Esperienze
Laureato in Odontoiatria presso UNIVERSITA DEGLI STUDI DI SIENA. Iscritto all'Ordine degli Odontoiatri di Avellino.
Perché scegliere me?
Anni di esperienza al tuo servizio
Oltre 10 anni di esperienza
Formazione costante
Recensioni comprovate
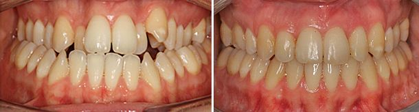
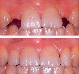
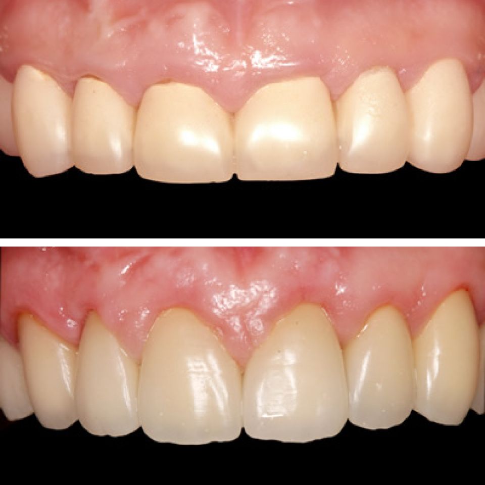
Aree di specializzazione principali
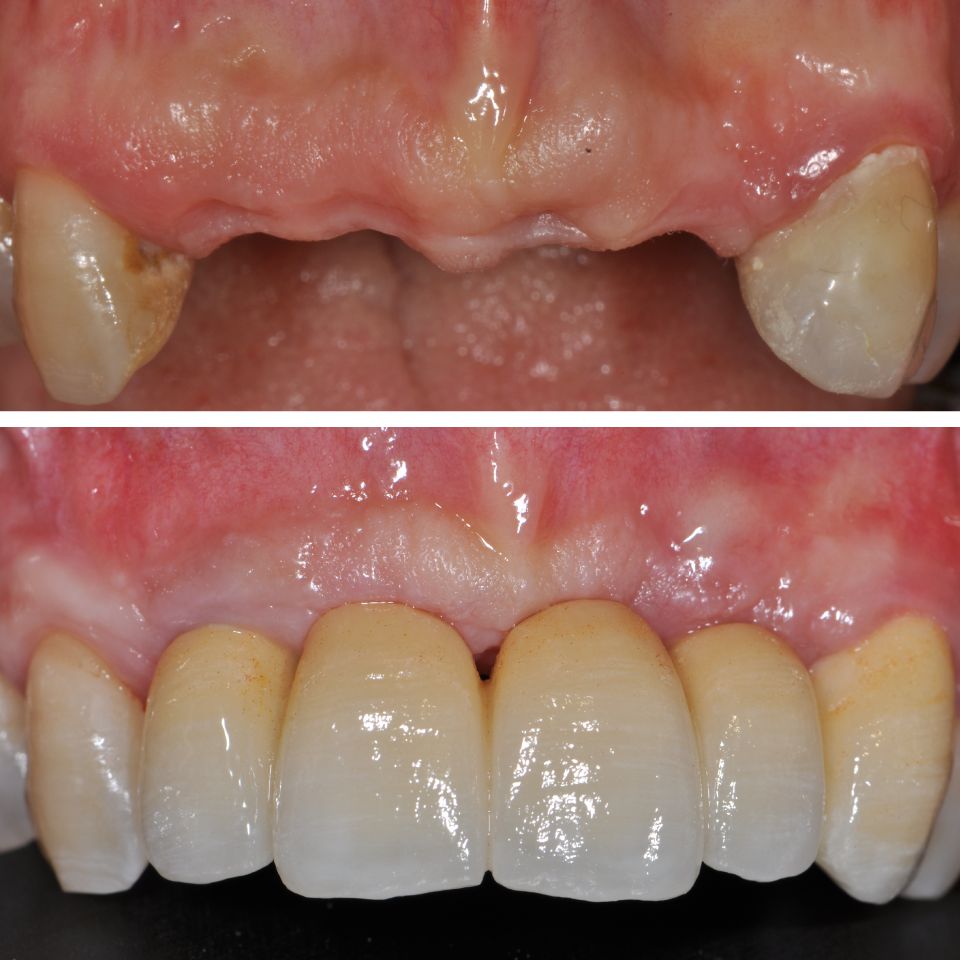
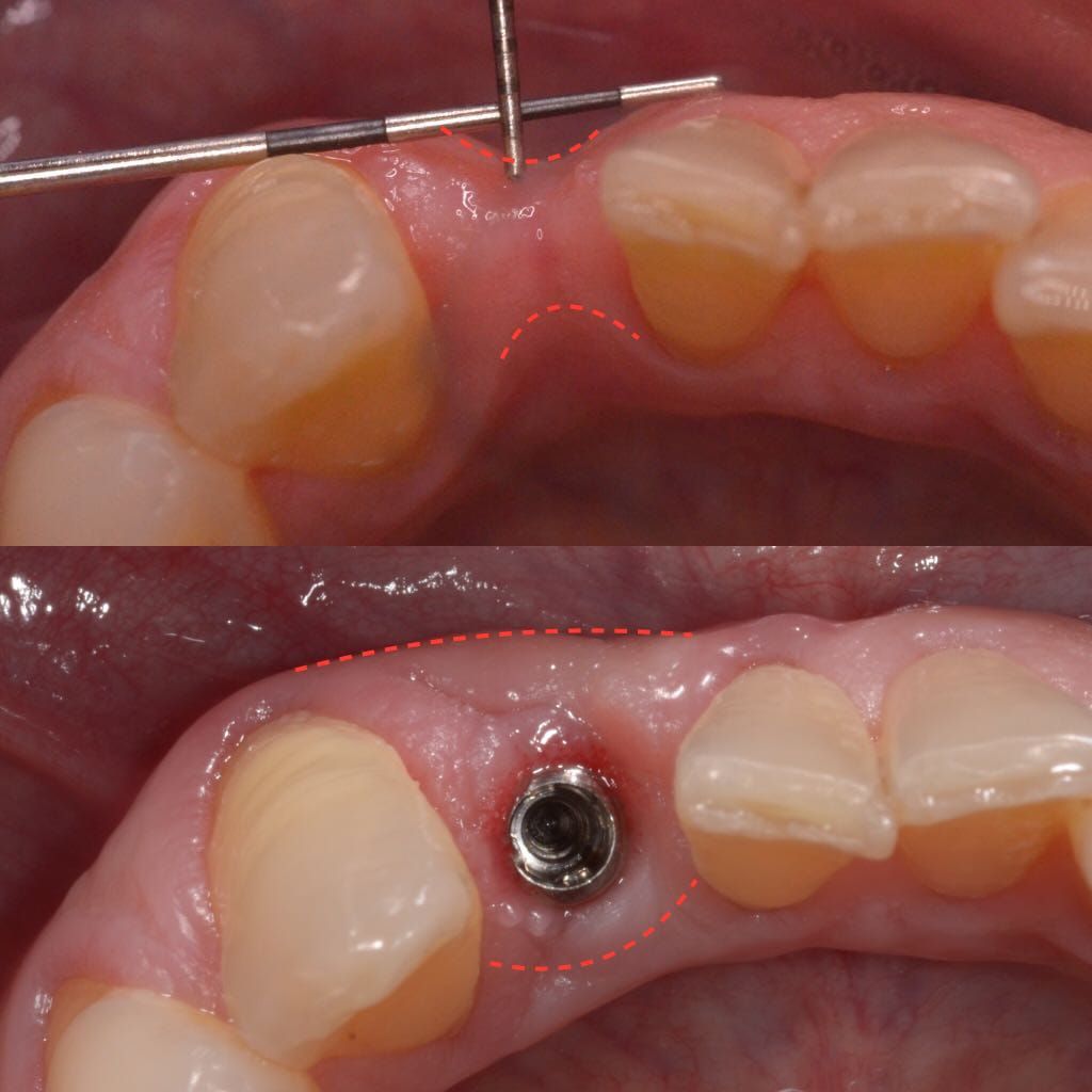
Implantologia
Chirurgia
Parodontologia
Ortodonzia
Parodontologia
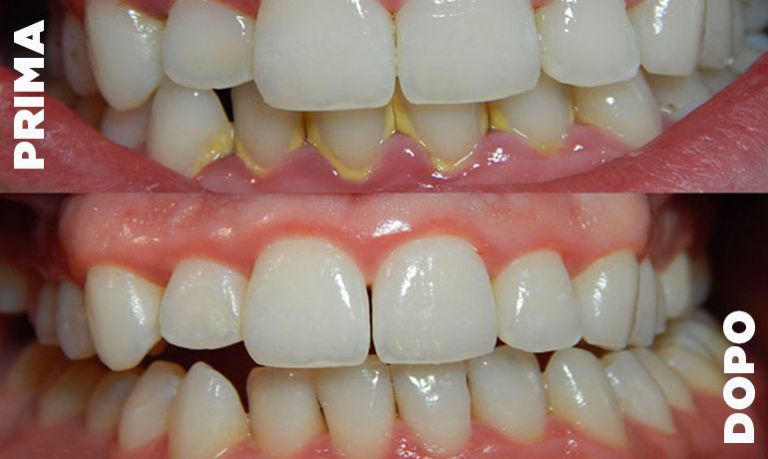
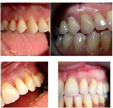
Igiene & Prevenzione
Estetica
Il mio studio e il mio staff
Professionalità, Qualità e Trasparenza
Qualità senza compromessi
Trasparenza totale
Assistenza continua
Professionisti del Sorriso
Specialisti dedicati
Trattamenti su misura
Cura per i dettagli
Altro su di me
Tecnologie Avanzate
Il nostro studio offre le più recenti tecnologie e trattamenti per risolvere i problemi dentali in modo efficace e confortevole.
Sedazione Cosciente
