Dott. Paolo Chemello

Ortopedico · Altro

Gemona del Friuli 9 indirizzi

91 recensioni
Tempo medio di risposta:

Esperienze

Mi sono laureato in Medicina presso l'Università degli studi di Verona, specializzato in Ortopedia e Traumatologia presso l'università degli studi di Udine. Ho svolto, durante la specializzazione tirocini presso vari centri specialistici. In seguito ho lavorato come dirigente medico presso l'Ospedale Civile di Jesolo diventando facente funzione del primario del reparto di Ortopedia.
Attualmente lavoro come libero professionista presso varie strutture facendo visite ortopediche e terapie infiltrative.
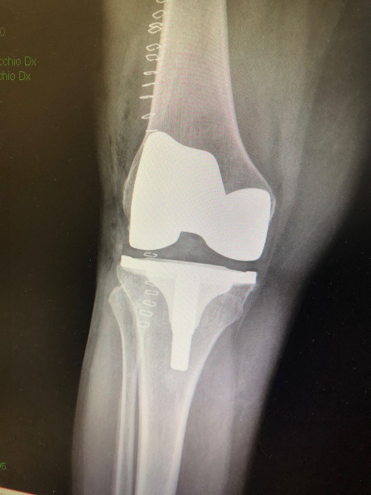
Sono specializzato nell'impianto di protesi di ginocchio ed anca in caso di patologie degenerative artritiche o necrotiche. Utilizzo protesi di ultima generazione, le protesi di ginocchio vengono applicate utilizzando una maschera creata su misura per ogni paziente, quelle di anca sono studiate per ridurre al minimo il rischio di lussazione (principale complicazione di questo tipo di intervento).
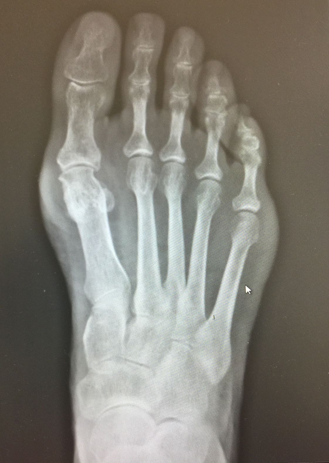
Altro campo del quale mi occupo in modo specifico è la chirurgia mini-invasiva dell'avampiede ( alluce valgo, dito a martello, metatarsalgie). Gli interventi vengono svolti con tagli molto piccoli, senza usare mezzi di sintesi definitivi (viti e camere che rimangono nel piede del paziente), favorendo una ripresa più rapida, con meno dolore per la persona e con un risultato esteticamente migliore.
Altro Su di me

Aree di competenza principali:

  • Ortopedia del ginocchio
  • Ortopedia dell'anca
  • Ortopedia del piede

Presso questo indirizzo visito

Adulti (Solo in alcuni indirizzi)
Bambini (Solo in alcuni indirizzi)

Tipologia di visite

Consulenza online

Foto e video

Indirizzi (10)

Vedi mappa si apre in una nuova scheda
Fisiomed

Via Giosuè Carducci 22, Trieste 34125

Disponibilità

Telefono

0433 5...

Pazienti accettati

  • Pazienti senza assicurazione sanitaria
  • Pazienti con assicurazione sanitaria
Vedi mappa si apre in una nuova scheda
Vedi mappa si apre in una nuova scheda
Studio Dott. Chemello

Via Raimondo della Torre 1, Tolmezzo 33028

Disponibilità

Telefono

0433 5...

Pazienti accettati

  • Pazienti senza assicurazione sanitaria
Vedi mappa si apre in una nuova scheda
Vedi mappa si apre in una nuova scheda
Sanitas Friuli Srl

VIA TABOGA 113/115, Gemona del Friuli

Disponibilità

Telefono

0433 5...

Pazienti accettati

  • Pazienti senza assicurazione sanitaria
  • Pazienti con assicurazione sanitaria
Vedi mappa si apre in una nuova scheda
Vedi mappa si apre in una nuova scheda
Clinica Salenio Rizzola

Via Gorizia 1, San Donà di Piave 30027

Disponibilità

Telefono

0433 5...

Pazienti accettati

  • Pazienti senza assicurazione sanitaria
  • Pazienti con assicurazione sanitaria
Vedi mappa si apre in una nuova scheda
Vedi mappa si apre in una nuova scheda
Nova Salus Struttura Sanitaria

Piazzale Martiri della Libertà d'Italia, 1, Gorizia 34170

Disponibilità

Telefono

0433 5...

Pazienti accettati

  • Pazienti senza assicurazione sanitaria
  • Pazienti con assicurazione sanitaria
Vedi mappa si apre in una nuova scheda
Vedi mappa si apre in una nuova scheda
Riabilita FVG

Via Alpe Adria 6, Udine 33010

Disponibilità

Telefono

0433 5...

Pazienti accettati

  • Pazienti senza assicurazione sanitaria
Vedi mappa si apre in una nuova scheda
Vedi mappa si apre in una nuova scheda
Ideamedica

Via Adriatica 73, Basaldella 33030

Disponibilità

Questo dottore non offre prenotazioni online a questo indirizzo

Telefono

0433 5...

