Tempo medio di risposta:

Esperienze

Mi chiamo Luca Luciano e sono un medico ortopedico specializzato nella chirurgia protesica dell’anca e del ginocchio. Da anni mi occupo del trattamento dell’artrosi severa, utilizzando tecniche mini invasive moderne che mi permettono di ridurre il dolore post-operatorio e favorire un recupero più rapido e sereno.

Credo in una chirurgia precisa, attenta e rispettosa dei tessuti. Ogni intervento viene pianificato con cura, valutando la storia clinica, le esigenze e lo stile di vita della persona che ho di fronte. Il mio obiettivo non è solo sostituire un’articolazione consumata, ma restituire qualità di vita, autonomia e sicurezza nei movimenti quotidiani.

Svolgo la mia attività chirurgica principalmente presso Humanitas Gavazzeni di Bergamo, una struttura riconosciuta per l’elevato livello di assistenza e organizzazione. Offro inoltre consulenze specialistiche in Lombardia, Campania e Molise, per garantire ai pazienti un accesso più ampio e diretto alle mie competenze.

Nel mio lavoro metto al centro la persona. Dedico tempo all’ascolto, spiego con chiarezza ogni passaggio del percorso e accompagno il paziente dalla prima visita fino al recupero completo. Ritengo fondamentale creare un rapporto di fiducia, perché affrontare un intervento è prima di tutto un percorso umano.

Partecipo regolarmente a corsi e congressi per aggiornare costantemente le mie competenze e offrire soluzioni sempre più efficaci e sicure. L’innovazione, quando è guidata dall’esperienza e dal buon senso clinico, rappresenta un valore concreto per chi si affida alle mie cure.

Se soffri di dolore all’anca o al ginocchio e senti che questo limita la tua vita, posso aiutarti a valutare il percorso più adatto a te. Puoi trovare maggiori informazioni e prenotare una consulenza visitando il sito www.drlucaluciano.com.

La tua salute merita attenzione, competenza e cura.

Altro Su di me

Aree di competenza principali:

  • Chirurgia del ginocchio
  • Chirurgia dell'anca

Presso questo indirizzo visito

Adulti (Solo in alcuni indirizzi)
Bambini (Solo in alcuni indirizzi)

