Esperienze

Sono il Dr Lorenzo Felici.
Mi occupo di Implantologia, Ortodonzia ed Estetica dentale presso lo studio dentistico Felici che da oltre 30 anni si occupa della salute e dello splendore del sorriso di migliaia di persone.
Ci troviamo sia a Terni in Via Cesare Battisti 11, sia a Fratta Todina (PG) in Via Tuderte 22.
I medici dello studio, i dottori Claudio, Lorenzo e Edoardo hanno esperienza nella gestione di tutte le problematiche odontoiatriche.
Lo studio è dotato di tutte le più moderne tecnologie per poter soddisfare qualsiasi richiesta dei propri pazienti.
Dispone di radiografico per Ortopantomografie e Tac cone beam 3D e moderni scanner intraorali per rilevazione digitale delle impronte dentali.
Tutto lo staff è esperto in riabilitazioni orali complesse mediante l'utilizzo di impianti osteointegrati.
Massima è l'esperienza anche nel trattamento dei bambini e nelle terapie ortodontiche sia con metodologia classica, sia con allineatori trasparenti.
Massima attenzione è posta all'accoglienza ed al confort del paziente, che ha cosi modo di affidarsi al personale qualificato con tranquillità e serenità, sicuro di poter ottenere il massimo dalla propria esperienza in studio.
Per qualsiasi informazione puoi contattare lo studio al numero
0744 427033

STUDIO DENTISTICO FELICI a TERNI
-IMPLANTOLOGIA
-ORTODONZIA PER BAMBINI E ADULTI
Altro Su di me

Aree di competenza principali:

  • Endodonzia
  • Stomatologia
  • Implantologia
  • Protesi dentaria
  • Igiene dentale
  • Odontoiatria estetica
  • Odontoiatria pediatrica
  • Odontoiatria
  • Chirurgia odontostomatologica
  • Ortodonzia
  • Implantologia dentale
  • Medicina estetica
Mostra dettagli

Presso questo indirizzo visito

Adulti (Solo in alcuni indirizzi)
Bambini (Solo in alcuni indirizzi)

Tipologia di visite

Foto e video

Prestazioni e prezzi

  • Ablazione

    Da 50 €

  • Ortodonzia


  • Visita di controllo


  • Tomografia computerizzata


  • Studio clinico


Indirizzi (2)

Vedi mappa si apre in una nuova scheda
Studio Dentistico Felici

Viale Cesare Battisti 11, Terni 05100

Disponibilità

Questo dottore non offre prenotazioni online a questo indirizzo

Telefono

0744 4...
Vedi mappa si apre in una nuova scheda
Vedi mappa si apre in una nuova scheda
Studio Dentistico Felici

Via Tuderte 22, Fratta Todina 06054

Disponibilità

Questo dottore non offre prenotazioni online a questo indirizzo

Telefono

0744 4...
Vedi mappa si apre in una nuova scheda

Assicurazioni accettate

Le assicurazioni sono accettate ma la copertura varia a seconda della località e del servizio, puoi verificarlo durante la fase di prenotazione!

  • Unisalute
  • Fondo Est
  • Cesare Pozzo
  • Casagit
  • Faschim
+13 Altro

12 recensioni

Tutte le recensioni contano e non possono essere rimosse o modificate dai dottori a proprio piacimento. Scopri come funziona il processo di moderazione delle recensioni. Per saperne di più sulle opinioni
  • F

    Ci tengo a fare pubblicamente un elogio al Dottor Lorenzo Felici per l'Eccellente ed Impeccabile lavoro che ha svolto donandomi un nuovo e Meraviglioso sorriso, riuscendo ad andare anche ben oltre quelle che erano le mie aspettative.
    Il Dottor Lorenzo è un giovane promettente e talentuoso sia a livello professionale che artistico.
    La mia condizione precedente era pessima, imbarazzante e complessa, ma grazie alle sue competenze e qualità estetiche ha risolto la situazione magnificamente.
    La prima volta che mi applicò i provvisori rimasi sbalordita per l'Ottimo e Splendido lavoro che svolse, mi innamorai subito al primo colpo del suo progetto preliminare.
    Ho un sorriso che mai avrei immaginato di poter avere, il Dottor Lorenzo ha superato tutti i miei più fervidi sogni ed aspettative.
    Un capolavoro di cui ne sono estremamente entusiasta e riconoscente.
    Il Dottor Lorenzo è un ragazzo che Merita di esser apprezzato e riconosciuto per il suo valore, i suoi lavori pubblicati parlano da soli.

