Tempo medio di risposta:

Esperienze

Il dottor Alfonso Manzotti esercita la professione medica a Milano e provincia.
Dal Settembre 2015 ricopre il ruolo di Direttore dell'Unità Operativa di Ortopedia e Traumatologia dell'Ospedale Luigi Sacco di Milano. Dal 2016 è Professore a contratto sia della Facoltà di Medicina e Chirurgia (Polo di via Alba) sia della Scuola di specializzazione in Ortopedia e Traumatologia dell'Università degli Studi di Milano.
E' iscritto all'albo Provinciale dei Medici Chirurghi di Milano e si è laureato e specializzato in Ortopedia e Traumatologia presso Università degli Studi di Milano.
Precedentemente è stato responsabile di UOS di Week Surgery presso l'ospedale CTO di Milano.

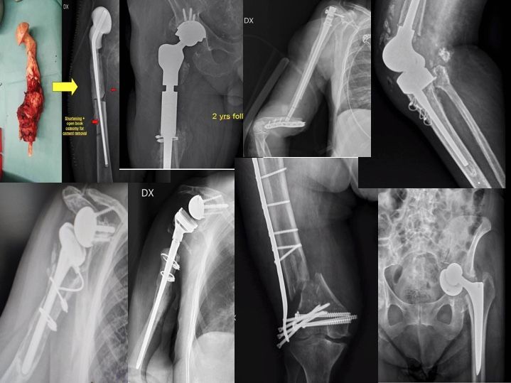
Il dottore ha all'attivo più di 5000 interventi chirurgici in particolare interventi ortopedici/traumatologici ricostruttivi articolari in esiti settici, chirurgici e post traumatici, chirurgia computer assistita.
Altro Su di me

Aree di competenza principali:

  • Chirurgia ortopedica
  • Chirurgia ossea
  • Chirurgia del ginocchio
  • Chirurgia dell'anca
  • Chirurgia della mano
  • Ortopedia del piede
  • Ortopedia e traumatologia del sistema motorio
Mostra dettagli

Presso questo indirizzo visito

Adulti
Bambini

Tipologia di visite

Foto e video

Logo
Dott. Alfonso Manzotti

Via Giovanni Battista Grassi 74, Milano 20157

Buongiorno, sono il dott. Alfonso Manzotti, ortopedico specializzato in:

• Chirurgia da revisione protesica e da primo impianto
• Chirurgia delle Infezioni
• Chirurgia Computer Assistita
• Esiti Fratture con deformità e mancate consolidazioni
• Chirurgia artroscopica

Maggiori informazioni sul mio sito https://www.am-chirurgiaortopedica.it/

20/11/2024

Prestazioni e prezzi

  • Prima visita ortopedica

    Da 170 €

  • Visita ortopedica


  • Visita ortopedica di controllo

    Da 120 €

  • Acido ialuronico

    90 €

  • Infiltrazione articolare

    120 €

Indirizzi (4)

Vedi mappa si apre in una nuova scheda
OMNIA MEDICA C/O CENTRO AFFIDEA MARTESANA

Via della Filanda, 2, Gessate 20060

Disponibilità

Telefono

02 9994...
Vedi mappa si apre in una nuova scheda
Vedi mappa si apre in una nuova scheda
Uo Ortopedia e Traumatologia, Ospedale “Luigi Sacco”, ASST FBF-SACCO

Via Giovanni Battista Grassi 74, Milano 20157

Disponibilità

Telefono

02 9994...
Vedi mappa si apre in una nuova scheda
Vedi mappa si apre in una nuova scheda
STUDIO FISIOTERAPIA CARIONI

Via Generale C.A. Dalla Chiesa, 20, Cassano d'Adda 20062

Disponibilità

Telefono

02 9994...
Vedi mappa si apre in una nuova scheda
Vedi mappa si apre in una nuova scheda
MEDIGEN

Disponibilità

Telefono

02 9994...
Vedi mappa si apre in una nuova scheda

Convenzioni assicurative non attive

Questo dottore accetta solo pazienti privati. Verrà richiesto un pagamento da parte tua per la prestazione o puoi ricercare un altro dottore che abbia una convenzione con la tua assicurazione

