Tempo medio di risposta:

Esperienze

Aiuto i pazienti a mantenere o ritrovare la loro salute orale.  Se hai problemi di alitosi, gengive che sanguinano posso risolvere il tuo problema con un programma di sedute in professionali e consigliandoti i prodotti giusti e come usarli per la tua routine di pulizia a casa. Non sei soddisfatto del colore dei tuoi denti ? Posso aiutarti a ottenere un sorriso luminoso in modo semplice e delicato. Anche io ho provato da paziente il fastidio di pulizie dentali "pesanti" per questo ho scelto per la mia pratica  professionale attrezzature efficaci, delicate e all'avanguardia.

Altro Su di me

Tipologia di visite

Foto e video

Prestazioni e prezzi

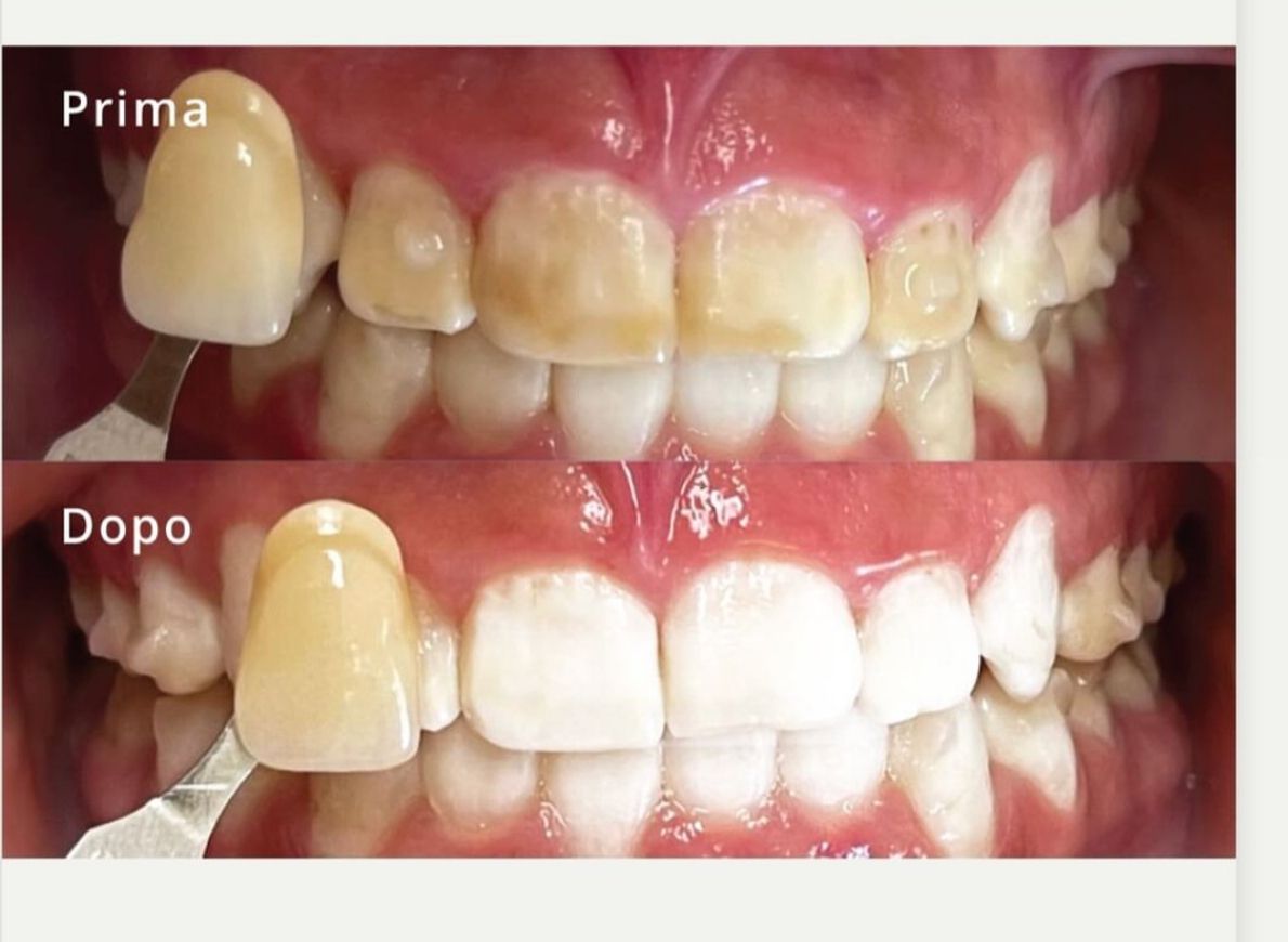
  • Estetica del sorriso

    38 €

  • Igiene dentale

    Da 60 €

  • Sbiancamento dentale

    Da 200 €

Indirizzo

Vedi mappa si apre in una nuova scheda
Lucaferri Studio Odontoiatrico

Via Budapest, 5, Sassari 07100

Disponibilità

Telefono

079 2...
333 600...
Vedi mappa si apre in una nuova scheda

Assicurazioni non accettate

Questo dottore accetta solo pazienti privati. Verrà richiesto un pagamento da parte tua per la prestazione o puoi ricercare un altro dottore che accetti la tua assicurazione

7 recensioni

Tutte le recensioni contano e non possono essere rimosse o modificate dai dottori a proprio piacimento. Scopri come funziona il processo di moderazione delle recensioni. Per saperne di più sulle opinioni
  • A

    Lavoro effettuato con professionalità e attenzione al paziente

     • Studio dentistico Lucaferri igiene dentale  • 

  • T

    Esperienza ottima! La dottoressa è stata bravissima, molto delicata e attenta ai dettagli. Lo studio è pulito e l'accoglienza fantastica. Finalmente un'igiene orale fatta con cura e senza dolore. Tornerò