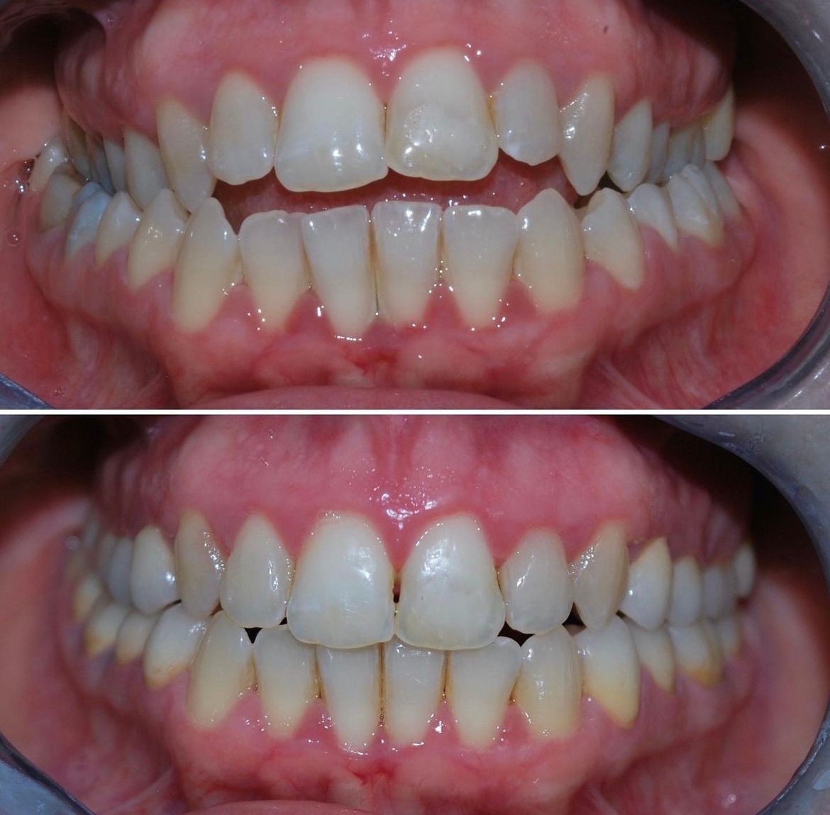
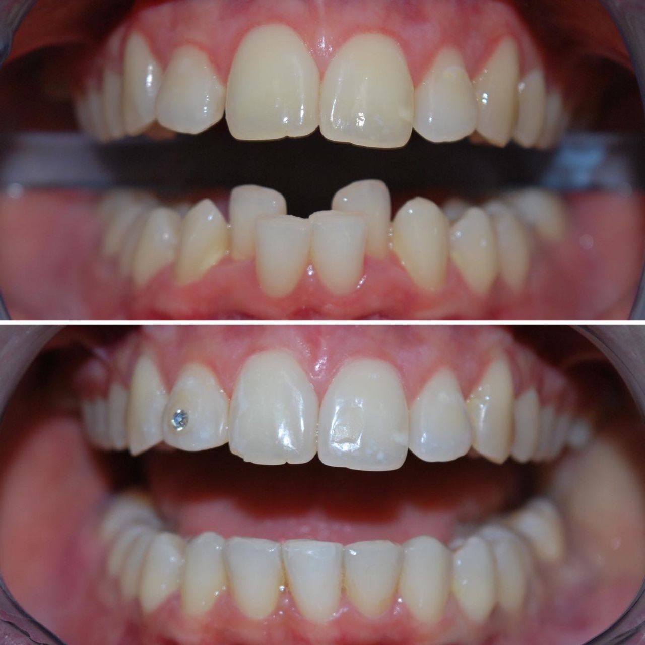
     • Studio Dentistico Felici faccette dentali  • 

  • V

    Dentista e il suo Staff molto preparato ed empatico.

     • Studio Dentistico Felici ablazione  • 

  • R

    Molto attento alle richieste del paziente e a risolvere i problemi.

     • Studio Dentistico Felici Visita di controllo  • 

  • G

    Ottimo servizio e molto professionalità!
    Cortesia eccellente!

