Dott. Luigi Falconio

Dentista · Altro

Cepagatti 2 indirizzi

30 recensioni
Tempo medio di risposta:

Esperienze

In questa professione l'elemento più stimolante è quello di inquadrare, valutare e programmare a 360° tutte le fasi cliniche necessarie a soddisfare le richieste di qualsiasi paziente, per poter fornire tutte le informazioni necessarie a scegliere il miglior piano di trattamento da intraprendere. Mi occupo principalmente di riabilitazioni protesiche, semplici e complesse, con l'obiettivo di creare i presupposti per ripristinare gli elementi funzionali necessari alla salute del cavo orale; mi piace sempre avere una particolare attenzione per l'estetica dei denti e del sorriso, elemento fondamentale per tutti al giorno d'oggi.
Altro Su di me

Aree di competenza principali:

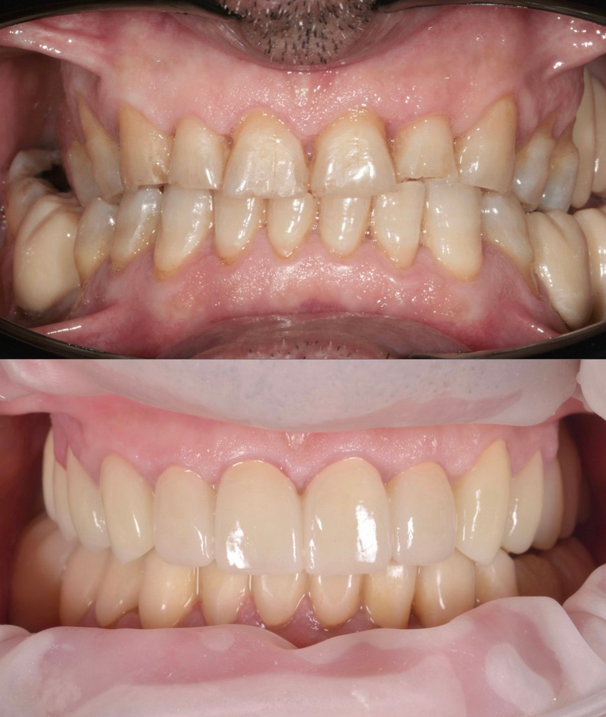
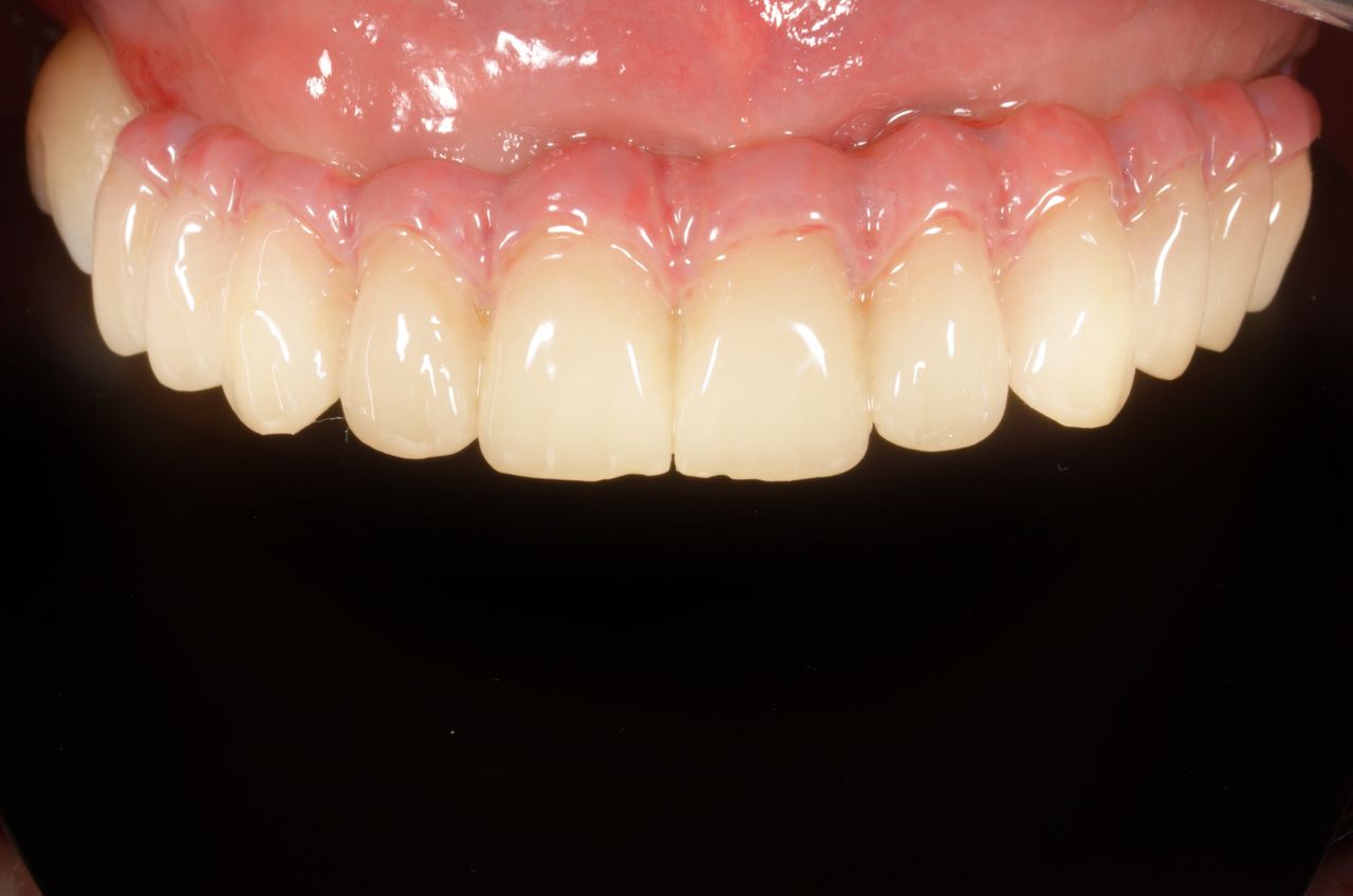
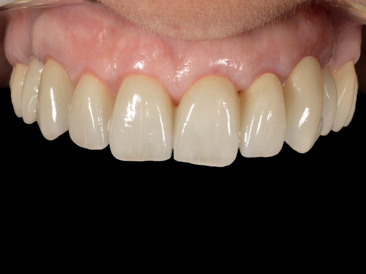
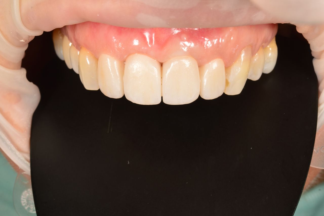
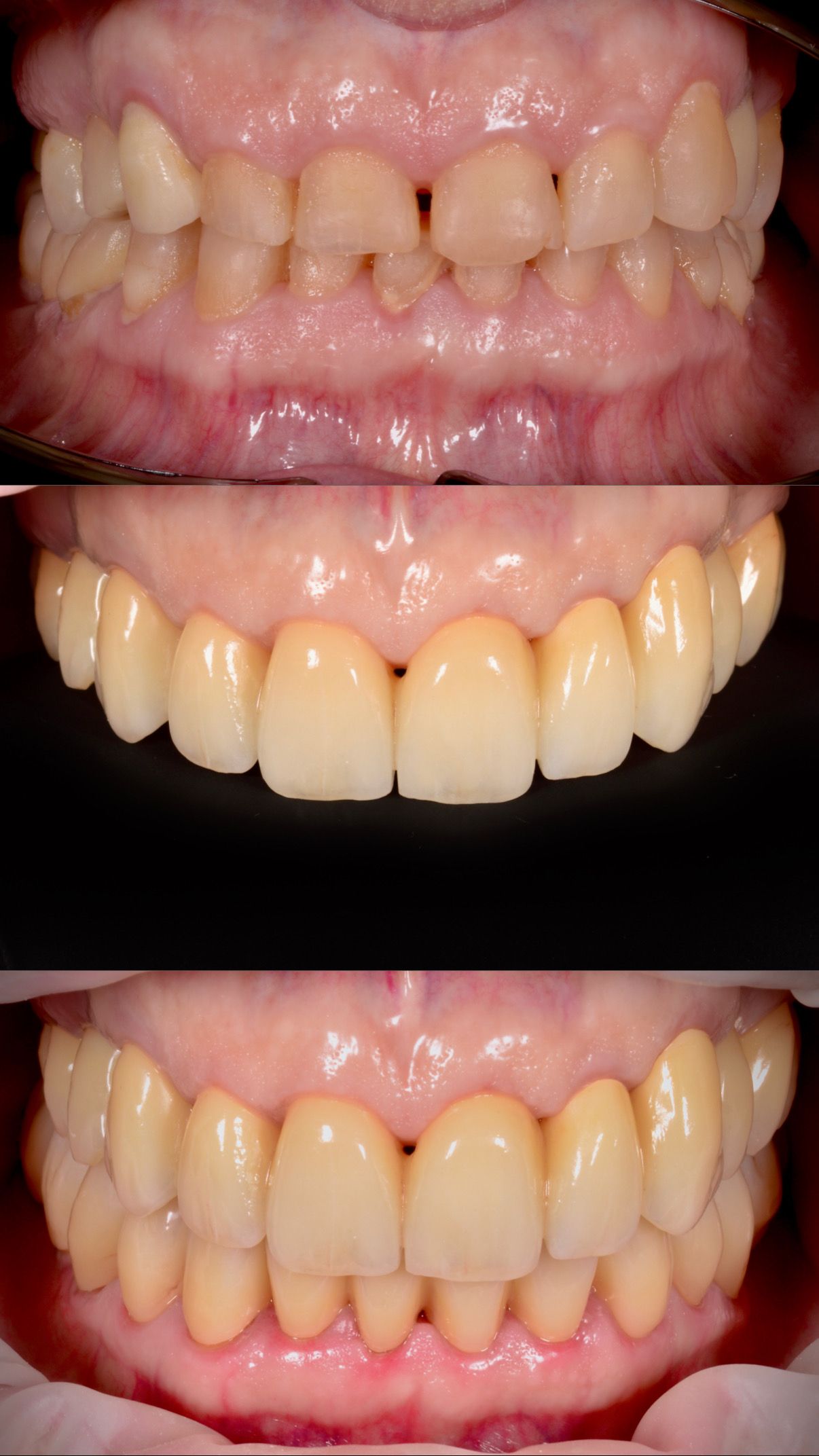
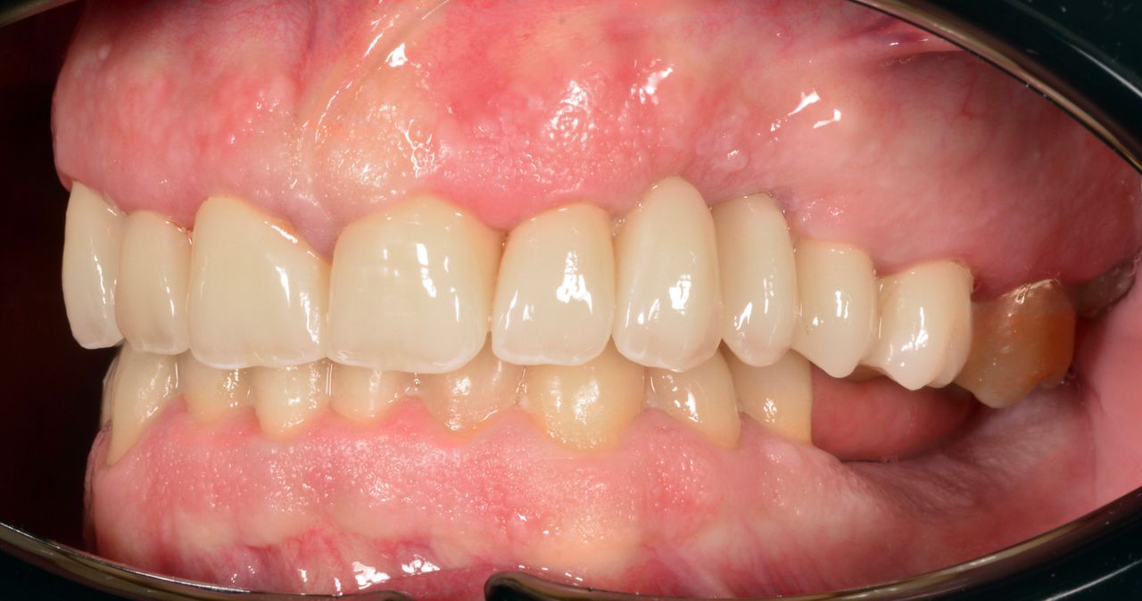
  • Odontoiatria estetica
  • Gnatologia
  • Protesi dentaria

