Tempo medio di risposta:

Esperienze

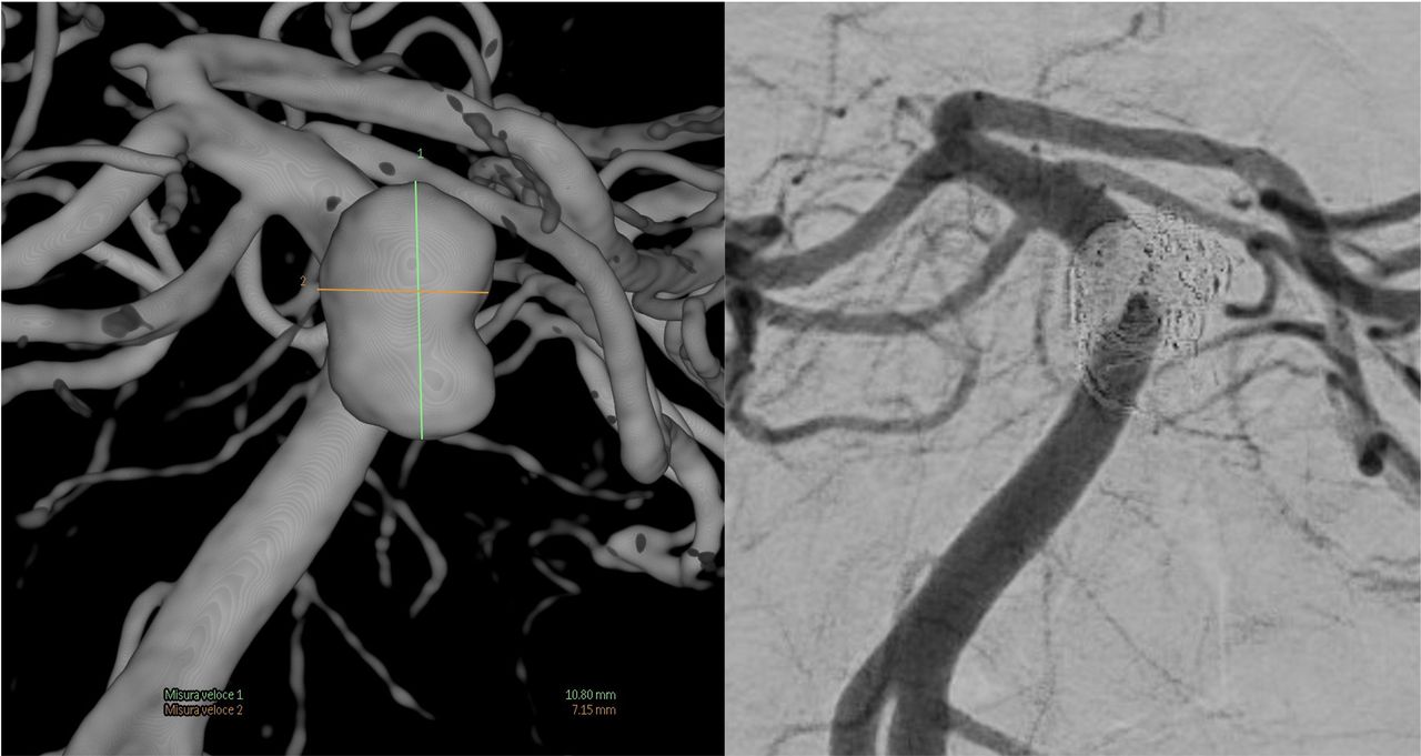
Sono un neuroradiologo, con competenze sia nell'ambito diagnostico che interventistico. Ricopro attualmente il ruolo di Professore Associato di Neuroradiologia presso l’Università Kore di Enna e ho conseguito l’abilitazione scientifica nazionale a Professore Ordinario. Da febbraio 2025 esercito la mia attività clinica a Catania, presso l'Unità Operativa di Neuroradiologia dell’Ospedale Cannizzaro.

La mia formazione e la mia carriera professionale hanno avuto inizio presso l’Ospedale Niguarda di Milano, dove, per oltre vent’anni, mi sono dedicato con continuità alla diagnosi e al trattamento endovascolare delle patologie vascolari del sistema nervoso centrale. In particolare, ho maturato esperienza nella gestione di aneurismi cerebrali, malformazioni artero-venose, fistole durali, stenosi e trombosi delle arterie e delle vene intracraniche.