Tipologia di visite

Consulenza online

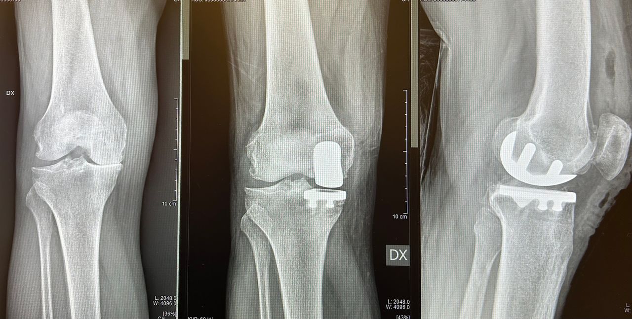
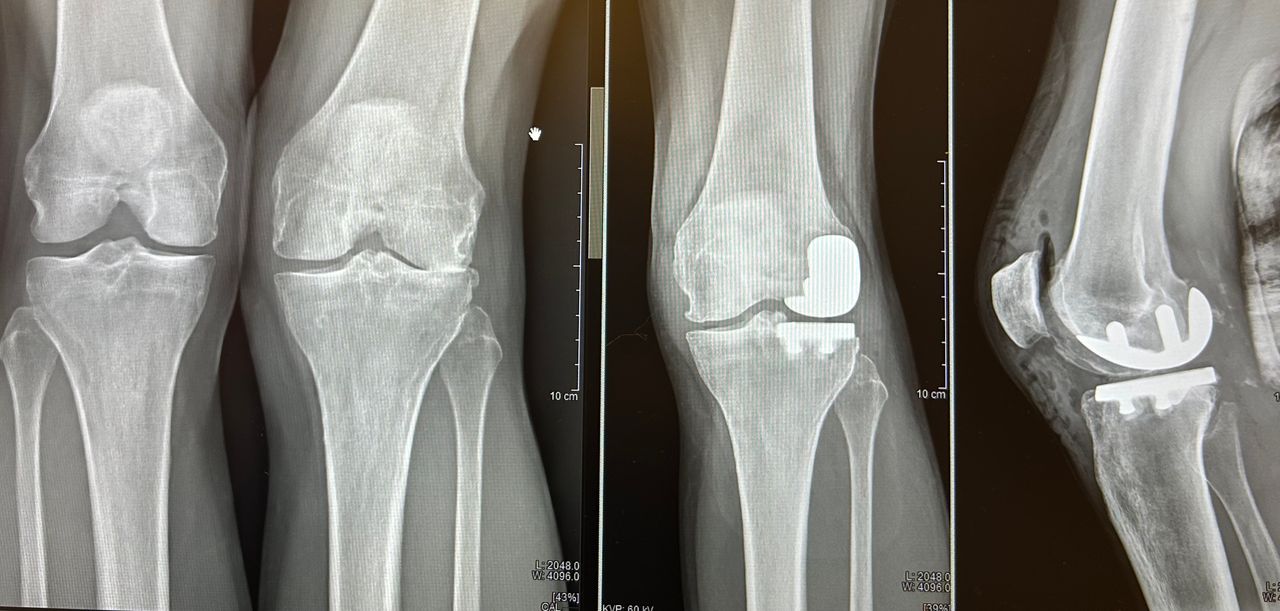
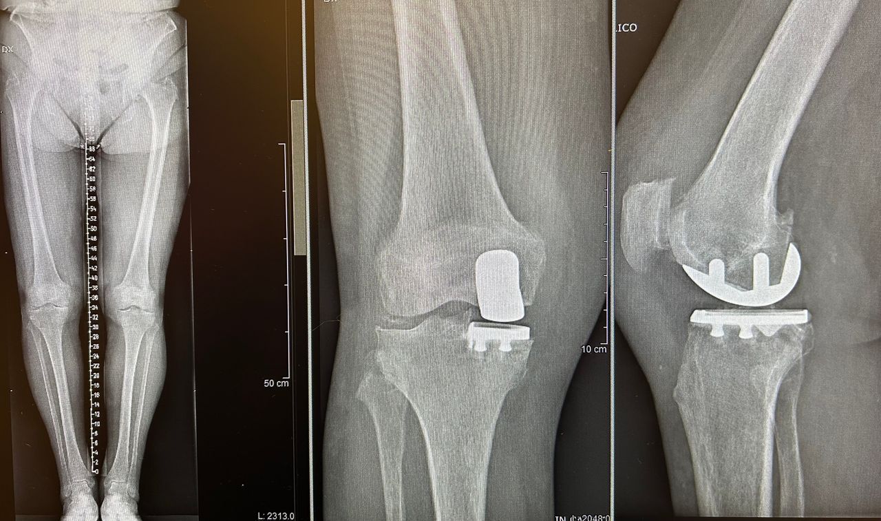
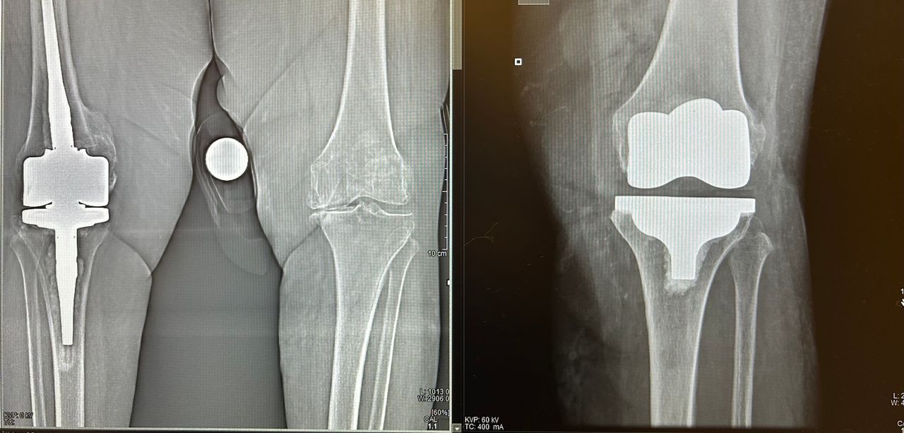
Foto e video

Logo
Dott. Luca Luciano

Via Insorti d'Ungheria, Campobasso 86100

Per una maggiore completezza della visita è utile avere a dispozione almeno una Radiografia standard o Risonanza Magnetica recenti.

16/06/2023

Prestazioni e prezzi

  • Visita ortopedica

    Da 120 €

  • Prima visita ortopedica


  • Visita ortopedica di controllo


  • Prima Visita


  • Consulenza online

    120 €

Indirizzi (19)

Vedi mappa si apre in una nuova scheda
Poliambulatorio FORTIMED

Via Cremasca 24/a ingresso B, Azzano San Paolo

Disponibilità

Telefono

035 5...

