Tempo medio di risposta:

Esperienze

Con oltre vent’anni di esperienza nel settore lo studio dentistico Dr. Fernando Burla si contraddistingue per professionalità e competenze specifiche del settore.
Grazie all’esperienza maturata negli anni, lo studio è in grado di offrire ai suoi pazienti un servizio completo e multidisciplinare pensato proprio per dare un servizio completo ed eccellente.
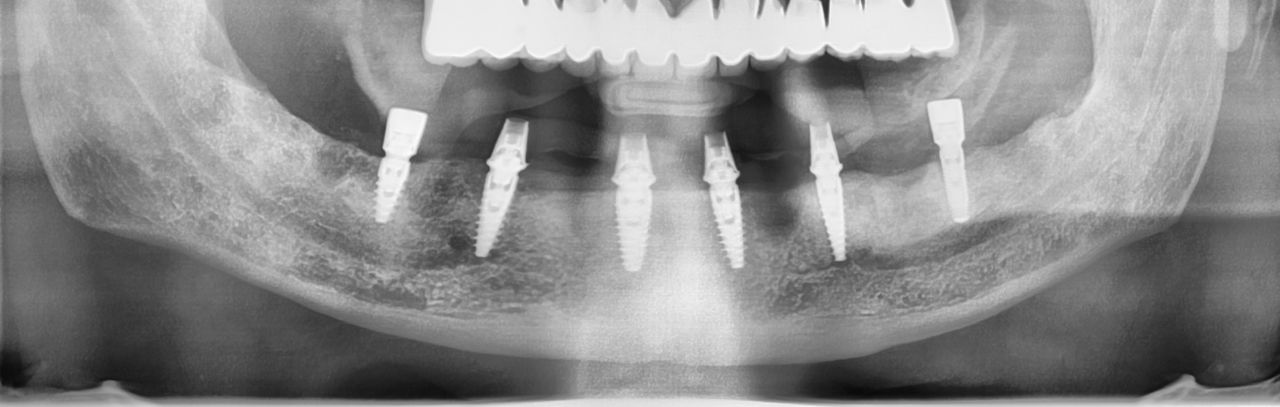
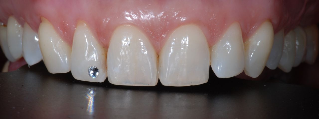
Oltre alle attività di chirurgia implantare semplice e complessa si occupa anche di odontoiatria estetica, odontoiatria ricostruttiva, diagnostica, igiene dentale ed ortodonzia..

Uno staff cordiale, competente e all’avanguardia sempre disponibile per consigliare ai pazienti le prestazioni e gli interventi ideali e che mette a suo agio anche il paziente più pauroso del dentista

Professionalità, impegno, dedizione e attenzione per i clienti ci hanno permesso nel corso degli anni di diventare una realtà all’avanguardia nel trattamento e nella cura delle patologie dentali di ogni tipo e per ogni età.

Da sempre al vostro fianco, ci prendiamo cura del sorriso.
Sono Fernando Burla Medico Odontoiatra, iscritto all'albo Provinciale degli Odontoiatri di TORINO. Sono iscritto all'ANDI, socio della Italian Academy of Osseointegration, socio della Società Italiana Socket-Shield Technique, frequentatore di corsi ad alta specializzazione in campo chirurgico presso il Dr. Carlo Tinti, Prof. Stefano Parma Benfenati, Dr. Federico Tirone ed altri. Master in Medicina estetica del viso (Ospedale San Luigi di Orbassano), Corsi in Odontoiatria Conservativa diretta ed indiretta con Prof Bottachiari e in Endodonzia con il Dr. Marcoli, Certificato Invisalign. Presto la mia opera presso il mio studio privato particolarmente in campo chirurgico e protesico, per le altre discipline, compresa l'ortodonzia per adulti e bambini, sono affiancato da validissimi collaboratori di grande esperienza. Nell'esercizio del mio lavoro sono assistito da uno staff sia a livello operativo che a livello di segreteria di grandissima qualità, questo mi permette di mantenere alti standard qualitativi. Presto inoltre consulenza chirurgico-protesica presso studi esterni da almeno 15 anni e sono responsabile clinico da 12 anni di una importante struttura Medico Odontoiatrica.
Altro Su di me

Aree di competenza principali:

  • Endodonzia
  • Implantologia dentale
  • Ortodonzia
  • Odontoiatria estetica
  • Igiene dentale
  • Pedodontista
  • Protesi dentaria
  • Stomatologia
Mostra dettagli

Presso questo indirizzo visito

Adulti
Bambini (Solo in alcuni indirizzi)

Tipologia di visite

Consulenza online

Foto e video

Prestazioni e prezzi

  • Consulenza online

    30 €

  • Gengivectomia

    Da 150 €

  • Visita di controllo


  • Valutazione protesica


  • Studio clinico

    Da 200 €

Indirizzi (2)

Disponibilità

Telefono

011 1980...

Pazienti accettati

  • Pazienti senza assicurazione sanitaria
Vedi mappa si apre in una nuova scheda
Studio Privato

Via Arnaldo da Brescia 3, Torino 10134

Disponibilità

Telefono

011 1980...

