Tempo medio di risposta:

Esperienze

Il chirurgo vascolare è un medico specializzato nella diagnosi e nel trattamento delle malattie del sistema circolatorio, comprendente arterie, vene e vasi linfatici. Si occupa di condizioni come l’aterosclerosi, gli aneurismi, la trombosi venosa profonda e l’insufficienza venosa cronica.

Il Dottor Paolo Frattini è un medico chirurgo specializzato in Chirurgia Vascolare e Chirurgia Flebologica mininvasiva, con una consolidata esperienza clinica sia in ambulatorio che in contesto ospedaliero.

È stato Responsabile dell’Unità Operativa di Chirurgia Vascolare presso l’Ospedale Mater Salutis di Legnago, dove ha diretto il reparto dedicato per diversi anni guidando l’attività diagnostica, terapeutica e chirurgica su un vasto bacino di pazienti.

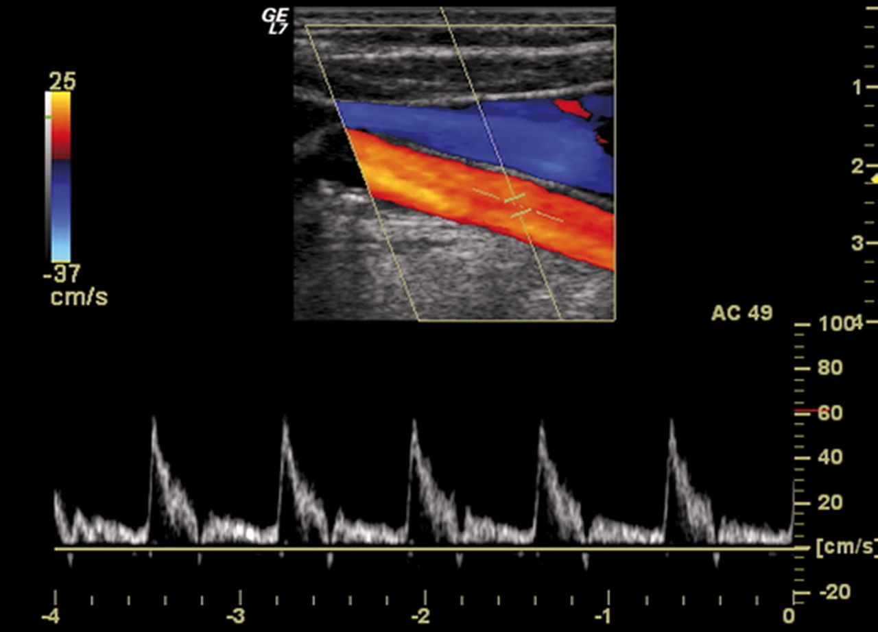
Tra gli esami diagnostici principali eseguiti dal chirurgo vascolare vi sono l’ecocolordoppler venoso e l’ecocolordoppler arterioso. L’ecocolordoppler venoso valuta il flusso sanguigno nelle vene, utile per identificare trombosi e insufficienza venosa. L’ecocolordoppler arterioso esamina le arterie per rilevare stenosi, occlusioni e aneurismi. Questi esami non invasivi combinano l’ecografia con la tecnologia Doppler per fornire dati dettagliati e informazioni sul flusso sanguigno, essenziali per una diagnosi accurata e un trattamento efficace.

In regime ambulatoriale, il Dottor Frattini esegue anche trattamenti sclerosanti, finalizzati alla gestione delle patologie venose come le varici attraverso procedure minimamente invasive.

Il Dottor Frattini accoglie i pazienti per visite specialistiche in Chirurgia Vascolare, diagnostica ecodoppler e percorsi di cura personalizzati, con particolare attenzione sia alle esigenze diagnostiche che terapeutiche.

Altro Su di me

Aree di competenza principali:

  • Chirurgia d'urgenza

Tipologia di visite

Foto e video

Logo
Dott. Paolo Frattini

Via Roma 69, Roverchiara 37050

Lo sapevi che eseguo trattamenti di scleroterapia?

Sono il Dott. Paolo Frattini e utilizzo la scleroterapia per eliminare capillari e piccole vene. Il trattamento consiste nell’iniezione di una soluzione specifica che provoca la chiusura del vaso e il suo riassorbimento naturale.

È un intervento ambulatoriale, rapido e mirato a migliorare sia l’aspetto estetico delle gambe sia eventuali fastidi legati a capillari e vene superficiali.

Ogni trattamento è personalizzato in base alle tue esigenze, per garantire risultati efficaci e sicuri.
Prenota la tua prima consulenza e scopri come possiamo prenderti cura delle tue gambe.