Presso questo indirizzo visito

Adulti
Bambini

Tipologia di visite

Consulenza online

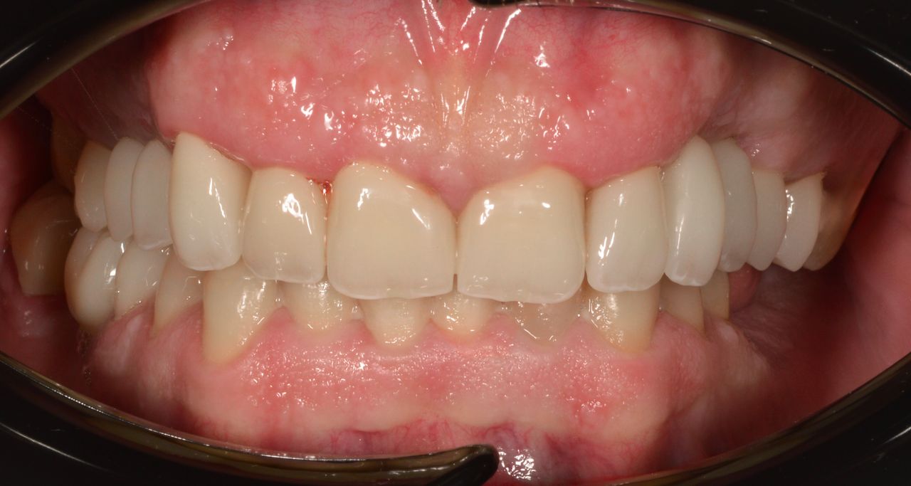
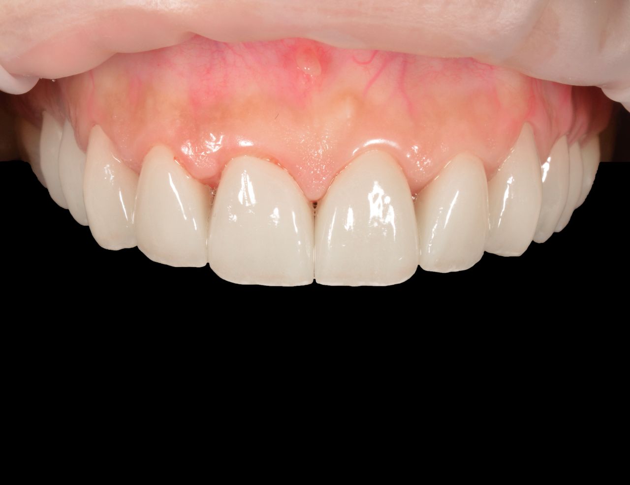
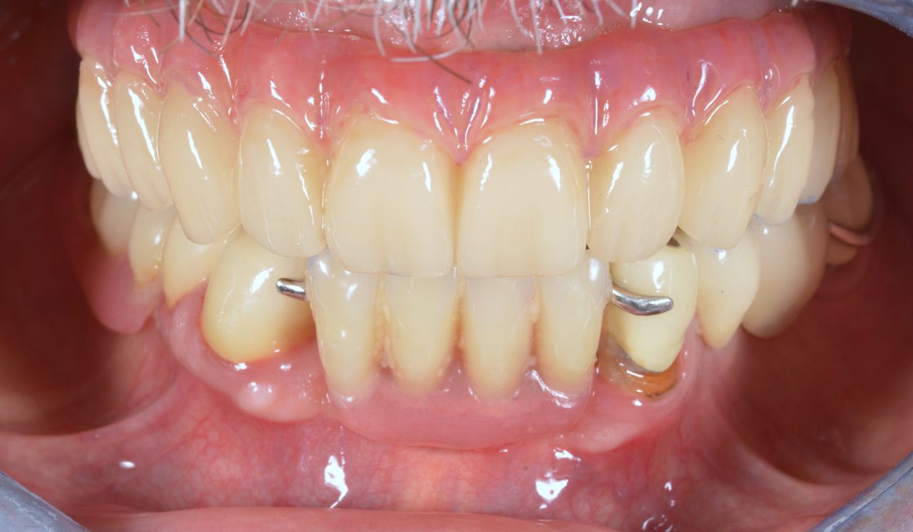
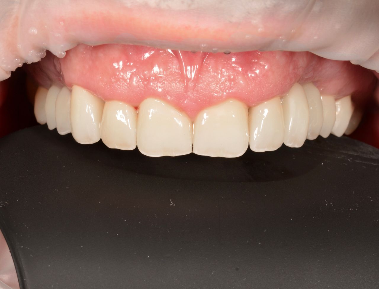
Foto e video

Prestazioni e prezzi

  • Prima visita dentistica

    50 €

  • Gengivectomia


  • Estetica del sorriso


  • Estrazione dentaria


  • Estrazione di denti e radici


Indirizzi (3)

Vedi mappa si apre in una nuova scheda
STUDIO SORRISO - Dott. Falconio Luigi

Piazza Redentore 2, San Benedetto del Tronto

Disponibilità

Telefono

085 939...

