Tempo medio di risposta:

Esperienze

Sono specializzata in Parodontologia e Sbiancamento Dentale per adulti e bambini. Lavoro con passione e costante aggiornamento per offrire ai miei pazienti cure di alta qualità.

Metto sempre il paziente al centro del mio lavoro, ascoltando le sue esigenze e spiegando con chiarezza il tipo di trattamenti necessari. Durante ogni intervento, mi impegno a creare un ambiente di tranquillità e fiducia, perché credo che il benessere emotivo sia fondamentale per una buona esperienza di cura.

Il mio obiettivo è garantire risultati duraturi, evitando così spese e trattamenti ripetuti nel tempo.

Altro Su di me

Aree di competenza principali:

  • Igiene dentale

Presso questo indirizzo visito

Adulti
Bambini

Tipologia di visite

Foto e video

Pagamento online accettato

Risparmia tempo prima della visita.

Comunicazioni importanti

Dott.ssa Carla Panetta

Piazza Lorenzo Bernini 11, Torino 10138

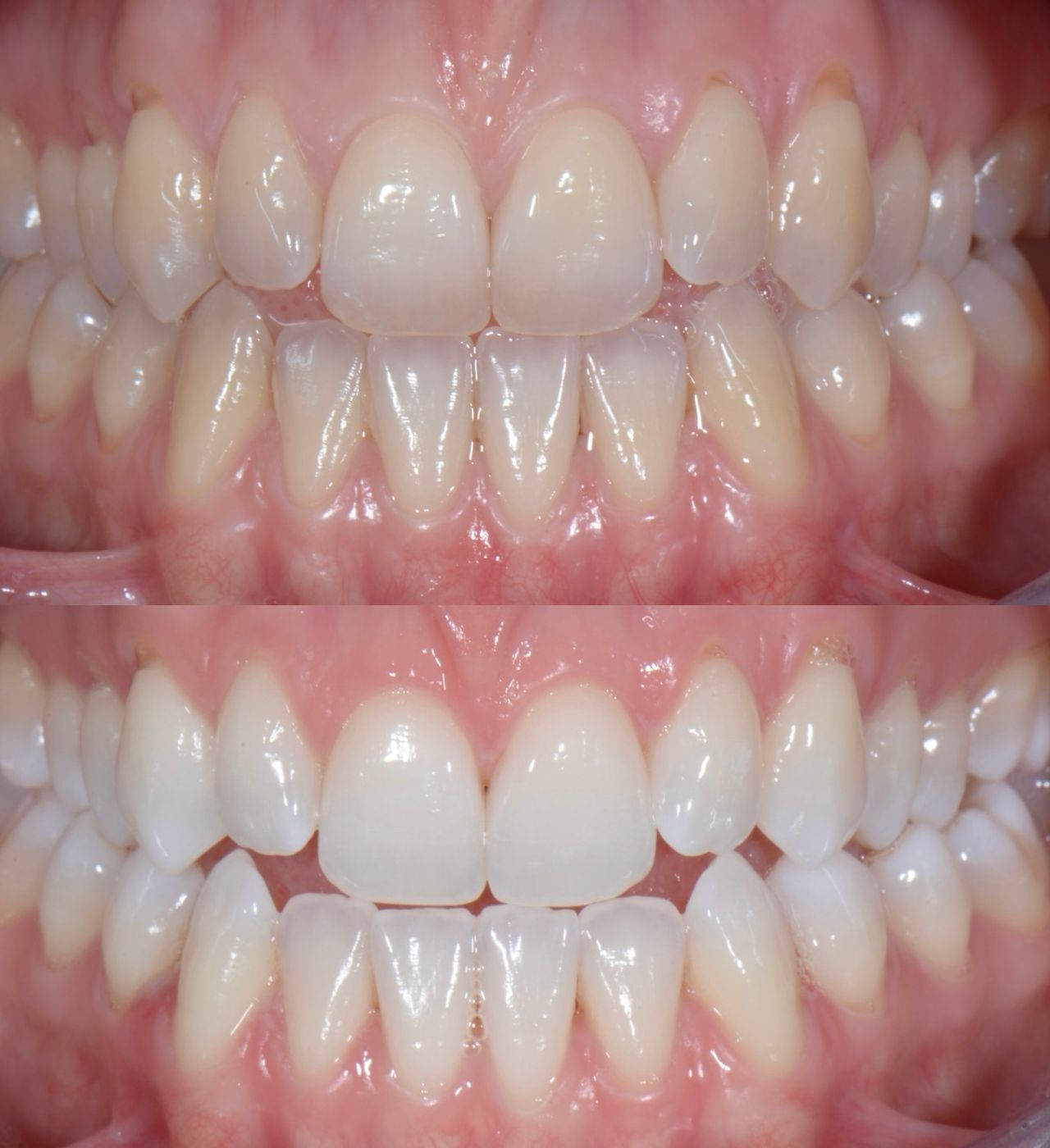
Bianco naturale, sorriso perfetto. Scopri il nostro trattamento sbiancante.

