Tempo medio di risposta:

Esperienze

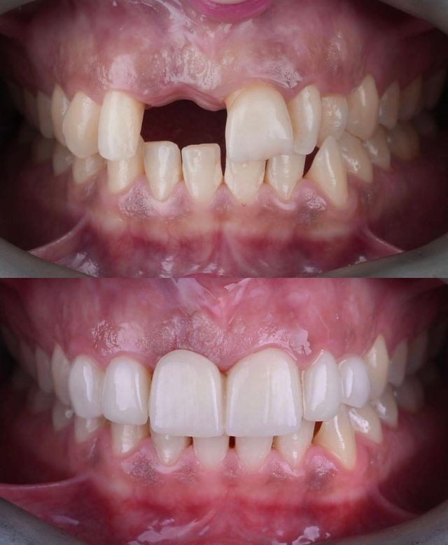
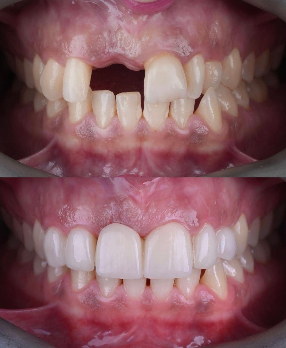
Specializzati in Parodontologia, Implantologia e Ortodonzia per adulti e bambini e Medicina Estetica. Lo Studio Dentistico Bernini è una struttura con un team di professionisti sempre in aggiornamento. L’obiettivo è di riuscire ad operare in un regime di correttezza e impegno professionale, cercando di venire sempre incontro alle esigenze del paziente. 
Per questo i pazienti sono al centro del nostro lavoro. Spieghiamo con chiarezza il tipo di cure di cui possono aver bisogno e quando lavoriamo mettiamo il più possibile il paziente in una condizione di tranquillità e fiducia. Tutte le cure sono basate sull’utilizzo di tecnologie all’avanguardia, un approccio mini-invasivo e conservativo nel rispetto del paziente. Il vero obiettivo è non spendere due volte. Dott.ssa Martina Delle Cave & Dott.ssa Caterina Costanzo

Altro Su di me

Aree di competenza principali:

  • Implantologia dentale
  • Ortodonzia
  • Pedodontista
  • Protesi dentaria
  • Chirurgia maxillo facciale
  • Odontoiatria pediatrica
  • Gnatologia
  • Ortodonzia
Mostra dettagli

Tipologia di visite

Foto e video

Prestazioni e prezzi

  • Visita dentistica

    70 €

  • Filler labbra

    Da 300 €

  • Urgenza odontoiatrica


  • Trattamento ortodontico INVISALIGN®

    Da 1.500 €

  • Trattamento carie

    Da 100 €

Indirizzi (2)

Vedi mappa si apre in una nuova scheda
CENTRO BRUNELLESCHI

Corso Brunelleschi 18, Torino 10141

Disponibilità

Telefono

011 020...
377 384...
Vedi mappa si apre in una nuova scheda
Vedi mappa si apre in una nuova scheda
Studio Dentistico Bernini

Piazza Lorenzo Bernini 11, Torino 10138

Disponibilità

Pagamento online

Accettato

Telefono

351 669...
Vedi mappa si apre in una nuova scheda

Assicurazioni non accettate

Questo dottore accetta solo pazienti privati. Verrà richiesto un pagamento da parte tua per la prestazione o puoi ricercare un altro dottore che accetti la tua assicurazione

65 recensioni

Tutte le recensioni contano e non possono essere rimosse o modificate dai dottori a proprio piacimento. Scopri come funziona il processo di moderazione delle recensioni. Per saperne di più sulle opinioni
  • E

    Dottoressa davvero attenta e molto professionale.
    È stato il mio primo trattamento oggi con la Dottoressa Caterina, nel complesso un'ottima esperienza.

     • Studio Dentistico Bernini sigillatura dei solchi  • 

  • M

    I've been to Studio Bernini a few times (for a check up, some fillings, and cleaning). I was a bit overwhelmed trying to get dental care in Italy but the staff and dentists have always been friendly, helpful, and professional (and patient with my terrible Italian!) I strongly recommend them.

     • Studio Dentistico Bernini visita dentistica  • 

  • R

    E' meravigliosa. Dolce e disponibile. Mi sento molto a mio agio con lei

     • Studio Dentistico Bernini Altro  • 

    Studio Dentistico Bernini

    Siamo molto contenti della tua recensione
    Grazie mille
    Un abbraccio, ti aspettiamo
    Dott.ssa Caterina Costanzo
    Studio Dentistico Bernini


  • S

    La Dr.ssa Costanzo e la Dr.ssa Panetta sono il mio riferimento da anni. Consigliatissime, professionali e sempre disponibili.

     • Studio Dentistico Bernini prima visita ortodontica  • 

    Studio Dentistico Bernini

    Siamo molto contenti della tua recensione
    Grazie mille
    Un abbraccio, ti aspettiamo

    Studio Dentistico Bernini


  • A

    La dottoressa è stata molto gentile e ha risposto a tutte le domande con calma e chiarezza.

     • Studio Dentistico Bernini prima visita dentistica  • 

    Studio Dentistico Bernini

    Grazie mille! A presto !
    Studio Dentistico Bernini


  • D

    Ottima esperienza, dottoressa attenta e gentile! Grandissima professionalità e cura per il paziente. Grazie davvero.

     • Studio Dentistico Bernini visita dentistica  • 

    Studio Dentistico Bernini

    Grazie mille! A presto !
    Studio Dentistico Bernini


  • M

    Mi è piaciuta l’accoglienza, la cura , l’estrazione del dente si è fatto così veloce il tempo di un battito di ciglia . Mi è piaciuta anche il fatto che quando entri ti copri le scarpe per non sporcare. Grazie

     • Studio Dentistico Bernini estrazione dente del giudizio  • 

    Studio Dentistico Bernini

    Grazie mille! A presto !
    Studio Dentistico Bernini


  • A

    Bravissima e gentilissima, spiegazioni dettagliate e gentilezza col paziente

     • Studio Dentistico Bernini visita dentistica  • 

  • G

    Prima visita in questo studio: chiara e professionale.

     • Studio Dentistico Bernini visita dentistica  • 

  • A

    La dottoressa Caterina è una vera professionista, empatica sorridente,segue mia figlia di 5 anni che è sempre felice di recarsi nel suo studio . Consiglio vivamente la dott.ssa Caterina Costanzo e tutto il
    suo Staff.

     • Studio Dentistico Bernini visita dentistica  • 

Si è verificato un errore, riprova