Tempo medio di risposta:

Esperienze

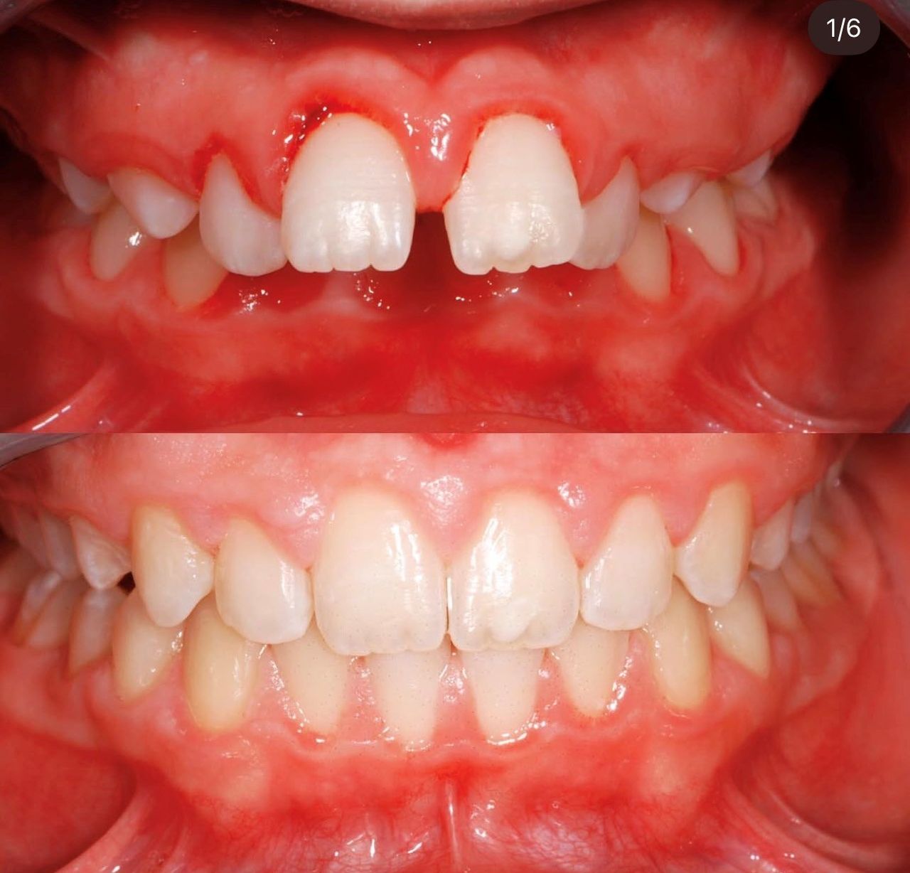
