Esperienze
Mi sono laureato in Odontoiatria e Protesi Dentaria nel 2019, dopo un percorso di studi universitari iniziato nel 2015, durante il quale ho costruito basi solide sia teoriche sia cliniche. Fin dai primi anni ho compreso che la chirurgia sarebbe stata il cuore della mia attività professionale, spingendomi a proseguire con una formazione specialistica mirata.
Dal 2020 al 2022 ho frequentato un Master in Chirurgia Orale e Implantologia Avanzata, approfondendo la gestione dei casi complessi, la pianificazione implantare e le tecniche di rigenerazione ossea. Successivamente, tra il 2022 e il 2023, ho conseguito un Master in Implantologia Orale Avanzata e Implantologia Immediata, perfezionando protocolli chirurgici predicibili e orientati alla stabilità a lungo termine.
Ho inoltre partecipato a corsi di chirurgia orale e rigenerativa con professionisti di rilievo internazionale come Luca De Stavola e Istvan Urban, esperienze che hanno arricchito il mio approccio clinico sia dal punto di vista tecnico sia biologico.
Svolgo il mio lavoro con passione e senso di responsabilità. Ritengo fondamentale costruire un rapporto di fiducia attraverso l’ascolto e una comunicazione chiara e trasparente. Dedico particolare attenzione ai pazienti che provano paura o ansia nei confronti delle cure odontoiatriche: mi impegno a comprendere le