Affronta i trattamenti in serenità, senza dolore o ansia, grazie a un metodo sicuro che ti permette di rilassarti mantenendo il controllo.
Finanziamenti
Offriamo piani di pagamento personalizzati per rendere i nostri trattamenti accessibili, senza compromettere la qualità o la tua tranquillità economica.
Aree di competenza principali:
- Chirurgia odontostomatologica
- Odontoiatria
- Chirurgia orale
- Implantologia
Principali patologie trattate
- Carie dentaria
- Gengivite
- Pulpite
- Malattia parodontale
- Protesi
- +12 a11y_sr_more_diseases
Presso questo indirizzo visito
Foto e video
Highlights
-
Parodontologia ed EsteticaOrtodonzia ed ImplantologiaIgiene e Prevenzione
-
Il Dott. Christian Caputo offre competenza, professionalità e disponibilità verso il cliente. Un ambiente pulito che osserva tutte le accortezze nel rispetto delle norme igieniche. Mi sono trovata sub...
AltroVanessa -
Il dottore è sempre puntuale e professionale, mostra grande disponibilità, gentilezza ed empatia, fa sentire a suo agio il paziente, è chiaro nelle spiegazioni e applica tecniche aggiornate.
AltroV. Tufano -
Prima visita, empatia e gentilezza sia da parte del dottor Caputo, che, del personale alla reception. Molto disponibili e sensibili (che in un dentista serve sempre )
AltroMaria Pia Aprea
Indirizzi (2)
Via Circumvallazione 58, Avellino 83100
Disponibilità
Telefono
Pazienti accettati
- Pazienti senza assicurazione sanitaria
Disponibilità
Telefono
Pazienti accettati
- Pazienti senza assicurazione sanitaria
Galleria
Prestazioni e prezzi
-
Consulenza online
Prestazione gratuita -
-
Prima visita odontoiatrica
-
-
Ablazione
Da 50 € -
-
Devitalizzazione
Da 150 € -
-
Estrazione di denti e radici
Da 50 € -
-
-
-
-
-
-
Recensioni
82 recensioni
In risalto
-
V
Vanessa
Il Dott. Christian Caputo offre competenza, professionalità e disponibilità verso il cliente. Un ambiente pulito che osserva tutte le accortezze nel rispetto delle norme igieniche. Mi sono trovata subito a mio agio. Consiglio vivamente!
• Studio Odontoiatrico Caputo • sbiancamento dentale •
-
V
V. Tufano
Il dottore è sempre puntuale e professionale, mostra grande disponibilità, gentilezza ed empatia, fa sentire a suo agio il paziente, è chiaro nelle spiegazioni e applica tecniche aggiornate.