     • Studio Dentistico Felici estrazione dentaria  • 

  • A

    Ho adorato ogni minuto del percorso al vostro fianco! non posso fare altro che sottolineare la vostra professionalità e bontà. Ultimamente vi sto seguendo sulla pagina Instagram e ci tenevo a complimentarmi con ognuno di voi per tutti i lavori effettuati ed il mio soprattutto. Sono super soddisfatta delle mie nuove faccette!!! e finalmente posso mostrare il mio sorriso smagliante! Un grande abbraccio da parte mia.

     • Studio Dentistico Felici sbiancamento dentale  • 

  • G

    In conclusione di un lungo percorso, non posso fare altro che ringraziarvi per la vostra professionalità e cortesia.
    Ci tengo a complimentarmi con ognuno di voi per tutti i lavori eseguiti su di me e sulla mia famiglia…..
    Un grazie di cuore , con voi sono riuscito ad avere nuovamente fiducia e sicurezza
    Un grande abbraccio ai miei dottori Lorenzo,Claudio,Edoardo e alle vostre rassicuranti assistenti

     • Studio Dentistico Felici estrazione di denti e radici  • 

  • R

    Lo scorso mese ho iniziato con loro un lungo percorso che da troppo tempo rimandavo per paura....li ho scelti perché fin da subito, dalla prima accoglienza, ti fanno sentire come se fossi a casa....annullano lo spauracchio del dentista....ti incoraggiano, ti spronano, ti coccolano....tutti....non potevo fare scelta migliore nell'affidarmi a loro....una professionalità indiscutibile....uno studio all'avanguardia....uno staff unico, dai dentisti dott. Claudio e dott. Lorenzo, la mitica dott.ssa Sofia che con professionalità, bravura e delicatezza ti accompagnano in ogni percorso.....e con loro tutte le loro assistenti....Orietta,Raffaella, Francesca e tutte le altre sempre pronte con il loro sorriso e la loro gentilezza a sostenerti.....zero dolore, controlli accurati.....uno studio consigliatissimo.....finalmente, grazie a loro, posso essere fiera del mio sorriso!

     • Studio Dentistico Felici protesi  • 

  • F

    Sono stata questa mattina per una panoramica e sono uscita dopo aver fatto un estrazione e montato l apparecchio fisso!!!! Una fifona come me.... E non ho sentito nulla!Mi sono trovata super bene dall accoglienza in su tutti super carini molto molto professionali e soprattutto mettono a proprio agio! Felicissima di aver intrapreso questo percorso di cambiamento per me insieme a voi! Un grazie grandissimo!! Il dott Lorenzo veramente carino mi ha spiegato tutto e soprattutto mi ha assicurato un risultato top ! Grazie Flavia

     • Studio Dentistico Felici ortodonzia  • 

  • D

    Non è mai stato cosí piacevole andare dal dentista. L’ambiente dello studio non può che metterti di buon umore perchè lo staff é veramente fantastico : gentilissimo e professionale. C’è una sintonia tra i vari membri che si percepisce e trasmette una grande energia positiva. L’accoglienza è senza eguali, e sono sicuro che questa cosa è ben percepita da tutti i clienti perchè ogni persona che ho visto entrare per un appuntamento era evidentemente a suo agio, come a casa. È bello avere una realtà come questa nella propria città. Complimenti
    P.S. sono veramente dei professionisti di questo mestiere, ho completa fiducia nel loro operato. L’unico rimpianto è quello di non aver scoperto prima lo studio Felici !

     • Studio Dentistico Felici ortodonzia  • 

  • M

    Professionalità, eleganza e cordialità.
    Questi sono i tratti distintivi dello Studio Dentistico Felici, luogo in cui il paziente sin dal primo momento sa di essere in buone mani.
    Dallo staff competente ed attento al benessere del paziente fino ai macchinari innovativi che consentono di fornire una diagnosi precisa che va ben oltre il minimo dettaglio. Infine ci sono i Dott. Lorenzo ed Edoardo Felici i quali con l’esperienza e lo studio maturati negli anni, rappresentano il fiore all’occhiello dell’Odontoiatria regionale, nazionale e non solo. Il Dott. Claudio Felici può solo che essere fiero ed orgoglioso di tutto questo. Strepitoso.

     • Studio Dentistico Felici estrazione dentaria  • 

Si è verificato un errore, riprova