Pazienti accettati

  • Pazienti senza assicurazione sanitaria
Vedi mappa si apre in una nuova scheda
Vedi mappa si apre in una nuova scheda
Ospedale Humanitas Gavazzeni

Via Mauro Gavazzeni 21, Bergamo 24125

Disponibilità

Pazienti accettati

  • Pazienti senza assicurazione sanitaria
  • Pazienti con assicurazione sanitaria
Vedi mappa si apre in una nuova scheda
Vedi mappa si apre in una nuova scheda
Humanitas Medical Care Trezzo sull'Adda

Piazza Omodei 1, Trezzo sull'Adda 20056

Disponibilità

Telefono

035 074...

Pazienti accettati

  • Pazienti senza assicurazione sanitaria
  • Pazienti con assicurazione sanitaria
Vedi mappa si apre in una nuova scheda
Vedi mappa si apre in una nuova scheda
MONTISALUS

Viale Europa 1B, Montichiari 25018

Disponibilità

Pazienti accettati

  • Pazienti senza assicurazione sanitaria
Vedi mappa si apre in una nuova scheda
Vedi mappa si apre in una nuova scheda
W&B Poliambulatori

Via Chiusure 58e, Brescia

Disponibilità

Telefono

030 241...

Pazienti accettati

  • Pazienti senza assicurazione sanitaria
Vedi mappa si apre in una nuova scheda
Vedi mappa si apre in una nuova scheda
FISIONER - Studio di fisioterapia e Riabilitazione

Via Adriano Cecioni, Firenze 50142

Disponibilità

Telefono

342 384...

Pazienti accettati

  • Pazienti senza assicurazione sanitaria
Vedi mappa si apre in una nuova scheda
Vedi mappa si apre in una nuova scheda
Centro Medico Polispecialistico San Francesco Antonio Fasani

Via Roma 78, Lucera 71036

Disponibilità

Telefono

0881 5...

Pazienti accettati

  • Pazienti senza assicurazione sanitaria
Vedi mappa si apre in una nuova scheda
Vedi mappa si apre in una nuova scheda
Humanitas Medical Care Almè

Via Castelvaglietti 2a, Almè 24011

Disponibilità

Telefono

035 074...

Pazienti accettati

  • Pazienti senza assicurazione sanitaria
  • Pazienti con assicurazione sanitaria
Vedi mappa si apre in una nuova scheda
Vedi mappa si apre in una nuova scheda
MEDICAL D

Viale Matteotti 40, Sesto ed Uniti 26028

Disponibilità

Telefono

340 251...
340 251...

Pazienti accettati

  • Pazienti senza assicurazione sanitaria
Vedi mappa si apre in una nuova scheda
Vedi mappa si apre in una nuova scheda
NEW CENTER Diagnostica per immagini

Via Regina Margherita 134, Molinara

Disponibilità

Telefono

0824 9...

Pazienti accettati

  • Pazienti senza assicurazione sanitaria
  • Pazienti con assicurazione sanitaria
Vedi mappa si apre in una nuova scheda
Vedi mappa si apre in una nuova scheda
CENTRO MEDICO ARTEMISIA

Via Insorti d'Ungheria, Campobasso 86100

Disponibilità

Telefono

0874...

Pazienti accettati

  • Pazienti senza assicurazione sanitaria
  • Pazienti con assicurazione sanitaria
Vedi mappa si apre in una nuova scheda
Vedi mappa si apre in una nuova scheda
RIGENESIS MeD

Via Francesco Longano 44, Campobasso 86100

Disponibilità

Telefono

377 097...

Pazienti accettati

  • Pazienti senza assicurazione sanitaria
  • Pazienti con assicurazione sanitaria
Vedi mappa si apre in una nuova scheda
Vedi mappa si apre in una nuova scheda
Centro Medico LIFE

Via Giulio Cerulli, San Severo 71016

Disponibilità

Pazienti accettati

  • Pazienti senza assicurazione sanitaria
Vedi mappa si apre in una nuova scheda
Vedi mappa si apre in una nuova scheda
Centro Medico Leonardo Bianchi

Via IV Novembre 45, San Bartolomeo in Galdo 82028

Disponibilità

Telefono

0824 9...

Pazienti accettati

  • Pazienti senza assicurazione sanitaria
  • Pazienti con assicurazione sanitaria
Vedi mappa si apre in una nuova scheda
Vedi mappa si apre in una nuova scheda
My LAB

Via Gerolamo Borgazzi 7, Monza 20900

Disponibilità

Questo dottore non offre prenotazioni online a questo indirizzo

Telefono

039 900...