Pazienti accettati

  • Pazienti senza assicurazione sanitaria
Vedi mappa si apre in una nuova scheda
Vedi mappa si apre in una nuova scheda
FALCONIO DESMOS STUDIO ASSOCIATO

Via dante alighieri 160, Cepagatti 65012

Disponibilità

Telefono

085 939...

Pazienti accettati

  • Pazienti senza assicurazione sanitaria
Vedi mappa si apre in una nuova scheda

Disponibilità

Telefono

085 939...

Pazienti accettati

  • Pazienti senza assicurazione sanitaria

30 recensioni

Tutte le recensioni contano e non possono essere rimosse o modificate dai dottori a proprio piacimento. Scopri come funziona il processo di moderazione delle recensioni. Per saperne di più sulle opinioni
  • M

    Medico super professionale, attento ai dettagli, soprattutto sincero, prima di ogni trattamento ti spiega che cosa andrà ad effettuare, quindi riesce a coinvolgere in maniera partecipe il paziente.

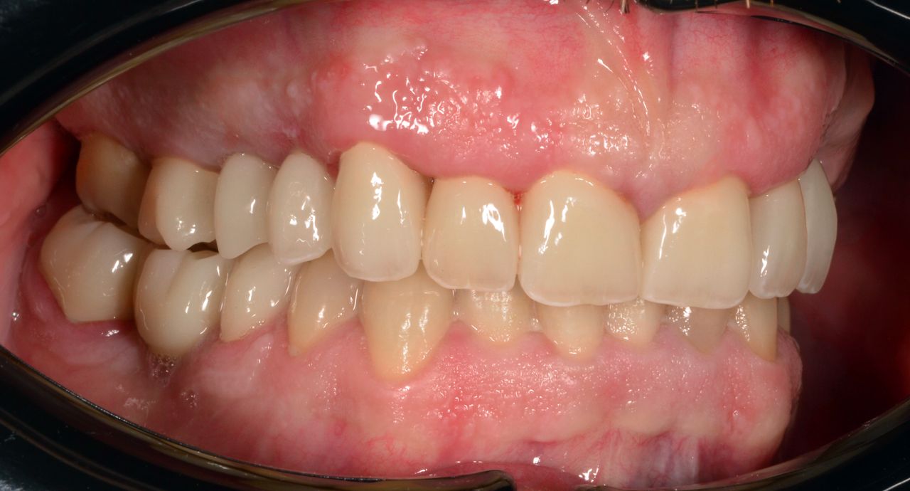
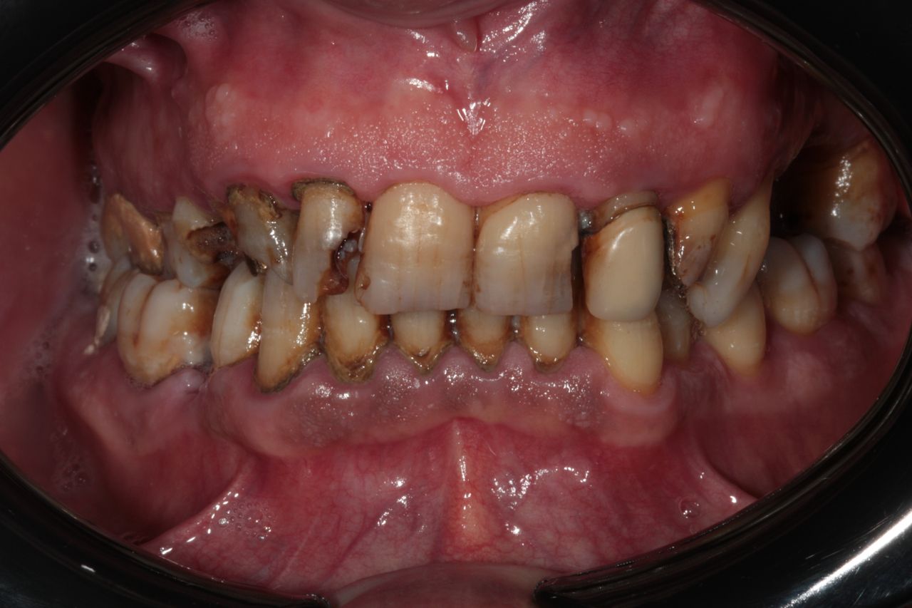
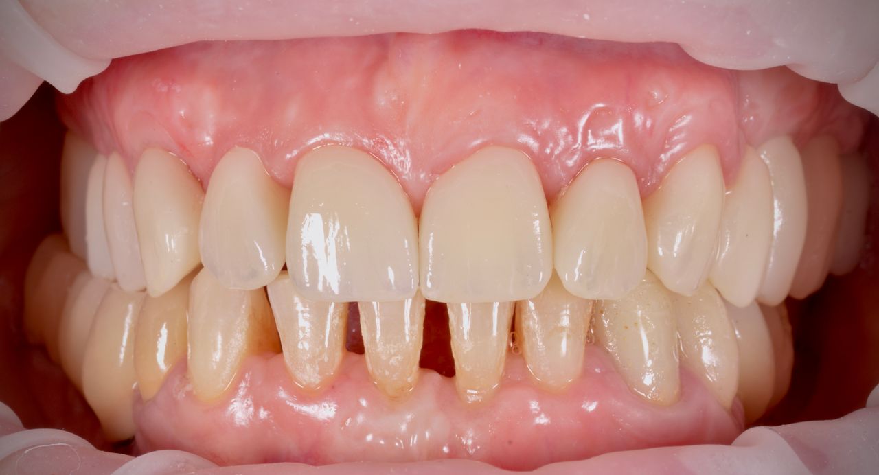
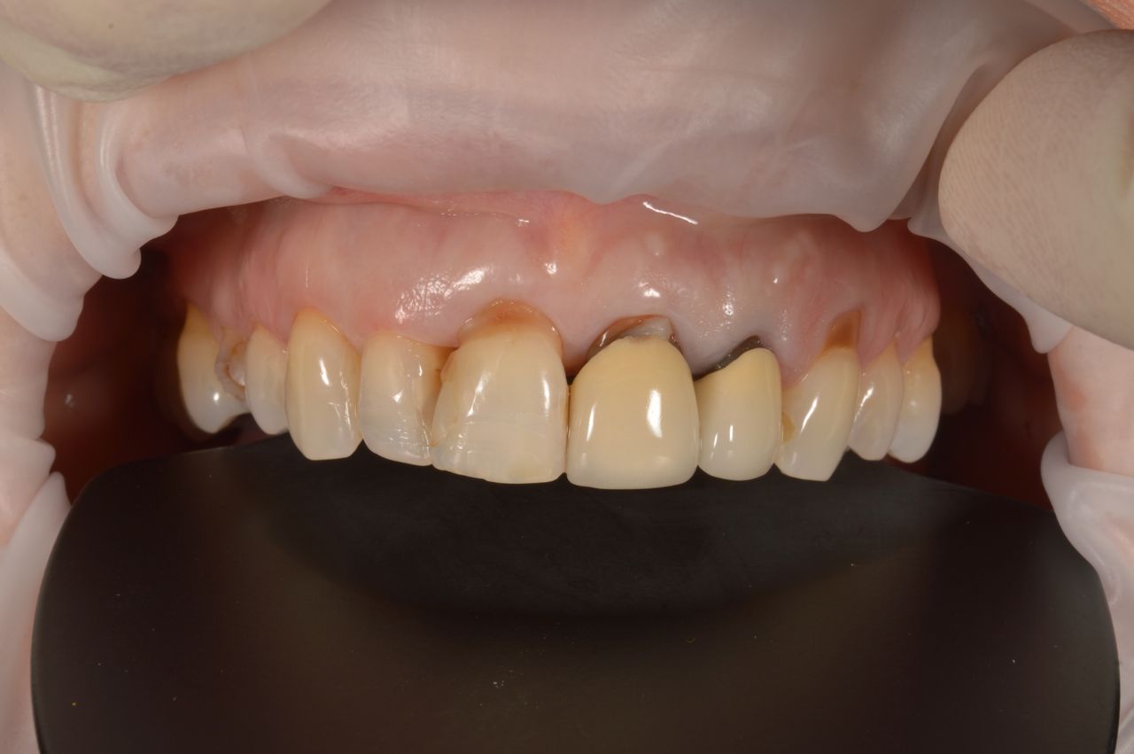
     • FALCONIO DESMOS STUDIO ASSOCIATO ricostruzione di dente mediante intarsio  • 

  • C

    Ottimo attrezzatura all'avangurdia ,spiegazione e visualizzazione in 3d top

     • FALCONIO DESMOS STUDIO ASSOCIATO prima visita dentistica  • 

  • S

    L'alta professionalità che si percepisce sin dalla prima visita, unita alla profonda umanità ed alla chiarezza nell'analisi delle problematica ne fanno un professionista eccellente, nonostante la giovane età. Lo studio curatissimo nella pulizia e intero staff disponibile e gentile. Mi sono trovata benissimo e soprattutto a mio agio!

