commenti ci fanno tanto piacere e ci invogliano a fare sempre di più. La vostra soddisfazione ci rende felici A presto Studio Dentistico Pigno


  • F

    Il Top dei dottori
    Il meglio che possa esistere
    Professionale preciso

     • Studio Dentistico Pigno - Dr. Luigi Pigno visita ortodontica  • 

    Dr. Luigi Pigno

    grazie, i vostri commenti ci fanno tanto piacere e ci invogliano a fare sempre di più. La vostra soddisfazione ci rende felici A presto Studio Dentistico Pigno


  • G

    Mi sono trovata davvero benissimo; L’ambiente è pulito e accogliente, il personale è estremamente gentile e professionale.
    Il dottore è molto competente, attento ai dettagli e capace di mettere subito a proprio agio anche chi come me ha un po’ paura del Dentista. Consiglio vivamente questo studio a chi cerca serenità e competenza.

     • Studio Dentistico Pigno - Dr. Luigi Pigno chirurgia orale  • 

    Dr. Luigi Pigno

    Cara paziente, la ringraziamo per le sue splendide parole. Ci rende felice il suo commento, ci sprona a fare sempre di più. Studio Dentistico Pigno.


Si è verificato un errore, riprova