loro emozioni, a spiegare ogni passaggio con calma e a creare un ambiente sereno e rassicurante. Il mio obiettivo è trasformare un momento vissuto con timore in un’esperienza gestita con consapevolezza, tranquillità e sicurezza.
Aree di competenza principali:
- Chirurgia orale
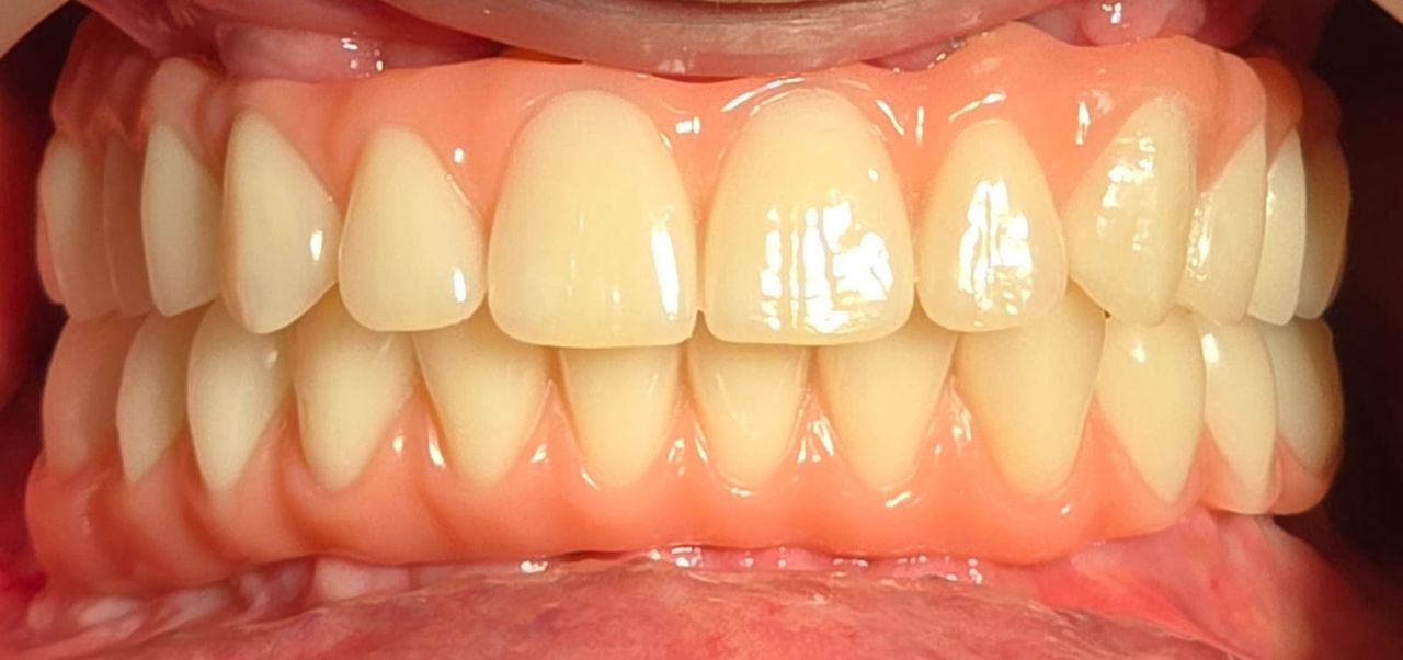
- Protesi dentaria
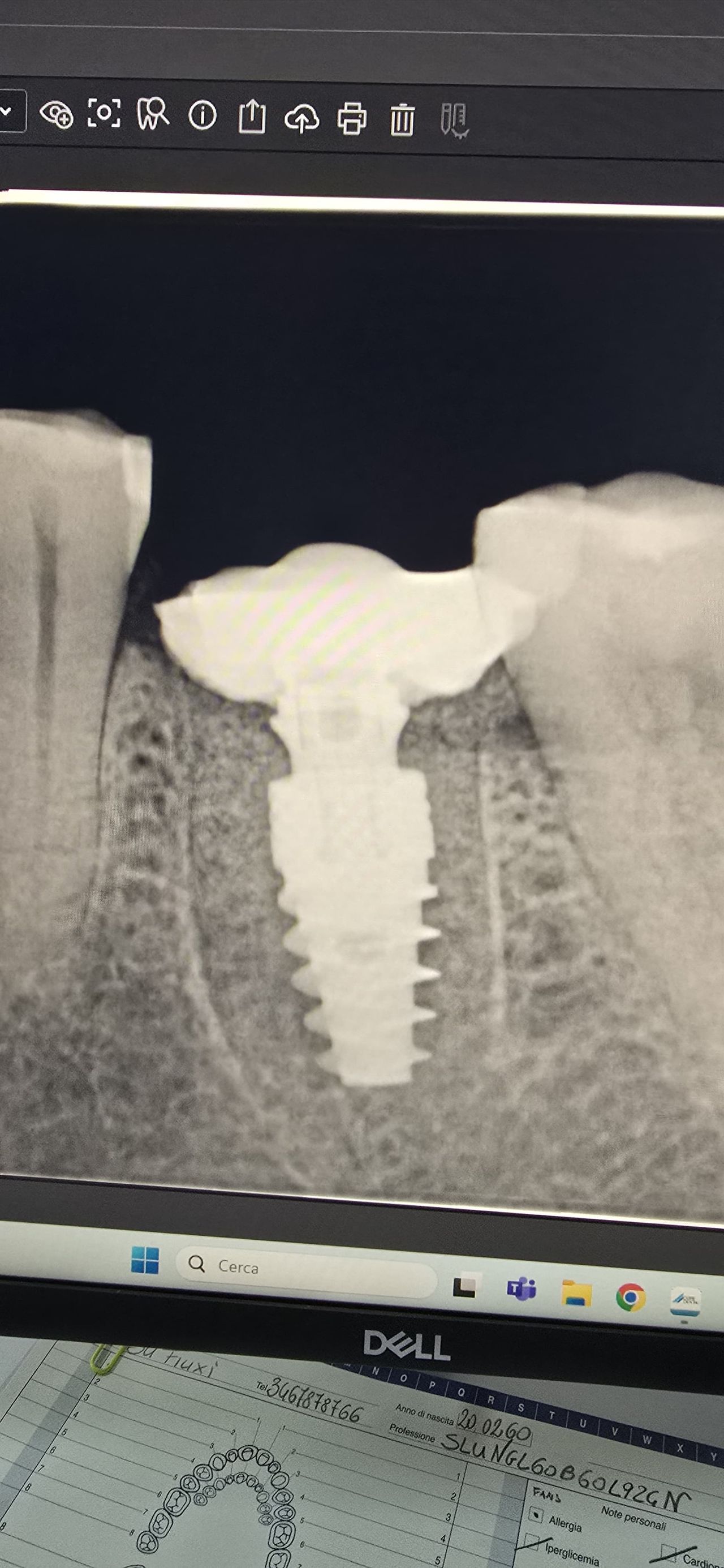
- Implantologia
- Parodontologia
Principali patologie trattate
- Ascessi dentali
- Parodontosi
- Disordini temporo-mandibolari (ATM)
- Parodontite
- Mal di denti
- +21 a11y_sr_more_diseases
Presso questo indirizzo visito
Tipologia di visite
Highlights
-
Sinergia tra implantologia orale-estetica dentaleFormazione continua in ambito chirurgicoPazienza e cura dei dettagli
-
Dentista altamente qualificato e molto professionale. Fornisce spiegazioni chiare e lavora con grande cura e attenzione. Studio accogliente e ben organizzato.
AltroStefania S. -
Il dott.Federico mi ha fatto subito sentire a mio agio, ho eseguito un trattamento riguardante il posizionamento di impianti e capsule. Sono pienamente soddisfatta del lavoro, sopratutto perché ho sup...
AltroGiulia -
Mi sono affidata a Federico per l’estrazione dei 4 denti del giudizio. Da persona ansiosa e terrorizzata dagli studi dentistici, posso affermare che Federico sia il miglior dentista che potessi scegli...
