Tempo medio di risposta:

Esperienze

per info e prenotazioni chiamare al-049 880 3131
La passione per questo lavoro è nata fin da piccolo mentre guardavo lavorare mio padre Dario. I sorrisi e le gentili parole che riceveva resteranno un ricordo indelebile nella mia mente. I primi passi in questo mondo li ho fatti nel laboratorio odontotecnico di mio nonno Orfeo il quale mi ha trasmesso gran parte delle sue conoscenze. Ad oggi, il mio obiettivo è dare a tutti i miei pazienti il sorriso che hanno sempre sognato.
Altro Su di me

Aree di competenza principali:

  • Implantologia dentale
  • Odontoiatria
  • Odontoiatria estetica
  • Implantologia

Presso questo indirizzo visito

Adulti
Bambini

Tipologia di visite

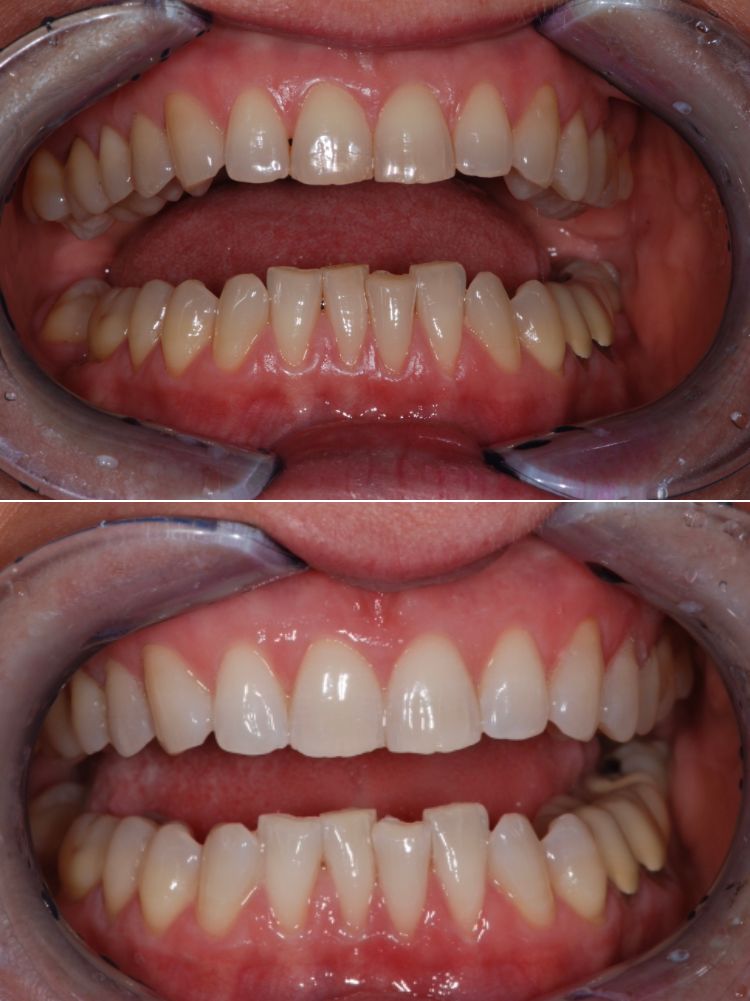
Foto e video

Logo
Dott. Alberto Calore

Via Guizza, 11, Padova 35124

L'indirizzo dello studio è:
VIA GUIZZA 11, PADOVA
numero 0498803131
whatsapp 3407900613

04/05/2026

Prestazioni e prezzi

  • Ablazione del tartaro

    Da 75 €

  • Otturazione

    Da 80 €

  • Valutazione protesica


  • Trattamento ortodontico con apparecchi mobili


  • Trattamento ortodontico con apparecchi fissi


Indirizzo

Vedi mappa si apre in una nuova scheda
Studio Dentistico White Dental Studio

Via Guizza, 11, Padova 35124

Disponibilità

Telefono

049 798...
Vedi mappa si apre in una nuova scheda

Assicurazioni accettate

Le assicurazioni sono accettate ma la copertura varia a seconda della località e del servizio, puoi verificarlo durante la fase di prenotazione!

  • Fasi
  • Pronto-Care

224 recensioni

Più menzionato dai pazienti

  • Attenzione durante la visita
  • Spiegazioni dettagliate
  • Efficacia del trattamento
Tutte le recensioni contano e non possono essere rimosse o modificate dai dottori a proprio piacimento. Scopri come funziona il processo di moderazione delle recensioni. Per saperne di più sulle opinioni
  • N

    Prima volta in questo studio e devo dire che mi sono trovato molto bene. Tornerò ancora per altra pulizia e per eventuali altri interventi.

