Tempo medio di risposta:

Esperienze

Sono il Dott. Saverio Giugliano, odontoiatra con una passione speciale per l’ortodonzia e l’estetica dentale. Da oltre vent’anni mi prendo cura del sorriso di adulti e bambini con l’obiettivo di unire salute, funzionalità ed estetica, perché un sorriso armonioso può davvero migliorare la qualità della vita e la sicurezza in sé stessi.

Nel mio studio dentistico a Nola, in provincia di Napoli, accolgo ogni paziente in un ambiente professionale ma familiare, dove sentirsi ascoltati e seguiti con attenzione. Lavoro a stretto contatto con professionisti altamente qualificati in diverse specializzazioni, così da offrire un trattamento completo e su misura.

Per gli adulti propongo percorsi personalizzati per correggere malocclusioni e migliorare l’aspetto del sorriso con soluzioni moderne e minimamente invasive. Per i bambini, invece, mi occupo di ortodonzia pediatrica, guidando la crescita dentale e prevenendo problemi futuri, con particolare attenzione al comfort e alla serenità dei piccoli pazienti.

Prestazioni principali:

  • Ortodonzia per adulti e bambini: apparecchi fissi, mobili e allineatori trasparenti

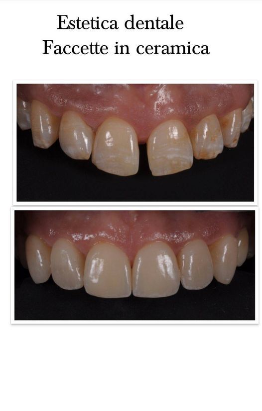
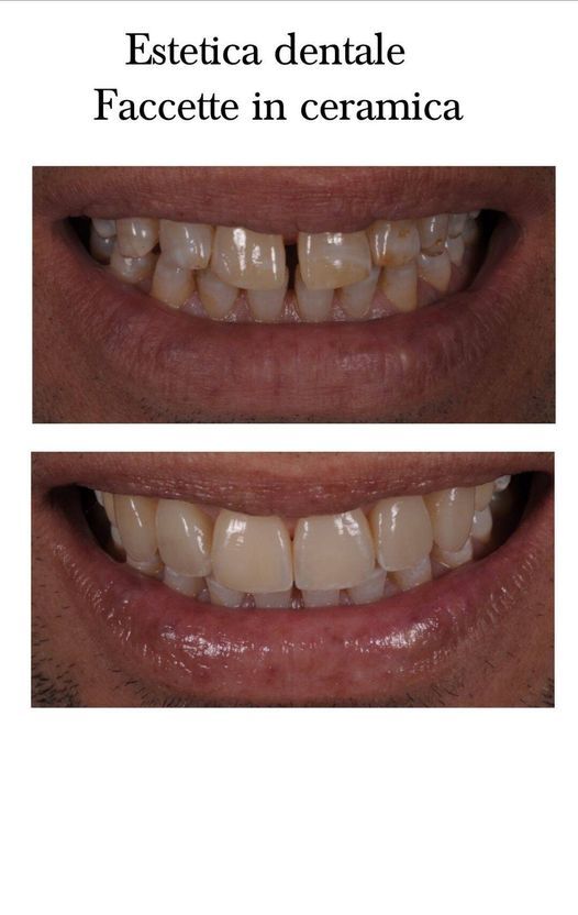
  • Odontoiatria estetica: faccette dentali, sbiancamento professionale, rimodellamento del sorriso

  • Implantologia e riabilitazioni protesiche

  • Cura e prevenzione di carie e malattie gengivali

  • Pedodonzia e igiene orale pediatrica

  • Endodonzia e terapia conservativa

  • Parodontologia per la salute delle gengive

Ogni piano di trattamento inizia con un’accurata valutazione, per comprendere le esigenze e i desideri del paziente. Utilizzo solo materiali di alta qualità e tecniche moderne, con la massima attenzione alla precisione clinica e al benessere di chi si affida a me.

Se sei alla ricerca di un dentista a Nola o in provincia, specializzato in ortodonzia ed estetica dentale, sarò felice di ascoltarti, consigliarti e accompagnarti passo dopo passo verso il sorriso che desideri.

