Via Venezia 36, Pescara 65121
Per ulteriori info e prenotazioni, sono reperibile: 085386258
Leggi di più19/11/2025
Via Venezia 36, Pescara 65121
Per ulteriori info e prenotazioni, sono reperibile: 085386258
Leggi di più19/11/2025
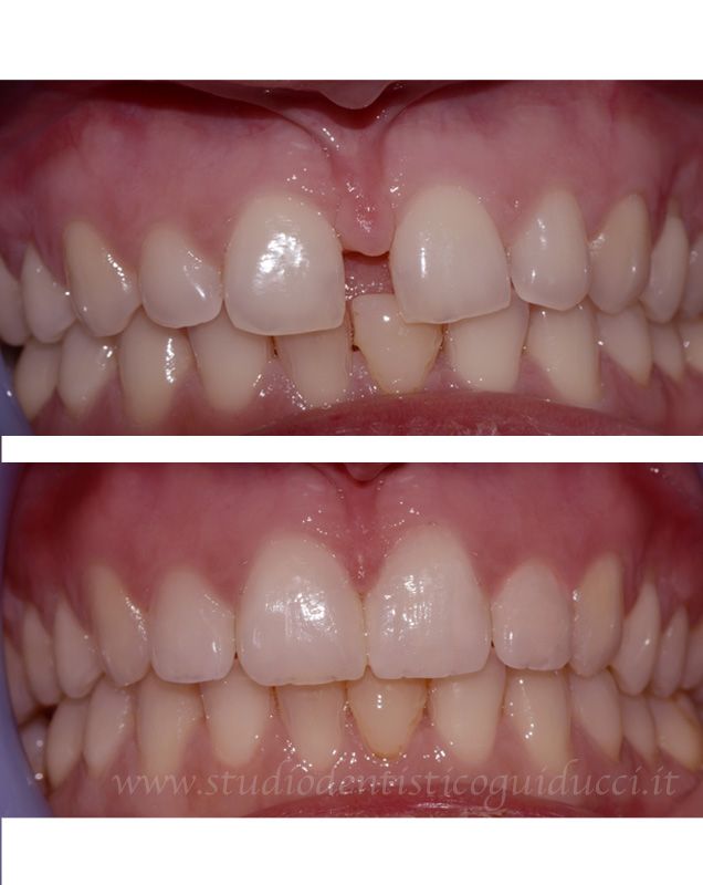
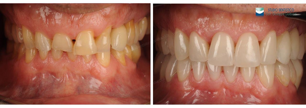
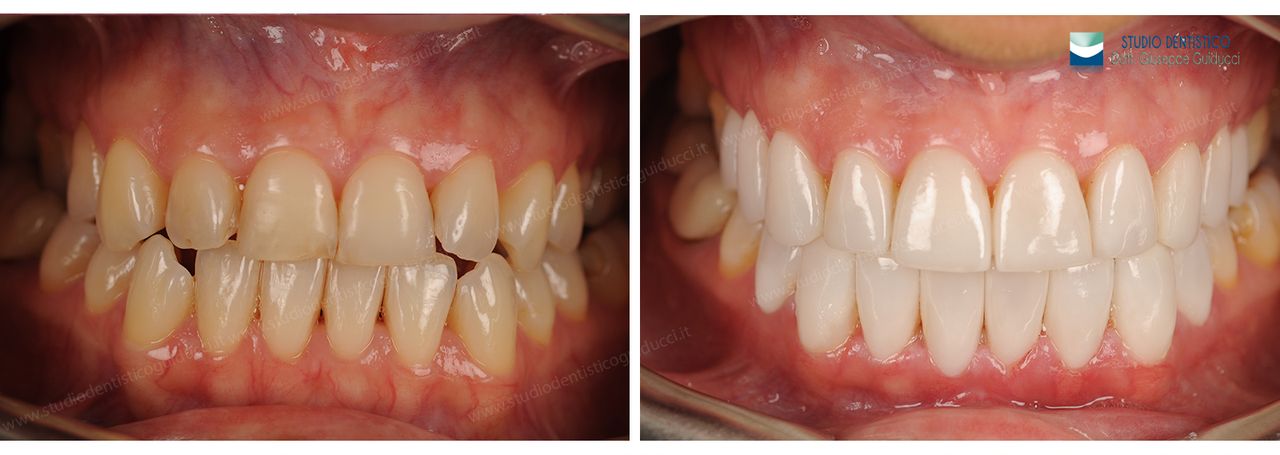
Il Dott. Giuseppe Guiducci dentista a Pescara dirige uno studio che adotta le tecnologie più avanzate in campo odontoiatrico in grado di garantire trattamenti terapeutici e riabilitivi complessi in condizioni ottimali per il paziente. Particolare risalto viene rivolto all'implantologia mini invasiva computer guidata attraverso il software NOBEL CLINICIAN, all'utilizzo delle faccette estetiche in ceramica integrale, all'ortodonzia con mascherine trasparenti e all'utilizzo del laser come terapia coadiuvante per contrastare la malattia parodontale. Nell'ottica di un continuo aggiornamento, essendo le terapie odontoiatriche in continua evoluzione e potendo disporre di tecniche sempre più efficaci per risolvere i problemi dei singoli pazienti, il dottore segue ogni anno in Italia e all’Estero numerosi corsi di "Educazione continua in medicina" certificati a livello nazionale ed internazionale.