76 recensioni

Più menzionato dai pazienti

  • Spiegazioni dettagliate
  • Attenzione durante la visita
  • Puntualità
Tutte le recensioni contano e non possono essere rimosse o modificate dai dottori a proprio piacimento. Scopri come funziona il processo di moderazione delle recensioni. Per saperne di più sulle opinioni
  • D

    Sono da anni sotto cura del dottor Manzotti che dire è bravissimo

    • Attenzione durante la visita
    • Spiegazioni dettagliate
     • Uo Ortopedia e Traumatologia, Ospedale “Luigi Sacco”, ASST FBF-SACCO Visita di controllo  • 

    Dott. Alfonso Manzotti

    GRAZIE


  • A

    Il Dott. Manzotti per me è un punto di riferimento. Super competente.

    • Attenzione durante la visita
    • Spiegazioni dettagliate
     • STUDIO FISIOTERAPIA CARIONI Prima Visita  • 

    Dott. Alfonso Manzotti

    GRAZIE


  • C

    Medico gentilissimo e cordiale, oltre che attento e competente. Anche la gentilezza non guasta

    • Attenzione durante la visita
    • Spiegazioni dettagliate
    • Ottimo studio
     • OMNIA MEDICA C/O CENTRO AFFIDEA MARTESANA Prima Visita  • 

    Dott. Alfonso Manzotti

    Grazie


  • C

    Persona molto qualificata
    Visita eccellente
    Molto scrupoloso

    • Spiegazioni dettagliate
     • OMNIA MEDICA C/O CENTRO AFFIDEA MARTESANA Visita di controllo  • 

    Dott. Alfonso Manzotti

    Grazie


  • A

    Ottima visita molto chiaro nelle spiegazioni mi sono trovata davvero molto bene un dottore che mette a proprio agio il paziente….sono stata davvero soddisfatta

    • Attenzione durante la visita
    • Spiegazioni dettagliate
    • Puntualità
     • STUDIO FISIOTERAPIA CARIONI Prima Visita  • 

    Dott. Alfonso Manzotti

    Grazie


  • L

    Valutazione trattamento Cox artrosi anca, con PRP associato a cellule staminali

    • Attenzione durante la visita
    • Spiegazioni dettagliate
    • Puntualità
     • STUDIO FISIOTERAPIA CARIONI Prima Visita  • 

  • F

    Un medico molto bravo, con anni di esperienza, chiaro nelle spiegazioni e rassicurante!

    • Attenzione durante la visita
    • Spiegazioni dettagliate
     • STUDIO FISIOTERAPIA CARIONI Prima Visita  • 

    Dott. Alfonso Manzotti

    Grazie


  • E

    Genio veramente ! Prima volta in Italia che trovo un medico così , atento e amabile

    • Attenzione durante la visita
    • Spiegazioni dettagliate
    • Efficacia del trattamento
     • STUDIO FISIOTERAPIA CARIONI Prima Visita  • 

    Dott. Alfonso Manzotti

    Grazie


  • T

    Mi ha seguito dall’inizio del mio infortunio nel dicembre 2023 alla gamba destra con frattura tibia perone e caviglia, scomposta e in più punti.
    Sempre presente.
    Vista la gravità della frattura sono stato fortunato ad essere stato operato dal dottor Manzotti.
    Lo ringrazio pubblicamente con questa recensione .

    • Attenzione durante la visita
    • Spiegazioni dettagliate
    • Efficacia del trattamento
     • Uo Ortopedia e Traumatologia, Ospedale “Luigi Sacco”, ASST FBF-SACCO Visita di controllo  • 

    Dott. Alfonso Manzotti

    Grazie


  • D

    Visita molto attenta spiegazioni chiare un medico molto umano e gentile

    • Attenzione durante la visita
    • Spiegazioni dettagliate
     • STUDIO FISIOTERAPIA CARIONI Prima Visita  • 

    Dott. Alfonso Manzotti

    Grazie


Si è verificato un errore, riprova