    • Attenzione durante la visita
    • Efficacia del trattamento
    • Ottimo studio
     • Studio Dentistico White Dental Studio ablazione del tartaro  • 

  • A

    Molto soddisfatta della visita con il dottore che si è dimostrato molto disponibile e preparato nel risolvere la mia problematica. Ringrazio ancora della gentilezza: assolutamente consigliato!

     • Studio Dentistico White Dental Studio prima visita  • 

  • L

    Ambiente tranquillo e professionale, spiegazioni dettagliate e grande disponibilità!

    • Attenzione durante la visita
    • Spiegazioni dettagliate
    • Efficacia del trattamento
     • Studio Dentistico White Dental Studio ablazione del tartaro  • 

  • M

    Superlativo! Tratamento ottimo ed estrema professionalità!

    • Attenzione durante la visita
    • Ottimo studio
    • Puntualità
     • Studio Dentistico White Dental Studio ortodonzia  • 

  • G

    Descrizione più che dettagliata del mio prossimo impianto supportata da tecnologia avanzata

    • Spiegazioni dettagliate
     • Studio Dentistico White Dental Studio visita per inquadramento diagnostico  • 

  • V

    Dottore e Staff professionali e disponibili come sempre

     • Studio Dentistico White Dental Studio ablazione del tartaro  • 

  • R

    Professionalità, competenza e disponibilità nella spiegazione.

    • Attenzione durante la visita
    • Spiegazioni dettagliate
    • Ottimo studio
     • Studio Dentistico White Dental Studio Visita di controllo  • 

  • V

    Professionalità e disponibilità, come sempre. Consiglio

    • Efficacia del trattamento
     • Studio Dentistico White Dental Studio ortodonzia  • 

  • Y

    È un dentista estremamente attento e professionale: ascolta con pazienza ogni tua preoccupazione e si prende il tempo di spiegare nel dettaglio ogni problematica, utilizzando un linguaggio chiaro e comprensibile. Trasmette grande sicurezza e competenza, ed è davvero bravissimo nel suo lavoro, riuscendo a mettere a proprio agio anche i pazienti più ansiosi.

    • Attenzione durante la visita
    • Spiegazioni dettagliate
    • Efficacia del trattamento
    • Ottimo studio
    • Puntualità
     • Studio Dentistico White Dental Studio ablazione del tartaro  • 

  • M

    Mi sono trovato a mio agio, dopo il trattamento non ho avuto problemi.

    • Attenzione durante la visita
    • Puntualità
     • Studio Dentistico White Dental Studio devitalizzazione  • 

Si è verificato un errore, riprova

Risposte ai pazienti

ha risposto a 2 domande da parte di pazienti di MioDottore

Salve dottore una malocclusione può portare un dolore cervicale dietro la nuca?e come si chiama questa parte di osso dietro la nuca?

Salve, abbiamo avuto diversi casi di dolori cervicali correlati con una mal occlusione. Ma servono indagini approfondite, da parte di un dentista con delle prove direttamente sul paziente e una visita da uno specialista della zona cervicale per correlare le due cose oppure escluderle! Sicuramente le consiglio di farsi vedere per escludere le due cose o confermarle. Arrivederci

Dott. Alberto Calore

Buongiorno, dopo aver effettuato la semestrale pulizia dentale, ho notato che le capsule dei 2 incisivi superiori sono rigate, in una è presente un avvallamento, come uno schiacciamento perfettamente orizzontale, come effettuato con uno strumento, l'altro presenta un'incisione obliqua.
Lo studio dentistico afferma che il problema era presente sin dall"incapsulamento circa 10 anni fa, ma posso assicurare che non è assolutamente così, altrimenti non avrei pagato l'altro professionista per un lavoro difettoso. Come si può rimediare? Grazie.

Salve, delle volte i segni sulle ceramiche servono per non far vedere che il dente è troppo “finto”. Detto ciò è difficile rendersi conto dopo 10 anni, le capsule sono molto dure e con una semplice igiene è difficile rovinarle, anche perché nelle ceramiche il tartaro non si deposita, se non in parte vicino alla gengiva!

Dott. Alberto Calore

Tutti i contenuti pubblicati su MioDottore.it, specialmente domande e risposte, sono di carattere informativo e in nessun caso devono essere considerati un sostituto di una visita specialistica.