36 recensioni
L’ambiente è pulitissimo e moderni e si respira un clima sereno. Il dottore ha una mano leggera e mi ha fatto superare la paura del dentista che avevo da anni. Il risultato è stato oltre le aspettative e finalmente posso sorridere senza imbarazzo. Un grazie di cuore anche alle assistenti, sempre gentili e disponibili. Consiglio assolutamente
Cercavo un dentista a Pescara, mi sono rivolta a questo studio per un intervento di implantologia e per migliorare anche l’estetica del mio sorriso. Fin dal primo appuntamento ho trovato grande professionalità e disponibilità: mi hanno spiegato con chiarezza ogni passaggio e mi sono sentita subito seguita e al sicuro.
L’intervento è stato meno invasivo di quanto immaginassi e il decorso post-operatorio è stato gestito con attenzione e puntualità. Il risultato estetico è davvero oltre le aspettative: finalmente posso sorridere senza più imbarazzo.
Un team competente, gentile e attento alla paziente: lo consiglio a chiunque cerchi qualità e serietà.
Cordialità, professionalità, pulizia molto dettagliata!
Tutto ottimo, dal trattamento all'attenzione. Studio nuovo e curato.
Alla prima visita già avevo deciso di affidarmi a questo studio odontoiatrico. Cortesia, chiarezza nei trattamenti e nel prospetto economico, dettagliato e reale, professionalità come rare volte ho trovato in studi medici! Assolutamente consigliato.
Ambiente molto curato e pulito,staff gentile,gradevole e professionale,mi sono sentita subito a mio agio!tecniche e macchinari all avanguardia!!!sono rimasta molto soddisfatta della prestazione!! straconsiglio e ci tornerò sicuramente!!! complimenti per la cura di tutto,grazie tanto al dottor Guiducci e al suo staff!!!
Studio e trattamenti moderni. Hanno i macchinari per fare la panoramica e le lastre di cui hanno bisogno. Non perdono e non fanno perdere tempo, hanno risolto il mio problema al primo appuntamento. Indossano la mascherina e sono attenti all'igiene.
Professionalità, un ambiente pulito, giovane ed organizzato e cordialità.
Ho fatto una delle più belle sedute di igiene orale; la dottoressa è stata fantastica, gentilissima ed estremamente professionale. Consigliatissima!
Professionalità, disponibilità e cortesia: un'esperienza decisamente positiva, che ripeterò. Nessun dolore e spiegazioni sempre chiare e dettagliate abbinate a utili consigli su come migliorare la propria routine per l'igiene orale quotidiana. In una parola: consigliatissimo.
Accoglienza gentile all’orario previsto. Un ambiente accogliente. Chiarezza e completezza delle informazioni ricevute.
ha risposto a 1 domande da parte di pazienti di MioDottore
Dentista bravo con prezzi giusti a Ortona
Soffro di paradontite con perdita gia di alcuni denti, interessato alla terapia con laser
Gentile paziente, se interessato puo prenotare una visita gratuita per valutare al meglio il suo caso ed intervenire eventualmente con sedute d'igiene e courettage mirate, coadiuvate da terapia laser, colgo l'occasione per salutarla cordialmente. Dott. Giuseppe Guiducci
Tutti i contenuti pubblicati su MioDottore.it, specialmente domande e risposte, sono di carattere informativo e in nessun caso devono essere considerati un sostituto di una visita specialistica.