     • Studio dentistico Lucaferri igiene dentale  • 

    Lucaferri Studio Odontoiatrico

    Grazie di cuore! Ci fa veramente piacere che abbia colto la cura che viene messa nel fornire una esperienza confortevole al paziente.


  • E

    La dottoressa è stata molto professionale e ha lavorato con accuratezza.

     • Studio dentistico Lucaferri igiene dentale  • 

    Lucaferri Studio Odontoiatrico

    Ci fa molto piacere che abbia apprezzato la qualità del trattamento!


  • S

    molto professionale e gentile. Mette il cliente a proprio agio

     • Studio dentistico Lucaferri igiene dentale  • 

    Lucaferri Studio Odontoiatrico

    Grazie, Sergio. Il nostro obiettivo è rendere la seduta confortevole oltre che efficace!


  • M

    Puntuali, cordiali e attenti al cliente. Lo consiglio

     • Studio dentistico Lucaferri igiene dentale  • 

    Lucaferri Studio Odontoiatrico

    grazie,sappiamo che ogni giornata è piena di impegni per tutti, ci teniamo molto a essere puntuali.


  • F

    Contentissa tutti molto gentili e competenti la dottoressa Silvia molto brava non ho avuto nessun fastidio né dolore veramente brava "consiglio "

     • Studio dentistico Lucaferri igiene dentale  • 

    Lucaferri Studio Odontoiatrico

    gentilissima, grazie a nome di tutto lo Staff!


  • T

    Ottimo persona, mi ha assistito con cura e attenzione, molto disponibile. Ho accettato la proposta per lo sbiancamento con risultati molto soddisfacenti. Grazie.

     • Studio dentistico Lucaferri igiene dentale  • 

    Lucaferri Studio Odontoiatrico

    grazie , ci fa piacere che abbia trovato l'attenzione necessaria per darle i migliori consigli. I trattamenti illuminanti e di sbiancamento dentale riscuotono molto successo grazie ai protocolli personalizzati che utilizziamo!


Si è verificato un errore, riprova