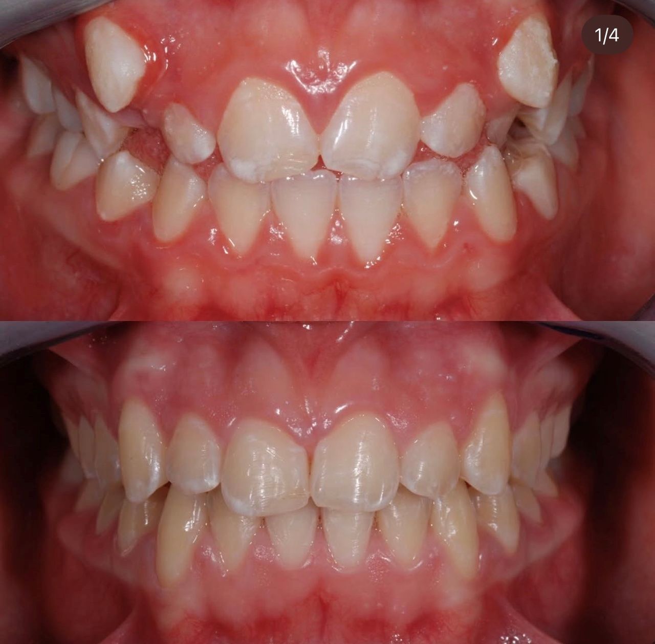
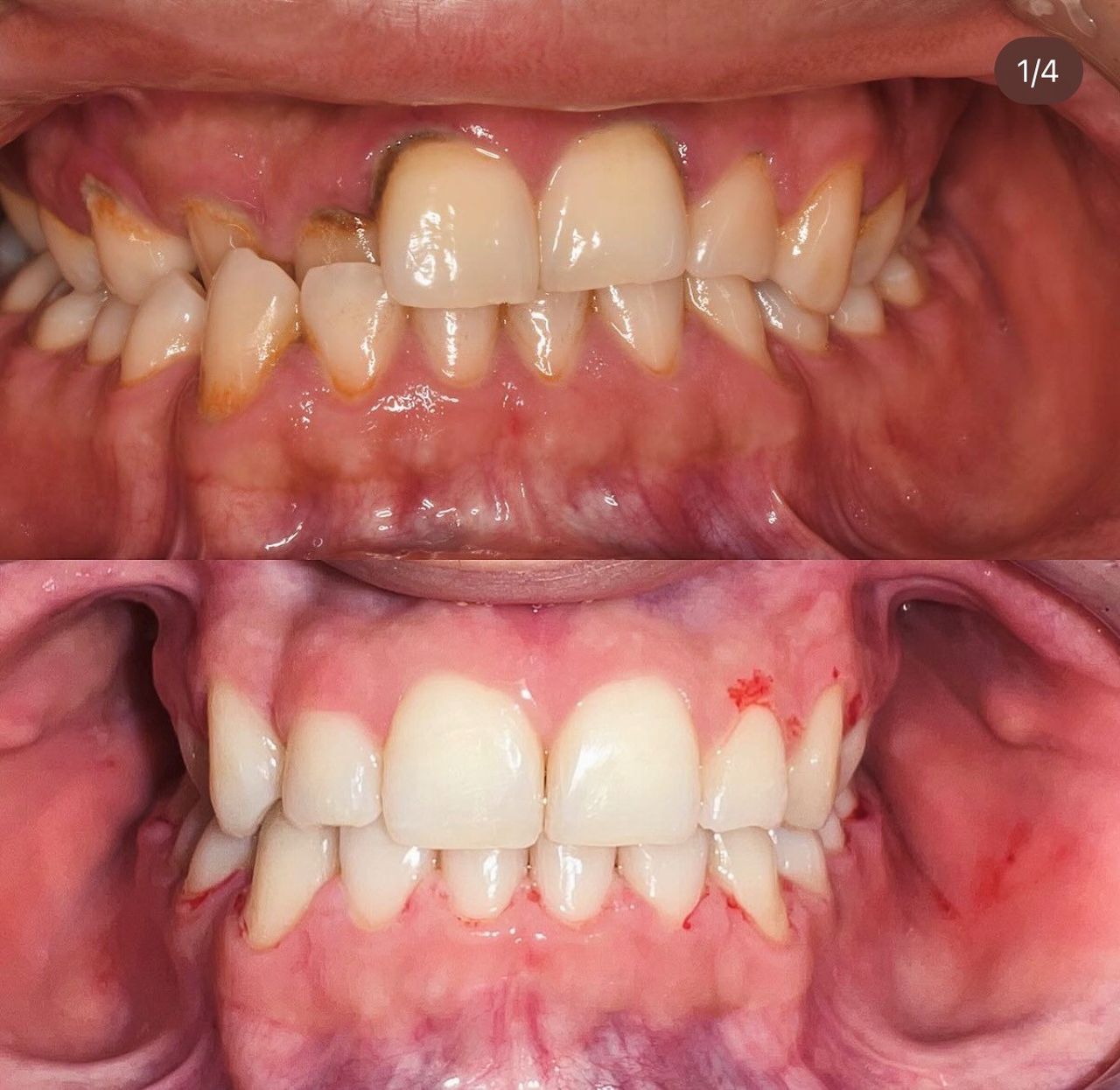
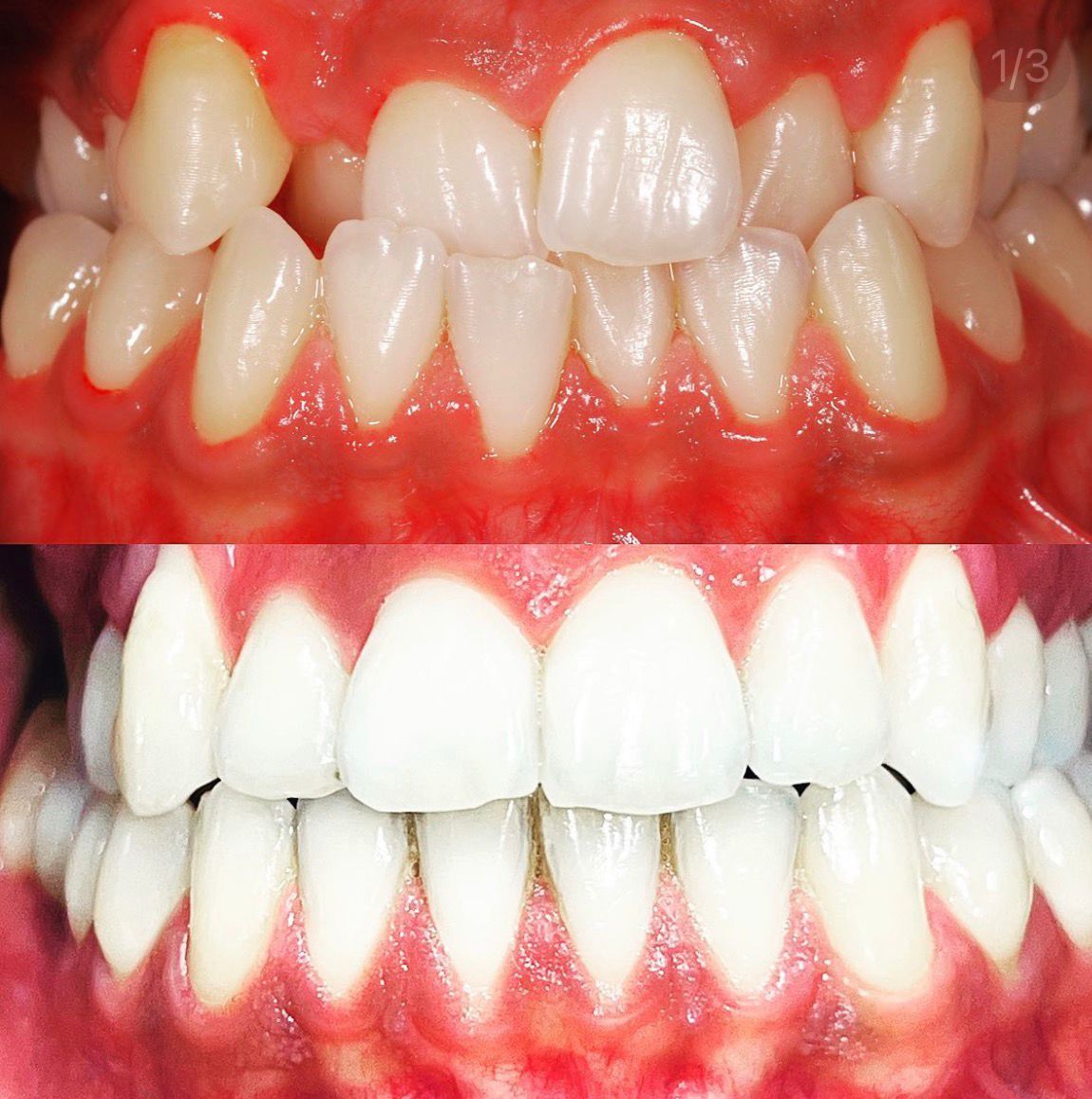