Pazienti accettati

  • Pazienti senza assicurazione sanitaria
  • Pazienti con assicurazione sanitaria

Assicurazioni

Vedi mappa si apre in una nuova scheda

40 recensioni

Tutte le recensioni contano e non possono essere rimosse o modificate dai dottori a proprio piacimento. Scopri come funziona il processo di moderazione delle recensioni. Per saperne di più sulle opinioni
  • L

    Una professionalità e gentilezza senza paragoni. Non solo il servizio di detartrasi eccellente ma anche una sensibilizzazione sulla cura dell'igiene dentale.
    Esperienza super positiva

     • Studio Privato sbiancamento dentale  • 

  • I

    Studio curato e pulito, gentilezza e disponibilità di tutto il personale , puntualità e scrupolosità .

     • Studio Privato prima visita odontoiatrica  • 

  • C

    A livello operativo nulla da dire
    Sono dei professionisti
    Comunicazione non chiara
    Pochissima empatia
    Prima mi era stata detta una cosa in corso d'opera cambiate le cose
    Ed io mi ero organizzata secondo le linee guida date all'inizio
    Ovviamente in base alla mia esperienza per me e mia figlia

     • Studio Privato visita dentistica  • 

  • P

    Dopo aver riconquistato una bocca sana per merito della competenza, onestà e attenzione del dott. Fernando Burla, ho continuato con l'igiene orale con la dottoressa Sonia Casale, attenta, professionale con una mano leggerissima ma nello stesso tempo efficace. Soddisfatto di tutta l'equipe e stupito della estrema disponibilità che ha saputo soddisfare i miei continui spostamenti agli appuntamenti, professionalità nel dedicarsi alle varie assicurazioni dei pazienti.
    Ringrazio.

     • Studio Privato impianto di protesi dentaria  • 

  • S

    Ottimo lavoro , sbiancamento e igiene topp. Mi sono trovata benissimo

     • Studio Privato sbiancamento dentale  • 

  • G

    Il Dott.Burla è stato molto professionale e mi ha spiegato nel dettaglio la mia condizione ed eventuali conseguenze.
    Lo consiglio

     • Studio Privato prima visita dentistica  • 

  • S

    Ottimo dottore preparato in qualsiasi cosa ottimo studio

     • Studio Privato estrazione dentaria  • 

  • V

    Sto frequentando lo studio del dottor Fernando Burla per delle otturazioni , all’inizio ero terrorizzata dall’idea di farmi toccare i denti ma il dottore è riuscito a tranquillizzarmi e mettermi a mio agio, inoltre non ho praticamente mai sentito dolore . Le dottoresse sono state molto accoglienti e gentili, ho inoltre eseguito l’igiene dentale e la dottoressa (non so il nome perdonatemi) è stata davvero molto brava, non ho sentito davvero nulla.
    Super consigliato ragaa

     • Studio Privato prima visita dentistica  • 

  • A

    Uno studio dentistico ben organizzato sotto ogni punto di vista, dotato di strumenti diagnostici che permettono di effettuare i controlli necessari direttamente in loco.

     • Studio Privato trattamenti di odontoiatria conservativa  • 

  • L

    Il Dottore molto professionale, competente, gentile ed accogliente

     • Studio Privato Altro  • 

Si è verificato un errore, riprova

Risposte ai pazienti

ha risposto a 9 domande da parte di pazienti di MioDottore

Domande su estrazione di denti e radici

Buongiorno ho fatto la lastra e mi hanno trovato residuo radicolare al 1.8 e osteolisi periapicale al 3.8 cosa significa

Buongiorno, in realtà la scelta tra trattare endodonticamente (devitalizzare) un dente del giudizio deve essere valutata in base a diversi fattori, posizione, stato di salute dell'elemento, presenza di antagonista e difficoltà tecnica per la devitalizzazione. Stabilire a priori che debba essere sempre curato o sempre estratto potrebbe essere una forzatura. Per quanto riguarda il residuo radicolare del 18, sarebbe meglio che fosse stato rimosso a suo tempo o che venga rimosso successivamente. Vi sono però delle condizioni nelle quali intervenire per una rimozione della radice potrebbe essere sconveniente. Per esempio una brutta posizione anatomica, la vicinanza a strutture sensibili, la ricrescita di molto osso sopra il residuo potrebbero controindicare la rimozione in particolare se non sono presenti infezioni.
Le consiglio una visita per far valutare al suo dentista la scelta migliore. Cordiali saluti!

Dr. Fernando Burla

Buonasera, l'altro ieri ho tolto il premolare superiore. La dottoressa ha tenuto la garza due minuti e detto che c'era il coagulo. S casa ho dovuto riutilizzare la garza. Ho sanguinato la prima notte. Dopo un giorno e mezzo noto che si vedono solo i punti che chiudono i lembi della gengiva. Non si vede Sotto se c'è il coagulo. È normale? Grazie a chi vorrà rispondermi

Buona sera, stia assolutamente tranquillo se non sanguina più e la sutura è chiusa dai punti è normale che non vede il coagulo che è all'interno. Cordiali saluti!

Dr. Fernando Burla
Vedi tutte le risposte

Tutti i contenuti pubblicati su MioDottore.it, specialmente domande e risposte, sono di carattere informativo e in nessun caso devono essere considerati un sostituto di una visita specialistica.