Accanto a queste condizioni più note, mi occupo anche di patologie meno diffuse ma altrettanto rilevanti sul piano clinico ed umano, quali l’ipertensione intracranica idiopatica, il tinnito pulsante e l'ipotensione intracranica spontanea. Si tratta di disturbi che, pur non sempre immediatamente riconosciuti, possono compromettere in modo significativo la vita delle persone affette, richiedendo un approccio diagnostico accurato e, laddove indicato, un trattamento endovascolare mirato.

Il mio impegno quotidiano è orientato a integrare rigore scientifico, esperienza clinica e attenzione alla persona, con l'obiettivo di offrire percorsi di cura efficaci, sicuri e personalizzati, nella consapevolezza che dietro ogni esame e ogni procedura vi è una storia umana che merita ascolto e rispetto.

Altro Su di me

Aree di competenza principali:

  • Radiologia e diagnostica per immagini
  • Radiodiagnostica
  • Radiologia e diagnostica per immagini
  • Radiologia interventista

Presso questo indirizzo visito

Adulti (Solo in alcuni indirizzi)
Bambini (Solo in alcuni indirizzi)

Tipologia di visite

Consulenza online

Foto e video

Logo
Prof. Guglielmo Pero

Via Messina, 829, Catania 95126

Collaborazione con il sito Neuroangio.org, sito di riferimento per i neurointerventisti di tutto il mondo.

https://neuroangio.org/cone-beam-ct-comprehensive-reference-of-principles-and-practice/cone-beam-how-to-do-it-step-by-step-philips/

https://neuroangio.org/cone-beam-ct-comprehensive-reference-of-principles-and-practice/cone-beam-how-to-do-it-step-by-step-philips/cone-beam-ct-philips-complex-aneurysms-flow-diversion-and-stenting/

04/01/2026

Prestazioni e prezzi

  • Consulenza online

    150 €

  • Consulto radiologico

    150 €

  • Prima Visita Neuroradiologica

    150 €

  • Visita Neuroradiologica

    150 €

  • Angiografia


Indirizzi (2)

Disponibilità

Telefono

320 455...
Vedi mappa si apre in una nuova scheda
Ospedale Cannizzaro di Catania

Via Messina, 829, Catania 95126

Disponibilità

Telefono

320 455...
Vedi mappa si apre in una nuova scheda

Assicurazioni accettate

Le assicurazioni sono accettate ma la copertura varia a seconda della località e del servizio, puoi verificarlo durante la fase di prenotazione!

  • Casagit

13 recensioni

Tutte le recensioni contano e non possono essere rimosse o modificate dai dottori a proprio piacimento. Scopri come funziona il processo di moderazione delle recensioni. Per saperne di più sulle opinioni
  • M

    Un Dottore Umano, gentile e cordiale. La sua professionalità, competenza e gentilezza ci hanno lasciato senza parole. .La sua disponibilità e la sua capacità di spiegare i risultati in modo chiaro e semplice sono state fondamentali per me. Ha risposto a tutte le mie domande e ha fornito consigli preziosi. Siamo estremamente grati per la sua assistenza e lo raccomandiamo vivamente a tutti coloro che hanno bisogno di un neuroradiologo esperto e compassionevole. Grazie mille Dott. Guglielmo Pero

     • Ospedale Cannizzaro di Catania Prima Visita Neuroradiologica  • 

  • J

    Dott eccellente ,lo abbiamo conosciuto 5anni fa al Niguarda con il dott Edoardo Boccardi due eccellenze nel mondo ,persone estremamente umane ….io li chiamai e li chiamo ancora i nostri gli angeli. Li ho sempre nel cuore .Dott Pero sei un super dottore con laD maiuscola

     • Altro Altro  • 

  • C

    ottima impressione, cordiale e gentile! Spiegazione alla mano e con termini "comprensibii", consigliatissimo!!

