Dott.ssa Veronica Dominici

Dentista · Altro

16 recensioni
Tempo medio di risposta:

Esperienze

Ciao,
sono Veronica Dominici, classe 1987.
Nasco e vivo a Bologna, città di cui sono eternamente innamorata.
A tredici anni avevo già deciso di voler fare ‘la dentista’ e, come vedi, amo mantenere le promesse.
Dopo la maturità classica mi sono laureata in Igiene Dentale presso l’Ateneo di Bologna, ma il mio sogno era ancora quello di fare l’odontoiatra, per cui ho fatto il relativo test d’ingresso e, dopo un anno di Medicina, esaudisco il mio desiderio e frequento la facoltà di Odontoiatria presso l’Ateneo di Ferrara.
Dopo la laurea ho frequentato studi dentistici privati che mettevano le tecniche più avanzate al servizio dei pazienti.
Ancora oggi mi formo costantemente in quanto l’odontoiatria è una branca in continua evoluzione e di conseguenza necessita di una formazione ricorrente al fine di fornire ai pazienti tecniche sempre aggiornate.
Sono esperta nelle discipline chirurgiche e implantari, nelle ricostruzioni dentali estetiche e nelle tecniche di miglioramento estetico del sorriso e del viso.
Svolgo questo mestiere con passione e mi confronto con i pazienti che, come me, credono che un bel sorriso sia importante per il proprio benessere psico-fisico.
Amo rendere le persone libere di esprimersi attraverso il loro sorriso.
Una parte fondamentale del mio lavoro nasce dal dialogo con il paziente.
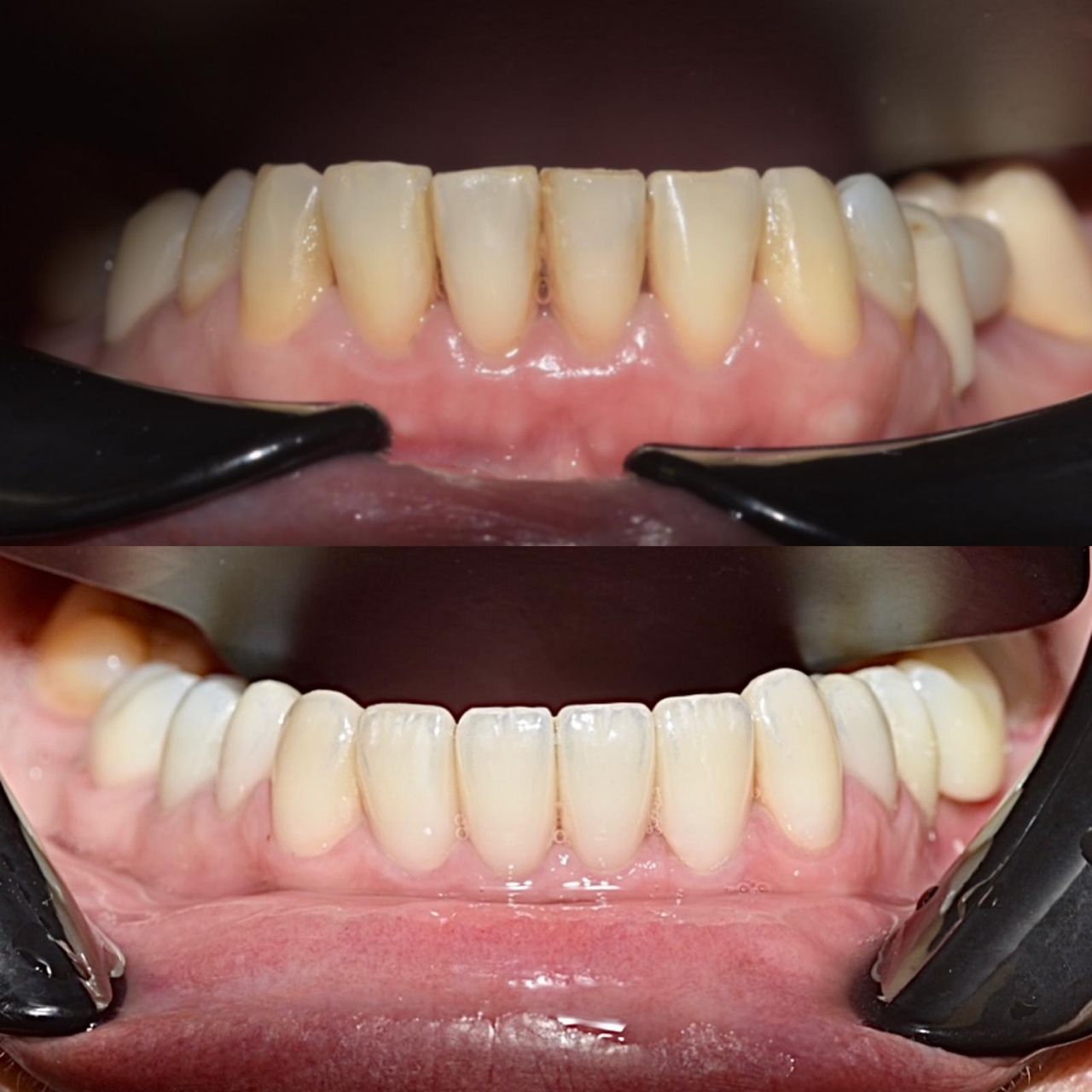
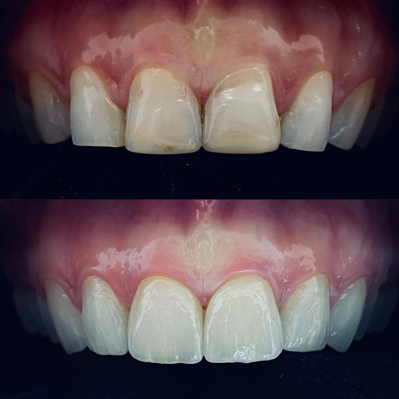
Grazie a fotografie, video e supporti iconografici imprescindibili per una moderna odontoiatria, pianifico il programma migliorativo e risolutivo per una soluzione definitiva del sorriso.
Altro Su di me