     • STUDIO SORRISO - Dott. Falconio Luigi prima visita dentistica  • 

  • K

    Studio dentistico davvero eccellente: ambiente pulito e accogliente, personale gentile e sempre disponibile. I dottori sono molto professionali, spiegano ogni passaggio con chiarezza e riescono a mettere a proprio agio anche chi è un po’ timoroso. Mi sono trovata benissimo

     • FALCONIO DESMOS STUDIO ASSOCIATO corona in zirconia  • 

  • R

    Professionalità, attenzione alle esigenze del paziente, affidabilità e condivisione nella scelta delle cure

     • FALCONIO DESMOS STUDIO ASSOCIATO impianto di protesi dentaria  • 

  • D

    Competenza e cordialità, trasparenza e correttezza.

     • FALCONIO DESMOS STUDIO ASSOCIATO prima visita dentistica  • 

  • A

    Oggi trovare giovani preparati,puntuali nelle spiegazioni e dalla "mano" leggera è veramente difficile.... bhe' credo di averlo trovato finalmente

     • FALCONIO DESMOS STUDIO ASSOCIATO ricostruzione dentaria  • 

  • G

    Ho contattato lo studio per un problema urgente e pur non essendo una sua paziente, la sera stessa mi ha chiamata il Dott Falconio fissando l’appuntamento per il giorno successivo. Ho trovato un ambiente molto cordiale, lo staff è gentilissimo e ti mette subito a tuo agio. Il dottor L.Falconio, nonostante la sua giovane età è un professionista eccellente, molto competente e aggiornato.Mi ha spiegato in modo chiaro e semplice la mia condizione, rispondendo a tutte le mie domande.Ha ascoltato attentamente le mie preoccupazioni e mi ha fatto sentire a mio agio.Il Dott Luigi Falconio è disponibile, preparatissimo, scrupoloso e simpatico. Il giorno dopo, e quelli seguenti dopo aver fatto l'intervento mi ha contattata per informarsi sul mio stato di salute. Grande competenza e conseguente successo nel lavoro complicato di impianti che ho ricevuto.Il risultato è ottimo sotto tutti gli aspetti !Lo consiglio vivamente a chi cerca un dentista professionale e attento alle esigenze del paziente."

     • FALCONIO DESMOS STUDIO ASSOCIATO controllo post-intervento  • 

  • F

    Il dott Luigi Falconio mette a proprio agio il paziente fin da subito. Informazioni super precise, valutazioni attente e conoscenza approfondita in materia. Ha saputo valutare al meglio la mia situazione ed a trovare una soluzione adeguata alla mia problematica. Puntualità e precisione lo contraddistinguono. Decisamente consigliato sotto tutti i punti di vista. Un ringraziamento speciale anche a tutto lo staff, preparato e attento ad ogni esigenza. Grazie di tutto

     • FALCONIO DESMOS STUDIO ASSOCIATO Studio clinico  • 

  • S

    Esperienza eccellente! Professionalità, competenza e attenzione al paziente. Lo studio è moderno e accogliente, e il dottore trasmette sicurezza e tranquillità. Consigliatissimo per chi cerca un servizio di alta qualità con un approccio umano”

     • FALCONIO DESMOS STUDIO ASSOCIATO impianto di protesi dentaria  • 

Si è verificato un errore, riprova

Risposte ai pazienti

ha risposto a 24 domande da parte di pazienti di MioDottore

Vertigini e capogiri, malocclusione atm e terapia gnatologica con bite
(il consulto dovrebbe essere inserito nella specialistica di gnatologia ma non è presente nelle opzioni di scelta)