• Studio Odontoiatrico Caputo • devitalizzazione •
-
M
Maria Pia Aprea
Prima visita, empatia e gentilezza sia da parte del dottor Caputo, che, del personale alla reception. Molto disponibili e sensibili (che in un dentista serve sempre )
• Studio Odontoiatrico Caputo • prima visita odontoiatrica •
-
G
Giuseppe Troisi
Il Dottore Caputo, oltre ad essere un professionista eccellente e competente, è una persona molto umana perchè mi ha messo immediatamente a mio agio e tranquillizzato nell'estrazione di un dente, per cui consiglio vivamente tutti quelli che leggono questa mia recensione di affidarsi e fidarsi del Dottore Caputo.
• Altro • Altro •
-
P
Mancanza totale di professionalità ed educazione. Il medico non si é presentato in appuntamento sia mercoledì 26/11 alle 18:30 sia oggi 28/11 alle 15 senza minimamente avvertire
• Studio Odontoiatrico Caputo • Altro •
-
G
G. Q.
Molto professionale, ha dato le spiegazioni da me richieste, simpatico e disponibile!
• Altro • Altro •
-
N
Nusco Antonella
Professionista accorto e preciso con studio pulito ed efficace
• Studio Odontoiatrico Caputo • estrazione di denti e radici •
-
M
Maurizio Gaeta
Eccellente professionista premuroso attento e preciso
• Studio Odontoiatrico Caputo • prima visita odontoiatrica •
-
D
Donato Gallifoco
Grande professionista, premuroso preciso e a confronto con tanti altri anche risparmio so.
• Studio Odontoiatrico Caputo • implantologia •
-
T
TERESA
Professionista preparato e attento alle necessità del cliente.
• Studio Odontoiatrico Caputo • Altro •
Risposte ai pazienti
ha risposto a 19 domande da parte di pazienti di MioDottore
Salve.Quando un medico realizza una protesi fissa a un paziente non ha l'obbligo di fargli firmare un consenso?E' normale fare direttamente la definitiva senza prima un provvisorio?E' normale rilasciare soltanto la fattura in cui non viene dettagliato il prezzo della protesi e il dente in questione?Non e' obbligatorio il rilascio della certificazione dei materiali?Non sarebbe buona norma effettuare una rx endorale prima e dopo i lavori o effettuare un sondaggio parodontale prima visto che ho tasche parodontali in altri distretti dentali ? Mi sembra che alcuni medici facciano questo lavoro con troppo superficialita' e chi ci rimette e' il portafoglio del paziente e la sua salute
Il consenso informato è necessario farlo firmare e scrivere dal paziente .
Il provvisorio è necessario per motivi estetici e per condizionare i tessuti .Nella fattura è necessario per legge descrivere dettagliatamente l' iter terapeutico .I materiali adoperati devono essere certificati . Per limitare l' assunzione di raggi x, puo' essere utile eseguire un meticoloso sondaggio parodontale da riportare in cartelle clinica .
Salve. Mi sono state riscontrate alcune tasche parodontali e riassorbimento osseo ma il preventivo l'ho giudicato eccessivo anche perchè le tasche non le su tutti i denti e sono ben informato sul fatto che vada prima redatta una accurata cartella parodontale e rx endorale magari un full. Perche' per lo stesso trattamento il costo del preventivo può essere anche il triplo? E' corretto sondare in 6 punti di ogni dente le gengive e effettuare il curettage soltanto dove necessario poiche' il curettage e scaling in assenza di tasche patologiche potrebbe crearle di origine iatrogena? L'osso perduto dovrebbe riformarsi se il riassorbimento e' verticale? E' indispensabile la cura antibiotica e l'uso dell'anestesia?
La cartella clinica o parodontale è necessaria .Il check up parodontale prevede 16 endorali .Le terapie parodontali possono essere dannose se non eseguite correttamente .L' osso perduto per patologie parodontali puo' essere ricreato seguendo opportuni percorsi .L' antibiotico specifico può essere adoperato .I trattamenti parodontali necessitano di anestesia .
Tutti i contenuti pubblicati su MioDottore.it, specialmente domande e risposte, sono di carattere informativo e in nessun caso devono essere considerati un sostituto di una visita specialistica.