Pazienti accettati

  • Pazienti senza assicurazione sanitaria
  • Pazienti con assicurazione sanitaria
Vedi mappa si apre in una nuova scheda
Vedi mappa si apre in una nuova scheda
Punto Salute

Via dei Carpini 25, Codroipo 33033

Disponibilità

Questo dottore non offre prenotazioni online a questo indirizzo

Telefono

0433 5...

Pazienti accettati

  • Pazienti senza assicurazione sanitaria
  • Pazienti con assicurazione sanitaria
Vedi mappa si apre in una nuova scheda
Vedi mappa si apre in una nuova scheda
SALUS MEDICA LA SQUADRA S.R.L.

Via Po 30, Venezia 30026

Disponibilità

Questo dottore non offre prenotazioni online a questo indirizzo

Telefono

0433 5...

Pazienti accettati

  • Pazienti senza assicurazione sanitaria
  • Pazienti con assicurazione sanitaria
Vedi mappa si apre in una nuova scheda

Disponibilità

Questo dottore non offre prenotazioni online a questo indirizzo

Telefono

0433 5...

Pazienti accettati

  • Pazienti senza assicurazione sanitaria
  • Pazienti con assicurazione sanitaria

Prestazioni e prezzi

  • Visita ortopedica

    Da 120 €

  • Consulenza online

    Prestazione gratuita

  • Prima visita ortopedica

    Da 138 €

  • Visita ortopedica di controllo


  • Acido ialuronico

    Da 60 €

91 recensioni

Tutte le recensioni contano e non possono essere rimosse o modificate dai dottori a proprio piacimento. Scopri come funziona il processo di moderazione delle recensioni. Per saperne di più sulle opinioni
  • C

    Professionista attento e scrupoloso consiglio molto

     • Fisiomed visita ortopedica di controllo  • 

  • T

    Molto professionale e molto umano, attento alla persona.

     • Studio Dott. Chemello visita ortopedica  • 

  • G

    benissimotutto e andato molto bene con chiarezza e cordialità

     • Fisiomed prima visita ortopedica  • 

  • R

    Super ,professionale allo stesso tempo cordiale e alla mano !!!!

     • Studio Dott. Chemello visita ortopedica  • 

  • L

    Ho conosciuto per caso il dottor Paolo Chemello alla Nova Salus e devo dire che è stata una gran fortuna. Fin da subito si percepiscono le sue competenze e l’esperienza nel campo ortopedico: spiegazioni chiare, approccio concreto e grande professionalità. Si capisce immediatamente che sa davvero quello che fa. Consigliatissimo.

     • Nova Salus Struttura Sanitaria prima visita ortopedica  • 

  • Appuntamento ore 12.. puntuale.. ore 12.10 ero già seduta in auto

     • Nova Salus Struttura Sanitaria prima visita ortopedica  • 

  • M

    Specialista competente e chiaro nel linguaggio con il paziente, dotato inoltre di simpatia e cortesia sopraffine.

     • Nova Salus Struttura Sanitaria prima visita ortopedica  • 

  • T

    Sicuro, competente, capace.
    La sanità ha bisogno di medici così.

     • Nova Salus Struttura Sanitaria Altro  • 

  • R

    Spiegazione molto soddisfacente, mi ha soddisfatto

     • Nova Salus Struttura Sanitaria prima visita ortopedica  • 

  • M

    Molto cordiale e preciso. Super puntuale nell'orario che avevo preso.

     • Nova Salus Struttura Sanitaria prima visita ortopedica  • 

Si è verificato un errore, riprova

Risposte ai pazienti

ha risposto a 51 domande da parte di pazienti di MioDottore

Domande su ginocchio

Salve, ho 54 anni e a giugno del 2019 ho fatto l'artoprotesi completa del ginocchio destro. Al controllo annuale ho fatto l'RX sotto carico in due proiezioni il cui referto è : "Protesi bicompartimentale apparentemente ben posizionata ed impiantata. Entesite calcifica del tendine quadricipitale".
Vorrei sapere se l'entesite si potrebbe risolvere in maniera spontanea o se è neccessario intervenire e come?

grazie, saluti

Concorso con il collega

Dott. Paolo Chemello

Domande su visita ortopedica

Buongiorno, ho fatto delle lastre post intervento chirurgico al piede piatto sinistro dove si è riscontrato che la vite posizionata nel calcagno è leggermente uscita. Abbastanza da non riuscire a camminare o appoggiare il piede e neanche da riuscirmi a mettere o tenere un paio di scarpe. Può essere grave? Camminandoci e lavorandoci sopra può peggiorare?

Buona sera. Intanto vorrei sapere quanti anni ha. Poi sarebbe necessario sapere quando ha fatto l’intervento e vedere le radiografie.

Dott. Paolo Chemello
Vedi tutte le risposte

Tutti i contenuti pubblicati su MioDottore.it, specialmente domande e risposte, sono di carattere informativo e in nessun caso devono essere considerati un sostituto di una visita specialistica.