     • Ospedale Cannizzaro di Catania Prima Visita Neuroradiologica  • 

  • G

    Professionista dall'eccellente curriculum, serio, preparato, meticoloso, competente, gentile ed empatico.
    Ha una grande attenzione verso il paziente ed attenta e paziente capacità di ascolto, che è rara da incontrare.
    Ha un focus di esperienza e ultraspecializzazione (CFS leaks) veramente rara a queste latitudini, una benedizione avere un Professionista di questo calibro al Sud.
    La ringrazio di cuore Prof. Pero!

     • Ospedale Cannizzaro di Catania Prima Visita Neuroradiologica  • 

  • A

    Un professionista attento e partecipe della problematica ai fini della migliore soluzione. Molto preparato ed empatico nell’approccio personale, Assolutamente un bravo Medico.

     • Ospedale Cannizzaro di Catania Prima Visita Neuroradiologica  • 

  • M

    • “Sono rimasta molto soddisfatta della visita: il medico ha ascoltato con attenzione, spiegato tutto in modo chiaro e mi ha dato indicazioni utilissime.”

     • Ospedale Cannizzaro di Catania Prima Visita Neuroradiologica  • 

  • S

    Serietà,competenza e cortesia: davvero eccellente

     • Ospedale Cannizzaro di Catania Prima Visita Neuroradiologica  • 

  • L

    Professionista eccezionale sua per aspetti medici per per empatia e disponibilità. Feedback di grandissimo valore positivo in line con il mio anche da parte di medici che di altri pazienti.

     • Ospedale Cannizzaro di Catania Altro  • 

  • L

    Il dottor Pero è un luminare, un grande professionista e un medico eccellente, ha curato sia me che mia mamma per degli aneurismi ed è riuscito a risolvere brillantemente il nostro problema. Oltre ad essere un eccellente neuroradiologo , ha un’umanità e un’empatia che sono doti rare e preziose.

     • Altro Altro  • 

  • S

    Niente ..mi ha salvato la vita!
    Dice che il testo è troppo corto!
    Allora: è anche simpatico, empatico, disponibile, fortunato e molto molto tranquillo che è fondamentale per fare bene ;)

     • Ospedale Cannizzaro di Catania Altro  • 

Si è verificato un errore, riprova

Risposte ai pazienti

ha risposto a 2 domande da parte di pazienti di MioDottore

Domande su Aneurismi cerebrali

Gentilissimi dottori volevo un chiarimento su un dubbio che oramai mi affligge da un bel po di tempo.Soffro di diplopia binoculare da 10 anni.Ho fatto già 2 RMN encefalo e cervicale senza mezzo di contrasto e senza sequenze angiografiche in più altri controlli per escludere malattie gravi (miastenia gravis,sclerosi)e alla fine mi è stato detto che ho uno strabismo che si è slatentizzato.Ora vorrei chiedervi se dalle due RMN senza contrasto e senza sequenze angiografiche si sarebbe comunque visto un aneurisma cranico se presente o almeno si sarebbe visto qualcosa che poteva portare ad un sospetto.

Buon giorno,
in teoria con una RM encefalo ben fatta gli aneurismi di dimensioni significative si vedono bene, comunque le consiglierei di effettuare una angio-RM o una angio-TC.

Prof. Guglielmo Pero

Domande su Aneurismi cerebrali

Aneurisma sacciforme della carotide interna di destra 12 x9 millimetri e colletti di circa 4 millimetri con guscio parzialmente calcificato. Età donna 75 anni.. è necessario intervento? È stato scoperto x caso facendo esami x prevenzione. Può consigliarmi ed eventualmente centro x intervento? Grazie

Buon giorno,
Sarebbe necessaria una valutazione completa che comprenda anche la storia clinica e la valutazione dell'aneurisma vedendo le immagini neuroradiologiche. L'età sopra i 70 anni ci induce ad indicare l'intervento solo in casi selezionati, comunque consideri che il rischio di rottura dell'aneurisma nei prossimi 5 anni si aggira intorno al 3%.
Le consiglierei di effettuare una visita neuroradiologica per inquadrare in modo completo il caso ed avere delle risposte esaustive.

Prof. Guglielmo Pero

Tutti i contenuti pubblicati su MioDottore.it, specialmente domande e risposte, sono di carattere informativo e in nessun caso devono essere considerati un sostituto di una visita specialistica.