Aree di competenza principali:

  • Odontoiatria
  • Odontoiatria estetica
  • Igiene dentale
  • Protesi dentaria

Tipologia di visite

Foto e video

Prestazioni e prezzi

  • Visita odontoiatrica

    100 €

  • Visita di medicina estetica

    100 €

  • Igiene dentale

    Da 100 €

  • Ablazione + sbiancamento

    Da 120 €

  • Otturazione

    Da 160 €

Indirizzo

Vedi mappa si apre in una nuova scheda
Poliambulatorio Mg e Centro Dermatologico

Via Irnerio 53, Bologna 40126

Disponibilità

Telefono

051 019...

Pazienti accettati

  • Pazienti senza assicurazione sanitaria
Vedi mappa si apre in una nuova scheda

16 recensioni

Tutte le recensioni contano e non possono essere rimosse o modificate dai dottori a proprio piacimento. Scopri come funziona il processo di moderazione delle recensioni. Per saperne di più sulle opinioni
  • F

    Esperienza eccellente con la Dottoressa.
    Empatica, scrupolosa, attenta. Ha compreso le mie esigenze ed ha eseguito un lavoro impeccabile. Mi dispiace non averla conosciuta prima, sicuramente ora non la lascerò più.

     • Poliambulatorio Mg e Centro Dermatologico visita di medicina estetica  • 

  • S

    La Dottoressa Veronica è sempre una garanzia! Professionale e gentile.

     • Poliambulatorio Mg e Centro Dermatologico igiene dentale  • 

  • M

    ottima, competenza, gentilezza e professionalità.

     • Poliambulatorio Mg e Centro Dermatologico  • 

  • A

    Sono andata dalla dottoressa per l’estrazione del dente del giudizio, premetto che avevo una paura folle e rimandavo sempre il momento.
    La dott.sa Dominici mi ha messo a mio agio ed ha ascoltato tutte le mie paure, poi con calma e serenità ha proceduto nel suo lavoro ed io quasi non mi sono accorta di nulla.
    Esperienza molto positiva nonostante la mia paura che da oggi non avrò più!!
    Grazie!!

     • Poliambulatorio Mg e Centro Dermatologico estrazione dentaria  • 

  • F

    è sempre come tornare a casa
    Tutto perfetto risultato sempre ottimale
    Super consigliata

     • Poliambulatorio Mg e Centro Dermatologico ablazione del tartaro  • 

  • V

    Cogliere le necessità individuali in un percorso sanitario è sinonimo di sanità centrata sulla persona. La dott.ssa Dominici riesce a cogliere gli aspetti estetici (ove necessario) e clinici di ciascun paziente. Inoltre è molto attenta al dettaglio, aspetto che in Sanità fa la differenza. Uno dei pochi professionisti cui mi affido in piena tranquillità. Una odontoiatra che consiglio in quanto sa esprimersi al meglio nel suo settore di specializzazione

     • Poliambulatorio Mg e Centro Dermatologico faccette dentali  • 

  • V

    Sempre perfetta come sempre,la dr.a Dominici è veramente brava,mani di velluto

     • Poliambulatorio Mg e Centro Dermatologico ablazione del tartaro  • 

  • L

    Arrivata in anticipo ed entrata in anticipo.
    Anche questa volta più che puntuali e sempre premurosi ed attenti.
    La Dott. è stata accurata e meticolosa, sono uscita soddisfatta del trattamento e del prezzo corrisposto. Ho già prenotato la prox prestazione.

     • Poliambulatorio Mg e Centro Dermatologico igiene dentale  • 

  • N

    La Dottoressa più bella, brava e precisa che ho visto fino adesso nel suo lavoro!!!
    Lo consiglio assolutamente.

     • Poliambulatorio Mg e Centro Dermatologico visita di medicina estetica  • 

  • G

    Ottima dentista, una garanzia su tutto. Visita curata in tutti i particolari, precisa e puntuale

     • Poliambulatorio Mg e Centro Dermatologico igiene dentale  • 

Si è verificato un errore, riprova