Pazienti accettati

  • Pazienti senza assicurazione sanitaria
Vedi mappa si apre in una nuova scheda
Vedi mappa si apre in una nuova scheda
Studio Medico Dott. Luciano Ortopedico

Via San Pietro, 31, Castelvetere in Val Fortore 82023

Disponibilità

Questo dottore non offre prenotazioni online a questo indirizzo

Telefono

328 128...

Pazienti accettati

  • Pazienti senza assicurazione sanitaria
Vedi mappa si apre in una nuova scheda
Vedi mappa si apre in una nuova scheda
Studio Medico GMG

Piazza Vincenzo Cuoco 2, Campobasso 86100

Disponibilità

Questo dottore non offre prenotazioni online a questo indirizzo

Pazienti accettati

  • Pazienti senza assicurazione sanitaria
Vedi mappa si apre in una nuova scheda

Disponibilità

Questo dottore non offre prenotazioni online a questo indirizzo

Telefono

328 128...

Pazienti accettati

  • Pazienti senza assicurazione sanitaria
  • Pazienti con assicurazione sanitaria
Vedi mappa si apre in una nuova scheda
MyLAB

Piazzale Guglielmo Marconi, 7D, scala B, Primo piano, Vimercate 20871

Disponibilità

Questo dottore non offre prenotazioni online a questo indirizzo

Telefono

039 596...

Pazienti accettati

  • Pazienti senza assicurazione sanitaria
Vedi mappa si apre in una nuova scheda

38 recensioni

Tutte le recensioni contano e non possono essere rimosse o modificate dai dottori a proprio piacimento. Scopri come funziona il processo di moderazione delle recensioni. Per saperne di più sulle opinioni
  • M

    Molto soddisfatta , ha capito quale è il mio problema,

     • CENTRO MEDICO ARTEMISIA visita ortopedica  • 

  • D

    Ottimo professionista, preciso e attendo ai minimi dettagli,terapia efficace !

     • NEW CENTER Diagnostica per immagini visita ortopedica  • 

  • P

    Professionista,umano Gentilissimo sempre attento e garbato verso pazienti.

     • NEW CENTER Diagnostica per immagini visita ortopedica  • 

  • P

    Professionale e gentile, mi sono trovata benissimo

     • RIGENESIS MeD visita ortopedica  • 

  • M

    Professionalità eccellente, molto preparato,cordiale nel dare spiegazioni

     • Centro Medico Polispecialistico San Francesco Antonio Fasani visita ortopedica  • 

  • A

    Mi sono trovata molto bene, il dottore è molto professionale e preciso nelle spiegazioni, gentilissimo tutto lo staff

     • Centro Medico LIFE visita ortopedica  • 

  • D

    Il dottore Luciano è un ortopedico in cui si coniugano perfettamente professionalità, umanità e grande attenzione, merce rara! Ho effettuato protesi completa di anca e femore in chirurgia miniinvasiva.
    Intervento riuscitissimo(e il mio era un caso piuttosto complesso!), ho camminato bene dai primi giorni, il dottore, con eccesso di scrupolo, ha seguito il decorso e le medicazione fino alla completa guarigione, sempre reperibile per qualsiasi imprevisto. Immensamente grata.

     • Centro Medico Leonardo Bianchi visita ortopedica di controllo  • 

  • C

    Ottima visita e spiegazione con falice comprensione

     • Studio Medico Dott. Luciano Ortopedico visita ortopedica  • 

  • A

    Il Dottor Luca Luciano si è dimostrato un professionista di grande competenza e umanità. Fin dal primo incontro ha saputo spiegare con chiarezza ogni dettaglio dell’intervento all’anca, rassicurandomi e facendomi sentire sempre seguito.

    Nonostante il mio fosse un caso complesso, ha affrontato la situazione con sicurezza e determinazione, proponendo un intervento di protesi d’anca con tecnica mini-invasiva. Il decorso è stato sorprendentemente rapido e il risultato finale eccellente.

    Oltre alla bravura chirurgica, ciò che fa davvero la differenza è la sua vicinanza al paziente: sempre disponibile, attento e capace di trasmettere fiducia anche nei momenti più difficili.

     • CENTRO MEDICO ARTEMISIA visita ortopedica  • 

  • C

    La mia esperienza con il dottor Luciano è stata fantastica! Lui è bravissimo e gentile! Consigliato

     • NEW CENTER Diagnostica per immagini visita ortopedica  • 

Si è verificato un errore, riprova