13/04/2026

Prestazioni e prezzi

  • Ablazione + sbiancamento

    150 €

  • Ablazione del tartaro

    90 €

  • Detartrasi

    90 €

  • Igiene dentale

    90 €

  • Igiene orale

    90 €

Indirizzo

Studio Dentistico Bernini
Studio Dentistico Bernini

Piazza Lorenzo Bernini 11, Torino 10138

Vedi mappa si apre in una nuova scheda

Disponibilità

Pagamento online accettato

Risparmia tempo prima della visita.

Modalità di pagamento (visite private)

  • Pagamento online accettato
  • Contanti
  • Bonifico
  • Carta di debito

Telefono

351 669...

Convenzioni assicurative non attive

Questo dottore accetta solo pazienti privati. Verrà richiesto un pagamento da parte tua per la prestazione o puoi ricercare un altro dottore che abbia una convenzione con la tua assicurazione

28 recensioni

Più menzionato dai pazienti

  • Spiegazioni dettagliate
  • Efficacia del trattamento
  • Attenzione durante la visita
Tutte le recensioni contano e non possono essere rimosse o modificate dai dottori a proprio piacimento. Scopri come funziona il processo di moderazione delle recensioni. Per saperne di più sulle opinioni
  • I

    La Dottoressa Carla Panetta é molto scrupolosa, professionale, attenta ai dettagli ed empatica. É anche molto dolce, caratteristica importante soprattutto per soggetti ansiosi come me! Non posso fare altro che ringraziarla e consigliarla!

     • Studio Dentistico Bernini levigatura delle radici  • 

  • Estremamente disponibile, servizio perfetto e mi sono sentito tranquillo durante tutta la seduta

     • Studio Dentistico Bernini igiene orale  • 

  • S

    Igiene con procotollo GBT compresa fluoroprofilassi. Davvero un ottimo lavoro. Persona splendida

     • Altro Altro  • 

  • Ottima esperienza, la dottoressa è stata gentile e professionale. Ci vediamo al professimo richiamo!

     • Studio Dentistico Bernini ablazione del tartaro  • 

  • C


    Ho effettuato una seduta di igiene dentale con la Dottoressa Carla Panetta e non posso che ritenermi pienamente soddisfatta. L'utilizzo del metodo GBT ha reso il trattamento non solo impeccabile, ma totalmente indolore. Ciò che distingue davvero la Dottoressa è l'attenzione straordinaria verso il paziente. Mi ha seguita con cura in ogni fase, partendo da un trattamento in studio per illuminare il mio sorriso fino alla scelta dello sbiancamento domiciliare più adatto alle mie esigenze. Mi ha fornito consigli preziosi e personalizzati, dimostrando una dedizione rara e assolutamente non scontata. Grazie Dottoressa!!

     • Studio Dentistico Bernini Altro  • 

  • E

    Se state cercando un’igienista dentale davvero eccezionale, la dottoressa Carla Panetta è semplicemente una garanzia assoluta. La sua professionalità si percepisce fin dal primo momento: precisa, attenta e incredibilmente competente, riesce a mettere chiunque a proprio agio anche se si parte un po’ tesi.
    Inoltre, è delicatissima: anche chi ha sempre avuto paura delle sedute di igiene dentale resterà sorpreso da quanto tutto sia confortevole e per nulla fastidioso. Si esce dallo studio con una sensazione di pulizia e freschezza incredibile, ma soprattutto con la certezza di essersi affidati a una vera professionista.
    Se volete un servizio di altissimo livello, svolto con competenza, attenzione e grande umanità, la dottoressa Carla Panetta è senza dubbio la scelta migliore. Consigliatissima a chiunque!

     • Studio Dentistico Bernini Altro  • 

  • E

    Dottoressa molto preparata e cordiale. Ottimo trattamento.

     • Studio Dentistico Bernini Altro  • 

  • D

    Soddisfatto della mia esperienza (sbiancamento dentale).
    Consigliatissima a chi cerca competenza, gentilezza e risultati eccellenti.

     • Studio Dentistico Bernini Altro  • 

  • A

    Complimenti Dottoressa Carla! Professionista sotto ogni aspetto: dolcezza, educazione, dimostra tanta pazienza e comprensione nelle richieste del paziente. Esperienza super positiva anche per una paziente come me che soffre gli appuntamenti dal dentista.
    Consiglio di affidarsi alla D.ssa Carla per un’ora di coccole e lucentezza del sorriso

     • Studio Dentistico Bernini Altro  • 

  • F

    Ho fatto una seduta di igiene dentale e mi sono trovato davvero benissimo. La dottoressa si è dimostrata molto dolce, scrupolosa e preparata, spiegandomi tutto con chiarezza e facendomi sentire tranquilla fin da subito. Il trattamento è stato eseguito con grande delicatezza e non ho provato alcun fastidio. In seguito ho intrapreso un percorso di sbiancamento domiciliare e anche in quello ho riscontrato professionalità e attenzione. La consiglio assolutamente!

     • Studio Dentistico Bernini Altro  • 

Si è verificato un errore, riprova