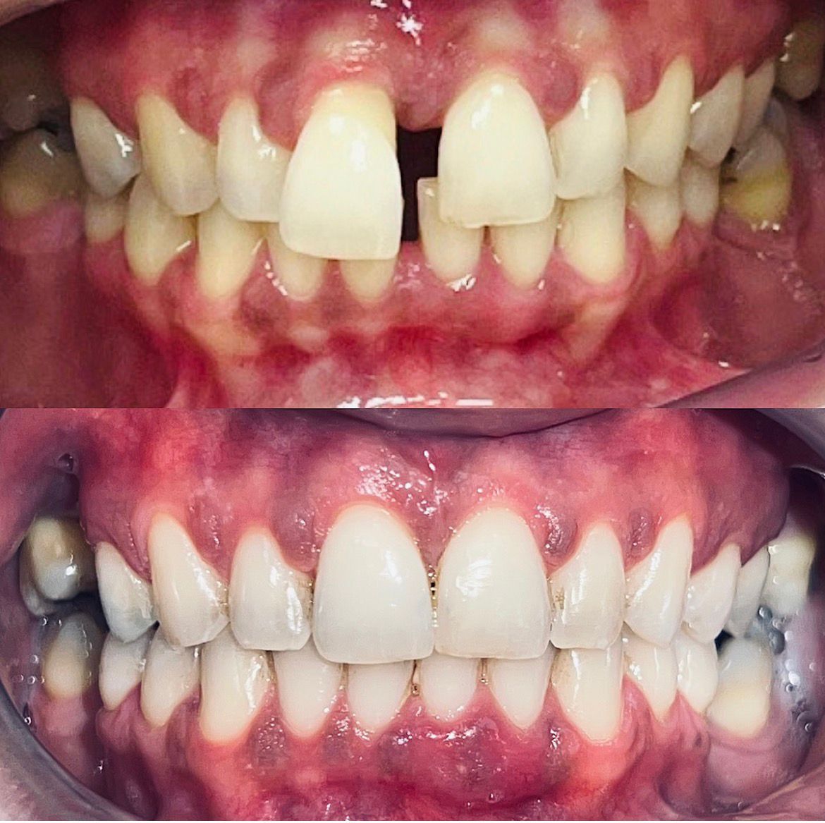
Se desideri allineare i denti e migliorare il tuo sorriso, oggi esistono soluzioni ortodontiche efficaci e quasi invisibili.