Gentili dottori,
sono una ragazza ventiduenne che da quasi un anno soffre di capogiri e vertigini, sbandamenti e problemi alla zona mandibolare e cervicale.
Mi rivolgo a voi per un consulto sulla terapia gnatologica che ho intrapreso da un mese.
Dopo una lunga storia di visite mediche e diagnosi varie sono arrivata a quello che sembra essere l'origine dei miei malesseri: una malocclusione che porta vertigini, sbandamenti, confusione mentale, dolore ai muscoli masticatori, cefalee, acufeni e click mandibolari, nonchè dolori alla cervicale e alla schiena (ho anche la scoliosi).
Ho finalmente intrapreso una cura gnatologica indossando un bite morbido nell'arcata inferiore che porto tutto il giorno escluso i pasti e sto seguendo diligentemente la cura.
Sono anche stata visitata due volte da un osteopata specializzato in questi problemi.
Dopo le prime due settimane di percorso sono stata decisamente meglio, stavo finalmente cominciando a vivere nuovamente, ma a pochi giorni dall'appuntamento di controllo (che fissiamo ogni 3 settimane) ho ricominciato ad avere capogiri fortissimi, sbandamenti e dolori muscolari, specialmente la sera e quando passavo da una posizione verticale ad una orizzontale.
Lo gnatologo ha constatato come questo fosse avvenuto perchè i contatti nel bite si erano disallineati e quindi ho indossato per l'ultima settimana un bite che effettivamente peggiorava la mia situazione.
Dopo quell'incontro sono stata meglio, ma mai quanto le prime due settimane di utilizzo del bite, in quanto ho sempre capogiri e senso di confusione.
A distanza di due settimane dall'ultimo check, stavo cominciando ad avere nuovamente un peggioramento della sintomatologia e sapendo a cosa stavo andando incontro, ho anticipato l'appuntamento.
Ebbene, dopo due settimane i contatti sono nuovamente disallineati e stavolta anche di parecchio.
Lo gnatologo mi ha detto che normalmente il bite non si disallinea di cosí tanto in cosí poco tempo e vuol dire che digrigno davvero tanto i denti.
A questo si aggiunge che dall'ultimo appuntamento (avvenuto 6 giorni fa) sono stata decisamente peggio, con maggiori dolori e molti piú capogiri.
Tutto ció mi provoca (ovviamente) uno stato ansioso e depressivo che va avanti da luglio 2024 perchè non riesco a trovare una soluzione ai miei problemi e a vivere bene.

A questo punto la mia domanda è, cosa ne pensate voi?
È normale quello che sto provando?
So che ogni corpo è diverso e so che il bite non è una gomma magica che elimina tutti i problemi e che ci vuole tempo per avere degli effetti permanenti positivi.
Considero anche che rispetto a mesi fa sto decisamente meglio con riferimento agli altri sintomi, seppur con crisi di capogiri fortissime.
Cosa devo fare?
Devo fare altri accertamenti che possono ancora approfondire il problema?
Devo abbinare delle attivitá di riabilitazione muscolare particolari?
Oppure lavorare sulla stimolazione del nervo vago, la cui compressione mi hanno spiegato che comporta i problemi di capogiri ecc?

Vi ringrazio anticipatamente se mi darete delle dritte, dei conforti o dei suggerimenti

Gentile paziente,
sicuramente ci sarebbe bisogno di valutare clinicamente lo stato del cavo orale ed eseguire degli esami strumentali per valutare attentamente la possibile diagnosi (valutare se il problema è di origine muscolare e/o articolare. Inoltre un esame radiografico di secondo livello (risonanza magnetica all'articolazione tempore-mandibolare) permetterebbe di valutare meglio la zona interessata. Dato quello che scrive io le consiglierei di approfondire ulteriormente con una visita specialistica in un centro cefalee dove, se necessario, valuteranno anche eventuali altre patologie possibilmente coinvolte. infine dovrebbe associare almeno per un periodo di tempo transitorio l'utilizzo di farmaci quali cortisonici e antidepressivi triciclici per alleviare la sintomatologia dolorosa, accuratamente prescritti dal suo dentista o da un altro medico.

Dott. Luigi Falconio

Salve, ormai da sei anni indosso l’apparecchio mobile la notte tutte le notti per mantenere il lavoro dell’apparecchio fisso portato per due anni. Purtroppo mi sono dimenticata di portarmelo in vacanza e ci rimarrò per due settimane. I denti possono spostarsi in questi 14 giorni?

Gentile paziente,
sicuramente i denti vanno incontro a spostamenti anche in solo 14 giorni, ma non sarà un grosso problema. Potrà solo avere un po di fatica a reinserire la mascherina di contenzione al suo ritorno ma per il resto può non preoccuparsi

Dott. Luigi Falconio
Vedi tutte le risposte

Tutti i contenuti pubblicati su MioDottore.it, specialmente domande e risposte, sono di carattere informativo e in nessun caso devono essere considerati un sostituto di una visita specialistica.