AltroGiorgia
Prestazioni e prezzi
-
Prima visita dentistica
Prestazione gratuita -
-
Estrazione di dente deciduo
Da 80 € -
-
Filler
Da 300 € -
-
Faccette dentali
Da 700 € -
-
Estrazione semplice di dente o radice
Da 100 € -
-
-
-
-
-
-
-
-
-
-
-
-
-
-
-
-
-
-
-
-
-
-
-
-
-
-
-
-
-
-
-
-
-
-
-
-
-
-
-
-
-
-
-
-
-
-
-
-
-
-
-
-
-
-
-
-
-
-
-
-
-
-
-
-
-
-
-
Indirizzi (2)
Via Goffredo Mameli 115, Entrata dal cancello automatico, Cagliari 09123
Disponibilità
Telefono
Via Giuseppe Mazzini, 39, Villacidro 09039
Disponibilità
Telefono
Galleria
Convenzioni assicurative non attive
Questo dottore accetta solo pazienti privati. Verrà richiesto un pagamento da parte tua per la prestazione o puoi ricercare un altro dottore che abbia una convenzione con la tua assicurazione
Recensioni
17 recensioni
Più menzionato dai pazienti
- Attenzione durante la visita
- Spiegazioni dettagliate
- Efficacia del trattamento
In risalto
-
S
Stefania S.
Dentista altamente qualificato e molto professionale. Fornisce spiegazioni chiare e lavora con grande cura e attenzione. Studio accogliente e ben organizzato.
- Attenzione durante la visita
- Spiegazioni dettagliate
- Efficacia del trattamento
- Ottimo studio
- Puntualità
• Studi odontoiatrici Dr.Cabiddu (Cagliari) • Altro •
-
G
Giulia
Il dott.Federico mi ha fatto subito sentire a mio agio, ho eseguito un trattamento riguardante il posizionamento di impianti e capsule.
Sono pienamente soddisfatta del lavoro, sopratutto perché ho superato la paura del dentista.
Eccellente professionista super consigliato.- Attenzione durante la visita
- Spiegazioni dettagliate
- Efficacia del trattamento
• Studi odontoiatrici Dr.Cabiddu (Cagliari) • chirurgia parodontale •
-
G
Giorgia
Mi sono affidata a Federico per l’estrazione dei 4 denti del giudizio. Da persona ansiosa e terrorizzata dagli studi dentistici, posso affermare che Federico sia il miglior dentista che potessi scegliere. Un vero professionista che ha risposto ad ogni mia domanda con spiegazioni dettagliate e tantissima pazienza. Un professionista che è riuscito a tranquillizzarmi e placare la mia ansia tra una risata e l’altra. L’intervento e il post, è andato benissimo. Consiglio!!
- Attenzione durante la visita
- Spiegazioni dettagliate
- Efficacia del trattamento
• R&S Dental Clinic • Altro •
-
A
Antonio Matta
Mi sono rivolto al dott. Cabiddu per un lavoro di impianti, ho trovato una persona molto professionale . Sono pienamente soddisfatto.
- Attenzione durante la visita
- Spiegazioni dettagliate
- Efficacia del trattamento
- Puntualità
• Studi odontoiatrici Dr.Cabiddu (Cagliari) • chirurgia parodontale •
-
M
M R Bussu
Esperienza molto positiva. Studio organizzato, personale cordiale e dentista estremamente preparato e rassicurante. Grande attenzione verso il paziente
- Attenzione durante la visita
- Spiegazioni dettagliate
- Efficacia del trattamento
- Ottimo studio
- Puntualità
• Studi odontoiatrici Dr.Cabiddu (Cagliari) • capsula dentale •
-
F
Francesca
Un giovane ragazzo, appassionato del suo lavoro, preparato, attento ai dettagli, super consigliato. Grazie dottore per la sua professionalità
- Attenzione durante la visita
- Spiegazioni dettagliate
- Efficacia del trattamento
• Studi odontoiatrici Dr.Cabiddu (Cagliari) • impianto di protesi dentaria •
-
E
E.B
mi sono trovata benissimo! Il dottore è stato super professionale ma anche molto simpatico e alla mano. Mi ha spiegato tutto con calma e il risultato del filler alle labbra è naturale e curato nei dettagli. Ambiente accogliente.
Consigliatissimo!- Attenzione durante la visita
- Spiegazioni dettagliate
- Ottimo studio
- Puntualità
• Studi odontoiatrici Dr.Cabiddu (Cagliari) • filler labbra •
-
C
Cosimo
Ottimo medico. Attento e scrupoloso nel lavoro. Mi ha fatto sentire a mio agio malgrado la mia naturale inclinazione alla paura del dentista.
- Attenzione durante la visita
• Studi odontoiatrici Dr. Cabiddu (Villacidro) • applicazione di corona e perno •
-
S
Sebastian
Il Dottore e la sua assistente sono stati molto cordiali e professionali, ho tolto il dente del giudizio e non ho sentito alcun dolore.
- Attenzione durante la visita
- Spiegazioni dettagliate
- Efficacia del trattamento
- Ottimo studio
- Puntualità
• Studi odontoiatrici Dr.Cabiddu (Cagliari) • estrazione dente del giudizio •
-
S
Susanna S
Professionalità, gentilezza e serietà contraddistingue lo studio del dottor Federico Cabiddu
• Studi odontoiatrici Dr. Cabiddu (Villacidro) • capsula dentale •