Sono la Dott.ssa Ilaria Motta, specialista in Ortognatodonzia, e da oltre 15 anni mi occupo di trattamenti ortodontici per adulti e ragazzi, con percorsi personalizzati pensati per unire estetica, funzionalità e benessere del sorriso.

Nel mio lavoro utilizzo principalmente tecniche ortodontiche discrete e confortevoli, come:

  • ortodonzia linguale (apparecchio applicato all’interno dei denti)

  • allineatori trasparenti per allineare i denti in modo quasi invisibile

Durante la visita dedico sempre tempo ad ascoltare le esigenze del paziente e a spiegare con chiarezza le diverse possibilità di trattamento, così da costruire insieme il percorso più adatto.

Mi sono laureata con lode in Odontoiatria a Milano nel 2007 e ho conseguito la Specializzazione in Ortognatodonzia nel 2011. Mi aggiorno costantemente partecipando a corsi e congressi per offrire ai miei pazienti le tecniche ortodontiche più moderne.

Mi occupo inoltre di diagnosi e prevenzione delle patologie del cavo orale, con particolare attenzione alla diagnosi precoce del tumore orale.

Prenota una prima visita ortodontica: valuteremo insieme il tuo sorriso e le soluzioni più adatte alle tue esigenze.

Aree di competenza

  • Ortodonzia fissa

  • Ortodonzia linguale

  • Allineatori trasparenti

  • Ortodonzia intercettiva per i pazienti in età pediatrica

  • Diagnosi precoce delle patologie del cavo orale

 

Altro Su di me

Aree di competenza principali:

  • Ortodonzia
  • Odontoiatria pediatrica
  • Odontoiatria estetica
  • Gnatologia

Tipologia di visite

Foto e video

Prestazioni e prezzi

  • Prima visita ortodontica

    Prestazione gratuita

  • Prima visita dentistica

    Da 0 €

  • Estetica del sorriso


  • Tac dentale


  • Pronto Soccorso Odontoiatrico


Indirizzi (7)

Modalità di pagamento (visite private)

  • Carta di debito
  • Contanti
  • Assegno
  • Bonifico

Telefono

02 965...
349 189...
Ilaria Motta
Studio Dentistico Dr. Marco Giorgi

Via Donato Bramante, 3, San Michele , Busto Arsizio 21052

Vedi mappa si apre in una nuova scheda

Disponibilità

Questo dottore non offre prenotazioni online a questo indirizzo

Ilaria Motta
Studio Dentistico Daria Bove

Via Giacomo Matteotti, 6, Bareggio 20010

Vedi mappa si apre in una nuova scheda

Disponibilità

Questo dottore non offre prenotazioni online a questo indirizzo

Ilaria Motta
Aesthetics Orthodontics

Via Ricasoli, 1/1, Milano 20121

Vedi mappa si apre in una nuova scheda

Disponibilità

Questo dottore non offre prenotazioni online a questo indirizzo

Ilaria Motta
Studio Dentistico Donizetti

Via Gaetano Donizetti, 23, Milano 20122

Vedi mappa si apre in una nuova scheda

Disponibilità

Questo dottore non offre prenotazioni online a questo indirizzo

Ilaria Motta
Studio Privato

Corso Italia 7, Milano 20122

Vedi mappa si apre in una nuova scheda

Disponibilità

Questo dottore non offre prenotazioni online a questo indirizzo

GV Medical Center
GV Medical Center

Via Giuseppe Marcora 11, Milano 20121

Vedi mappa si apre in una nuova scheda

Disponibilità

Questo dottore non offre prenotazioni online a questo indirizzo

Assicurazioni accettate

Le assicurazioni sono accettate ma la copertura varia a seconda della località e del servizio, puoi verificarlo durante la fase di prenotazione!

  • Fasi/Assidai
  • Faschim
  • Fasdac
  • Fasi
  • Fasi Open

9 recensioni

Più menzionato dai pazienti

  • Spiegazioni dettagliate
  • Attenzione durante la visita
Tutte le recensioni contano e non possono essere rimosse o modificate dai dottori a proprio piacimento. Scopri come funziona il processo di moderazione delle recensioni. Per saperne di più sulle opinioni
  • M

    Bravissima, ha seguito mio figlio per sistemargli la masticazione e palato stretto con apparecchio, risultato a fine lavori perfetto....professionale e molto brava nel relazionarsi con il ragazzo.....

    • Spiegazioni dettagliate
     • Élite Odontoiatrica Caronno Visita di controllo  • 

    Élite Odontoiatrica Caronno

    Grazie Mariangela per le sue bellissime parole!
    Siamo felici di sapere che il percorso di suo figlio abbia portato a un risultato ottimale e che abbia apprezzato sia la professionalità sia l’attenzione nel rapporto con i ragazzi.
    Accompagnare i nostri pazienti, soprattutto i più giovani, con competenza ed empatia è per noi fondamentale. Grazie per la fiducia che ci avete accordato!


  • M

    Persona gentile ti mette a tuo agio . E io ho ansia da dentista

    • Attenzione durante la visita
     • Élite Odontoiatrica Caronno Consulenza odontoiatrica  • 

    Élite Odontoiatrica Caronno

    Gentile Mattia, la ringraziamo sinceramente per la sua recensione.
    Siamo molto felici di sapere che si sia sentito a suo agio durante la visita, soprattutto considerando l’ansia che spesso accompagna le cure odontoiatriche. Per noi è fondamentale offrire un ambiente sereno e accogliente.
    Le sue parole, rivolte alla D.ssa Motta, sono un importante riconoscimento della sua sensibilità e attenzione verso i pazienti.


  • T

    Gentilezza e professionalità in tutto come sempre.