Altro Su di me

Aree di competenza principali:

  • Endodonzia
  • Implantologia dentale
  • Ortodonzia
  • Odontoiatria
  • Odontoiatria pediatrica
  • Odontoiatria estetica
  • Chirurgia orale
  • Pedodontista
  • Protesi dentaria
Mostra dettagli

Presso questo indirizzo visito

Adulti
Bambini

Tipologia di visite

Foto e video

Prestazioni e prezzi

  • Prima visita dentistica

    0 € - 40 €

  • Visita odontoiatrica pediatrica

    40 €

  • Ortopanoramica delle arcate dentarie


  • Visita ortodontica di controllo


  • Visita di controllo


Indirizzo

Vedi mappa si apre in una nuova scheda
Studio Privato

Via Monsignor Amilcare Boccio, Nola 80035

Disponibilità

Pagamento online

Accettato

Telefono

081 1928...
Vedi mappa si apre in una nuova scheda

Convenzioni assicurative non attive

Questo dottore accetta solo pazienti privati. Verrà richiesto un pagamento da parte tua per la prestazione o puoi ricercare un altro dottore che abbia una convenzione con la tua assicurazione

108 recensioni

Più menzionato dai pazienti

  • Attenzione durante la visita
  • Ottimo studio
  • Spiegazioni dettagliate
Tutte le recensioni contano e non possono essere rimosse o modificate dai dottori a proprio piacimento. Scopri come funziona il processo di moderazione delle recensioni. Per saperne di più sulle opinioni
  • A

    Il Dottor Giugliano e le sue collaboratrici sono di una professionalità ed accoglienza imparagonabili

    • Attenzione durante la visita
    • Spiegazioni dettagliate
    • Efficacia del trattamento
    • Ottimo studio
    • Puntualità
     • Studio Privato trattamento carie  • 

  • S

    Ottimo studio ,puntualità,trattamento risolutivo attenzione al cliente

    • Spiegazioni dettagliate
    • Efficacia del trattamento
    • Ottimo studio
     • Studio Privato trattamento carie  • 

  • M

    Empatia a 360* con mio figlio di 6 anni. Consiglio vivamente

    • Attenzione durante la visita
    • Spiegazioni dettagliate
    • Ottimo studio
    • Puntualità
     • Studio Privato trattamento carie  • 

  • S

    Ci si sente in mani sicure, da tutti i punti di vista: professionalità, cordialità, empatia e tanto altro.

    • Attenzione durante la visita
    • Spiegazioni dettagliate
    • Efficacia del trattamento
    • Ottimo studio
    • Puntualità
     • Studio Privato estrazione di denti e radici  • 

  • M

    Visita impeccabile. Il Dottore è molto rigoroso e attento, una vera garanzia.

    • Attenzione durante la visita
    • Spiegazioni dettagliate
    • Efficacia del trattamento
     • Studio Privato trattamento carie  • 

  • E

    Studio all'avanguardia, massima professionalità e attenzione al paziente.

    • Attenzione durante la visita
    • Spiegazioni dettagliate
    • Efficacia del trattamento
    • Ottimo studio
    • Puntualità
     • Studio Privato visita per inquadramento diagnostico  • 

  • Y

    Buona sera ho fatto una visita e subito mi sono sentita a mio aggio Dottore top molto paciente e spiega ogni cosa in il dettaglio ti dà molta sicurezza e tranquillità in mio caso ero disperata e già in en la visita mi sono sentita più sicura tutte ei ragazzi che lavorano con il dott sono amabili e como sentirse a casa raccomando 1000/1000 grazie a tutti

    • Attenzione durante la visita
    • Spiegazioni dettagliate
    • Efficacia del trattamento
    • Ottimo studio
    • Puntualità
     • Studio Privato igiene orale  • 

  • T

    Professionalità ed efficienza nel gestire il paziente
    Studio ed assistenti impeccabili.

    • Attenzione durante la visita
    • Spiegazioni dettagliate
    • Efficacia del trattamento
    • Ottimo studio
     • Studio Privato trattamento carie  • 

  • C

    Il Dott. Giugliano è una vera eccellenza nel suo mestiere - tra i pochi che io abbia mai conosciuto. Lavora con grande professionalità, passione e grande empatia, allo stesso modo la sua ekip fatta di persone professionali e sempre con un atteggiamento rivolto al paziente. Studio accogliente, moderno, in linea con gli alti standard qualitativi e innovativo. Ordine e igiene ai massimi livelli.

    • Attenzione durante la visita
    • Spiegazioni dettagliate
    • Efficacia del trattamento
    • Ottimo studio
    • Puntualità
     • Studio Privato ortodonzia fissa e mobile  • 

  • L

    È una fortuna avere un dentista di cui ti fidi, specialmente per procedure delicate come le estrazioni! Un medico bravo non solo rende l'intervento più veloce, ma aiuta anche a ridurre l'ansia e assicura una guarigione senza complicazioni.

    • Attenzione durante la visita
    • Spiegazioni dettagliate
    • Ottimo studio
     • Studio Privato estrazione di denti e radici  • 

Si è verificato un errore, riprova