30/01/2026

Prestazioni e prezzi

  • Ecocolordoppler

    150 €

  • Ecocolordoppler arti inferiori

    120 €

  • Ecocolordoppler arti superiori

    120 €

  • Ecocolordoppler TSA

    120 €

  • Prima visita di chirurgia vascolare

    120 €

Indirizzi (2)

Vedi mappa si apre in una nuova scheda
Studio San Zeno

Via Roma 69, Roverchiara 37050

Disponibilità

Telefono

0442 172...
370 165...

Pazienti accettati

  • Pazienti senza assicurazione sanitaria
Vedi mappa si apre in una nuova scheda
Vedi mappa si apre in una nuova scheda
Centro Retrain

Via San Pierino 53, Bovolone 37051

Disponibilità

Questo dottore non offre prenotazioni online a questo indirizzo

Pazienti accettati

  • Pazienti senza assicurazione sanitaria
Vedi mappa si apre in una nuova scheda

36 recensioni

Tutte le recensioni contano e non possono essere rimosse o modificate dai dottori a proprio piacimento. Scopri come funziona il processo di moderazione delle recensioni. Per saperne di più sulle opinioni
  • G

    Persona umana e rasserenante, con un parere sincero e soddisfacente

     • Studio San Zeno ecocolordoppler arti inferiori  • 

  • R

    Dott.bravo in tutti i sensi cordiale visita eccellente e con molta disponibilità e cordialità

     • Studio San Zeno ecocolordoppler  • 

    Studio San Zeno

    Le sue parole sono un grande incoraggiamento per tutto il nostro team medico. Grazie per aver condiviso la sua esperienza.


  • M

    Locali perfetti e personale qualificato e professionale.

     • Studio San Zeno  • 

    Studio San Zeno

    Grazie mille per la recensione! Siamo felici che tu abbia apprezzato i nostri locali e la professionalità del personale.


  • S

    Medico cordiale ed empatico, spiega con chiarezza e mette a proprio agio il paziente.

     • Studio San Zeno ecocolordoppler arti superiori  • 

    Studio San Zeno

    Siamo felici che abbia apprezzato la cordialità, l’empatia e la chiarezza nelle spiegazioni del dott. Paolo Frattini.
    Quello che vogliamo maggiormente è far sentire il paziente a proprio agio, cercandolo di aiutarlo nel migliore dei modi.


  • G

    Molto scrupoloso e anche semplice nelle spiegazioni. Unica cosa ambiente un po freddo come temperatura, ma non credo si possa imputare al medico.

     • Centro Retrain ecodoppler arterioso e venoso arti  • 

  • O

    Come sempre il dr. Frattini è super professionale e molto chiaro

     • Studio San Zeno ecocolordoppler arti superiori  • 

    Studio San Zeno

    Le sue parole ci fanno davvero piacere. Il nostro obiettivo è far sentire ogni paziente accolto e seguito con attenzione, sia dal punto di vista medico che riabilitativo.


  • E

    Ho avuto il piacere di portare mia mamma alla visita oggi con il dottore e ne sono rimasta davvero colpita. È una persona estremamente umana, capace di mettere subito a proprio agio con il suo modo gentile e rassicurante anche una persona molto ansiosa.
    Nel suo lavoro è paziente, attento e meticoloso in ogni spiegazione e in ogni controllo.
    Si percepisce chiaramente la passione e la professionalità con cui svolge la sua attività.
    Una visita dove ci si sente seguiti davvero.
    Medico assolutamente consigliato.

     • Studio San Zeno ecocolordoppler arti inferiori  • 

    Studio San Zeno

    Grazie di cuore per le sue parole.
    Siamo davvero felici che sua mamma si sia sentita accolta e rassicurata: per noi la presa in carico del paziente è una priorità assoluta, tanto nella nostra struttura quanto nel lavoro dei nostri medici e terapeuti. Sapere che l’attenzione e la passione che mettiamo ogni giorno vengono percepite ci dà grande motivazione. Un sincero grazie per la fiducia e per aver condiviso la sua esperienza.


  • F

    Consigliato medico preparato e molto gentile che sa anche mettere il paziente a proprio agio

     • Studio San Zeno ecocolordoppler arti inferiori  • 

    Studio San Zeno

    La ringraziamo per il feedback positivo. I medici lavorano ogni giorno per offrire un’esperienza competente e umana.


  • G

    È uno dei pochi medici che ha voluto avere una visione di insieme, visionando molti degli esami in mio possesso. Un medico che lavora per passione….

     • Centro Retrain ecodoppler arterioso e venoso arti  • 

  • M

    Ottima visita contento della spiegazione ricevuta sicuramente tornerò

     • Centro Retrain ecodoppler arterioso e venoso arti  • 

Si è verificato un errore, riprova