    • Attenzione durante la visita
    • Spiegazioni dettagliate
     • Élite Odontoiatrica Caronno apparecchio dentale fisso  • 

    Élite Odontoiatrica Caronno

    La ringraziamo per la sua recensione.
    Siamo felici che abbia apprezzato la gentilezza e la professionalità che cerchiamo di garantire in ogni visita.
    Le sue parole, rivolte alla D.ssa Motta, rappresentano per noi un prezioso riconoscimento e uno stimolo a proseguire con impegno e attenzione.


  • E

    Puntuale e precisa. In ogni controllo sempre esaudiente in ogni domanda e mia figlia si trova molto bene.

    • Spiegazioni dettagliate
     • Élite Odontoiatrica Caronno Visita di controllo  • 

    Élite Odontoiatrica Caronno

    La ringraziamo per la sua recensione.
    Siamo lieti di sapere che ha apprezzato la puntualità e la precisione delle visite, così come la disponibilità nel rispondere in modo chiaro a ogni domanda.
    Ci fa particolarmente piacere sapere che anche sua figlia si trovi bene e viva le visite con serenità.
    Le sue parole, rivolte alla D.ssa Motta, sono per noi un importante riconoscimento.


  • L

    Professionalità, competenza, empatia cordialità e disponibilità.

     • Élite Odontoiatrica Caronno Visita di controllo  • 

    Élite Odontoiatrica Caronno

    Gentile Letizia, siamo lieti che abbia apprezzato la professionalità, la competenza e l’attenzione umana del nostro team. Empatia, cordialità e disponibilità sono aspetti a cui teniamo particolarmente, perché riteniamo fondamentale che ogni paziente possa sentirsi seguito con cura e serenità.
    Le sue parole, riferite alla D.ssa Motta, rappresentano un riconoscimento significativo del lavoro quotidiano svolto con impegno e attenzione. Un caro saluto da tutto il team di élite odontoiatrica Caronno


  • B

    Grazie alla dottoressa mi trovo molto bene molto simpatica

    • Attenzione durante la visita
    • Spiegazioni dettagliate
    • Efficacia del trattamento
    • Puntualità
     • Élite Odontoiatrica Caronno allineatori dentali  • 

    Élite Odontoiatrica Caronno

    La ringraziamo sinceramente per le sue parole. Siamo lieti che si sia trovata a suo agio e che abbia apprezzato anche l’aspetto umano del rapporto. Grazie per la fiducia.


  • F

    Gentile e professionale . Una garanzia assoluta . Con la dottoressa Motta si può uscire dallo studio sempre soddisfatti

    • Attenzione durante la visita
    • Spiegazioni dettagliate
    • Efficacia del trattamento
    • Ottimo studio
    • Puntualità
     • Élite Odontoiatrica Caronno Visita di controllo  • 

    Élite Odontoiatrica Caronno

    Grazie per il suo feedback.
    Siamo davvero felici che abbia trovato nella Dott.ssa Motta una professionista gentile, affidabile e capace di trasmettere sicurezza. La soddisfazione dei nostri pazienti è per noi il risultato più importante, e sapere che esce sempre dallo studio con serenità ci rende orgogliosi del lavoro svolto. Un caro saluto da tutto lo staff di élite odontoiatrica Caronno


  • R

    Una professionista del settore.
    Mi trovo molto bene sia io che mia figlia

    • Attenzione durante la visita
     • Élite Odontoiatrica Caronno bite  • 

    Élite Odontoiatrica Caronno

    La ringraziamo per aver condiviso la sua esperienza. Siamo felici che lei e sua figlia vi troviate bene con la D.ssa Motta: la cura e l’attenzione verso i pazienti di tutte le età sono per noi fondamentali.


  • G

    Sempre attenta e disponibile a dare spiegazioni. Controllo sempre con consigli da seguire.

    • Attenzione durante la visita
    • Spiegazioni dettagliate
     • Élite Odontoiatrica Caronno allineatori dentali  • 

    Élite Odontoiatrica Caronno

    Grazie per le sua recensione!
    Siamo felici che abbia apprezzato l’attenzione e la disponibilità della D.ssa Motta. L'aspettiamo presto!


Si è verificato un errore, riprova